自身免疫性肝炎管理中的COVID-19挑战:静脉注射免疫球蛋白(IVIg)的成功结果。

IF 0.5 Q4 GASTROENTEROLOGY & HEPATOLOGY
Case Reports in Gastrointestinal Medicine Pub Date : 2025-04-07 eCollection Date: 2025-01-01 DOI:10.1155/crgm/4446896
Amirali Mashhadiagha, Parnian Khalili, Maryam Ataollahi, Fereshteh Karbasian, Ali Arman, Bita Geramizadeh
{"title":"自身免疫性肝炎管理中的COVID-19挑战:静脉注射免疫球蛋白(IVIg)的成功结果。","authors":"Amirali Mashhadiagha, Parnian Khalili, Maryam Ataollahi, Fereshteh Karbasian, Ali Arman, Bita Geramizadeh","doi":"10.1155/crgm/4446896","DOIUrl":null,"url":null,"abstract":"<p><p><b>Background:</b> Several autoimmune diseases, such as autoimmune hepatitis (AIH), can arise or become decompensated following COVID-19 infection or vaccination; however, there is a lack of data regarding the management of concurrent COVID-19 infection and autoimmune diseases. <b>Case Summary:</b> In this paper, we present a case of a 9-year-old boy with yellowish discoloration of the skin and sclera, abnormal liver function test, followed by positive qRT-PCR for SARS-CoV-2 and progressive bicytopenia. After a lack of response to corticosteroids, intravenous immune globulin (IVIg) was administrated and a decline in liver enzymes, total bilirubin, and direct bilirubin was observed. <b>Result and Discussion:</b> This case illustrates how IVIg significantly improved the AIH symptoms in the patient with positive qRT-PCR for the SARS-CoV-2 test. We hope our report encourages further research on therapeutic approaches for AIH concomitant with COVID-19.</p>","PeriodicalId":45645,"journal":{"name":"Case Reports in Gastrointestinal Medicine","volume":"2025 ","pages":"4446896"},"PeriodicalIF":0.5000,"publicationDate":"2025-04-07","publicationTypes":"Journal Article","fieldsOfStudy":null,"isOpenAccess":false,"openAccessPdf":"https://www.ncbi.nlm.nih.gov/pmc/articles/PMC11996283/pdf/","citationCount":"0","resultStr":"{\"title\":\"COVID-19 Challenges in Autoimmune Hepatitis Management: A Successful Outcome With Intravenous Immune Globulin (IVIg).\",\"authors\":\"Amirali Mashhadiagha, Parnian Khalili, Maryam Ataollahi, Fereshteh Karbasian, Ali Arman, Bita Geramizadeh\",\"doi\":\"10.1155/crgm/4446896\",\"DOIUrl\":null,\"url\":null,\"abstract\":\"<p><p><b>Background:</b> Several autoimmune diseases, such as autoimmune hepatitis (AIH), can arise or become decompensated following COVID-19 infection or vaccination; however, there is a lack of data regarding the management of concurrent COVID-19 infection and autoimmune diseases. <b>Case Summary:</b> In this paper, we present a case of a 9-year-old boy with yellowish discoloration of the skin and sclera, abnormal liver function test, followed by positive qRT-PCR for SARS-CoV-2 and progressive bicytopenia. After a lack of response to corticosteroids, intravenous immune globulin (IVIg) was administrated and a decline in liver enzymes, total bilirubin, and direct bilirubin was observed. <b>Result and Discussion:</b> This case illustrates how IVIg significantly improved the AIH symptoms in the patient with positive qRT-PCR for the SARS-CoV-2 test. We hope our report encourages further research on therapeutic approaches for AIH concomitant with COVID-19.</p>\",\"PeriodicalId\":45645,\"journal\":{\"name\":\"Case Reports in Gastrointestinal Medicine\",\"volume\":\"2025 \",\"pages\":\"4446896\"},\"PeriodicalIF\":0.5000,\"publicationDate\":\"2025-04-07\",\"publicationTypes\":\"Journal Article\",\"fieldsOfStudy\":null,\"isOpenAccess\":false,\"openAccessPdf\":\"https://www.ncbi.nlm.nih.gov/pmc/articles/PMC11996283/pdf/\",\"citationCount\":\"0\",\"resultStr\":null,\"platform\":\"Semanticscholar\",\"paperid\":null,\"PeriodicalName\":\"Case Reports in Gastrointestinal Medicine\",\"FirstCategoryId\":\"1085\",\"ListUrlMain\":\"https://doi.org/10.1155/crgm/4446896\",\"RegionNum\":0,\"RegionCategory\":null,\"ArticlePicture\":[],\"TitleCN\":null,\"AbstractTextCN\":null,\"PMCID\":null,\"EPubDate\":\"2025/1/1 0:00:00\",\"PubModel\":\"eCollection\",\"JCR\":\"Q4\",\"JCRName\":\"GASTROENTEROLOGY & HEPATOLOGY\",\"Score\":null,\"Total\":0}","platform":"Semanticscholar","paperid":null,"PeriodicalName":"Case Reports in Gastrointestinal Medicine","FirstCategoryId":"1085","ListUrlMain":"https://doi.org/10.1155/crgm/4446896","RegionNum":0,"RegionCategory":null,"ArticlePicture":[],"TitleCN":null,"AbstractTextCN":null,"PMCID":null,"EPubDate":"2025/1/1 0:00:00","PubModel":"eCollection","JCR":"Q4","JCRName":"GASTROENTEROLOGY & HEPATOLOGY","Score":null,"Total":0}
引用次数: 0

摘要

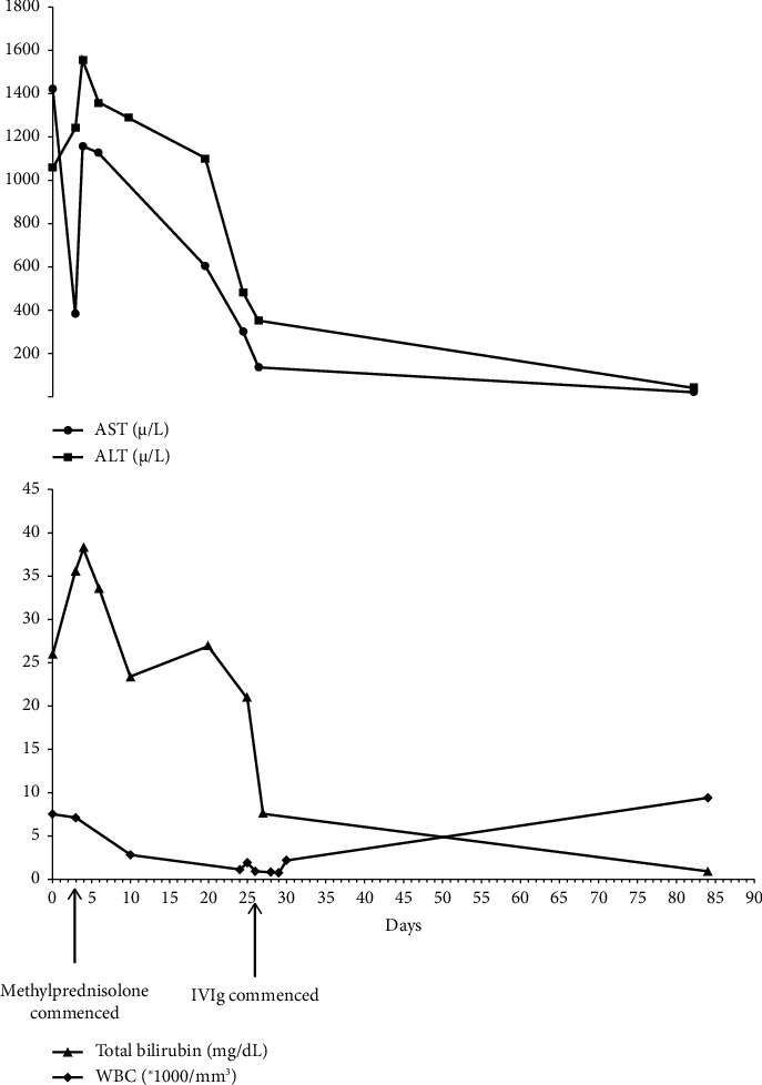
背景:几种自身免疫性疾病,如自身免疫性肝炎(AIH),可在COVID-19感染或疫苗接种后出现或失代偿;然而,缺乏关于同时感染COVID-19和自身免疫性疾病的管理数据。病例总结:本文报告1例9岁男童,皮肤和巩膜黄变,肝功能检查异常,随后出现SARS-CoV-2 qRT-PCR阳性和进行性双氧体减少症。在对皮质类固醇缺乏反应后,静脉注射免疫球蛋白(IVIg),观察到肝酶、总胆红素和直接胆红素的下降。结果与讨论:本病例说明了IVIg如何显著改善了SARS-CoV-2检测qRT-PCR阳性患者的AIH症状。我们希望我们的报告能够鼓励对COVID-19合并AIH治疗方法的进一步研究。
本文章由计算机程序翻译,如有差异,请以英文原文为准。

COVID-19 Challenges in Autoimmune Hepatitis Management: A Successful Outcome With Intravenous Immune Globulin (IVIg).

COVID-19 Challenges in Autoimmune Hepatitis Management: A Successful Outcome With Intravenous Immune Globulin (IVIg).

COVID-19 Challenges in Autoimmune Hepatitis Management: A Successful Outcome With Intravenous Immune Globulin (IVIg).

Background: Several autoimmune diseases, such as autoimmune hepatitis (AIH), can arise or become decompensated following COVID-19 infection or vaccination; however, there is a lack of data regarding the management of concurrent COVID-19 infection and autoimmune diseases. Case Summary: In this paper, we present a case of a 9-year-old boy with yellowish discoloration of the skin and sclera, abnormal liver function test, followed by positive qRT-PCR for SARS-CoV-2 and progressive bicytopenia. After a lack of response to corticosteroids, intravenous immune globulin (IVIg) was administrated and a decline in liver enzymes, total bilirubin, and direct bilirubin was observed. Result and Discussion: This case illustrates how IVIg significantly improved the AIH symptoms in the patient with positive qRT-PCR for the SARS-CoV-2 test. We hope our report encourages further research on therapeutic approaches for AIH concomitant with COVID-19.

求助全文
通过发布文献求助,成功后即可免费获取论文全文。 去求助
来源期刊
Case Reports in Gastrointestinal Medicine
Case Reports in Gastrointestinal Medicine GASTROENTEROLOGY & HEPATOLOGY-
自引率
0.00%
发文量
33
审稿时长
14 weeks
×
引用
GB/T 7714-2015
复制
MLA
复制
APA
复制
导出至
BibTeX EndNote RefMan NoteFirst NoteExpress
×
提示
您的信息不完整,为了账户安全,请先补充。
现在去补充
×
提示
您因"违规操作"
具体请查看互助需知
我知道了
×
提示
确定
请完成安全验证×
copy
已复制链接
快去分享给好友吧!
我知道了
右上角分享
点击右上角分享
0
联系我们:info@booksci.cn Book学术提供免费学术资源搜索服务,方便国内外学者检索中英文文献。致力于提供最便捷和优质的服务体验。 Copyright © 2023 布克学术 All rights reserved.
京ICP备2023020795号-1
ghs 京公网安备 11010802042870号
Book学术文献互助
Book学术文献互助群
群 号:604180095
Book学术官方微信