原发性心脏黏液纤维肉瘤1例报告。

IF 0.7 Q4 SURGERY
Surgical Case Reports Pub Date : 2025-01-01 Epub Date: 2025-05-01 DOI:10.70352/scrj.cr.24-0035
Takuya Matsushiro, Tomoki Tamura, Tetsuya Horai, Kento Misumi, Nobuyuki Inoue
{"title":"原发性心脏黏液纤维肉瘤1例报告。","authors":"Takuya Matsushiro, Tomoki Tamura, Tetsuya Horai, Kento Misumi, Nobuyuki Inoue","doi":"10.70352/scrj.cr.24-0035","DOIUrl":null,"url":null,"abstract":"<p><strong>Introduction: </strong>Primary cardiac tumors are rare, with malignant myxofibrosarcoma cases being particularly uncommon, while cardiac myxoma is a common diagnosis in clinical practice. We present a case of cardiac myxofibrosarcoma, whose clinical course was quite unusual.</p><p><strong>Case presentation: </strong>A 67-year-old woman with no prior history of cardiac tumors was admitted for dyspnea and was found to have a 60 mm tumor in the left atrium. Despite initial resection, the tumor recurred twice, and a subsequent pleural mass biopsy revealed metastasis of myxofibrosarcoma. Retrospective analysis confirmed that the pathological findings of all the resected tumors were consistent with myxofibrosarcoma. Chemotherapy with doxorubicin was initiated, but severe side effects led to its discontinuation. The tumors continued to grow, causing significant pain, and she passed away a year later.</p><p><strong>Conclusions: </strong>The differential diagnosis of cardiac myxofibrosarcoma is challenging due to its similarity to benign myxomas. Accurate diagnosis requires thorough histological and immunohistochemical evaluation is essential.</p>","PeriodicalId":22096,"journal":{"name":"Surgical Case Reports","volume":"11 1","pages":""},"PeriodicalIF":0.7000,"publicationDate":"2025-01-01","publicationTypes":"Journal Article","fieldsOfStudy":null,"isOpenAccess":false,"openAccessPdf":"https://www.ncbi.nlm.nih.gov/pmc/articles/PMC12066236/pdf/","citationCount":"0","resultStr":"{\"title\":\"Primary Cardiac Myxofibrosarcoma: A Case Report.\",\"authors\":\"Takuya Matsushiro, Tomoki Tamura, Tetsuya Horai, Kento Misumi, Nobuyuki Inoue\",\"doi\":\"10.70352/scrj.cr.24-0035\",\"DOIUrl\":null,\"url\":null,\"abstract\":\"<p><strong>Introduction: </strong>Primary cardiac tumors are rare, with malignant myxofibrosarcoma cases being particularly uncommon, while cardiac myxoma is a common diagnosis in clinical practice. We present a case of cardiac myxofibrosarcoma, whose clinical course was quite unusual.</p><p><strong>Case presentation: </strong>A 67-year-old woman with no prior history of cardiac tumors was admitted for dyspnea and was found to have a 60 mm tumor in the left atrium. Despite initial resection, the tumor recurred twice, and a subsequent pleural mass biopsy revealed metastasis of myxofibrosarcoma. Retrospective analysis confirmed that the pathological findings of all the resected tumors were consistent with myxofibrosarcoma. Chemotherapy with doxorubicin was initiated, but severe side effects led to its discontinuation. The tumors continued to grow, causing significant pain, and she passed away a year later.</p><p><strong>Conclusions: </strong>The differential diagnosis of cardiac myxofibrosarcoma is challenging due to its similarity to benign myxomas. Accurate diagnosis requires thorough histological and immunohistochemical evaluation is essential.</p>\",\"PeriodicalId\":22096,\"journal\":{\"name\":\"Surgical Case Reports\",\"volume\":\"11 1\",\"pages\":\"\"},\"PeriodicalIF\":0.7000,\"publicationDate\":\"2025-01-01\",\"publicationTypes\":\"Journal Article\",\"fieldsOfStudy\":null,\"isOpenAccess\":false,\"openAccessPdf\":\"https://www.ncbi.nlm.nih.gov/pmc/articles/PMC12066236/pdf/\",\"citationCount\":\"0\",\"resultStr\":null,\"platform\":\"Semanticscholar\",\"paperid\":null,\"PeriodicalName\":\"Surgical Case Reports\",\"FirstCategoryId\":\"1085\",\"ListUrlMain\":\"https://doi.org/10.70352/scrj.cr.24-0035\",\"RegionNum\":0,\"RegionCategory\":null,\"ArticlePicture\":[],\"TitleCN\":null,\"AbstractTextCN\":null,\"PMCID\":null,\"EPubDate\":\"2025/5/1 0:00:00\",\"PubModel\":\"Epub\",\"JCR\":\"Q4\",\"JCRName\":\"SURGERY\",\"Score\":null,\"Total\":0}","platform":"Semanticscholar","paperid":null,"PeriodicalName":"Surgical Case Reports","FirstCategoryId":"1085","ListUrlMain":"https://doi.org/10.70352/scrj.cr.24-0035","RegionNum":0,"RegionCategory":null,"ArticlePicture":[],"TitleCN":null,"AbstractTextCN":null,"PMCID":null,"EPubDate":"2025/5/1 0:00:00","PubModel":"Epub","JCR":"Q4","JCRName":"SURGERY","Score":null,"Total":0}
引用次数: 0

摘要

摘要原发性心脏肿瘤罕见,其中恶性黏液纤维肉瘤尤为少见,而心脏黏液瘤是临床上常见的诊断。我们报告一例心脏黏液纤维肉瘤,其临床病程相当罕见。病例介绍:一名67岁女性,无心脏肿瘤病史,因呼吸困难入院,发现左心房有一个60毫米的肿瘤。尽管最初切除,肿瘤复发两次,随后的胸膜肿块活检显示粘液纤维肉瘤转移。回顾性分析证实所有切除肿瘤的病理表现均符合黏液纤维肉瘤。开始用阿霉素化疗,但严重的副作用导致停药。肿瘤继续生长,引起剧烈的疼痛,一年后她去世了。结论:心脏黏液纤维肉瘤与良性黏液瘤相似,其鉴别诊断具有挑战性。准确的诊断需要彻底的组织学和免疫组织化学评估是必不可少的。
本文章由计算机程序翻译,如有差异,请以英文原文为准。

Primary Cardiac Myxofibrosarcoma: A Case Report.

Primary Cardiac Myxofibrosarcoma: A Case Report.

Primary Cardiac Myxofibrosarcoma: A Case Report.

Primary Cardiac Myxofibrosarcoma: A Case Report.

Introduction: Primary cardiac tumors are rare, with malignant myxofibrosarcoma cases being particularly uncommon, while cardiac myxoma is a common diagnosis in clinical practice. We present a case of cardiac myxofibrosarcoma, whose clinical course was quite unusual.

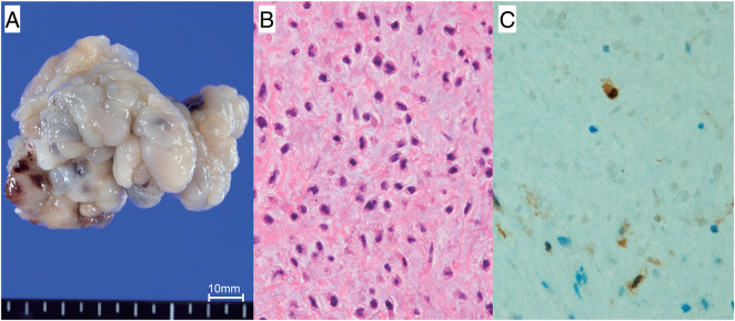
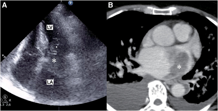
Case presentation: A 67-year-old woman with no prior history of cardiac tumors was admitted for dyspnea and was found to have a 60 mm tumor in the left atrium. Despite initial resection, the tumor recurred twice, and a subsequent pleural mass biopsy revealed metastasis of myxofibrosarcoma. Retrospective analysis confirmed that the pathological findings of all the resected tumors were consistent with myxofibrosarcoma. Chemotherapy with doxorubicin was initiated, but severe side effects led to its discontinuation. The tumors continued to grow, causing significant pain, and she passed away a year later.

Conclusions: The differential diagnosis of cardiac myxofibrosarcoma is challenging due to its similarity to benign myxomas. Accurate diagnosis requires thorough histological and immunohistochemical evaluation is essential.

求助全文
通过发布文献求助,成功后即可免费获取论文全文。 去求助
来源期刊
自引率
0.00%
发文量
218
审稿时长
13 weeks
×
引用
GB/T 7714-2015
复制
MLA
复制
APA
复制
导出至
BibTeX EndNote RefMan NoteFirst NoteExpress
×
提示
您的信息不完整,为了账户安全,请先补充。
现在去补充
×
提示
您因"违规操作"
具体请查看互助需知
我知道了
×
提示
确定
请完成安全验证×
copy
已复制链接
快去分享给好友吧!
我知道了
右上角分享
点击右上角分享
0
联系我们:info@booksci.cn Book学术提供免费学术资源搜索服务,方便国内外学者检索中英文文献。致力于提供最便捷和优质的服务体验。 Copyright © 2023 布克学术 All rights reserved.
京ICP备2023020795号-1
ghs 京公网安备 11010802042870号
Book学术文献互助
Book学术文献互助群
群 号:604180095
Book学术官方微信