8岁时诊断的致癌佝偻病和持续性佝偻病的风险:一个罕见的儿科发病肿瘤诱导的骨软化症病例。

IF 5.4 2区 医学 Q1 ENDOCRINOLOGY & METABOLISM
Osteoporosis International Pub Date : 2025-08-01 Epub Date: 2025-05-13 DOI:10.1007/s00198-025-07469-2
Julien Lasnier-Siron, Raul Perret, Acil Jaafar, Thierry Schaeverbeke, Nadia Mehsen Cetre
{"title":"8岁时诊断的致癌佝偻病和持续性佝偻病的风险:一个罕见的儿科发病肿瘤诱导的骨软化症病例。","authors":"Julien Lasnier-Siron, Raul Perret, Acil Jaafar, Thierry Schaeverbeke, Nadia Mehsen Cetre","doi":"10.1007/s00198-025-07469-2","DOIUrl":null,"url":null,"abstract":"<p><p>Tumor-induced osteomalacia (TIO) is a rare paraneoplastic syndrome caused by excess fibroblast growth factor 23 (FGF23), leading to hypophosphatemia and osteomalacia. It typically manifests in adulthood, with pediatric cases being exceedingly rare. Early diagnosis is critical to prevent irreversible skeletal deformities. We report the case of a 19-year-old man with severe lower limb deformities and loss of ambulation since childhood. Initially misdiagnosed with X-linked hypophosphatemia (XLH) and treated with burosumab, genetic testing ruled out hereditary hypophosphatemic disorders. Further evaluation revealed an FGF23-secreting mesenchymal tumor in the right femur, confirming TIO. Surgical resection of the tumor led to biochemical remission, while burosumab treatment contributed to pain relief, functional improvement, and increased bone mineral density. Histological examination suggested potential tumor modifications linked to burosumab exposure. This case highlights the diagnostic challenge of pediatric-onset TIO, emphasizing the importance of considering oncogenic rickets in cases of early hypophosphatemic osteomalacia with severe deformities. The risk of persistent skeletal abnormalities despite treatment underscores the need for early recognition and intervention. Moreover, burosumab showed clinical efficacy in managing hypophosphatemia and symptoms, suggesting a therapeutic role in TIO when surgery is delayed or inoperable. Pediatric-onset TIO is an underrecognized entity that can lead to severe disability if not diagnosed early. This case underscores the importance of early tumor identification.</p>","PeriodicalId":19638,"journal":{"name":"Osteoporosis International","volume":" ","pages":"1481-1485"},"PeriodicalIF":5.4000,"publicationDate":"2025-08-01","publicationTypes":"Journal Article","fieldsOfStudy":null,"isOpenAccess":false,"openAccessPdf":"https://www.ncbi.nlm.nih.gov/pmc/articles/PMC12373540/pdf/","citationCount":"0","resultStr":"{\"title\":\"Oncogenic rickets diagnosed at age 8 and the risk of persistent rickets: a rare case of pediatric-onset tumor-induced osteomalacia.\",\"authors\":\"Julien Lasnier-Siron, Raul Perret, Acil Jaafar, Thierry Schaeverbeke, Nadia Mehsen Cetre\",\"doi\":\"10.1007/s00198-025-07469-2\",\"DOIUrl\":null,\"url\":null,\"abstract\":\"<p><p>Tumor-induced osteomalacia (TIO) is a rare paraneoplastic syndrome caused by excess fibroblast growth factor 23 (FGF23), leading to hypophosphatemia and osteomalacia. It typically manifests in adulthood, with pediatric cases being exceedingly rare. Early diagnosis is critical to prevent irreversible skeletal deformities. We report the case of a 19-year-old man with severe lower limb deformities and loss of ambulation since childhood. Initially misdiagnosed with X-linked hypophosphatemia (XLH) and treated with burosumab, genetic testing ruled out hereditary hypophosphatemic disorders. Further evaluation revealed an FGF23-secreting mesenchymal tumor in the right femur, confirming TIO. Surgical resection of the tumor led to biochemical remission, while burosumab treatment contributed to pain relief, functional improvement, and increased bone mineral density. Histological examination suggested potential tumor modifications linked to burosumab exposure. This case highlights the diagnostic challenge of pediatric-onset TIO, emphasizing the importance of considering oncogenic rickets in cases of early hypophosphatemic osteomalacia with severe deformities. The risk of persistent skeletal abnormalities despite treatment underscores the need for early recognition and intervention. Moreover, burosumab showed clinical efficacy in managing hypophosphatemia and symptoms, suggesting a therapeutic role in TIO when surgery is delayed or inoperable. Pediatric-onset TIO is an underrecognized entity that can lead to severe disability if not diagnosed early. This case underscores the importance of early tumor identification.</p>\",\"PeriodicalId\":19638,\"journal\":{\"name\":\"Osteoporosis International\",\"volume\":\" \",\"pages\":\"1481-1485\"},\"PeriodicalIF\":5.4000,\"publicationDate\":\"2025-08-01\",\"publicationTypes\":\"Journal Article\",\"fieldsOfStudy\":null,\"isOpenAccess\":false,\"openAccessPdf\":\"https://www.ncbi.nlm.nih.gov/pmc/articles/PMC12373540/pdf/\",\"citationCount\":\"0\",\"resultStr\":null,\"platform\":\"Semanticscholar\",\"paperid\":null,\"PeriodicalName\":\"Osteoporosis International\",\"FirstCategoryId\":\"3\",\"ListUrlMain\":\"https://doi.org/10.1007/s00198-025-07469-2\",\"RegionNum\":2,\"RegionCategory\":\"医学\",\"ArticlePicture\":[],\"TitleCN\":null,\"AbstractTextCN\":null,\"PMCID\":null,\"EPubDate\":\"2025/5/13 0:00:00\",\"PubModel\":\"Epub\",\"JCR\":\"Q1\",\"JCRName\":\"ENDOCRINOLOGY & METABOLISM\",\"Score\":null,\"Total\":0}","platform":"Semanticscholar","paperid":null,"PeriodicalName":"Osteoporosis International","FirstCategoryId":"3","ListUrlMain":"https://doi.org/10.1007/s00198-025-07469-2","RegionNum":2,"RegionCategory":"医学","ArticlePicture":[],"TitleCN":null,"AbstractTextCN":null,"PMCID":null,"EPubDate":"2025/5/13 0:00:00","PubModel":"Epub","JCR":"Q1","JCRName":"ENDOCRINOLOGY & METABOLISM","Score":null,"Total":0}
引用次数: 0

摘要

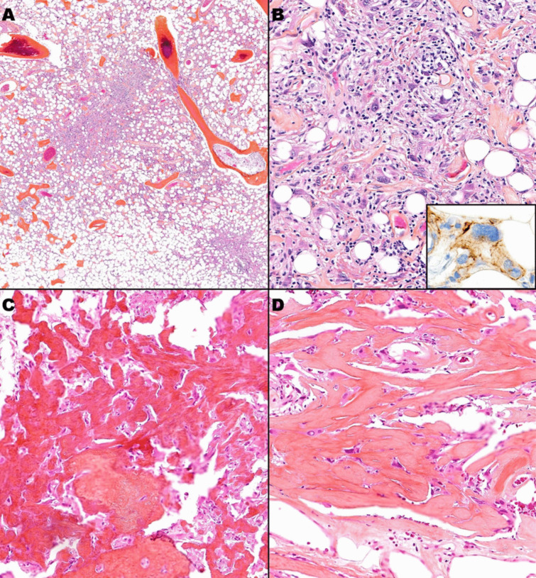
肿瘤诱导骨软化症(TIO)是一种罕见的副肿瘤综合征,由过量的成纤维细胞生长因子23 (FGF23)引起,导致低磷血症和骨软化症。它通常表现在成年期,小儿病例极为罕见。早期诊断对于预防不可逆的骨骼畸形至关重要。我们报告的情况下,一个19岁的男子严重下肢畸形和丧失行动,因为童年。最初误诊为x连锁低磷血症(XLH),并使用burrosumab治疗,基因检测排除了遗传性低磷血症。进一步检查显示右侧股骨有分泌fgf23的间充质肿瘤,证实了TIO。手术切除肿瘤导致生化缓解,而布罗单抗治疗有助于疼痛缓解、功能改善和骨矿物质密度增加。组织学检查提示潜在的肿瘤修饰与布罗单抗暴露有关。本病例强调了儿科发病TIO的诊断挑战,强调了在早期低磷性骨软化伴严重畸形的病例中考虑致癌佝偻病的重要性。尽管治疗,持续性骨骼异常的风险强调了早期识别和干预的必要性。此外,布鲁苏单抗在治疗低磷血症和症状方面显示出临床疗效,这表明在手术延迟或无法手术时,它在TIO中具有治疗作用。儿科发病的TIO是一个未被充分认识的实体,如果不及早诊断,可能导致严重的残疾。这个病例强调了早期肿瘤识别的重要性。
本文章由计算机程序翻译,如有差异,请以英文原文为准。

Oncogenic rickets diagnosed at age 8 and the risk of persistent rickets: a rare case of pediatric-onset tumor-induced osteomalacia.

Oncogenic rickets diagnosed at age 8 and the risk of persistent rickets: a rare case of pediatric-onset tumor-induced osteomalacia.

Oncogenic rickets diagnosed at age 8 and the risk of persistent rickets: a rare case of pediatric-onset tumor-induced osteomalacia.

Tumor-induced osteomalacia (TIO) is a rare paraneoplastic syndrome caused by excess fibroblast growth factor 23 (FGF23), leading to hypophosphatemia and osteomalacia. It typically manifests in adulthood, with pediatric cases being exceedingly rare. Early diagnosis is critical to prevent irreversible skeletal deformities. We report the case of a 19-year-old man with severe lower limb deformities and loss of ambulation since childhood. Initially misdiagnosed with X-linked hypophosphatemia (XLH) and treated with burosumab, genetic testing ruled out hereditary hypophosphatemic disorders. Further evaluation revealed an FGF23-secreting mesenchymal tumor in the right femur, confirming TIO. Surgical resection of the tumor led to biochemical remission, while burosumab treatment contributed to pain relief, functional improvement, and increased bone mineral density. Histological examination suggested potential tumor modifications linked to burosumab exposure. This case highlights the diagnostic challenge of pediatric-onset TIO, emphasizing the importance of considering oncogenic rickets in cases of early hypophosphatemic osteomalacia with severe deformities. The risk of persistent skeletal abnormalities despite treatment underscores the need for early recognition and intervention. Moreover, burosumab showed clinical efficacy in managing hypophosphatemia and symptoms, suggesting a therapeutic role in TIO when surgery is delayed or inoperable. Pediatric-onset TIO is an underrecognized entity that can lead to severe disability if not diagnosed early. This case underscores the importance of early tumor identification.

求助全文
通过发布文献求助,成功后即可免费获取论文全文。 去求助
来源期刊
Osteoporosis International
Osteoporosis International 医学-内分泌学与代谢
CiteScore
8.10
自引率
10.00%
发文量
224
审稿时长
3 months
期刊介绍: An international multi-disciplinary journal which is a joint initiative between the International Osteoporosis Foundation and the National Osteoporosis Foundation of the USA, Osteoporosis International provides a forum for the communication and exchange of current ideas concerning the diagnosis, prevention, treatment and management of osteoporosis and other metabolic bone diseases. It publishes: original papers - reporting progress and results in all areas of osteoporosis and its related fields; review articles - reflecting the present state of knowledge in special areas of summarizing limited themes in which discussion has led to clearly defined conclusions; educational articles - giving information on the progress of a topic of particular interest; case reports - of uncommon or interesting presentations of the condition. While focusing on clinical research, the Journal will also accept submissions on more basic aspects of research, where they are considered by the editors to be relevant to the human disease spectrum.
×
引用
GB/T 7714-2015
复制
MLA
复制
APA
复制
导出至
BibTeX EndNote RefMan NoteFirst NoteExpress
×
提示
您的信息不完整,为了账户安全,请先补充。
现在去补充
×
提示
您因"违规操作"
具体请查看互助需知
我知道了
×
提示
确定
请完成安全验证×
copy
已复制链接
快去分享给好友吧!
我知道了
右上角分享
点击右上角分享
0
联系我们:info@booksci.cn Book学术提供免费学术资源搜索服务,方便国内外学者检索中英文文献。致力于提供最便捷和优质的服务体验。 Copyright © 2023 布克学术 All rights reserved.
京ICP备2023020795号-1
ghs 京公网安备 11010802042870号
Book学术文献互助
Book学术文献互助群
群 号:604180095
Book学术官方微信