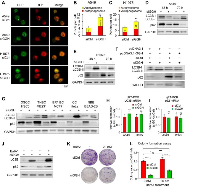
沉默GGH通过增加叶酸应激和NADH的产生诱导自噬。

IF 5.9 2区 生物学 Q2 CELL BIOLOGY
Yu Li, Yuhui Du, Sijie Chen, Zhangrong Xie, Xinrui Li, Baoyue Lin, Zhiqing Zhou, Huijie Zhao, Guoan Chen
{"title":"沉默GGH通过增加叶酸应激和NADH的产生诱导自噬。","authors":"Yu Li, Yuhui Du, Sijie Chen, Zhangrong Xie, Xinrui Li, Baoyue Lin, Zhiqing Zhou, Huijie Zhao, Guoan Chen","doi":"10.1093/jmcb/mjaf014","DOIUrl":null,"url":null,"abstract":"<p><p>There is an inextricable link between metabolic disorders and autophagy. Gamma-glutamyl hydrolase (GGH) is a lysosomal glycoprotein that reduces intracellular folate stress by catalyzing the hydrolysis of polyglutamylated folate into transportable monoglutamate. The relationship between folate metabolism, involving the folate metabolic enzyme GGH, and autophagy has rarely been reported. In this study, we found that GGH functions as a crucial oncogene in lung adenocarcinomas. Importantly, we found that cell autophagy and autophagic cell death are induced by GGH silencing through the elevated folate stress resulting from folate metabolism and the folate metabolite nicotinamide adenine dinucleotide (NADH). By increasing the NADH/NAD+ ratio, silencing GGH activates adenosine monophosphate-activated protein kinase (AMPK) through the activation of LKB1 and CAMKK2, as well as enhanced AMP/ATP and ADP/ATP ratios, which then triggers the initiation of early autophagy, finally resulting in autophagic cell death. Taken together, our study suggests that GGH may not only serve as a prognostic marker but also play a critical role in the initiation of early autophagy. Interventions targeting GGH to regulate folate metabolism and the proportion of NADH/NAD+ may have translational potential for precision therapy in human cancer.</p>","PeriodicalId":16433,"journal":{"name":"Journal of Molecular Cell Biology","volume":" ","pages":""},"PeriodicalIF":5.9000,"publicationDate":"2025-09-10","publicationTypes":"Journal Article","fieldsOfStudy":null,"isOpenAccess":false,"openAccessPdf":"https://www.ncbi.nlm.nih.gov/pmc/articles/PMC12527274/pdf/","citationCount":"0","resultStr":"{\"title\":\"Silencing GGH induces autophagy by increasing folate stress and production of NADH.\",\"authors\":\"Yu Li, Yuhui Du, Sijie Chen, Zhangrong Xie, Xinrui Li, Baoyue Lin, Zhiqing Zhou, Huijie Zhao, Guoan Chen\",\"doi\":\"10.1093/jmcb/mjaf014\",\"DOIUrl\":null,\"url\":null,\"abstract\":\"<p><p>There is an inextricable link between metabolic disorders and autophagy. Gamma-glutamyl hydrolase (GGH) is a lysosomal glycoprotein that reduces intracellular folate stress by catalyzing the hydrolysis of polyglutamylated folate into transportable monoglutamate. The relationship between folate metabolism, involving the folate metabolic enzyme GGH, and autophagy has rarely been reported. In this study, we found that GGH functions as a crucial oncogene in lung adenocarcinomas. Importantly, we found that cell autophagy and autophagic cell death are induced by GGH silencing through the elevated folate stress resulting from folate metabolism and the folate metabolite nicotinamide adenine dinucleotide (NADH). By increasing the NADH/NAD+ ratio, silencing GGH activates adenosine monophosphate-activated protein kinase (AMPK) through the activation of LKB1 and CAMKK2, as well as enhanced AMP/ATP and ADP/ATP ratios, which then triggers the initiation of early autophagy, finally resulting in autophagic cell death. Taken together, our study suggests that GGH may not only serve as a prognostic marker but also play a critical role in the initiation of early autophagy. Interventions targeting GGH to regulate folate metabolism and the proportion of NADH/NAD+ may have translational potential for precision therapy in human cancer.</p>\",\"PeriodicalId\":16433,\"journal\":{\"name\":\"Journal of Molecular Cell Biology\",\"volume\":\" \",\"pages\":\"\"},\"PeriodicalIF\":5.9000,\"publicationDate\":\"2025-09-10\",\"publicationTypes\":\"Journal Article\",\"fieldsOfStudy\":null,\"isOpenAccess\":false,\"openAccessPdf\":\"https://www.ncbi.nlm.nih.gov/pmc/articles/PMC12527274/pdf/\",\"citationCount\":\"0\",\"resultStr\":null,\"platform\":\"Semanticscholar\",\"paperid\":null,\"PeriodicalName\":\"Journal of Molecular Cell Biology\",\"FirstCategoryId\":\"99\",\"ListUrlMain\":\"https://doi.org/10.1093/jmcb/mjaf014\",\"RegionNum\":2,\"RegionCategory\":\"生物学\",\"ArticlePicture\":[],\"TitleCN\":null,\"AbstractTextCN\":null,\"PMCID\":null,\"EPubDate\":\"\",\"PubModel\":\"\",\"JCR\":\"Q2\",\"JCRName\":\"CELL BIOLOGY\",\"Score\":null,\"Total\":0}","platform":"Semanticscholar","paperid":null,"PeriodicalName":"Journal of Molecular Cell Biology","FirstCategoryId":"99","ListUrlMain":"https://doi.org/10.1093/jmcb/mjaf014","RegionNum":2,"RegionCategory":"生物学","ArticlePicture":[],"TitleCN":null,"AbstractTextCN":null,"PMCID":null,"EPubDate":"","PubModel":"","JCR":"Q2","JCRName":"CELL BIOLOGY","Score":null,"Total":0}
引用次数: 0

摘要

代谢紊乱和自噬之间有着不可分割的联系。γ -谷氨酰水解酶(GGH)是一种溶酶体糖蛋白,通过催化多谷氨酰叶酸水解成可运输的单谷氨酸来减少细胞内叶酸应激。叶酸代谢(包括叶酸代谢酶GGH)与自噬之间的关系鲜有报道。在本研究中,我们发现GGH在肺腺癌中是一个至关重要的致癌基因。重要的是,我们发现GGH沉默通过叶酸代谢和叶酸代谢物烟酰胺腺嘌呤二核苷酸(NADH)引起的叶酸应激升高诱导细胞自噬和自噬细胞死亡。通过增加NADH/NAD +比值,沉默GGH通过激活LKB1和CAMKK2激活AMPK,并提高AMP/ATP和ADP/ATP比值,从而触发早期自噬的启动,最终导致自噬细胞死亡。综上所述,我们的研究表明,GGH不仅可以作为预后标志物,还可以在早期自噬的启动中发挥关键作用。针对GGH调节叶酸代谢和NADH/NAD +比例的干预措施可能具有转化为人类癌症精准治疗的潜力。
本文章由计算机程序翻译,如有差异,请以英文原文为准。

Silencing GGH induces autophagy by increasing folate stress and production of NADH.

Silencing GGH induces autophagy by increasing folate stress and production of NADH.

Silencing GGH induces autophagy by increasing folate stress and production of NADH.

Silencing GGH induces autophagy by increasing folate stress and production of NADH.

There is an inextricable link between metabolic disorders and autophagy. Gamma-glutamyl hydrolase (GGH) is a lysosomal glycoprotein that reduces intracellular folate stress by catalyzing the hydrolysis of polyglutamylated folate into transportable monoglutamate. The relationship between folate metabolism, involving the folate metabolic enzyme GGH, and autophagy has rarely been reported. In this study, we found that GGH functions as a crucial oncogene in lung adenocarcinomas. Importantly, we found that cell autophagy and autophagic cell death are induced by GGH silencing through the elevated folate stress resulting from folate metabolism and the folate metabolite nicotinamide adenine dinucleotide (NADH). By increasing the NADH/NAD+ ratio, silencing GGH activates adenosine monophosphate-activated protein kinase (AMPK) through the activation of LKB1 and CAMKK2, as well as enhanced AMP/ATP and ADP/ATP ratios, which then triggers the initiation of early autophagy, finally resulting in autophagic cell death. Taken together, our study suggests that GGH may not only serve as a prognostic marker but also play a critical role in the initiation of early autophagy. Interventions targeting GGH to regulate folate metabolism and the proportion of NADH/NAD+ may have translational potential for precision therapy in human cancer.

求助全文
通过发布文献求助,成功后即可免费获取论文全文。 去求助
来源期刊
CiteScore
9.60
自引率
1.80%
发文量
1383
期刊介绍: The Journal of Molecular Cell Biology ( JMCB ) is a full open access, peer-reviewed online journal interested in inter-disciplinary studies at the cross-sections between molecular and cell biology as well as other disciplines of life sciences. The broad scope of JMCB reflects the merging of these life science disciplines such as stem cell research, signaling, genetics, epigenetics, genomics, development, immunology, cancer biology, molecular pathogenesis, neuroscience, and systems biology. The journal will publish primary research papers with findings of unusual significance and broad scientific interest. Review articles, letters and commentary on timely issues are also welcome. JMCB features an outstanding Editorial Board, which will serve as scientific advisors to the journal and provide strategic guidance for the development of the journal. By selecting only the best papers for publication, JMCB will provide a first rate publishing forum for scientists all over the world.
×
引用
GB/T 7714-2015
复制
MLA
复制
APA
复制
导出至
BibTeX EndNote RefMan NoteFirst NoteExpress
×
提示
您的信息不完整,为了账户安全,请先补充。
现在去补充
×
提示
您因"违规操作"
具体请查看互助需知
我知道了
×
提示
确定
请完成安全验证×
copy
已复制链接
快去分享给好友吧!
我知道了
右上角分享
点击右上角分享
0
联系我们:info@booksci.cn Book学术提供免费学术资源搜索服务,方便国内外学者检索中英文文献。致力于提供最便捷和优质的服务体验。 Copyright © 2023 布克学术 All rights reserved.
京ICP备2023020795号-1
ghs 京公网安备 11010802042870号
Book学术文献互助
Book学术文献互助群
群 号:604180095
Book学术官方微信