小儿甲型流感感染后慢性炎症性脱髓鞘性多神经病变:1例报告及文献复习。

IF 0.9 Q4 CLINICAL NEUROLOGY
Case Reports in Neurological Medicine Pub Date : 2025-05-05 eCollection Date: 2025-01-01 DOI:10.1155/crnm/8840308
Emily Grew, Garrett Gianneschi, Janet Elgallab
{"title":"小儿甲型流感感染后慢性炎症性脱髓鞘性多神经病变:1例报告及文献复习。","authors":"Emily Grew, Garrett Gianneschi, Janet Elgallab","doi":"10.1155/crnm/8840308","DOIUrl":null,"url":null,"abstract":"<p><p>Chronic inflammatory demyelinating polyneuropathy (CIDP) following viral infections and influenza vaccination has been well documented. However, there have been no confirmed natural influenza A infections leading to development of CIDP. Therefore, we present the case of a 6-year-old male who developed CIDP following a confirmed influenza A infection. Initially presenting with typical flu-like symptoms, the patient experienced a gradual onset of gait instability and leg weakness approximately 1 month later. Despite initial improvement with intravenous immunoglobulin therapy following a diagnosis of Guillain-Barré syndrome, his symptoms relapsed, including lower extremity weakness, incontinence, and sensory loss. Electromyography confirmed a demyelinating polyneuropathy, leading to a diagnosis of CIDP.</p>","PeriodicalId":9615,"journal":{"name":"Case Reports in Neurological Medicine","volume":"2025 ","pages":"8840308"},"PeriodicalIF":0.9000,"publicationDate":"2025-05-05","publicationTypes":"Journal Article","fieldsOfStudy":null,"isOpenAccess":false,"openAccessPdf":"https://www.ncbi.nlm.nih.gov/pmc/articles/PMC12069850/pdf/","citationCount":"0","resultStr":"{\"title\":\"Chronic Inflammatory Demyelinating Polyneuropathy Following Natural Influenza A Infection in a Pediatric Patient: A Case Report and Literature Review.\",\"authors\":\"Emily Grew, Garrett Gianneschi, Janet Elgallab\",\"doi\":\"10.1155/crnm/8840308\",\"DOIUrl\":null,\"url\":null,\"abstract\":\"<p><p>Chronic inflammatory demyelinating polyneuropathy (CIDP) following viral infections and influenza vaccination has been well documented. However, there have been no confirmed natural influenza A infections leading to development of CIDP. Therefore, we present the case of a 6-year-old male who developed CIDP following a confirmed influenza A infection. Initially presenting with typical flu-like symptoms, the patient experienced a gradual onset of gait instability and leg weakness approximately 1 month later. Despite initial improvement with intravenous immunoglobulin therapy following a diagnosis of Guillain-Barré syndrome, his symptoms relapsed, including lower extremity weakness, incontinence, and sensory loss. Electromyography confirmed a demyelinating polyneuropathy, leading to a diagnosis of CIDP.</p>\",\"PeriodicalId\":9615,\"journal\":{\"name\":\"Case Reports in Neurological Medicine\",\"volume\":\"2025 \",\"pages\":\"8840308\"},\"PeriodicalIF\":0.9000,\"publicationDate\":\"2025-05-05\",\"publicationTypes\":\"Journal Article\",\"fieldsOfStudy\":null,\"isOpenAccess\":false,\"openAccessPdf\":\"https://www.ncbi.nlm.nih.gov/pmc/articles/PMC12069850/pdf/\",\"citationCount\":\"0\",\"resultStr\":null,\"platform\":\"Semanticscholar\",\"paperid\":null,\"PeriodicalName\":\"Case Reports in Neurological Medicine\",\"FirstCategoryId\":\"1085\",\"ListUrlMain\":\"https://doi.org/10.1155/crnm/8840308\",\"RegionNum\":0,\"RegionCategory\":null,\"ArticlePicture\":[],\"TitleCN\":null,\"AbstractTextCN\":null,\"PMCID\":null,\"EPubDate\":\"2025/1/1 0:00:00\",\"PubModel\":\"eCollection\",\"JCR\":\"Q4\",\"JCRName\":\"CLINICAL NEUROLOGY\",\"Score\":null,\"Total\":0}","platform":"Semanticscholar","paperid":null,"PeriodicalName":"Case Reports in Neurological Medicine","FirstCategoryId":"1085","ListUrlMain":"https://doi.org/10.1155/crnm/8840308","RegionNum":0,"RegionCategory":null,"ArticlePicture":[],"TitleCN":null,"AbstractTextCN":null,"PMCID":null,"EPubDate":"2025/1/1 0:00:00","PubModel":"eCollection","JCR":"Q4","JCRName":"CLINICAL NEUROLOGY","Score":null,"Total":0}
引用次数: 0

摘要

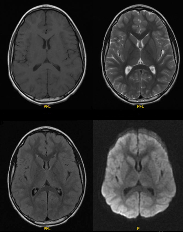
慢性炎症性脱髓鞘多神经病变(CIDP)后的病毒感染和流感疫苗接种已得到充分证明。然而,目前还没有证实的自然甲型流感感染导致CIDP的发展。因此,我们提出的情况下,6岁的男性谁开发CIDP后确诊甲型流感感染。患者最初表现为典型的流感样症状,大约1个月后逐渐出现步态不稳定和腿部无力。尽管在诊断为格林-巴-罗综合征后静脉注射免疫球蛋白治疗最初有所改善,但他的症状复发,包括下肢无力、大小便失禁和感觉丧失。肌电图证实脱髓鞘性多神经病变,诊断为CIDP。
本文章由计算机程序翻译,如有差异,请以英文原文为准。

Chronic Inflammatory Demyelinating Polyneuropathy Following Natural Influenza A Infection in a Pediatric Patient: A Case Report and Literature Review.

Chronic Inflammatory Demyelinating Polyneuropathy Following Natural Influenza A Infection in a Pediatric Patient: A Case Report and Literature Review.

Chronic Inflammatory Demyelinating Polyneuropathy Following Natural Influenza A Infection in a Pediatric Patient: A Case Report and Literature Review.

Chronic inflammatory demyelinating polyneuropathy (CIDP) following viral infections and influenza vaccination has been well documented. However, there have been no confirmed natural influenza A infections leading to development of CIDP. Therefore, we present the case of a 6-year-old male who developed CIDP following a confirmed influenza A infection. Initially presenting with typical flu-like symptoms, the patient experienced a gradual onset of gait instability and leg weakness approximately 1 month later. Despite initial improvement with intravenous immunoglobulin therapy following a diagnosis of Guillain-Barré syndrome, his symptoms relapsed, including lower extremity weakness, incontinence, and sensory loss. Electromyography confirmed a demyelinating polyneuropathy, leading to a diagnosis of CIDP.

求助全文
通过发布文献求助,成功后即可免费获取论文全文。 去求助
来源期刊
自引率
0.00%
发文量
26
审稿时长
11 weeks
×
引用
GB/T 7714-2015
复制
MLA
复制
APA
复制
导出至
BibTeX EndNote RefMan NoteFirst NoteExpress
×
提示
您的信息不完整,为了账户安全,请先补充。
现在去补充
×
提示
您因"违规操作"
具体请查看互助需知
我知道了
×
提示
确定
请完成安全验证×
copy
已复制链接
快去分享给好友吧!
我知道了
右上角分享
点击右上角分享
0
联系我们:info@booksci.cn Book学术提供免费学术资源搜索服务,方便国内外学者检索中英文文献。致力于提供最便捷和优质的服务体验。 Copyright © 2023 布克学术 All rights reserved.
京ICP备2023020795号-1
ghs 京公网安备 11010802042870号
Book学术文献互助
Book学术文献互助群
群 号:604180095
Book学术官方微信