缬草诱导的继发于纸莎草膜破裂的眼眶及皮下眼眶周围肺气肿1例。

IF 0.6 Q4 OPHTHALMOLOGY
Case Reports in Ophthalmology Pub Date : 2025-02-10 eCollection Date: 2025-01-01 DOI:10.1159/000544098
Stuti Misty Tanya, Merve Kulbay, Femida Kherani, Marc B Mydlarski
{"title":"缬草诱导的继发于纸莎草膜破裂的眼眶及皮下眼眶周围肺气肿1例。","authors":"Stuti Misty Tanya, Merve Kulbay, Femida Kherani, Marc B Mydlarski","doi":"10.1159/000544098","DOIUrl":null,"url":null,"abstract":"<p><strong>Introduction: </strong>Pneumo-orbit and periorbital subcutaneous emphysema secondary to defects in the sinus wall have been well described in the context of traumatic or surgical sequelae. However, these conditions may rarely occur atraumatically in the setting of an idiopathic or congenital sinus wall dehiscence, with a risk for orbital compartment syndrome and irreversible vision loss. We describe a case of idiopathic lamina papyracea dehiscence with resultant pneumo-orbit and elevated intraocular pressure.</p><p><strong>Case presentation: </strong>A 28-year-old man experienced a sudden onset of unilateral orbital and subcutaneous periorbital emphysema following Valsalva maneuver. He had unilateral subcutaneous emphysema, crepitus, violaceous discoloration of the lids, and chemosis of the palpebral conjunctiva. Visual acuity was intact, and intraocular pressure was mildly elevated. Imaging showed an idiopathic lamina papyracea dehiscence. The patient was advised of sinus precautions with uneventful spontaneous resolution and no visual sequelae.</p><p><strong>Conclusion: </strong>Lamina papyracea dehiscence predisposes to spontaneous Valsalva-induced orbital or periorbital emphysema with a risk of elevated intraocular pressure, optic neuropathy, and vision loss; prompt recognition and early management can prevent vision-threatening sequelae.</p>","PeriodicalId":9635,"journal":{"name":"Case Reports in Ophthalmology","volume":"16 1","pages":"202-206"},"PeriodicalIF":0.6000,"publicationDate":"2025-02-10","publicationTypes":"Journal Article","fieldsOfStudy":null,"isOpenAccess":false,"openAccessPdf":"https://www.ncbi.nlm.nih.gov/pmc/articles/PMC11908810/pdf/","citationCount":"0","resultStr":"{\"title\":\"Valsalva-Induced Orbital and Subcutaneous Periorbital Emphysema Secondary to Lamina Papyracea Dehiscence: A Case Report.\",\"authors\":\"Stuti Misty Tanya, Merve Kulbay, Femida Kherani, Marc B Mydlarski\",\"doi\":\"10.1159/000544098\",\"DOIUrl\":null,\"url\":null,\"abstract\":\"<p><strong>Introduction: </strong>Pneumo-orbit and periorbital subcutaneous emphysema secondary to defects in the sinus wall have been well described in the context of traumatic or surgical sequelae. However, these conditions may rarely occur atraumatically in the setting of an idiopathic or congenital sinus wall dehiscence, with a risk for orbital compartment syndrome and irreversible vision loss. We describe a case of idiopathic lamina papyracea dehiscence with resultant pneumo-orbit and elevated intraocular pressure.</p><p><strong>Case presentation: </strong>A 28-year-old man experienced a sudden onset of unilateral orbital and subcutaneous periorbital emphysema following Valsalva maneuver. He had unilateral subcutaneous emphysema, crepitus, violaceous discoloration of the lids, and chemosis of the palpebral conjunctiva. Visual acuity was intact, and intraocular pressure was mildly elevated. Imaging showed an idiopathic lamina papyracea dehiscence. The patient was advised of sinus precautions with uneventful spontaneous resolution and no visual sequelae.</p><p><strong>Conclusion: </strong>Lamina papyracea dehiscence predisposes to spontaneous Valsalva-induced orbital or periorbital emphysema with a risk of elevated intraocular pressure, optic neuropathy, and vision loss; prompt recognition and early management can prevent vision-threatening sequelae.</p>\",\"PeriodicalId\":9635,\"journal\":{\"name\":\"Case Reports in Ophthalmology\",\"volume\":\"16 1\",\"pages\":\"202-206\"},\"PeriodicalIF\":0.6000,\"publicationDate\":\"2025-02-10\",\"publicationTypes\":\"Journal Article\",\"fieldsOfStudy\":null,\"isOpenAccess\":false,\"openAccessPdf\":\"https://www.ncbi.nlm.nih.gov/pmc/articles/PMC11908810/pdf/\",\"citationCount\":\"0\",\"resultStr\":null,\"platform\":\"Semanticscholar\",\"paperid\":null,\"PeriodicalName\":\"Case Reports in Ophthalmology\",\"FirstCategoryId\":\"1085\",\"ListUrlMain\":\"https://doi.org/10.1159/000544098\",\"RegionNum\":0,\"RegionCategory\":null,\"ArticlePicture\":[],\"TitleCN\":null,\"AbstractTextCN\":null,\"PMCID\":null,\"EPubDate\":\"2025/1/1 0:00:00\",\"PubModel\":\"eCollection\",\"JCR\":\"Q4\",\"JCRName\":\"OPHTHALMOLOGY\",\"Score\":null,\"Total\":0}","platform":"Semanticscholar","paperid":null,"PeriodicalName":"Case Reports in Ophthalmology","FirstCategoryId":"1085","ListUrlMain":"https://doi.org/10.1159/000544098","RegionNum":0,"RegionCategory":null,"ArticlePicture":[],"TitleCN":null,"AbstractTextCN":null,"PMCID":null,"EPubDate":"2025/1/1 0:00:00","PubModel":"eCollection","JCR":"Q4","JCRName":"OPHTHALMOLOGY","Score":null,"Total":0}
引用次数: 0

摘要

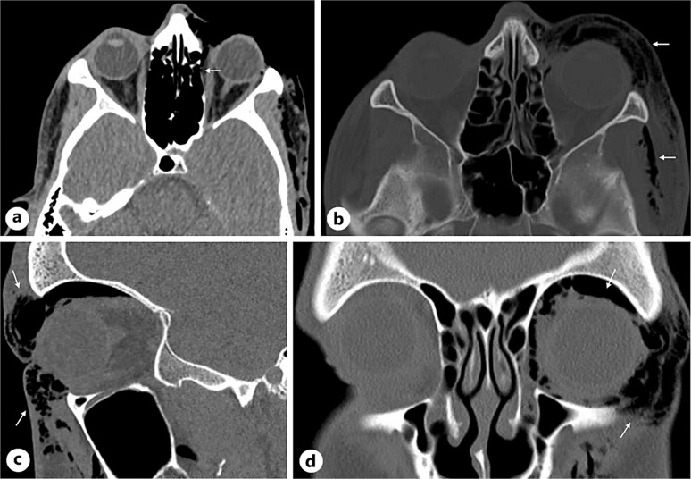
简介:在创伤或手术后遗症的背景下,继发于窦壁缺陷的气眶和眶周皮下肺气肿已被很好地描述。然而,这些情况很少发生在特发性或先天性窦壁破裂的情况下,有发生眶间室综合征和不可逆视力丧失的风险。我们描述了一个特发性纸莎草膜裂开的病例,导致眼窝充气和眼压升高。病例介绍:一名28岁男性在Valsalva手术后突然发作单侧眼眶及皮下眼眶周围肺气肿。他有单侧皮下肺气肿、耳垂、眼睑紫色变色和眼睑结膜化脓。视力完好,眼压轻度升高。影像学显示特发性纸莎草膜开裂。患者被告知鼻窦的预防措施,平稳自发解决,无视觉后遗症。结论:纸草膜开裂易发生自发性缬草碱诱导的眼眶或眶周肺气肿,并有眼压升高、视神经病变和视力丧失的风险;及时识别和早期治疗可以防止视力威胁的后遗症。
本文章由计算机程序翻译,如有差异,请以英文原文为准。

Valsalva-Induced Orbital and Subcutaneous Periorbital Emphysema Secondary to Lamina Papyracea Dehiscence: A Case Report.

Valsalva-Induced Orbital and Subcutaneous Periorbital Emphysema Secondary to Lamina Papyracea Dehiscence: A Case Report.

Valsalva-Induced Orbital and Subcutaneous Periorbital Emphysema Secondary to Lamina Papyracea Dehiscence: A Case Report.

Introduction: Pneumo-orbit and periorbital subcutaneous emphysema secondary to defects in the sinus wall have been well described in the context of traumatic or surgical sequelae. However, these conditions may rarely occur atraumatically in the setting of an idiopathic or congenital sinus wall dehiscence, with a risk for orbital compartment syndrome and irreversible vision loss. We describe a case of idiopathic lamina papyracea dehiscence with resultant pneumo-orbit and elevated intraocular pressure.

Case presentation: A 28-year-old man experienced a sudden onset of unilateral orbital and subcutaneous periorbital emphysema following Valsalva maneuver. He had unilateral subcutaneous emphysema, crepitus, violaceous discoloration of the lids, and chemosis of the palpebral conjunctiva. Visual acuity was intact, and intraocular pressure was mildly elevated. Imaging showed an idiopathic lamina papyracea dehiscence. The patient was advised of sinus precautions with uneventful spontaneous resolution and no visual sequelae.

Conclusion: Lamina papyracea dehiscence predisposes to spontaneous Valsalva-induced orbital or periorbital emphysema with a risk of elevated intraocular pressure, optic neuropathy, and vision loss; prompt recognition and early management can prevent vision-threatening sequelae.

求助全文
通过发布文献求助,成功后即可免费获取论文全文。 去求助
来源期刊
CiteScore
0.90
自引率
0.00%
发文量
129
审稿时长
12 weeks
期刊介绍: This peer-reviewed online-only journal publishes original case reports covering the entire spectrum of ophthalmology, including prevention, diagnosis, treatment, toxicities of therapy, supportive care, quality-of-life, and survivorship issues. The submission of negative results is strongly encouraged. The journal will also accept case reports dealing with the use of novel technologies, both in the arena of diagnosis and treatment. Supplementary material is welcomed. The intent of the journal is to provide clinicians and researchers with a tool to disseminate their personal experiences to a wider public as well as to review interesting cases encountered by colleagues all over the world. Universally used terms can be searched across the entire growing collection of case reports, further facilitating the retrieval of specific information. Following the open access principle, the entire contents can be retrieved at no charge, guaranteeing easy access to this valuable source of anecdotal information at all times.
×
引用
GB/T 7714-2015
复制
MLA
复制
APA
复制
导出至
BibTeX EndNote RefMan NoteFirst NoteExpress
×
提示
您的信息不完整,为了账户安全,请先补充。
现在去补充
×
提示
您因"违规操作"
具体请查看互助需知
我知道了
×
提示
确定
请完成安全验证×
copy
已复制链接
快去分享给好友吧!
我知道了
右上角分享
点击右上角分享
0
联系我们:info@booksci.cn Book学术提供免费学术资源搜索服务,方便国内外学者检索中英文文献。致力于提供最便捷和优质的服务体验。 Copyright © 2023 布克学术 All rights reserved.
京ICP备2023020795号-1
ghs 京公网安备 11010802042870号
Book学术文献互助
Book学术文献互助群
群 号:604180095
Book学术官方微信