迟发性系统性红斑狼疮伴狼疮肾炎、MPO-ANCA pauci免疫肾小球肾炎和结核的重叠综合征:一种罕见的关联。

Case Reports in Nephrology Pub Date : 2025-02-26 eCollection Date: 2025-01-01 DOI:10.1155/crin/5285961
Jaime Arturo Dulce Muñoz, Gustavo José Aroca Martínez, Christian David Seni Hernández, Diana Marcela Perea Rojas, Omar Cabarcas Barbosa, Lucia Mercedes Niño Hernández, Dario Jose Gaivao Arciniegas, Camila María García Jarava, Marianela Olivares Olmos, Sebastian Andre Seni Hernández, Valentina Pérez Jiménez, Indiana Luz Rojas Torres
{"title":"迟发性系统性红斑狼疮伴狼疮肾炎、MPO-ANCA pauci免疫肾小球肾炎和结核的重叠综合征:一种罕见的关联。","authors":"Jaime Arturo Dulce Muñoz, Gustavo José Aroca Martínez, Christian David Seni Hernández, Diana Marcela Perea Rojas, Omar Cabarcas Barbosa, Lucia Mercedes Niño Hernández, Dario Jose Gaivao Arciniegas, Camila María García Jarava, Marianela Olivares Olmos, Sebastian Andre Seni Hernández, Valentina Pérez Jiménez, Indiana Luz Rojas Torres","doi":"10.1155/crin/5285961","DOIUrl":null,"url":null,"abstract":"<p><p>Systemic lupus erythematosus is a systemic autoimmune pathology that generally presents in young people and manifests acutely, while its late presentation in people over 50 years of age is rare and insidious. Vasculitis is a pathology that affects any vessel producing fibrinoid necrosis, and presents with a positive antineutrophil cytoplasmic antibody. The concomitance of these two entities is rare and leads to worse clinical outcomes. We present a 73-year-old female patient who presented with rapidly progressive glomerulonephritis requiring renal replacement therapy, pulmonary tuberculosis, late-onset lupus erythematosus with lupus nephritis, and a positive result for neutrophil cytoplasmic antibody. An immune-mediated extracapillary proliferative glomerulonephritis was found when the biopsy was performed, with obvious signs of vasculitis, an overlap syndrome was found between these entities. She was initially treated with antituberculosis therapy, boluses of methylprednisolone and continued with intermittent renal replacement therapy; however, due to the severity of his pathologies, she had a fatal outcome. The concomitance between these autoimmune pathologies is unusual; there is a late-onset overlap syndrome between lupus nephritis accompanied by myeloperoxidase-antineutrophil cytoplasmic antibody and pauci-immune glomerulonephritis. The dual presentation establishes clinical challenges for its diagnosis as well as the initiation of immunosuppressive therapy when there are additional infectious pathologies.</p>","PeriodicalId":9604,"journal":{"name":"Case Reports in Nephrology","volume":"2025 ","pages":"5285961"},"PeriodicalIF":0.0000,"publicationDate":"2025-02-26","publicationTypes":"Journal Article","fieldsOfStudy":null,"isOpenAccess":false,"openAccessPdf":"https://www.ncbi.nlm.nih.gov/pmc/articles/PMC11985223/pdf/","citationCount":"0","resultStr":"{\"title\":\"Overlap Syndrome in Late-Onset Systemic Lupus Erythematosus With Lupus Nephritis and MPO-ANCA Pauci-Immune Glomerulonephritis and Tuberculosis: An Uncommon Association.\",\"authors\":\"Jaime Arturo Dulce Muñoz, Gustavo José Aroca Martínez, Christian David Seni Hernández, Diana Marcela Perea Rojas, Omar Cabarcas Barbosa, Lucia Mercedes Niño Hernández, Dario Jose Gaivao Arciniegas, Camila María García Jarava, Marianela Olivares Olmos, Sebastian Andre Seni Hernández, Valentina Pérez Jiménez, Indiana Luz Rojas Torres\",\"doi\":\"10.1155/crin/5285961\",\"DOIUrl\":null,\"url\":null,\"abstract\":\"<p><p>Systemic lupus erythematosus is a systemic autoimmune pathology that generally presents in young people and manifests acutely, while its late presentation in people over 50 years of age is rare and insidious. Vasculitis is a pathology that affects any vessel producing fibrinoid necrosis, and presents with a positive antineutrophil cytoplasmic antibody. The concomitance of these two entities is rare and leads to worse clinical outcomes. We present a 73-year-old female patient who presented with rapidly progressive glomerulonephritis requiring renal replacement therapy, pulmonary tuberculosis, late-onset lupus erythematosus with lupus nephritis, and a positive result for neutrophil cytoplasmic antibody. An immune-mediated extracapillary proliferative glomerulonephritis was found when the biopsy was performed, with obvious signs of vasculitis, an overlap syndrome was found between these entities. She was initially treated with antituberculosis therapy, boluses of methylprednisolone and continued with intermittent renal replacement therapy; however, due to the severity of his pathologies, she had a fatal outcome. The concomitance between these autoimmune pathologies is unusual; there is a late-onset overlap syndrome between lupus nephritis accompanied by myeloperoxidase-antineutrophil cytoplasmic antibody and pauci-immune glomerulonephritis. The dual presentation establishes clinical challenges for its diagnosis as well as the initiation of immunosuppressive therapy when there are additional infectious pathologies.</p>\",\"PeriodicalId\":9604,\"journal\":{\"name\":\"Case Reports in Nephrology\",\"volume\":\"2025 \",\"pages\":\"5285961\"},\"PeriodicalIF\":0.0000,\"publicationDate\":\"2025-02-26\",\"publicationTypes\":\"Journal Article\",\"fieldsOfStudy\":null,\"isOpenAccess\":false,\"openAccessPdf\":\"https://www.ncbi.nlm.nih.gov/pmc/articles/PMC11985223/pdf/\",\"citationCount\":\"0\",\"resultStr\":null,\"platform\":\"Semanticscholar\",\"paperid\":null,\"PeriodicalName\":\"Case Reports in Nephrology\",\"FirstCategoryId\":\"1085\",\"ListUrlMain\":\"https://doi.org/10.1155/crin/5285961\",\"RegionNum\":0,\"RegionCategory\":null,\"ArticlePicture\":[],\"TitleCN\":null,\"AbstractTextCN\":null,\"PMCID\":null,\"EPubDate\":\"2025/1/1 0:00:00\",\"PubModel\":\"eCollection\",\"JCR\":\"\",\"JCRName\":\"\",\"Score\":null,\"Total\":0}","platform":"Semanticscholar","paperid":null,"PeriodicalName":"Case Reports in Nephrology","FirstCategoryId":"1085","ListUrlMain":"https://doi.org/10.1155/crin/5285961","RegionNum":0,"RegionCategory":null,"ArticlePicture":[],"TitleCN":null,"AbstractTextCN":null,"PMCID":null,"EPubDate":"2025/1/1 0:00:00","PubModel":"eCollection","JCR":"","JCRName":"","Score":null,"Total":0}
引用次数: 0

摘要

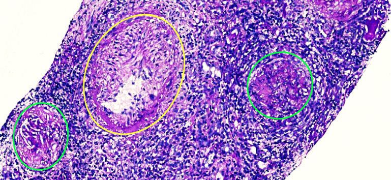
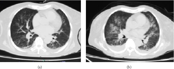
系统性红斑狼疮是一种全身性自身免疫性病理,通常出现在年轻人中,表现为急性,而在50岁以上的人群中,它的晚期表现是罕见的和隐匿的。血管炎是一种影响任何产生纤维蛋白样坏死的血管的病理,表现为抗中性粒细胞细胞质抗体阳性。这两种情况的同时发生是罕见的,并导致较差的临床结果。我们报告了一位73岁的女性患者,她表现为快速进展的肾小球肾炎,需要肾脏替代治疗,肺结核,迟发性红斑狼疮伴狼疮肾炎,中性粒细胞胞浆抗体阳性。活检时发现免疫介导的毛细血管外增生性肾小球肾炎,伴有明显的血管炎征象,在这些实体之间发现重叠综合征。她最初接受抗结核治疗、大剂量甲基强的松龙治疗,并继续接受间歇性肾脏替代治疗;然而,由于他的病情严重,她有了致命的结局。这些自身免疫病变之间的共存是不寻常的;狼疮性肾炎伴髓过氧化物酶-抗中性粒细胞胞浆抗体与少免疫肾小球肾炎之间存在迟发性重叠综合征。双重表现建立临床挑战,其诊断以及免疫抑制治疗的启动时,有额外的感染性病理。
本文章由计算机程序翻译,如有差异,请以英文原文为准。

Overlap Syndrome in Late-Onset Systemic Lupus Erythematosus With Lupus Nephritis and MPO-ANCA Pauci-Immune Glomerulonephritis and Tuberculosis: An Uncommon Association.

Overlap Syndrome in Late-Onset Systemic Lupus Erythematosus With Lupus Nephritis and MPO-ANCA Pauci-Immune Glomerulonephritis and Tuberculosis: An Uncommon Association.

Overlap Syndrome in Late-Onset Systemic Lupus Erythematosus With Lupus Nephritis and MPO-ANCA Pauci-Immune Glomerulonephritis and Tuberculosis: An Uncommon Association.

Overlap Syndrome in Late-Onset Systemic Lupus Erythematosus With Lupus Nephritis and MPO-ANCA Pauci-Immune Glomerulonephritis and Tuberculosis: An Uncommon Association.

Systemic lupus erythematosus is a systemic autoimmune pathology that generally presents in young people and manifests acutely, while its late presentation in people over 50 years of age is rare and insidious. Vasculitis is a pathology that affects any vessel producing fibrinoid necrosis, and presents with a positive antineutrophil cytoplasmic antibody. The concomitance of these two entities is rare and leads to worse clinical outcomes. We present a 73-year-old female patient who presented with rapidly progressive glomerulonephritis requiring renal replacement therapy, pulmonary tuberculosis, late-onset lupus erythematosus with lupus nephritis, and a positive result for neutrophil cytoplasmic antibody. An immune-mediated extracapillary proliferative glomerulonephritis was found when the biopsy was performed, with obvious signs of vasculitis, an overlap syndrome was found between these entities. She was initially treated with antituberculosis therapy, boluses of methylprednisolone and continued with intermittent renal replacement therapy; however, due to the severity of his pathologies, she had a fatal outcome. The concomitance between these autoimmune pathologies is unusual; there is a late-onset overlap syndrome between lupus nephritis accompanied by myeloperoxidase-antineutrophil cytoplasmic antibody and pauci-immune glomerulonephritis. The dual presentation establishes clinical challenges for its diagnosis as well as the initiation of immunosuppressive therapy when there are additional infectious pathologies.

求助全文
通过发布文献求助,成功后即可免费获取论文全文。 去求助
来源期刊
Case Reports in Nephrology
Case Reports in Nephrology Medicine-Nephrology
CiteScore
1.70
自引率
0.00%
发文量
32
×
引用
GB/T 7714-2015
复制
MLA
复制
APA
复制
导出至
BibTeX EndNote RefMan NoteFirst NoteExpress
×
提示
您的信息不完整,为了账户安全,请先补充。
现在去补充
×
提示
您因"违规操作"
具体请查看互助需知
我知道了
×
提示
确定
请完成安全验证×
copy
已复制链接
快去分享给好友吧!
我知道了
右上角分享
点击右上角分享
0
联系我们:info@booksci.cn Book学术提供免费学术资源搜索服务,方便国内外学者检索中英文文献。致力于提供最便捷和优质的服务体验。 Copyright © 2023 布克学术 All rights reserved.
京ICP备2023020795号-1
ghs 京公网安备 11010802042870号
Book学术文献互助
Book学术文献互助群
群 号:604180095
Book学术官方微信