哮喘患者气道循环是否影响气流阻塞?

IF 3.4 3区 医学 Q1 RESPIRATORY SYSTEM
Adam Wanner
{"title":"哮喘患者气道循环是否影响气流阻塞?","authors":"Adam Wanner","doi":"10.1136/bmjresp-2024-002575","DOIUrl":null,"url":null,"abstract":"<p><p>The airway wall is thickened in asthma and the airway microvasculature participates in the remodelling. It has been assumed but not convincingly demonstrated that the remodelled airway vasculature has a mechanical role in asthma-associated airflow obstruction by contributing to the thickening of the airway wall and narrowing of the airway. This review examines the literature providing information in support of and against this assumption and raises questions about therapeutically targeting the airway circulation directly in patients with asthma.</p>","PeriodicalId":9048,"journal":{"name":"BMJ Open Respiratory Research","volume":"12 1","pages":""},"PeriodicalIF":3.4000,"publicationDate":"2025-04-17","publicationTypes":"Journal Article","fieldsOfStudy":null,"isOpenAccess":false,"openAccessPdf":"https://www.ncbi.nlm.nih.gov/pmc/articles/PMC12007055/pdf/","citationCount":"0","resultStr":"{\"title\":\"Does the airway circulation influence airflow obstruction in asthma?\",\"authors\":\"Adam Wanner\",\"doi\":\"10.1136/bmjresp-2024-002575\",\"DOIUrl\":null,\"url\":null,\"abstract\":\"<p><p>The airway wall is thickened in asthma and the airway microvasculature participates in the remodelling. It has been assumed but not convincingly demonstrated that the remodelled airway vasculature has a mechanical role in asthma-associated airflow obstruction by contributing to the thickening of the airway wall and narrowing of the airway. This review examines the literature providing information in support of and against this assumption and raises questions about therapeutically targeting the airway circulation directly in patients with asthma.</p>\",\"PeriodicalId\":9048,\"journal\":{\"name\":\"BMJ Open Respiratory Research\",\"volume\":\"12 1\",\"pages\":\"\"},\"PeriodicalIF\":3.4000,\"publicationDate\":\"2025-04-17\",\"publicationTypes\":\"Journal Article\",\"fieldsOfStudy\":null,\"isOpenAccess\":false,\"openAccessPdf\":\"https://www.ncbi.nlm.nih.gov/pmc/articles/PMC12007055/pdf/\",\"citationCount\":\"0\",\"resultStr\":null,\"platform\":\"Semanticscholar\",\"paperid\":null,\"PeriodicalName\":\"BMJ Open Respiratory Research\",\"FirstCategoryId\":\"3\",\"ListUrlMain\":\"https://doi.org/10.1136/bmjresp-2024-002575\",\"RegionNum\":3,\"RegionCategory\":\"医学\",\"ArticlePicture\":[],\"TitleCN\":null,\"AbstractTextCN\":null,\"PMCID\":null,\"EPubDate\":\"\",\"PubModel\":\"\",\"JCR\":\"Q1\",\"JCRName\":\"RESPIRATORY SYSTEM\",\"Score\":null,\"Total\":0}","platform":"Semanticscholar","paperid":null,"PeriodicalName":"BMJ Open Respiratory Research","FirstCategoryId":"3","ListUrlMain":"https://doi.org/10.1136/bmjresp-2024-002575","RegionNum":3,"RegionCategory":"医学","ArticlePicture":[],"TitleCN":null,"AbstractTextCN":null,"PMCID":null,"EPubDate":"","PubModel":"","JCR":"Q1","JCRName":"RESPIRATORY SYSTEM","Score":null,"Total":0}
引用次数: 0

摘要

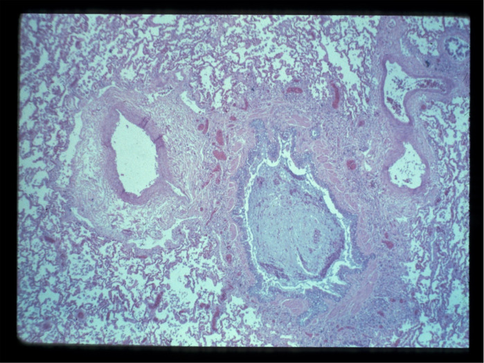
哮喘患者气道壁增厚,气道微血管参与气道壁的重塑。有假设,但没有令人信服的证据表明,重塑的气道血管在哮喘相关的气流阻塞中具有机械作用,有助于气道壁增厚和气道狭窄。本综述研究了支持和反对这一假设的文献,并提出了关于治疗哮喘患者直接靶向气道循环的问题。
本文章由计算机程序翻译,如有差异,请以英文原文为准。

Does the airway circulation influence airflow obstruction in asthma?

Does the airway circulation influence airflow obstruction in asthma?

Does the airway circulation influence airflow obstruction in asthma?

Does the airway circulation influence airflow obstruction in asthma?

The airway wall is thickened in asthma and the airway microvasculature participates in the remodelling. It has been assumed but not convincingly demonstrated that the remodelled airway vasculature has a mechanical role in asthma-associated airflow obstruction by contributing to the thickening of the airway wall and narrowing of the airway. This review examines the literature providing information in support of and against this assumption and raises questions about therapeutically targeting the airway circulation directly in patients with asthma.

求助全文
通过发布文献求助,成功后即可免费获取论文全文。 去求助
来源期刊
BMJ Open Respiratory Research
BMJ Open Respiratory Research RESPIRATORY SYSTEM-
CiteScore
6.60
自引率
2.40%
发文量
95
审稿时长
12 weeks
期刊介绍: BMJ Open Respiratory Research is a peer-reviewed, open access journal publishing respiratory and critical care medicine. It is the sister journal to Thorax and co-owned by the British Thoracic Society and BMJ. The journal focuses on robustness of methodology and scientific rigour with less emphasis on novelty or perceived impact. BMJ Open Respiratory Research operates a rapid review process, with continuous publication online, ensuring timely, up-to-date research is available worldwide. The journal publishes review articles and all research study types: Basic science including laboratory based experiments and animal models, Pilot studies or proof of concept, Observational studies, Study protocols, Registries, Clinical trials from phase I to multicentre randomised clinical trials, Systematic reviews and meta-analyses.
×
引用
GB/T 7714-2015
复制
MLA
复制
APA
复制
导出至
BibTeX EndNote RefMan NoteFirst NoteExpress
×
提示
您的信息不完整,为了账户安全,请先补充。
现在去补充
×
提示
您因"违规操作"
具体请查看互助需知
我知道了
×
提示
确定
请完成安全验证×
copy
已复制链接
快去分享给好友吧!
我知道了
右上角分享
点击右上角分享
0
联系我们:info@booksci.cn Book学术提供免费学术资源搜索服务,方便国内外学者检索中英文文献。致力于提供最便捷和优质的服务体验。 Copyright © 2023 布克学术 All rights reserved.
京ICP备2023020795号-1
ghs 京公网安备 11010802042870号
Book学术文献互助
Book学术文献互助群
群 号:604180095
Book学术官方微信