生殖系统和乳房转移-女孩软组织和骨肉瘤转移的叙述回顾和病例系列。

Polish journal of radiology Pub Date : 2025-02-13 eCollection Date: 2025-01-01 DOI:10.5114/pjr/200008
Paulina Sobieraj, Katarzyna Bilska, Monika Bekiesinska-Figatowska
{"title":"生殖系统和乳房转移-女孩软组织和骨肉瘤转移的叙述回顾和病例系列。","authors":"Paulina Sobieraj, Katarzyna Bilska, Monika Bekiesinska-Figatowska","doi":"10.5114/pjr/200008","DOIUrl":null,"url":null,"abstract":"<p><p>Four cases of girls with metastases of soft tissue or bone sarcomas to the reproductive system or breasts are reported. Two patients had metastases to the breast from rhabdomyosarcoma (RMS) of the limbs, one had metastases to the ovary from RMS of the foot, and one had metastases to the uterine venous plexus from chondrosarcoma of the sacrum. In each case, the appearance of metastases was shown in various imaging methods: ultrasound, magnetic resonance imaging, and computed tomography. A thorough literature review confirmed that only a few cases of soft tissue and bone sarcoma metastasis to the locations of primary interest of this article in girls have been described, especially in the context of reproductive organs. Despite the rare occurrence of this type of metastases, the malignant tumours mentioned above should be considered when differentiating the source. These rare clinical situations are woven into a review of malignant neoplasms' metastases to the reproductive organs and breast.</p>","PeriodicalId":94174,"journal":{"name":"Polish journal of radiology","volume":"90 ","pages":"e84-e96"},"PeriodicalIF":0.0000,"publicationDate":"2025-02-13","publicationTypes":"Journal Article","fieldsOfStudy":null,"isOpenAccess":false,"openAccessPdf":"https://www.ncbi.nlm.nih.gov/pmc/articles/PMC11973706/pdf/","citationCount":"0","resultStr":"{\"title\":\"The reproductive system and breast metastases - a narrative review and case series of metastases from soft tissue and bone sarcomas in girls.\",\"authors\":\"Paulina Sobieraj, Katarzyna Bilska, Monika Bekiesinska-Figatowska\",\"doi\":\"10.5114/pjr/200008\",\"DOIUrl\":null,\"url\":null,\"abstract\":\"<p><p>Four cases of girls with metastases of soft tissue or bone sarcomas to the reproductive system or breasts are reported. Two patients had metastases to the breast from rhabdomyosarcoma (RMS) of the limbs, one had metastases to the ovary from RMS of the foot, and one had metastases to the uterine venous plexus from chondrosarcoma of the sacrum. In each case, the appearance of metastases was shown in various imaging methods: ultrasound, magnetic resonance imaging, and computed tomography. A thorough literature review confirmed that only a few cases of soft tissue and bone sarcoma metastasis to the locations of primary interest of this article in girls have been described, especially in the context of reproductive organs. Despite the rare occurrence of this type of metastases, the malignant tumours mentioned above should be considered when differentiating the source. These rare clinical situations are woven into a review of malignant neoplasms' metastases to the reproductive organs and breast.</p>\",\"PeriodicalId\":94174,\"journal\":{\"name\":\"Polish journal of radiology\",\"volume\":\"90 \",\"pages\":\"e84-e96\"},\"PeriodicalIF\":0.0000,\"publicationDate\":\"2025-02-13\",\"publicationTypes\":\"Journal Article\",\"fieldsOfStudy\":null,\"isOpenAccess\":false,\"openAccessPdf\":\"https://www.ncbi.nlm.nih.gov/pmc/articles/PMC11973706/pdf/\",\"citationCount\":\"0\",\"resultStr\":null,\"platform\":\"Semanticscholar\",\"paperid\":null,\"PeriodicalName\":\"Polish journal of radiology\",\"FirstCategoryId\":\"1085\",\"ListUrlMain\":\"https://doi.org/10.5114/pjr/200008\",\"RegionNum\":0,\"RegionCategory\":null,\"ArticlePicture\":[],\"TitleCN\":null,\"AbstractTextCN\":null,\"PMCID\":null,\"EPubDate\":\"2025/1/1 0:00:00\",\"PubModel\":\"eCollection\",\"JCR\":\"\",\"JCRName\":\"\",\"Score\":null,\"Total\":0}","platform":"Semanticscholar","paperid":null,"PeriodicalName":"Polish journal of radiology","FirstCategoryId":"1085","ListUrlMain":"https://doi.org/10.5114/pjr/200008","RegionNum":0,"RegionCategory":null,"ArticlePicture":[],"TitleCN":null,"AbstractTextCN":null,"PMCID":null,"EPubDate":"2025/1/1 0:00:00","PubModel":"eCollection","JCR":"","JCRName":"","Score":null,"Total":0}
引用次数: 0

摘要

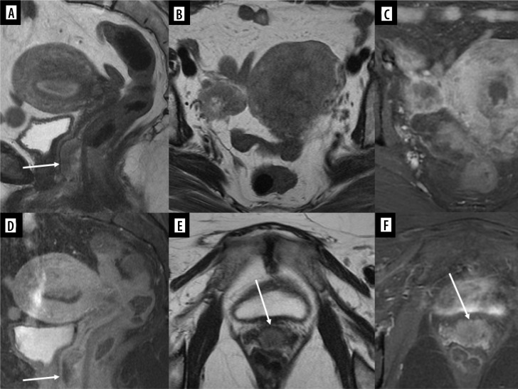
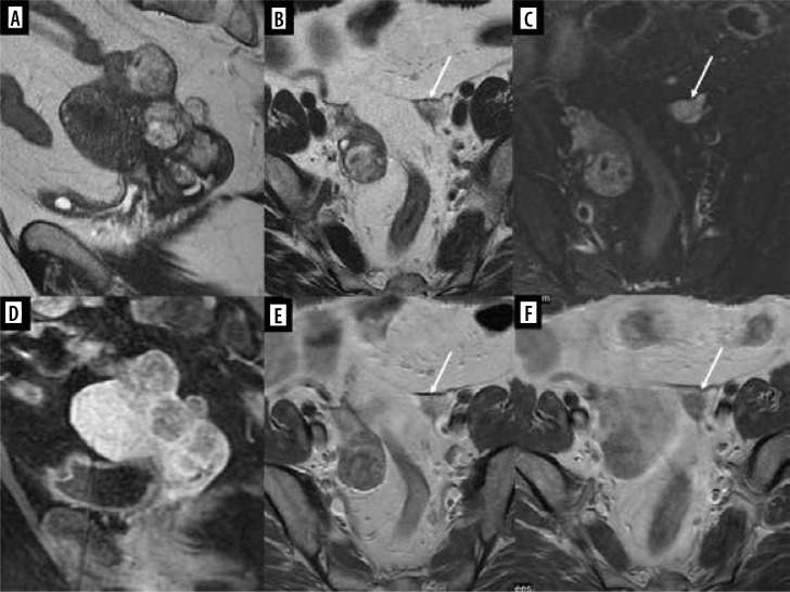
报告了四例软组织或骨肉瘤转移到生殖系统或乳房的女孩病例。其中两名患者的四肢横纹肌肉瘤(RMS)转移至乳房,一名患者的足部横纹肌肉瘤转移至卵巢,一名患者的骶骨软骨肉瘤转移至子宫静脉丛。在每个病例中,转移灶的外观都通过不同的成像方法显示出来:超声波、磁共振成像和计算机断层扫描。全面的文献回顾证实,只有少数病例描述过女孩软组织和骨肉瘤转移到本文主要关注的部位,尤其是生殖器官。尽管这种类型的转移很少发生,但在区分来源时,仍应考虑上述恶性肿瘤。这些罕见的临床情况被编织成一篇关于恶性肿瘤转移到生殖器官和乳房的综述。
本文章由计算机程序翻译,如有差异,请以英文原文为准。

The reproductive system and breast metastases - a narrative review and case series of metastases from soft tissue and bone sarcomas in girls.

The reproductive system and breast metastases - a narrative review and case series of metastases from soft tissue and bone sarcomas in girls.

The reproductive system and breast metastases - a narrative review and case series of metastases from soft tissue and bone sarcomas in girls.

The reproductive system and breast metastases - a narrative review and case series of metastases from soft tissue and bone sarcomas in girls.

Four cases of girls with metastases of soft tissue or bone sarcomas to the reproductive system or breasts are reported. Two patients had metastases to the breast from rhabdomyosarcoma (RMS) of the limbs, one had metastases to the ovary from RMS of the foot, and one had metastases to the uterine venous plexus from chondrosarcoma of the sacrum. In each case, the appearance of metastases was shown in various imaging methods: ultrasound, magnetic resonance imaging, and computed tomography. A thorough literature review confirmed that only a few cases of soft tissue and bone sarcoma metastasis to the locations of primary interest of this article in girls have been described, especially in the context of reproductive organs. Despite the rare occurrence of this type of metastases, the malignant tumours mentioned above should be considered when differentiating the source. These rare clinical situations are woven into a review of malignant neoplasms' metastases to the reproductive organs and breast.

求助全文
通过发布文献求助,成功后即可免费获取论文全文。 去求助
来源期刊
CiteScore
2.10
自引率
0.00%
发文量
0
×
引用
GB/T 7714-2015
复制
MLA
复制
APA
复制
导出至
BibTeX EndNote RefMan NoteFirst NoteExpress
×
提示
您的信息不完整,为了账户安全,请先补充。
现在去补充
×
提示
您因"违规操作"
具体请查看互助需知
我知道了
×
提示
确定
请完成安全验证×
copy
已复制链接
快去分享给好友吧!
我知道了
右上角分享
点击右上角分享
0
联系我们:info@booksci.cn Book学术提供免费学术资源搜索服务,方便国内外学者检索中英文文献。致力于提供最便捷和优质的服务体验。 Copyright © 2023 布克学术 All rights reserved.
京ICP备2023020795号-1
ghs 京公网安备 11010802042870号
Book学术文献互助
Book学术文献互助群
群 号:604180095
Book学术官方微信