具有挑战性和独特诊断的VEXAS综合征:1例报告。

IF 0.8 Q3 MEDICINE, GENERAL & INTERNAL
Jowan Al-Nusair, Olivia Lim, Leena Alhusari, Abdelwahap Elghezewi, Mahmoud Abdallah, Mohamed Alshal, Toni Pacioles
{"title":"具有挑战性和独特诊断的VEXAS综合征:1例报告。","authors":"Jowan Al-Nusair, Olivia Lim, Leena Alhusari, Abdelwahap Elghezewi, Mahmoud Abdallah, Mohamed Alshal, Toni Pacioles","doi":"10.1177/23247096251325416","DOIUrl":null,"url":null,"abstract":"<p><p>VEXAS syndrome, a myeloid-driven autoinflammatory disorder associated with somatic mutations in the UBA1 gene, was first described in 2020 and presents significant diagnostic challenges due to its complex clinical features, including hematological abnormalities and autoimmune manifestations. We describe a case involving a 64-year-old male presenting with persistent anemia, weight loss, fatigue, fever, and recurrent inflammatory symptoms. Diagnostic workup, including imaging, serology, and bone marrow biopsy, revealed characteristic findings, including myeloid hyperplasia, and vacuolization in precursor cells. Genetic testing identified a UBA1 gene mutation, solidifying the diagnosis of VEXAS syndrome. The patient responded to immunosuppressive treatment with prednisone and ruxolitinib, with significant improvement in symptoms. This case tells us the importance of considering VEXAS syndrome in patients with refractory systemic inflammation and hematological abnormalities, particularly in older males. Early recognition and genetic testing are crucial for guiding treatment decisions, as the condition is progressive, often relapsing, and requires multidisciplinary management.</p>","PeriodicalId":16198,"journal":{"name":"Journal of investigative medicine high impact case reports","volume":"13 ","pages":"23247096251325416"},"PeriodicalIF":0.8000,"publicationDate":"2025-01-01","publicationTypes":"Journal Article","fieldsOfStudy":null,"isOpenAccess":false,"openAccessPdf":"https://www.ncbi.nlm.nih.gov/pmc/articles/PMC11970060/pdf/","citationCount":"0","resultStr":"{\"title\":\"The Challenging and Unique Diagnosis of VEXAS Syndrome: A Case Report.\",\"authors\":\"Jowan Al-Nusair, Olivia Lim, Leena Alhusari, Abdelwahap Elghezewi, Mahmoud Abdallah, Mohamed Alshal, Toni Pacioles\",\"doi\":\"10.1177/23247096251325416\",\"DOIUrl\":null,\"url\":null,\"abstract\":\"<p><p>VEXAS syndrome, a myeloid-driven autoinflammatory disorder associated with somatic mutations in the UBA1 gene, was first described in 2020 and presents significant diagnostic challenges due to its complex clinical features, including hematological abnormalities and autoimmune manifestations. We describe a case involving a 64-year-old male presenting with persistent anemia, weight loss, fatigue, fever, and recurrent inflammatory symptoms. Diagnostic workup, including imaging, serology, and bone marrow biopsy, revealed characteristic findings, including myeloid hyperplasia, and vacuolization in precursor cells. Genetic testing identified a UBA1 gene mutation, solidifying the diagnosis of VEXAS syndrome. The patient responded to immunosuppressive treatment with prednisone and ruxolitinib, with significant improvement in symptoms. This case tells us the importance of considering VEXAS syndrome in patients with refractory systemic inflammation and hematological abnormalities, particularly in older males. Early recognition and genetic testing are crucial for guiding treatment decisions, as the condition is progressive, often relapsing, and requires multidisciplinary management.</p>\",\"PeriodicalId\":16198,\"journal\":{\"name\":\"Journal of investigative medicine high impact case reports\",\"volume\":\"13 \",\"pages\":\"23247096251325416\"},\"PeriodicalIF\":0.8000,\"publicationDate\":\"2025-01-01\",\"publicationTypes\":\"Journal Article\",\"fieldsOfStudy\":null,\"isOpenAccess\":false,\"openAccessPdf\":\"https://www.ncbi.nlm.nih.gov/pmc/articles/PMC11970060/pdf/\",\"citationCount\":\"0\",\"resultStr\":null,\"platform\":\"Semanticscholar\",\"paperid\":null,\"PeriodicalName\":\"Journal of investigative medicine high impact case reports\",\"FirstCategoryId\":\"1085\",\"ListUrlMain\":\"https://doi.org/10.1177/23247096251325416\",\"RegionNum\":0,\"RegionCategory\":null,\"ArticlePicture\":[],\"TitleCN\":null,\"AbstractTextCN\":null,\"PMCID\":null,\"EPubDate\":\"2025/4/4 0:00:00\",\"PubModel\":\"Epub\",\"JCR\":\"Q3\",\"JCRName\":\"MEDICINE, GENERAL & INTERNAL\",\"Score\":null,\"Total\":0}","platform":"Semanticscholar","paperid":null,"PeriodicalName":"Journal of investigative medicine high impact case reports","FirstCategoryId":"1085","ListUrlMain":"https://doi.org/10.1177/23247096251325416","RegionNum":0,"RegionCategory":null,"ArticlePicture":[],"TitleCN":null,"AbstractTextCN":null,"PMCID":null,"EPubDate":"2025/4/4 0:00:00","PubModel":"Epub","JCR":"Q3","JCRName":"MEDICINE, GENERAL & INTERNAL","Score":null,"Total":0}
引用次数: 0

摘要

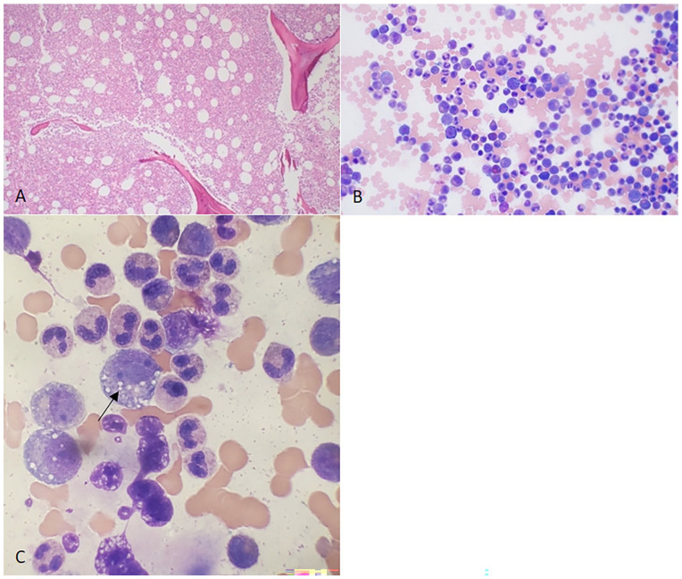
VEXAS综合征是一种与UBA1基因体细胞突变相关的髓系驱动的自身炎症性疾病,于2020年首次被发现,由于其复杂的临床特征,包括血液学异常和自身免疫表现,给诊断带来了重大挑战。我们描述一个64岁男性的病例,其表现为持续性贫血、体重减轻、疲劳、发烧和复发性炎症症状。诊断检查,包括影像学、血清学和骨髓活检,显示了特征性的发现,包括骨髓增生和前体细胞空泡化。基因检测发现了UBA1基因突变,巩固了VEXAS综合征的诊断。患者对强的松和鲁索利替尼的免疫抑制治疗有反应,症状显著改善。这个病例告诉我们在难治性全身炎症和血液学异常患者中考虑VEXAS综合征的重要性,特别是在老年男性中。早期识别和基因检测对于指导治疗决策至关重要,因为这种疾病是进行性的,经常复发,需要多学科管理。
本文章由计算机程序翻译,如有差异,请以英文原文为准。

The Challenging and Unique Diagnosis of VEXAS Syndrome: A Case Report.

The Challenging and Unique Diagnosis of VEXAS Syndrome: A Case Report.

The Challenging and Unique Diagnosis of VEXAS Syndrome: A Case Report.

The Challenging and Unique Diagnosis of VEXAS Syndrome: A Case Report.

VEXAS syndrome, a myeloid-driven autoinflammatory disorder associated with somatic mutations in the UBA1 gene, was first described in 2020 and presents significant diagnostic challenges due to its complex clinical features, including hematological abnormalities and autoimmune manifestations. We describe a case involving a 64-year-old male presenting with persistent anemia, weight loss, fatigue, fever, and recurrent inflammatory symptoms. Diagnostic workup, including imaging, serology, and bone marrow biopsy, revealed characteristic findings, including myeloid hyperplasia, and vacuolization in precursor cells. Genetic testing identified a UBA1 gene mutation, solidifying the diagnosis of VEXAS syndrome. The patient responded to immunosuppressive treatment with prednisone and ruxolitinib, with significant improvement in symptoms. This case tells us the importance of considering VEXAS syndrome in patients with refractory systemic inflammation and hematological abnormalities, particularly in older males. Early recognition and genetic testing are crucial for guiding treatment decisions, as the condition is progressive, often relapsing, and requires multidisciplinary management.

求助全文
通过发布文献求助,成功后即可免费获取论文全文。 去求助
来源期刊
CiteScore
1.90
自引率
0.00%
发文量
165
审稿时长
12 weeks
期刊介绍: The AFMR is committed to enhancing the training and career development of our members and to furthering its mission to facilitate the conduct of research to improve medical care. Case reports represent an important avenue for trainees (interns, residents, and fellows) and early-stage faculty to demonstrate productive, scholarly activity.
×
引用
GB/T 7714-2015
复制
MLA
复制
APA
复制
导出至
BibTeX EndNote RefMan NoteFirst NoteExpress
×
提示
您的信息不完整,为了账户安全,请先补充。
现在去补充
×
提示
您因"违规操作"
具体请查看互助需知
我知道了
×
提示
确定
请完成安全验证×
copy
已复制链接
快去分享给好友吧!
我知道了
右上角分享
点击右上角分享
0
联系我们:info@booksci.cn Book学术提供免费学术资源搜索服务,方便国内外学者检索中英文文献。致力于提供最便捷和优质的服务体验。 Copyright © 2023 布克学术 All rights reserved.
京ICP备2023020795号-1
ghs 京公网安备 11010802042870号
Book学术文献互助
Book学术文献互助群
群 号:604180095
Book学术官方微信