晚期非小细胞肺癌支气管动脉化疗栓塞药物洗脱珠与明胶泡沫颗粒的比较。

IF 1.9 4区 医学 Q3 RADIOLOGY, NUCLEAR MEDICINE & MEDICAL IMAGING
Xuedong Sun, Yanjing Han, Qi Wang, Tianhao Su, Yuefeng Hu, Jian Wei, Zhiyuan Zhang, Siwei Yang, Long Jin
{"title":"晚期非小细胞肺癌支气管动脉化疗栓塞药物洗脱珠与明胶泡沫颗粒的比较。","authors":"Xuedong Sun, Yanjing Han, Qi Wang, Tianhao Su, Yuefeng Hu, Jian Wei, Zhiyuan Zhang, Siwei Yang, Long Jin","doi":"10.1097/RTI.0000000000000829","DOIUrl":null,"url":null,"abstract":"<p><strong>Background: </strong>Bronchial arterial chemoembolization (BACE), as a safe and effective minimally invasive treatment method, is increasingly being accepted by more and more patients with advanced nonsmall-cell lung cancer (NSCLC). In recent years, drug-eluting beads (DEB)-BACE has also been applied in the field of lung cancer. It is still unclear which is more recommended due to the limited number of comparative studies between conventional BACE (C-BACE) and DEB-BACE.</p><p><strong>Purpose: </strong>To compare the safety and efficacy of C-BACE (BACE with gelfoam particles) and DEB-BACE for advanced NSCLC.</p><p><strong>Materials and methods: </strong>From January 2021 to April 2023, 48 consecutive patients (37 males and 11 females) with advanced NSCLC treated with DEB-BACE (group A) or C-BACE (group B) at our center were collected retrospectively in this study. There were 18 patients in group A and 30 patients in group B. The technical success rate, adverse events, objective response rate (ORR), disease control rate (DCR), progression-free survival (PFS), and overall survival (OS) were compared between the 2 groups.</p><p><strong>Results: </strong>The technical success rate in both groups was 100%. The median OS times were 19.5 months and 12.5 months in group A and group B, respectively ( P =0.0062). The median PFS times were 13 months and 7 months in group A and group B, respectively ( P =0.0072). The ORRs at 6 months were 72.2% and 46.7% in group A and group B, respectively ( P =0.084). The DCRs at 6 months were 88.9% and 63.3% in group A and group B, respectively ( P =0.043). Grade 1 adverse events like chest pain, and cough were common, while serious adverse events did not occur.</p><p><strong>Conclusions: </strong>BACE with DEB or gelfoam particles were equally safe. The DEB-BACE showed better survival and tumor response than C-BACE for advanced NSCLC.</p>","PeriodicalId":49974,"journal":{"name":"Journal of Thoracic Imaging","volume":" ","pages":""},"PeriodicalIF":1.9000,"publicationDate":"2025-09-01","publicationTypes":"Journal Article","fieldsOfStudy":null,"isOpenAccess":false,"openAccessPdf":"https://www.ncbi.nlm.nih.gov/pmc/articles/PMC12369502/pdf/","citationCount":"0","resultStr":"{\"title\":\"Bronchial Arterial Chemoembolization With Drug-eluting Beads Versus With Gelfoam Particles for Advanced Nonsmall-cell Lung Cancer.\",\"authors\":\"Xuedong Sun, Yanjing Han, Qi Wang, Tianhao Su, Yuefeng Hu, Jian Wei, Zhiyuan Zhang, Siwei Yang, Long Jin\",\"doi\":\"10.1097/RTI.0000000000000829\",\"DOIUrl\":null,\"url\":null,\"abstract\":\"<p><strong>Background: </strong>Bronchial arterial chemoembolization (BACE), as a safe and effective minimally invasive treatment method, is increasingly being accepted by more and more patients with advanced nonsmall-cell lung cancer (NSCLC). In recent years, drug-eluting beads (DEB)-BACE has also been applied in the field of lung cancer. It is still unclear which is more recommended due to the limited number of comparative studies between conventional BACE (C-BACE) and DEB-BACE.</p><p><strong>Purpose: </strong>To compare the safety and efficacy of C-BACE (BACE with gelfoam particles) and DEB-BACE for advanced NSCLC.</p><p><strong>Materials and methods: </strong>From January 2021 to April 2023, 48 consecutive patients (37 males and 11 females) with advanced NSCLC treated with DEB-BACE (group A) or C-BACE (group B) at our center were collected retrospectively in this study. There were 18 patients in group A and 30 patients in group B. The technical success rate, adverse events, objective response rate (ORR), disease control rate (DCR), progression-free survival (PFS), and overall survival (OS) were compared between the 2 groups.</p><p><strong>Results: </strong>The technical success rate in both groups was 100%. The median OS times were 19.5 months and 12.5 months in group A and group B, respectively ( P =0.0062). The median PFS times were 13 months and 7 months in group A and group B, respectively ( P =0.0072). The ORRs at 6 months were 72.2% and 46.7% in group A and group B, respectively ( P =0.084). The DCRs at 6 months were 88.9% and 63.3% in group A and group B, respectively ( P =0.043). Grade 1 adverse events like chest pain, and cough were common, while serious adverse events did not occur.</p><p><strong>Conclusions: </strong>BACE with DEB or gelfoam particles were equally safe. The DEB-BACE showed better survival and tumor response than C-BACE for advanced NSCLC.</p>\",\"PeriodicalId\":49974,\"journal\":{\"name\":\"Journal of Thoracic Imaging\",\"volume\":\" \",\"pages\":\"\"},\"PeriodicalIF\":1.9000,\"publicationDate\":\"2025-09-01\",\"publicationTypes\":\"Journal Article\",\"fieldsOfStudy\":null,\"isOpenAccess\":false,\"openAccessPdf\":\"https://www.ncbi.nlm.nih.gov/pmc/articles/PMC12369502/pdf/\",\"citationCount\":\"0\",\"resultStr\":null,\"platform\":\"Semanticscholar\",\"paperid\":null,\"PeriodicalName\":\"Journal of Thoracic Imaging\",\"FirstCategoryId\":\"3\",\"ListUrlMain\":\"https://doi.org/10.1097/RTI.0000000000000829\",\"RegionNum\":4,\"RegionCategory\":\"医学\",\"ArticlePicture\":[],\"TitleCN\":null,\"AbstractTextCN\":null,\"PMCID\":null,\"EPubDate\":\"\",\"PubModel\":\"\",\"JCR\":\"Q3\",\"JCRName\":\"RADIOLOGY, NUCLEAR MEDICINE & MEDICAL IMAGING\",\"Score\":null,\"Total\":0}","platform":"Semanticscholar","paperid":null,"PeriodicalName":"Journal of Thoracic Imaging","FirstCategoryId":"3","ListUrlMain":"https://doi.org/10.1097/RTI.0000000000000829","RegionNum":4,"RegionCategory":"医学","ArticlePicture":[],"TitleCN":null,"AbstractTextCN":null,"PMCID":null,"EPubDate":"","PubModel":"","JCR":"Q3","JCRName":"RADIOLOGY, NUCLEAR MEDICINE & MEDICAL IMAGING","Score":null,"Total":0}
引用次数: 0

摘要

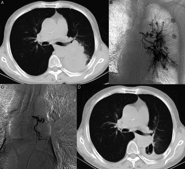
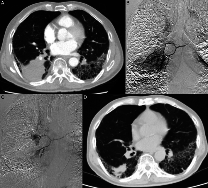
背景:支气管动脉化疗栓塞术(BACE)作为一种安全有效的微创治疗方法,正被越来越多的晚期非小细胞肺癌(NSCLC)患者所接受。近年来,药物洗脱珠(DEB)-BACE也被应用于肺癌领域。由于传统BACE(C-BACE)和DEB-BACE之间的比较研究数量有限,目前仍不清楚哪种方法更值得推荐。目的:比较C-BACE(含胶棉颗粒的BACE)和DEB-BACE治疗晚期NSCLC的安全性和有效性:本研究回顾性收集了2021年1月至2023年4月在本中心接受DEB-BACE(A组)或C-BACE(B组)治疗的48例晚期NSCLC患者(男37例,女11例)。比较了两组患者的技术成功率、不良反应、客观反应率(ORR)、疾病控制率(DCR)、无进展生存期(PFS)和总生存期(OS):结果:两组的技术成功率均为100%。A 组和 B 组的中位 OS 时间分别为 19.5 个月和 12.5 个月(P=0.0062)。A 组和 B 组的中位生存时间分别为 13 个月和 7 个月(P=0.0072)。A组和B组6个月时的ORR分别为72.2%和46.7%(P=0.084)。A组和B组6个月时的DCR分别为88.9%和63.3%(P=0.043)。胸痛和咳嗽等一级不良反应很常见,但未出现严重不良反应:结论:使用 DEB 或 Gelfoam 粒子进行 BACE 同样安全。结论:在晚期NSCLC治疗中,DEB-BACE的生存率和肿瘤反应优于C-BACE。
本文章由计算机程序翻译,如有差异,请以英文原文为准。

Bronchial Arterial Chemoembolization With Drug-eluting Beads Versus With Gelfoam Particles for Advanced Nonsmall-cell Lung Cancer.

Bronchial Arterial Chemoembolization With Drug-eluting Beads Versus With Gelfoam Particles for Advanced Nonsmall-cell Lung Cancer.

Bronchial Arterial Chemoembolization With Drug-eluting Beads Versus With Gelfoam Particles for Advanced Nonsmall-cell Lung Cancer.

Bronchial Arterial Chemoembolization With Drug-eluting Beads Versus With Gelfoam Particles for Advanced Nonsmall-cell Lung Cancer.

Background: Bronchial arterial chemoembolization (BACE), as a safe and effective minimally invasive treatment method, is increasingly being accepted by more and more patients with advanced nonsmall-cell lung cancer (NSCLC). In recent years, drug-eluting beads (DEB)-BACE has also been applied in the field of lung cancer. It is still unclear which is more recommended due to the limited number of comparative studies between conventional BACE (C-BACE) and DEB-BACE.

Purpose: To compare the safety and efficacy of C-BACE (BACE with gelfoam particles) and DEB-BACE for advanced NSCLC.

Materials and methods: From January 2021 to April 2023, 48 consecutive patients (37 males and 11 females) with advanced NSCLC treated with DEB-BACE (group A) or C-BACE (group B) at our center were collected retrospectively in this study. There were 18 patients in group A and 30 patients in group B. The technical success rate, adverse events, objective response rate (ORR), disease control rate (DCR), progression-free survival (PFS), and overall survival (OS) were compared between the 2 groups.

Results: The technical success rate in both groups was 100%. The median OS times were 19.5 months and 12.5 months in group A and group B, respectively ( P =0.0062). The median PFS times were 13 months and 7 months in group A and group B, respectively ( P =0.0072). The ORRs at 6 months were 72.2% and 46.7% in group A and group B, respectively ( P =0.084). The DCRs at 6 months were 88.9% and 63.3% in group A and group B, respectively ( P =0.043). Grade 1 adverse events like chest pain, and cough were common, while serious adverse events did not occur.

Conclusions: BACE with DEB or gelfoam particles were equally safe. The DEB-BACE showed better survival and tumor response than C-BACE for advanced NSCLC.

求助全文
通过发布文献求助,成功后即可免费获取论文全文。 去求助
来源期刊
Journal of Thoracic Imaging
Journal of Thoracic Imaging 医学-核医学
CiteScore
7.10
自引率
9.10%
发文量
87
审稿时长
6-12 weeks
期刊介绍: Journal of Thoracic Imaging (JTI) provides authoritative information on all aspects of the use of imaging techniques in the diagnosis of cardiac and pulmonary diseases. Original articles and analytical reviews published in this timely journal provide the very latest thinking of leading experts concerning the use of chest radiography, computed tomography, magnetic resonance imaging, positron emission tomography, ultrasound, and all other promising imaging techniques in cardiopulmonary radiology. Official Journal of the Society of Thoracic Radiology: Japanese Society of Thoracic Radiology Korean Society of Thoracic Radiology European Society of Thoracic Imaging.
×
引用
GB/T 7714-2015
复制
MLA
复制
APA
复制
导出至
BibTeX EndNote RefMan NoteFirst NoteExpress
×
提示
您的信息不完整,为了账户安全,请先补充。
现在去补充
×
提示
您因"违规操作"
具体请查看互助需知
我知道了
×
提示
确定
请完成安全验证×
copy
已复制链接
快去分享给好友吧!
我知道了
右上角分享
点击右上角分享
0
联系我们:info@booksci.cn Book学术提供免费学术资源搜索服务,方便国内外学者检索中英文文献。致力于提供最便捷和优质的服务体验。 Copyright © 2023 布克学术 All rights reserved.
京ICP备2023020795号-1
ghs 京公网安备 11010802042870号
Book学术文献互助
Book学术文献互助群
群 号:604180095
Book学术官方微信