宫颈肺泡性软组织肉瘤1例。

IF 2.3 3区 医学 Q2 PATHOLOGY
Mei Du, Yanli Li, Xiaorong Fan, Han Gao, Jie Shi, Shiyu Cheng, Tingzhu Meng
{"title":"宫颈肺泡性软组织肉瘤1例。","authors":"Mei Du, Yanli Li, Xiaorong Fan, Han Gao, Jie Shi, Shiyu Cheng, Tingzhu Meng","doi":"10.1186/s13000-025-01620-7","DOIUrl":null,"url":null,"abstract":"<p><p>Alveolar soft-part sarcoma (ASPS), a rare and malignant neoplasm of soft tissues, comprises less than 1% of all soft-tissue sarcomas and is characterized by distinct histopathological and molecular markers. A 27-year-old female presented with a history of postcoital vaginal bleeding and intermittent bleeding over the preceding month. Imaging studies identified abnormal echogenicity and vascular patterns in the posterior cervical lip. Initial histopathological assessment indicated a perivascular epithelioid cell tumor (PEComa) with TFE3 gene rearrangement; however, subsequent immunohistochemical and molecular analyses corroborated the diagnosis of ASPS. The patient underwent a total laparoscopic hysterectomy with bilateral salpingo-oophorectomy. Postoperative pathology revealed that the residual tumor was confined to the inner third of the cervix, with no evidence of lymphovascular or perineural invasion. The patient did not receive adjuvant therapy and was followed for three months postoperatively, during which no recurrence or metastasis was observed. Given the extreme rarity of ASPS, its diagnosis necessitates meticulous scrutiny by pathologists to inform and guide subsequent therapeutic approaches.</p>","PeriodicalId":11237,"journal":{"name":"Diagnostic Pathology","volume":"20 1","pages":"33"},"PeriodicalIF":2.3000,"publicationDate":"2025-04-02","publicationTypes":"Journal Article","fieldsOfStudy":null,"isOpenAccess":false,"openAccessPdf":"https://www.ncbi.nlm.nih.gov/pmc/articles/PMC11963694/pdf/","citationCount":"0","resultStr":"{\"title\":\"A rare case of Alveolar Soft-Part Sarcoma in the Uterine cervix.\",\"authors\":\"Mei Du, Yanli Li, Xiaorong Fan, Han Gao, Jie Shi, Shiyu Cheng, Tingzhu Meng\",\"doi\":\"10.1186/s13000-025-01620-7\",\"DOIUrl\":null,\"url\":null,\"abstract\":\"<p><p>Alveolar soft-part sarcoma (ASPS), a rare and malignant neoplasm of soft tissues, comprises less than 1% of all soft-tissue sarcomas and is characterized by distinct histopathological and molecular markers. A 27-year-old female presented with a history of postcoital vaginal bleeding and intermittent bleeding over the preceding month. Imaging studies identified abnormal echogenicity and vascular patterns in the posterior cervical lip. Initial histopathological assessment indicated a perivascular epithelioid cell tumor (PEComa) with TFE3 gene rearrangement; however, subsequent immunohistochemical and molecular analyses corroborated the diagnosis of ASPS. The patient underwent a total laparoscopic hysterectomy with bilateral salpingo-oophorectomy. Postoperative pathology revealed that the residual tumor was confined to the inner third of the cervix, with no evidence of lymphovascular or perineural invasion. The patient did not receive adjuvant therapy and was followed for three months postoperatively, during which no recurrence or metastasis was observed. Given the extreme rarity of ASPS, its diagnosis necessitates meticulous scrutiny by pathologists to inform and guide subsequent therapeutic approaches.</p>\",\"PeriodicalId\":11237,\"journal\":{\"name\":\"Diagnostic Pathology\",\"volume\":\"20 1\",\"pages\":\"33\"},\"PeriodicalIF\":2.3000,\"publicationDate\":\"2025-04-02\",\"publicationTypes\":\"Journal Article\",\"fieldsOfStudy\":null,\"isOpenAccess\":false,\"openAccessPdf\":\"https://www.ncbi.nlm.nih.gov/pmc/articles/PMC11963694/pdf/\",\"citationCount\":\"0\",\"resultStr\":null,\"platform\":\"Semanticscholar\",\"paperid\":null,\"PeriodicalName\":\"Diagnostic Pathology\",\"FirstCategoryId\":\"3\",\"ListUrlMain\":\"https://doi.org/10.1186/s13000-025-01620-7\",\"RegionNum\":3,\"RegionCategory\":\"医学\",\"ArticlePicture\":[],\"TitleCN\":null,\"AbstractTextCN\":null,\"PMCID\":null,\"EPubDate\":\"\",\"PubModel\":\"\",\"JCR\":\"Q2\",\"JCRName\":\"PATHOLOGY\",\"Score\":null,\"Total\":0}","platform":"Semanticscholar","paperid":null,"PeriodicalName":"Diagnostic Pathology","FirstCategoryId":"3","ListUrlMain":"https://doi.org/10.1186/s13000-025-01620-7","RegionNum":3,"RegionCategory":"医学","ArticlePicture":[],"TitleCN":null,"AbstractTextCN":null,"PMCID":null,"EPubDate":"","PubModel":"","JCR":"Q2","JCRName":"PATHOLOGY","Score":null,"Total":0}
引用次数: 0

摘要

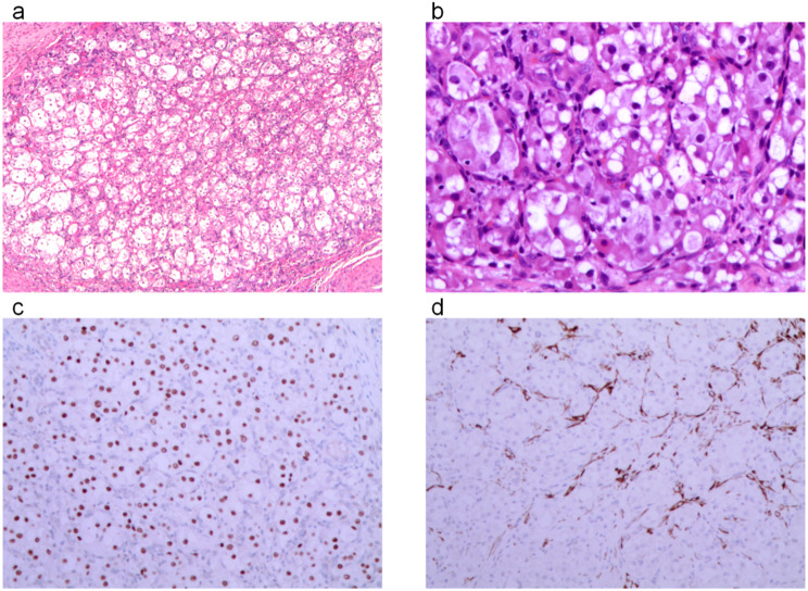
肺泡软组织肉瘤(Alveolar soft-part sarcoma, ASPS)是一种罕见的软组织恶性肿瘤,占所有软组织肉瘤的不到1%,具有独特的组织病理学和分子标记。27岁女性,前一个月有性交后阴道出血和间歇性出血史。影像学检查发现异常回声和血管模式在后颈唇。初步组织病理学检查提示血管周围上皮样细胞瘤(PEComa)伴TFE3基因重排;然而,随后的免疫组织化学和分子分析证实了ASPS的诊断。患者行腹腔镜全子宫切除术及双侧输卵管卵巢切除术。术后病理显示残余肿瘤局限于宫颈内三分之一,未见淋巴血管或神经周围浸润。患者未接受辅助治疗,术后随访3个月,无复发转移。鉴于ASPS极为罕见,其诊断需要病理学家仔细检查,以告知和指导后续的治疗方法。
本文章由计算机程序翻译,如有差异,请以英文原文为准。

A rare case of Alveolar Soft-Part Sarcoma in the Uterine cervix.

A rare case of Alveolar Soft-Part Sarcoma in the Uterine cervix.

Alveolar soft-part sarcoma (ASPS), a rare and malignant neoplasm of soft tissues, comprises less than 1% of all soft-tissue sarcomas and is characterized by distinct histopathological and molecular markers. A 27-year-old female presented with a history of postcoital vaginal bleeding and intermittent bleeding over the preceding month. Imaging studies identified abnormal echogenicity and vascular patterns in the posterior cervical lip. Initial histopathological assessment indicated a perivascular epithelioid cell tumor (PEComa) with TFE3 gene rearrangement; however, subsequent immunohistochemical and molecular analyses corroborated the diagnosis of ASPS. The patient underwent a total laparoscopic hysterectomy with bilateral salpingo-oophorectomy. Postoperative pathology revealed that the residual tumor was confined to the inner third of the cervix, with no evidence of lymphovascular or perineural invasion. The patient did not receive adjuvant therapy and was followed for three months postoperatively, during which no recurrence or metastasis was observed. Given the extreme rarity of ASPS, its diagnosis necessitates meticulous scrutiny by pathologists to inform and guide subsequent therapeutic approaches.

求助全文
通过发布文献求助,成功后即可免费获取论文全文。 去求助
来源期刊
Diagnostic Pathology
Diagnostic Pathology 医学-病理学
CiteScore
4.60
自引率
0.00%
发文量
93
审稿时长
1 months
期刊介绍: Diagnostic Pathology is an open access, peer-reviewed, online journal that considers research in surgical and clinical pathology, immunology, and biology, with a special focus on cutting-edge approaches in diagnostic pathology and tissue-based therapy. The journal covers all aspects of surgical pathology, including classic diagnostic pathology, prognosis-related diagnosis (tumor stages, prognosis markers, such as MIB-percentage, hormone receptors, etc.), and therapy-related findings. The journal also focuses on the technological aspects of pathology, including molecular biology techniques, morphometry aspects (stereology, DNA analysis, syntactic structure analysis), communication aspects (telecommunication, virtual microscopy, virtual pathology institutions, etc.), and electronic education and quality assurance (for example interactive publication, on-line references with automated updating, etc.).
×
引用
GB/T 7714-2015
复制
MLA
复制
APA
复制
导出至
BibTeX EndNote RefMan NoteFirst NoteExpress
×
提示
您的信息不完整,为了账户安全,请先补充。
现在去补充
×
提示
您因"违规操作"
具体请查看互助需知
我知道了
×
提示
确定
请完成安全验证×
copy
已复制链接
快去分享给好友吧!
我知道了
右上角分享
点击右上角分享
0
联系我们:info@booksci.cn Book学术提供免费学术资源搜索服务,方便国内外学者检索中英文文献。致力于提供最便捷和优质的服务体验。 Copyright © 2023 布克学术 All rights reserved.
京ICP备2023020795号-1
ghs 京公网安备 11010802042870号
Book学术文献互助
Book学术文献互助群
群 号:604180095
Book学术官方微信