同侧肾上腺及腹膜后神经节神经瘤:一个独特的大肿瘤肿块病例。

IF 0.7 Q3 MEDICINE, GENERAL & INTERNAL
Case Reports in Medicine Pub Date : 2025-03-25 eCollection Date: 2025-01-01 DOI:10.1155/carm/7440806
Abdolreza Mohammadi, Fardin Asgari, Ehsan Zemanati Yar, Mina Rezayat, Mahdi Najarzadegan, Seyed Mohammad Kazem Aghamir
{"title":"同侧肾上腺及腹膜后神经节神经瘤:一个独特的大肿瘤肿块病例。","authors":"Abdolreza Mohammadi, Fardin Asgari, Ehsan Zemanati Yar, Mina Rezayat, Mahdi Najarzadegan, Seyed Mohammad Kazem Aghamir","doi":"10.1155/carm/7440806","DOIUrl":null,"url":null,"abstract":"<p><p>This case report presents a rare instance of synchronous adrenal ganglioneuroma and an ipsilateral retroperitoneal mass in a 51-year-old woman with episodic hypertensive crises and increased symptom frequency. Imaging revealed a hypodense mass near the right kidney and an additional adrenal mass, which led to surgical intervention. Laboratory findings indicated hypercortisolism, and both masses were surgically removed by the laparoscopy approach. Postoperative pathology identified both masses as maturing-type ganglioneuroma, with no signs of malignancy or complications. This case highlights the diagnostic and therapeutic challenges of such rare presentations and emphasizes the importance of detailed imaging, surgical excision, and histopathological analysis. The potential link between elevated cortisol levels and ganglioneuroma, as observed here, underscores the need for further research into these benign tumors.</p>","PeriodicalId":9627,"journal":{"name":"Case Reports in Medicine","volume":"2025 ","pages":"7440806"},"PeriodicalIF":0.7000,"publicationDate":"2025-03-25","publicationTypes":"Journal Article","fieldsOfStudy":null,"isOpenAccess":false,"openAccessPdf":"https://www.ncbi.nlm.nih.gov/pmc/articles/PMC11961276/pdf/","citationCount":"0","resultStr":"{\"title\":\"Synchronous Ipsilateral Adrenal and Retroperitoneal Ganglioneuroma: A Unique Case of Large Tumor Mass.\",\"authors\":\"Abdolreza Mohammadi, Fardin Asgari, Ehsan Zemanati Yar, Mina Rezayat, Mahdi Najarzadegan, Seyed Mohammad Kazem Aghamir\",\"doi\":\"10.1155/carm/7440806\",\"DOIUrl\":null,\"url\":null,\"abstract\":\"<p><p>This case report presents a rare instance of synchronous adrenal ganglioneuroma and an ipsilateral retroperitoneal mass in a 51-year-old woman with episodic hypertensive crises and increased symptom frequency. Imaging revealed a hypodense mass near the right kidney and an additional adrenal mass, which led to surgical intervention. Laboratory findings indicated hypercortisolism, and both masses were surgically removed by the laparoscopy approach. Postoperative pathology identified both masses as maturing-type ganglioneuroma, with no signs of malignancy or complications. This case highlights the diagnostic and therapeutic challenges of such rare presentations and emphasizes the importance of detailed imaging, surgical excision, and histopathological analysis. The potential link between elevated cortisol levels and ganglioneuroma, as observed here, underscores the need for further research into these benign tumors.</p>\",\"PeriodicalId\":9627,\"journal\":{\"name\":\"Case Reports in Medicine\",\"volume\":\"2025 \",\"pages\":\"7440806\"},\"PeriodicalIF\":0.7000,\"publicationDate\":\"2025-03-25\",\"publicationTypes\":\"Journal Article\",\"fieldsOfStudy\":null,\"isOpenAccess\":false,\"openAccessPdf\":\"https://www.ncbi.nlm.nih.gov/pmc/articles/PMC11961276/pdf/\",\"citationCount\":\"0\",\"resultStr\":null,\"platform\":\"Semanticscholar\",\"paperid\":null,\"PeriodicalName\":\"Case Reports in Medicine\",\"FirstCategoryId\":\"1085\",\"ListUrlMain\":\"https://doi.org/10.1155/carm/7440806\",\"RegionNum\":0,\"RegionCategory\":null,\"ArticlePicture\":[],\"TitleCN\":null,\"AbstractTextCN\":null,\"PMCID\":null,\"EPubDate\":\"2025/1/1 0:00:00\",\"PubModel\":\"eCollection\",\"JCR\":\"Q3\",\"JCRName\":\"MEDICINE, GENERAL & INTERNAL\",\"Score\":null,\"Total\":0}","platform":"Semanticscholar","paperid":null,"PeriodicalName":"Case Reports in Medicine","FirstCategoryId":"1085","ListUrlMain":"https://doi.org/10.1155/carm/7440806","RegionNum":0,"RegionCategory":null,"ArticlePicture":[],"TitleCN":null,"AbstractTextCN":null,"PMCID":null,"EPubDate":"2025/1/1 0:00:00","PubModel":"eCollection","JCR":"Q3","JCRName":"MEDICINE, GENERAL & INTERNAL","Score":null,"Total":0}
引用次数: 0

摘要

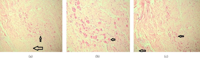
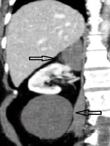
这个病例报告了一个罕见的同步肾上腺神经节神经瘤和同侧腹膜后肿块的51岁女性发作性高血压危象和增加的症状频率。影像显示右肾附近有一个低密度肿块和一个额外的肾上腺肿块,导致手术干预。实验室结果显示高皮质醇,两个肿块通过腹腔镜手术切除。术后病理证实两个肿块为成熟型神经节神经瘤,无恶性征象或并发症。本病例强调了这种罕见表现的诊断和治疗挑战,并强调了详细成像,手术切除和组织病理学分析的重要性。正如本文所观察到的,皮质醇水平升高与神经节神经瘤之间的潜在联系强调了对这些良性肿瘤进行进一步研究的必要性。
本文章由计算机程序翻译,如有差异,请以英文原文为准。

Synchronous Ipsilateral Adrenal and Retroperitoneal Ganglioneuroma: A Unique Case of Large Tumor Mass.

Synchronous Ipsilateral Adrenal and Retroperitoneal Ganglioneuroma: A Unique Case of Large Tumor Mass.

Synchronous Ipsilateral Adrenal and Retroperitoneal Ganglioneuroma: A Unique Case of Large Tumor Mass.

Synchronous Ipsilateral Adrenal and Retroperitoneal Ganglioneuroma: A Unique Case of Large Tumor Mass.

This case report presents a rare instance of synchronous adrenal ganglioneuroma and an ipsilateral retroperitoneal mass in a 51-year-old woman with episodic hypertensive crises and increased symptom frequency. Imaging revealed a hypodense mass near the right kidney and an additional adrenal mass, which led to surgical intervention. Laboratory findings indicated hypercortisolism, and both masses were surgically removed by the laparoscopy approach. Postoperative pathology identified both masses as maturing-type ganglioneuroma, with no signs of malignancy or complications. This case highlights the diagnostic and therapeutic challenges of such rare presentations and emphasizes the importance of detailed imaging, surgical excision, and histopathological analysis. The potential link between elevated cortisol levels and ganglioneuroma, as observed here, underscores the need for further research into these benign tumors.

求助全文
通过发布文献求助,成功后即可免费获取论文全文。 去求助
来源期刊
Case Reports in Medicine
Case Reports in Medicine MEDICINE, GENERAL & INTERNAL-
CiteScore
1.70
自引率
0.00%
发文量
53
审稿时长
13 weeks
×
引用
GB/T 7714-2015
复制
MLA
复制
APA
复制
导出至
BibTeX EndNote RefMan NoteFirst NoteExpress
×
提示
您的信息不完整,为了账户安全,请先补充。
现在去补充
×
提示
您因"违规操作"
具体请查看互助需知
我知道了
×
提示
确定
请完成安全验证×
copy
已复制链接
快去分享给好友吧!
我知道了
右上角分享
点击右上角分享
0
联系我们:info@booksci.cn Book学术提供免费学术资源搜索服务,方便国内外学者检索中英文文献。致力于提供最便捷和优质的服务体验。 Copyright © 2023 布克学术 All rights reserved.
京ICP备2023020795号-1
ghs 京公网安备 11010802042870号
Book学术文献互助
Book学术文献互助群
群 号:604180095
Book学术官方微信