仙叶诱导家兔微生物组和代谢组学的变化。

IF 2.6 3区 综合性期刊 Q1 MULTIDISCIPLINARY SCIENCES
PLoS ONE Pub Date : 2025-03-31 eCollection Date: 2025-01-01 DOI:10.1371/journal.pone.0320496
Houkang Ding, Ming Li, Ning Ma, Shahid Ali Rajput, Mikhlid H Almutairi, Bader O Almutairi, Zhaoqing Han, Aituan Ma, Dengshan Shiau
{"title":"仙叶诱导家兔微生物组和代谢组学的变化。","authors":"Houkang Ding, Ming Li, Ning Ma, Shahid Ali Rajput, Mikhlid H Almutairi, Bader O Almutairi, Zhaoqing Han, Aituan Ma, Dengshan Shiau","doi":"10.1371/journal.pone.0320496","DOIUrl":null,"url":null,"abstract":"<p><p>Diarrhea is a serious health concern in livestock, affecting productivity and animal welfare. However, it remains a significant threat. Various practical therapies are being explored, such as prebiotics, probiotics, and organic acids, as well as chemical treatments including antibiotics, to combat this disorder. This study aims to explore the microbiome and metabolomic changes in rabbits with diarrhea. In the present study, diarrhea was induced in rabbits via oral gavage of Folium Sennae (FSAE), to assess body weights, diarrhea index, serum biochemical indicators, histopathology, microbiota, and metabolomics changes. Our study provides new insights into the mechanism of FSAE-induced diarrhea in rabbits and offers a novel mechanism for the interaction between gut microbiota, metabolomics, and gastrointestinal (GIT) dysfunction. Our results revealed that rabbits receiving FSAE showed a markedly higher diarrhea index and reduced body weight. Notably, levels of somatostatin, substance P, cholecystokinin, 5-hydroxytryptamine, vasoactive intestinal peptide, and acetylcholinesterase were significantly increased compared to control (P <  0.01). However, the levels of gastrin, motilin, enkephalin, and β-Endorphins were significantly decreased (P <  0.01). Microbial analysis revealed a significant reduction in microbial diversity (Shannon, Simpson, ACE, and chao1) and a decrease in Firmicutes, Campilobacterota, and Proteobacteria populations in FSAE-exposed rabbits. Additionally, 13 key metabolites associated with taurine and hypotaurine metabolism, alanine, aspartate and glutamate metabolism, starch and sucrose metabolism, histidine metabolism, and citrate cycle were identified in the colonic tissues. The present study concludes that FSAE-induced diarrhea in rabbits is associated with significant histopathological alterations in the colon, dysregulation of serum biochemical markers, and dysbiosis in metabolomics and gut microbiota. Our findings offer a novel model for investigating GIT dysfunction and its potential treatments.</p>","PeriodicalId":20189,"journal":{"name":"PLoS ONE","volume":"20 3","pages":"e0320496"},"PeriodicalIF":2.6000,"publicationDate":"2025-03-31","publicationTypes":"Journal Article","fieldsOfStudy":null,"isOpenAccess":false,"openAccessPdf":"https://www.ncbi.nlm.nih.gov/pmc/articles/PMC11957369/pdf/","citationCount":"0","resultStr":"{\"title\":\"Microbiome and metabolomic changes in rabbits induced by Folium sennae.\",\"authors\":\"Houkang Ding, Ming Li, Ning Ma, Shahid Ali Rajput, Mikhlid H Almutairi, Bader O Almutairi, Zhaoqing Han, Aituan Ma, Dengshan Shiau\",\"doi\":\"10.1371/journal.pone.0320496\",\"DOIUrl\":null,\"url\":null,\"abstract\":\"<p><p>Diarrhea is a serious health concern in livestock, affecting productivity and animal welfare. However, it remains a significant threat. Various practical therapies are being explored, such as prebiotics, probiotics, and organic acids, as well as chemical treatments including antibiotics, to combat this disorder. This study aims to explore the microbiome and metabolomic changes in rabbits with diarrhea. In the present study, diarrhea was induced in rabbits via oral gavage of Folium Sennae (FSAE), to assess body weights, diarrhea index, serum biochemical indicators, histopathology, microbiota, and metabolomics changes. Our study provides new insights into the mechanism of FSAE-induced diarrhea in rabbits and offers a novel mechanism for the interaction between gut microbiota, metabolomics, and gastrointestinal (GIT) dysfunction. Our results revealed that rabbits receiving FSAE showed a markedly higher diarrhea index and reduced body weight. Notably, levels of somatostatin, substance P, cholecystokinin, 5-hydroxytryptamine, vasoactive intestinal peptide, and acetylcholinesterase were significantly increased compared to control (P <  0.01). However, the levels of gastrin, motilin, enkephalin, and β-Endorphins were significantly decreased (P <  0.01). Microbial analysis revealed a significant reduction in microbial diversity (Shannon, Simpson, ACE, and chao1) and a decrease in Firmicutes, Campilobacterota, and Proteobacteria populations in FSAE-exposed rabbits. Additionally, 13 key metabolites associated with taurine and hypotaurine metabolism, alanine, aspartate and glutamate metabolism, starch and sucrose metabolism, histidine metabolism, and citrate cycle were identified in the colonic tissues. The present study concludes that FSAE-induced diarrhea in rabbits is associated with significant histopathological alterations in the colon, dysregulation of serum biochemical markers, and dysbiosis in metabolomics and gut microbiota. Our findings offer a novel model for investigating GIT dysfunction and its potential treatments.</p>\",\"PeriodicalId\":20189,\"journal\":{\"name\":\"PLoS ONE\",\"volume\":\"20 3\",\"pages\":\"e0320496\"},\"PeriodicalIF\":2.6000,\"publicationDate\":\"2025-03-31\",\"publicationTypes\":\"Journal Article\",\"fieldsOfStudy\":null,\"isOpenAccess\":false,\"openAccessPdf\":\"https://www.ncbi.nlm.nih.gov/pmc/articles/PMC11957369/pdf/\",\"citationCount\":\"0\",\"resultStr\":null,\"platform\":\"Semanticscholar\",\"paperid\":null,\"PeriodicalName\":\"PLoS ONE\",\"FirstCategoryId\":\"103\",\"ListUrlMain\":\"https://doi.org/10.1371/journal.pone.0320496\",\"RegionNum\":3,\"RegionCategory\":\"综合性期刊\",\"ArticlePicture\":[],\"TitleCN\":null,\"AbstractTextCN\":null,\"PMCID\":null,\"EPubDate\":\"2025/1/1 0:00:00\",\"PubModel\":\"eCollection\",\"JCR\":\"Q1\",\"JCRName\":\"MULTIDISCIPLINARY SCIENCES\",\"Score\":null,\"Total\":0}","platform":"Semanticscholar","paperid":null,"PeriodicalName":"PLoS ONE","FirstCategoryId":"103","ListUrlMain":"https://doi.org/10.1371/journal.pone.0320496","RegionNum":3,"RegionCategory":"综合性期刊","ArticlePicture":[],"TitleCN":null,"AbstractTextCN":null,"PMCID":null,"EPubDate":"2025/1/1 0:00:00","PubModel":"eCollection","JCR":"Q1","JCRName":"MULTIDISCIPLINARY SCIENCES","Score":null,"Total":0}
引用次数: 0

摘要

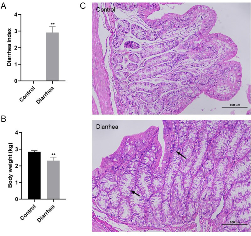
腹泻是牲畜严重的健康问题,影响生产力和动物福利。然而,它仍然是一个重大威胁。人们正在探索各种实用的治疗方法,如益生元、益生菌和有机酸,以及包括抗生素在内的化学治疗,以对抗这种疾病。本研究旨在探讨腹泻家兔的微生物组和代谢组学变化。本研究通过灌胃牛油果(Folium Sennae, FSAE)诱导家兔腹泻,观察其体重、腹泻指数、血清生化指标、组织病理学、微生物群及代谢组学变化。我们的研究为fsae诱导家兔腹泻的机制提供了新的见解,并为肠道微生物群、代谢组学和胃肠道功能障碍之间的相互作用提供了新的机制。我们的研究结果显示,接受FSAE治疗的家兔腹泻指数明显升高,体重明显减轻。值得注意的是,与对照组相比,生长抑素、P物质、胆囊收缩素、5-羟色胺、血管活性肠肽和乙酰胆碱酯酶的水平显著升高(P
本文章由计算机程序翻译,如有差异,请以英文原文为准。

Microbiome and metabolomic changes in rabbits induced by Folium sennae.

Microbiome and metabolomic changes in rabbits induced by Folium sennae.

Microbiome and metabolomic changes in rabbits induced by Folium sennae.

Microbiome and metabolomic changes in rabbits induced by Folium sennae.

Diarrhea is a serious health concern in livestock, affecting productivity and animal welfare. However, it remains a significant threat. Various practical therapies are being explored, such as prebiotics, probiotics, and organic acids, as well as chemical treatments including antibiotics, to combat this disorder. This study aims to explore the microbiome and metabolomic changes in rabbits with diarrhea. In the present study, diarrhea was induced in rabbits via oral gavage of Folium Sennae (FSAE), to assess body weights, diarrhea index, serum biochemical indicators, histopathology, microbiota, and metabolomics changes. Our study provides new insights into the mechanism of FSAE-induced diarrhea in rabbits and offers a novel mechanism for the interaction between gut microbiota, metabolomics, and gastrointestinal (GIT) dysfunction. Our results revealed that rabbits receiving FSAE showed a markedly higher diarrhea index and reduced body weight. Notably, levels of somatostatin, substance P, cholecystokinin, 5-hydroxytryptamine, vasoactive intestinal peptide, and acetylcholinesterase were significantly increased compared to control (P <  0.01). However, the levels of gastrin, motilin, enkephalin, and β-Endorphins were significantly decreased (P <  0.01). Microbial analysis revealed a significant reduction in microbial diversity (Shannon, Simpson, ACE, and chao1) and a decrease in Firmicutes, Campilobacterota, and Proteobacteria populations in FSAE-exposed rabbits. Additionally, 13 key metabolites associated with taurine and hypotaurine metabolism, alanine, aspartate and glutamate metabolism, starch and sucrose metabolism, histidine metabolism, and citrate cycle were identified in the colonic tissues. The present study concludes that FSAE-induced diarrhea in rabbits is associated with significant histopathological alterations in the colon, dysregulation of serum biochemical markers, and dysbiosis in metabolomics and gut microbiota. Our findings offer a novel model for investigating GIT dysfunction and its potential treatments.

求助全文
通过发布文献求助,成功后即可免费获取论文全文。 去求助
来源期刊
PLoS ONE
PLoS ONE 生物-生物学
CiteScore
6.20
自引率
5.40%
发文量
14242
审稿时长
3.7 months
期刊介绍: PLOS ONE is an international, peer-reviewed, open-access, online publication. PLOS ONE welcomes reports on primary research from any scientific discipline. It provides: * Open-access—freely accessible online, authors retain copyright * Fast publication times * Peer review by expert, practicing researchers * Post-publication tools to indicate quality and impact * Community-based dialogue on articles * Worldwide media coverage
×
引用
GB/T 7714-2015
复制
MLA
复制
APA
复制
导出至
BibTeX EndNote RefMan NoteFirst NoteExpress
×
提示
您的信息不完整,为了账户安全,请先补充。
现在去补充
×
提示
您因"违规操作"
具体请查看互助需知
我知道了
×
提示
确定
请完成安全验证×
copy
已复制链接
快去分享给好友吧!
我知道了
右上角分享
点击右上角分享
0
联系我们:info@booksci.cn Book学术提供免费学术资源搜索服务,方便国内外学者检索中英文文献。致力于提供最便捷和优质的服务体验。 Copyright © 2023 布克学术 All rights reserved.
京ICP备2023020795号-1
ghs 京公网安备 11010802042870号
Book学术文献互助
Book学术文献互助群
群 号:604180095
Book学术官方微信