应用LI-RADS v2018预测微血管侵袭阴性孤立性肝癌早期复发的诊断模型

IF 3.5 2区 医学 Q2 ONCOLOGY
Yingying Liang, Xiaorui Han, Tingwen Zhou, Chuyin Xiao, Changzheng Shi, Xinhua Wei, Hongzhen Wu
{"title":"应用LI-RADS v2018预测微血管侵袭阴性孤立性肝癌早期复发的诊断模型","authors":"Yingying Liang, Xiaorui Han, Tingwen Zhou, Chuyin Xiao, Changzheng Shi, Xinhua Wei, Hongzhen Wu","doi":"10.1186/s40644-025-00865-1","DOIUrl":null,"url":null,"abstract":"<p><strong>Objectives: </strong>To develop a diagnostic model for predicting the early recurrence of microvascular invasion (MVI)-negative hepatocellular carcinoma (HCC) after surgical resection, using the Liver Imaging Reporting and Data System (LI-RADS) version 2018.</p><p><strong>Methods: </strong>This retrospective study included 73 patients with MVI-negative HCC who underwent Gadoxetic acid-enhanced MRI (EOB-MRI) scanning before surgical resection. The clinical factors and LI-RADS v2018 MRI features associated with early recurrence were determined using univariable and multivariable analyses. A diagnostic model predicting early recurrence after surgical resection was developed, and its predictive ability was evaluated via a receiver operating characteristic curve. Then, the recurrence-free survival (RFS) rates were analyzed by Kaplan-Meier method.</p><p><strong>Results: </strong>In total, 26 (35.6%) patients were diagnosed with early recurrence according to the follow-up results. Infiltrative appearance and targetoid hepatobiliary phase (HBP) appearance were independent predictors associated with early recurrence (p < 0.05). For the established diagnostic model that incorporated these two significant predictors, the AUC value was 0.76 (95% CI: 0.64-0.85) for predicting early recurrence after resection, which was higher than the infiltrative appearance (AUC: 0.67, 95% CI: 0.55-0.78, p = 0.019) and targetoid HBP appearance (AUC: 0.68, 95% CI:0.57-0.79, p = 0.028). In the RFS analysis, patients with infiltrative appearance and targetoid HBP appearance showed significantly lower RFS rates than those without infiltrative appearance (2-year RFS rate, 48.0% vs. 72.0%; p = 0.009) and targetoid HBP appearance (2-year RFS rate, 60.0% vs. 35.0%; p = 0.003).</p><p><strong>Conclusion: </strong>An EOB-MRI model based on infiltrative appearance and targetoid HBP appearance showed good performance in predicting early recurrence of HCC after surgery, which may provide personalized guidance for clinical treatment decisions in patients with MVI-negative HCC.</p>","PeriodicalId":9548,"journal":{"name":"Cancer Imaging","volume":"25 1","pages":"46"},"PeriodicalIF":3.5000,"publicationDate":"2025-03-31","publicationTypes":"Journal Article","fieldsOfStudy":null,"isOpenAccess":false,"openAccessPdf":"https://www.ncbi.nlm.nih.gov/pmc/articles/PMC11956464/pdf/","citationCount":"0","resultStr":"{\"title\":\"Diagnostic model using LI-RADS v2018 for predicting early recurrence of microvascular invasion-negative solitary hepatocellular carcinoma.\",\"authors\":\"Yingying Liang, Xiaorui Han, Tingwen Zhou, Chuyin Xiao, Changzheng Shi, Xinhua Wei, Hongzhen Wu\",\"doi\":\"10.1186/s40644-025-00865-1\",\"DOIUrl\":null,\"url\":null,\"abstract\":\"<p><strong>Objectives: </strong>To develop a diagnostic model for predicting the early recurrence of microvascular invasion (MVI)-negative hepatocellular carcinoma (HCC) after surgical resection, using the Liver Imaging Reporting and Data System (LI-RADS) version 2018.</p><p><strong>Methods: </strong>This retrospective study included 73 patients with MVI-negative HCC who underwent Gadoxetic acid-enhanced MRI (EOB-MRI) scanning before surgical resection. The clinical factors and LI-RADS v2018 MRI features associated with early recurrence were determined using univariable and multivariable analyses. A diagnostic model predicting early recurrence after surgical resection was developed, and its predictive ability was evaluated via a receiver operating characteristic curve. Then, the recurrence-free survival (RFS) rates were analyzed by Kaplan-Meier method.</p><p><strong>Results: </strong>In total, 26 (35.6%) patients were diagnosed with early recurrence according to the follow-up results. Infiltrative appearance and targetoid hepatobiliary phase (HBP) appearance were independent predictors associated with early recurrence (p < 0.05). For the established diagnostic model that incorporated these two significant predictors, the AUC value was 0.76 (95% CI: 0.64-0.85) for predicting early recurrence after resection, which was higher than the infiltrative appearance (AUC: 0.67, 95% CI: 0.55-0.78, p = 0.019) and targetoid HBP appearance (AUC: 0.68, 95% CI:0.57-0.79, p = 0.028). In the RFS analysis, patients with infiltrative appearance and targetoid HBP appearance showed significantly lower RFS rates than those without infiltrative appearance (2-year RFS rate, 48.0% vs. 72.0%; p = 0.009) and targetoid HBP appearance (2-year RFS rate, 60.0% vs. 35.0%; p = 0.003).</p><p><strong>Conclusion: </strong>An EOB-MRI model based on infiltrative appearance and targetoid HBP appearance showed good performance in predicting early recurrence of HCC after surgery, which may provide personalized guidance for clinical treatment decisions in patients with MVI-negative HCC.</p>\",\"PeriodicalId\":9548,\"journal\":{\"name\":\"Cancer Imaging\",\"volume\":\"25 1\",\"pages\":\"46\"},\"PeriodicalIF\":3.5000,\"publicationDate\":\"2025-03-31\",\"publicationTypes\":\"Journal Article\",\"fieldsOfStudy\":null,\"isOpenAccess\":false,\"openAccessPdf\":\"https://www.ncbi.nlm.nih.gov/pmc/articles/PMC11956464/pdf/\",\"citationCount\":\"0\",\"resultStr\":null,\"platform\":\"Semanticscholar\",\"paperid\":null,\"PeriodicalName\":\"Cancer Imaging\",\"FirstCategoryId\":\"3\",\"ListUrlMain\":\"https://doi.org/10.1186/s40644-025-00865-1\",\"RegionNum\":2,\"RegionCategory\":\"医学\",\"ArticlePicture\":[],\"TitleCN\":null,\"AbstractTextCN\":null,\"PMCID\":null,\"EPubDate\":\"\",\"PubModel\":\"\",\"JCR\":\"Q2\",\"JCRName\":\"ONCOLOGY\",\"Score\":null,\"Total\":0}","platform":"Semanticscholar","paperid":null,"PeriodicalName":"Cancer Imaging","FirstCategoryId":"3","ListUrlMain":"https://doi.org/10.1186/s40644-025-00865-1","RegionNum":2,"RegionCategory":"医学","ArticlePicture":[],"TitleCN":null,"AbstractTextCN":null,"PMCID":null,"EPubDate":"","PubModel":"","JCR":"Q2","JCRName":"ONCOLOGY","Score":null,"Total":0}
引用次数: 0

摘要

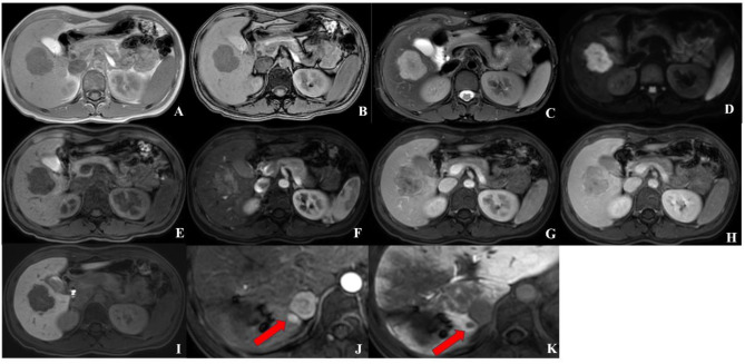
目的利用肝脏成像报告和数据系统(LI-RADS)2018年版,建立预测微血管侵犯(MVI)阴性肝细胞癌(HCC)手术切除后早期复发的诊断模型:这项回顾性研究纳入了73例MVI阴性HCC患者,他们在手术切除前接受了钆醋酸增强磁共振成像(EOB-MRI)扫描。通过单变量和多变量分析确定了与早期复发相关的临床因素和LI-RADS v2018 MRI特征。建立了预测手术切除后早期复发的诊断模型,并通过接收者操作特征曲线评估了其预测能力。然后,采用 Kaplan-Meier 法分析了无复发生存率(RFS):结果:根据随访结果,共有 26 例(35.6%)患者被诊断为早期复发。浸润性外观和靶状肝胆期(HBP)外观是与早期复发相关的独立预测因素(P 结论:EOB-MRI模型可预测早期复发的发生率:基于浸润性外观和矢状体 HBP 外观的 EOB-MRI 模型在预测 HCC 术后早期复发方面表现良好,可为 MVI 阴性 HCC 患者的临床治疗决策提供个性化指导。
本文章由计算机程序翻译,如有差异,请以英文原文为准。

Diagnostic model using LI-RADS v2018 for predicting early recurrence of microvascular invasion-negative solitary hepatocellular carcinoma.

Diagnostic model using LI-RADS v2018 for predicting early recurrence of microvascular invasion-negative solitary hepatocellular carcinoma.

Diagnostic model using LI-RADS v2018 for predicting early recurrence of microvascular invasion-negative solitary hepatocellular carcinoma.

Diagnostic model using LI-RADS v2018 for predicting early recurrence of microvascular invasion-negative solitary hepatocellular carcinoma.

Objectives: To develop a diagnostic model for predicting the early recurrence of microvascular invasion (MVI)-negative hepatocellular carcinoma (HCC) after surgical resection, using the Liver Imaging Reporting and Data System (LI-RADS) version 2018.

Methods: This retrospective study included 73 patients with MVI-negative HCC who underwent Gadoxetic acid-enhanced MRI (EOB-MRI) scanning before surgical resection. The clinical factors and LI-RADS v2018 MRI features associated with early recurrence were determined using univariable and multivariable analyses. A diagnostic model predicting early recurrence after surgical resection was developed, and its predictive ability was evaluated via a receiver operating characteristic curve. Then, the recurrence-free survival (RFS) rates were analyzed by Kaplan-Meier method.

Results: In total, 26 (35.6%) patients were diagnosed with early recurrence according to the follow-up results. Infiltrative appearance and targetoid hepatobiliary phase (HBP) appearance were independent predictors associated with early recurrence (p < 0.05). For the established diagnostic model that incorporated these two significant predictors, the AUC value was 0.76 (95% CI: 0.64-0.85) for predicting early recurrence after resection, which was higher than the infiltrative appearance (AUC: 0.67, 95% CI: 0.55-0.78, p = 0.019) and targetoid HBP appearance (AUC: 0.68, 95% CI:0.57-0.79, p = 0.028). In the RFS analysis, patients with infiltrative appearance and targetoid HBP appearance showed significantly lower RFS rates than those without infiltrative appearance (2-year RFS rate, 48.0% vs. 72.0%; p = 0.009) and targetoid HBP appearance (2-year RFS rate, 60.0% vs. 35.0%; p = 0.003).

Conclusion: An EOB-MRI model based on infiltrative appearance and targetoid HBP appearance showed good performance in predicting early recurrence of HCC after surgery, which may provide personalized guidance for clinical treatment decisions in patients with MVI-negative HCC.

求助全文
通过发布文献求助,成功后即可免费获取论文全文。 去求助
来源期刊
Cancer Imaging
Cancer Imaging ONCOLOGY-RADIOLOGY, NUCLEAR MEDICINE & MEDICAL IMAGING
CiteScore
7.00
自引率
0.00%
发文量
66
审稿时长
>12 weeks
期刊介绍: Cancer Imaging is an open access, peer-reviewed journal publishing original articles, reviews and editorials written by expert international radiologists working in oncology. The journal encompasses CT, MR, PET, ultrasound, radionuclide and multimodal imaging in all kinds of malignant tumours, plus new developments, techniques and innovations. Topics of interest include: Breast Imaging Chest Complications of treatment Ear, Nose & Throat Gastrointestinal Hepatobiliary & Pancreatic Imaging biomarkers Interventional Lymphoma Measurement of tumour response Molecular functional imaging Musculoskeletal Neuro oncology Nuclear Medicine Paediatric.
×
引用
GB/T 7714-2015
复制
MLA
复制
APA
复制
导出至
BibTeX EndNote RefMan NoteFirst NoteExpress
×
提示
您的信息不完整,为了账户安全,请先补充。
现在去补充
×
提示
您因"违规操作"
具体请查看互助需知
我知道了
×
提示
确定
请完成安全验证×
copy
已复制链接
快去分享给好友吧!
我知道了
右上角分享
点击右上角分享
0
联系我们:info@booksci.cn Book学术提供免费学术资源搜索服务,方便国内外学者检索中英文文献。致力于提供最便捷和优质的服务体验。 Copyright © 2023 布克学术 All rights reserved.
京ICP备2023020795号-1
ghs 京公网安备 11010802042870号
Book学术文献互助
Book学术文献互助群
群 号:604180095
Book学术官方微信