胰腺腺泡细胞癌:CT和MR特征能预测生存吗?

IF 3.5 2区 医学 Q2 ONCOLOGY
Monica Cheng, Nikita Consul, Ryan Chung, Carlos Fernandez- Del Castillo, Yasmin Hernandez-Barco, Avinash Kambadakone
{"title":"胰腺腺泡细胞癌:CT和MR特征能预测生存吗?","authors":"Monica Cheng, Nikita Consul, Ryan Chung, Carlos Fernandez- Del Castillo, Yasmin Hernandez-Barco, Avinash Kambadakone","doi":"10.1186/s40644-025-00859-z","DOIUrl":null,"url":null,"abstract":"<p><strong>Objective: </strong>To evaluate the CT and MRI features of pancreatic acinar cell carcinoma (pACC) and their association with patient outcome and survival.</p><p><strong>Methods: </strong>This retrospective single-center study included 49 patients with pathology-proven pancreatic acinar cell carcinoma who underwent diagnostic imaging between August 1998 - September 2019. Two radiologists reviewed CT and MRI features independently. Survival was estimated using the Kaplan-Meier method, and Cox proportional-hazards regression model was used to identify factors associated with survival.</p><p><strong>Results: </strong>pACC tended to present as a solid (31/49, 63.3%) pancreatic head mass (26/49, 53.1%) with ill-defined margins (32/49, 65.3%) and median maximal diameter of 4.1 cm (IQR, 2.9-6.2). Majority of lesions were hypo- or isodense (38/49, 77.6%) compared to normal pancreatic parenchyma, with heterogenous (39/49, 79.6%) enhancement pattern. Biliary ductal dilatation was uncommon, with pancreatic ductal dilatation in 22.4% (11/49) and common bile duct dilatation in 14.3% (7/49). Intralesional calcifications were seen in 6.1% (3/49). Metastasis was present in 71.4% (35/49) of patients at the time of diagnosis. On MRI, 88.9% (16/18) demonstrated diffusion restriction and 59.1% (13/22) with heterogenous enhancement. On multivariate analysis, the imaging presence of T1 hyperintensity (p = 0.02), hypoattenuating necrotic components (p = 0.02), and splenic vein invasion (p = 0.04) were associated with worse survival.</p><p><strong>Conclusion: </strong>Pancreatic acinar cell carcinoma is a rare pancreatic neoplasm that often presents as a large ill-defined heterogeneously enhancing mass without biliary ductal dilation. T1 hyperintensity, presence of hypoattenuating necrotic components, and splenic vein invasion were independent predictors of survival.</p>","PeriodicalId":9548,"journal":{"name":"Cancer Imaging","volume":"25 1","pages":"38"},"PeriodicalIF":3.5000,"publicationDate":"2025-03-21","publicationTypes":"Journal Article","fieldsOfStudy":null,"isOpenAccess":false,"openAccessPdf":"https://www.ncbi.nlm.nih.gov/pmc/articles/PMC11929164/pdf/","citationCount":"0","resultStr":"{\"title\":\"Acinar cell carcinoma of the pancreas: can CT and MR features predict survival?\",\"authors\":\"Monica Cheng, Nikita Consul, Ryan Chung, Carlos Fernandez- Del Castillo, Yasmin Hernandez-Barco, Avinash Kambadakone\",\"doi\":\"10.1186/s40644-025-00859-z\",\"DOIUrl\":null,\"url\":null,\"abstract\":\"<p><strong>Objective: </strong>To evaluate the CT and MRI features of pancreatic acinar cell carcinoma (pACC) and their association with patient outcome and survival.</p><p><strong>Methods: </strong>This retrospective single-center study included 49 patients with pathology-proven pancreatic acinar cell carcinoma who underwent diagnostic imaging between August 1998 - September 2019. Two radiologists reviewed CT and MRI features independently. Survival was estimated using the Kaplan-Meier method, and Cox proportional-hazards regression model was used to identify factors associated with survival.</p><p><strong>Results: </strong>pACC tended to present as a solid (31/49, 63.3%) pancreatic head mass (26/49, 53.1%) with ill-defined margins (32/49, 65.3%) and median maximal diameter of 4.1 cm (IQR, 2.9-6.2). Majority of lesions were hypo- or isodense (38/49, 77.6%) compared to normal pancreatic parenchyma, with heterogenous (39/49, 79.6%) enhancement pattern. Biliary ductal dilatation was uncommon, with pancreatic ductal dilatation in 22.4% (11/49) and common bile duct dilatation in 14.3% (7/49). Intralesional calcifications were seen in 6.1% (3/49). Metastasis was present in 71.4% (35/49) of patients at the time of diagnosis. On MRI, 88.9% (16/18) demonstrated diffusion restriction and 59.1% (13/22) with heterogenous enhancement. On multivariate analysis, the imaging presence of T1 hyperintensity (p = 0.02), hypoattenuating necrotic components (p = 0.02), and splenic vein invasion (p = 0.04) were associated with worse survival.</p><p><strong>Conclusion: </strong>Pancreatic acinar cell carcinoma is a rare pancreatic neoplasm that often presents as a large ill-defined heterogeneously enhancing mass without biliary ductal dilation. T1 hyperintensity, presence of hypoattenuating necrotic components, and splenic vein invasion were independent predictors of survival.</p>\",\"PeriodicalId\":9548,\"journal\":{\"name\":\"Cancer Imaging\",\"volume\":\"25 1\",\"pages\":\"38\"},\"PeriodicalIF\":3.5000,\"publicationDate\":\"2025-03-21\",\"publicationTypes\":\"Journal Article\",\"fieldsOfStudy\":null,\"isOpenAccess\":false,\"openAccessPdf\":\"https://www.ncbi.nlm.nih.gov/pmc/articles/PMC11929164/pdf/\",\"citationCount\":\"0\",\"resultStr\":null,\"platform\":\"Semanticscholar\",\"paperid\":null,\"PeriodicalName\":\"Cancer Imaging\",\"FirstCategoryId\":\"3\",\"ListUrlMain\":\"https://doi.org/10.1186/s40644-025-00859-z\",\"RegionNum\":2,\"RegionCategory\":\"医学\",\"ArticlePicture\":[],\"TitleCN\":null,\"AbstractTextCN\":null,\"PMCID\":null,\"EPubDate\":\"\",\"PubModel\":\"\",\"JCR\":\"Q2\",\"JCRName\":\"ONCOLOGY\",\"Score\":null,\"Total\":0}","platform":"Semanticscholar","paperid":null,"PeriodicalName":"Cancer Imaging","FirstCategoryId":"3","ListUrlMain":"https://doi.org/10.1186/s40644-025-00859-z","RegionNum":2,"RegionCategory":"医学","ArticlePicture":[],"TitleCN":null,"AbstractTextCN":null,"PMCID":null,"EPubDate":"","PubModel":"","JCR":"Q2","JCRName":"ONCOLOGY","Score":null,"Total":0}
引用次数: 0

摘要

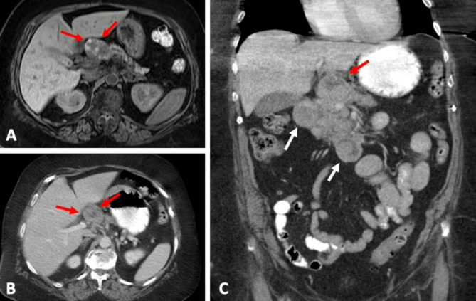
目的:探讨胰腺腺泡细胞癌(pACC)的CT和MRI表现及其与预后和生存的关系。方法:本回顾性单中心研究纳入了49例病理证实的胰腺腺泡细胞癌患者,这些患者于1998年8月至2019年9月期间接受了诊断成像。两名放射科医生独立回顾了CT和MRI特征。使用Kaplan-Meier法估计生存率,并使用Cox比例风险回归模型确定与生存率相关的因素。结果:pACC倾向于表现为胰腺头部实性肿块(31/ 49,63.3%)(26/ 49,53.1%),边缘不明确(32/ 49,65.3%),最大中位直径为4.1 cm (IQR, 2.9-6.2)。与正常胰腺实质相比,大多数病变呈低密度或等密度(38/49,77.6%),呈异质性强化(39/49,79.6%)。胆管扩张不常见,胰管扩张占22.4%(11/49),胆总管扩张占14.3%(7/49)。病变内钙化发生率为6.1%(3/49)。71.4%(35/49)的患者在诊断时存在转移。MRI上,88.9%(16/18)表现为扩散受限,59.1%(13/22)表现为非均匀强化。在多因素分析中,T1高强度(p = 0.02)、低衰减坏死成分(p = 0.02)和脾静脉侵犯(p = 0.04)的影像学表现与较差的生存率相关。结论:胰腺腺泡细胞癌是一种罕见的胰腺肿瘤,常表现为一个大的不明确的异质增强肿块,没有胆管扩张。T1高强度、低衰减坏死成分的存在和脾静脉侵犯是生存的独立预测因素。
本文章由计算机程序翻译,如有差异,请以英文原文为准。

Acinar cell carcinoma of the pancreas: can CT and MR features predict survival?

Acinar cell carcinoma of the pancreas: can CT and MR features predict survival?

Acinar cell carcinoma of the pancreas: can CT and MR features predict survival?

Acinar cell carcinoma of the pancreas: can CT and MR features predict survival?

Objective: To evaluate the CT and MRI features of pancreatic acinar cell carcinoma (pACC) and their association with patient outcome and survival.

Methods: This retrospective single-center study included 49 patients with pathology-proven pancreatic acinar cell carcinoma who underwent diagnostic imaging between August 1998 - September 2019. Two radiologists reviewed CT and MRI features independently. Survival was estimated using the Kaplan-Meier method, and Cox proportional-hazards regression model was used to identify factors associated with survival.

Results: pACC tended to present as a solid (31/49, 63.3%) pancreatic head mass (26/49, 53.1%) with ill-defined margins (32/49, 65.3%) and median maximal diameter of 4.1 cm (IQR, 2.9-6.2). Majority of lesions were hypo- or isodense (38/49, 77.6%) compared to normal pancreatic parenchyma, with heterogenous (39/49, 79.6%) enhancement pattern. Biliary ductal dilatation was uncommon, with pancreatic ductal dilatation in 22.4% (11/49) and common bile duct dilatation in 14.3% (7/49). Intralesional calcifications were seen in 6.1% (3/49). Metastasis was present in 71.4% (35/49) of patients at the time of diagnosis. On MRI, 88.9% (16/18) demonstrated diffusion restriction and 59.1% (13/22) with heterogenous enhancement. On multivariate analysis, the imaging presence of T1 hyperintensity (p = 0.02), hypoattenuating necrotic components (p = 0.02), and splenic vein invasion (p = 0.04) were associated with worse survival.

Conclusion: Pancreatic acinar cell carcinoma is a rare pancreatic neoplasm that often presents as a large ill-defined heterogeneously enhancing mass without biliary ductal dilation. T1 hyperintensity, presence of hypoattenuating necrotic components, and splenic vein invasion were independent predictors of survival.

求助全文
通过发布文献求助,成功后即可免费获取论文全文。 去求助
来源期刊
Cancer Imaging
Cancer Imaging ONCOLOGY-RADIOLOGY, NUCLEAR MEDICINE & MEDICAL IMAGING
CiteScore
7.00
自引率
0.00%
发文量
66
审稿时长
>12 weeks
期刊介绍: Cancer Imaging is an open access, peer-reviewed journal publishing original articles, reviews and editorials written by expert international radiologists working in oncology. The journal encompasses CT, MR, PET, ultrasound, radionuclide and multimodal imaging in all kinds of malignant tumours, plus new developments, techniques and innovations. Topics of interest include: Breast Imaging Chest Complications of treatment Ear, Nose & Throat Gastrointestinal Hepatobiliary & Pancreatic Imaging biomarkers Interventional Lymphoma Measurement of tumour response Molecular functional imaging Musculoskeletal Neuro oncology Nuclear Medicine Paediatric.
×
引用
GB/T 7714-2015
复制
MLA
复制
APA
复制
导出至
BibTeX EndNote RefMan NoteFirst NoteExpress
×
提示
您的信息不完整,为了账户安全,请先补充。
现在去补充
×
提示
您因"违规操作"
具体请查看互助需知
我知道了
×
提示
确定
请完成安全验证×
copy
已复制链接
快去分享给好友吧!
我知道了
右上角分享
点击右上角分享
0
联系我们:info@booksci.cn Book学术提供免费学术资源搜索服务,方便国内外学者检索中英文文献。致力于提供最便捷和优质的服务体验。 Copyright © 2023 布克学术 All rights reserved.
京ICP备2023020795号-1
ghs 京公网安备 11010802042870号
Book学术文献互助
Book学术文献互助群
群 号:604180095
Book学术官方微信