生物加工中具有纤溶潜能的枯草杆菌素的综合生化、分子和结构表征。

IF 5.1 3区 生物学 Q1 BIOTECHNOLOGY & APPLIED MICROBIOLOGY
Shreya S Shettar, Zabin K Bagewadi, Mohammed Alasmary, Basheerahmed Abdulaziz Mannasaheb, Ibrahim Ahmed Shaikh, Aejaz Abdullatif Khan
{"title":"生物加工中具有纤溶潜能的枯草杆菌素的综合生化、分子和结构表征。","authors":"Shreya S Shettar, Zabin K Bagewadi, Mohammed Alasmary, Basheerahmed Abdulaziz Mannasaheb, Ibrahim Ahmed Shaikh, Aejaz Abdullatif Khan","doi":"10.1186/s40643-025-00860-1","DOIUrl":null,"url":null,"abstract":"<p><p>Enzyme deployment is proliferating extensively in industries owing to their environmentally friendly and easily degradable attributes. This article undertakes an exhaustive examination of wild subtilisin enzyme, covering purification, biochemical delineation, analytical techniques, and practical implementations. The purification methodology involved partial refinement, anionic exchange, and gel filtration chromatography, culminating in a purification factor of 3.406, corroborated by SDS-PAGE showcasing a molecular weight of ~ 42 kDa. Biochemical scrutiny unveiled the enzyme's response, with an optimal pH at 9 and temperature peak at 60 ℃. Various surfactants, metal ions, organic solvents and inhibitors exhibited notable efficacy. Substrate specificity and kinetics showcased the utmost specificity with N-Suc-F-A-A-F-pNA, registering K<sub>m</sub> and V<sub>max</sub> values of 0.731 ± 0.5 mM and 0.87 ± 9 × 10<sup>3</sup> U/mg, respectively. Different bioanalytical techniquesproffered insights into structural and biophysical facets. Practical applications encompassed goat skin depilation, feather disintegration, blood clot dissolution, exemplifying the enzyme's multifaceted utility. To embark upon the elucidation of structure-function relationships, a three-dimensional model was devised through homology modelling, leveraging existing subtilisin structures (PDB: 3WHI). Molecular docking score of - 8.8 kcal/mol and dynamic simulations augmented the comprehension of molecular interactions with N-Suc-F-A-A-F-pNA. This research significantly contributes to unravelling the biochemical intricacies of wild subtilisin and underscores potential industrial and biomedical prowess. Subtilisin can be explored for its thrombolytic potential in several cardiovascular diseases. It may aid in the management of thrombosis by dissolving blood clots in conditions like deep pulmonary embolism, myocardial infarction, ischemic strokes, and in atherosclerosis by breaking down fibrin in arterial plaques, thus preventing heart attacks and strokes.</p>","PeriodicalId":9067,"journal":{"name":"Bioresources and Bioprocessing","volume":"12 1","pages":"21"},"PeriodicalIF":5.1000,"publicationDate":"2025-03-21","publicationTypes":"Journal Article","fieldsOfStudy":null,"isOpenAccess":false,"openAccessPdf":"https://www.ncbi.nlm.nih.gov/pmc/articles/PMC11928348/pdf/","citationCount":"0","resultStr":"{\"title\":\"Comprehensive biochemical, molecular and structural characterization of subtilisin with fibrinolytic potential in bioprocessing.\",\"authors\":\"Shreya S Shettar, Zabin K Bagewadi, Mohammed Alasmary, Basheerahmed Abdulaziz Mannasaheb, Ibrahim Ahmed Shaikh, Aejaz Abdullatif Khan\",\"doi\":\"10.1186/s40643-025-00860-1\",\"DOIUrl\":null,\"url\":null,\"abstract\":\"<p><p>Enzyme deployment is proliferating extensively in industries owing to their environmentally friendly and easily degradable attributes. This article undertakes an exhaustive examination of wild subtilisin enzyme, covering purification, biochemical delineation, analytical techniques, and practical implementations. The purification methodology involved partial refinement, anionic exchange, and gel filtration chromatography, culminating in a purification factor of 3.406, corroborated by SDS-PAGE showcasing a molecular weight of ~ 42 kDa. Biochemical scrutiny unveiled the enzyme's response, with an optimal pH at 9 and temperature peak at 60 ℃. Various surfactants, metal ions, organic solvents and inhibitors exhibited notable efficacy. Substrate specificity and kinetics showcased the utmost specificity with N-Suc-F-A-A-F-pNA, registering K<sub>m</sub> and V<sub>max</sub> values of 0.731 ± 0.5 mM and 0.87 ± 9 × 10<sup>3</sup> U/mg, respectively. Different bioanalytical techniquesproffered insights into structural and biophysical facets. Practical applications encompassed goat skin depilation, feather disintegration, blood clot dissolution, exemplifying the enzyme's multifaceted utility. To embark upon the elucidation of structure-function relationships, a three-dimensional model was devised through homology modelling, leveraging existing subtilisin structures (PDB: 3WHI). Molecular docking score of - 8.8 kcal/mol and dynamic simulations augmented the comprehension of molecular interactions with N-Suc-F-A-A-F-pNA. This research significantly contributes to unravelling the biochemical intricacies of wild subtilisin and underscores potential industrial and biomedical prowess. Subtilisin can be explored for its thrombolytic potential in several cardiovascular diseases. It may aid in the management of thrombosis by dissolving blood clots in conditions like deep pulmonary embolism, myocardial infarction, ischemic strokes, and in atherosclerosis by breaking down fibrin in arterial plaques, thus preventing heart attacks and strokes.</p>\",\"PeriodicalId\":9067,\"journal\":{\"name\":\"Bioresources and Bioprocessing\",\"volume\":\"12 1\",\"pages\":\"21\"},\"PeriodicalIF\":5.1000,\"publicationDate\":\"2025-03-21\",\"publicationTypes\":\"Journal Article\",\"fieldsOfStudy\":null,\"isOpenAccess\":false,\"openAccessPdf\":\"https://www.ncbi.nlm.nih.gov/pmc/articles/PMC11928348/pdf/\",\"citationCount\":\"0\",\"resultStr\":null,\"platform\":\"Semanticscholar\",\"paperid\":null,\"PeriodicalName\":\"Bioresources and Bioprocessing\",\"FirstCategoryId\":\"5\",\"ListUrlMain\":\"https://doi.org/10.1186/s40643-025-00860-1\",\"RegionNum\":3,\"RegionCategory\":\"生物学\",\"ArticlePicture\":[],\"TitleCN\":null,\"AbstractTextCN\":null,\"PMCID\":null,\"EPubDate\":\"\",\"PubModel\":\"\",\"JCR\":\"Q1\",\"JCRName\":\"BIOTECHNOLOGY & APPLIED MICROBIOLOGY\",\"Score\":null,\"Total\":0}","platform":"Semanticscholar","paperid":null,"PeriodicalName":"Bioresources and Bioprocessing","FirstCategoryId":"5","ListUrlMain":"https://doi.org/10.1186/s40643-025-00860-1","RegionNum":3,"RegionCategory":"生物学","ArticlePicture":[],"TitleCN":null,"AbstractTextCN":null,"PMCID":null,"EPubDate":"","PubModel":"","JCR":"Q1","JCRName":"BIOTECHNOLOGY & APPLIED MICROBIOLOGY","Score":null,"Total":0}
引用次数: 0

摘要

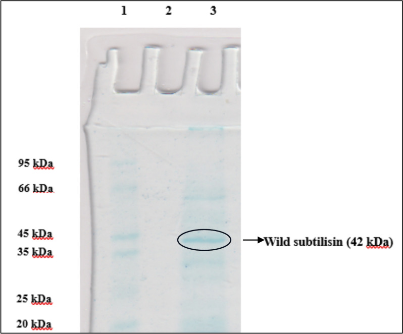
由于酶具有环境友好和易于降解的特性,因此在工业中广泛使用。本文对野生枯草酶进行了详尽的研究,包括纯化、生化鉴定、分析技术和实际应用。纯化方法包括部分精制、阴离子交换和凝胶过滤色谱法,最终纯化系数为 3.406,SDS-PAGE 显示分子量约为 42 kDa。生化检查揭示了该酶的反应,其最佳 pH 值为 9,温度峰值为 60 ℃。各种表面活性剂、金属离子、有机溶剂和抑制剂都显示出显著的功效。底物特异性和动力学显示了 N-Suc-F-A-A-F-pNA 的最大特异性,其 Km 和 Vmax 值分别为 0.731 ± 0.5 mM 和 0.87 ± 9 × 103 U/mg 。不同的生物分析技术提供了结构和生物物理方面的见解。实际应用包括山羊皮脱毛、羽毛分解、血凝块溶解等,体现了该酶的多方面用途。为了着手阐明结构与功能之间的关系,我们利用现有的枯草蛋白结构(PDB:3WHI),通过同源建模设计了一个三维模型。分子对接得分-8.8 kcal/mol和动态模拟增强了对N-Suc-F-A-A-F-pNA分子相互作用的理解。这项研究大大有助于揭示野生枯草杆菌素错综复杂的生物化学特性,并凸显了其潜在的工业和生物医学价值。在多种心血管疾病中,都可以挖掘潜藏的溶栓潜力。它可以通过溶解深部肺栓塞、心肌梗塞、缺血性中风等疾病中的血凝块来帮助治疗血栓形成,还可以通过分解动脉斑块中的纤维蛋白来治疗动脉粥样硬化,从而预防心脏病发作和中风。
本文章由计算机程序翻译,如有差异,请以英文原文为准。

Comprehensive biochemical, molecular and structural characterization of subtilisin with fibrinolytic potential in bioprocessing.

Comprehensive biochemical, molecular and structural characterization of subtilisin with fibrinolytic potential in bioprocessing.

Comprehensive biochemical, molecular and structural characterization of subtilisin with fibrinolytic potential in bioprocessing.

Comprehensive biochemical, molecular and structural characterization of subtilisin with fibrinolytic potential in bioprocessing.

Enzyme deployment is proliferating extensively in industries owing to their environmentally friendly and easily degradable attributes. This article undertakes an exhaustive examination of wild subtilisin enzyme, covering purification, biochemical delineation, analytical techniques, and practical implementations. The purification methodology involved partial refinement, anionic exchange, and gel filtration chromatography, culminating in a purification factor of 3.406, corroborated by SDS-PAGE showcasing a molecular weight of ~ 42 kDa. Biochemical scrutiny unveiled the enzyme's response, with an optimal pH at 9 and temperature peak at 60 ℃. Various surfactants, metal ions, organic solvents and inhibitors exhibited notable efficacy. Substrate specificity and kinetics showcased the utmost specificity with N-Suc-F-A-A-F-pNA, registering Km and Vmax values of 0.731 ± 0.5 mM and 0.87 ± 9 × 103 U/mg, respectively. Different bioanalytical techniquesproffered insights into structural and biophysical facets. Practical applications encompassed goat skin depilation, feather disintegration, blood clot dissolution, exemplifying the enzyme's multifaceted utility. To embark upon the elucidation of structure-function relationships, a three-dimensional model was devised through homology modelling, leveraging existing subtilisin structures (PDB: 3WHI). Molecular docking score of - 8.8 kcal/mol and dynamic simulations augmented the comprehension of molecular interactions with N-Suc-F-A-A-F-pNA. This research significantly contributes to unravelling the biochemical intricacies of wild subtilisin and underscores potential industrial and biomedical prowess. Subtilisin can be explored for its thrombolytic potential in several cardiovascular diseases. It may aid in the management of thrombosis by dissolving blood clots in conditions like deep pulmonary embolism, myocardial infarction, ischemic strokes, and in atherosclerosis by breaking down fibrin in arterial plaques, thus preventing heart attacks and strokes.

求助全文
通过发布文献求助,成功后即可免费获取论文全文。 去求助
来源期刊
Bioresources and Bioprocessing
Bioresources and Bioprocessing BIOTECHNOLOGY & APPLIED MICROBIOLOGY-
CiteScore
7.20
自引率
8.70%
发文量
118
审稿时长
13 weeks
期刊介绍: Bioresources and Bioprocessing (BIOB) is a peer-reviewed open access journal published under the brand SpringerOpen. BIOB aims at providing an international academic platform for exchanging views on and promoting research to support bioresource development, processing and utilization in a sustainable manner. As an application-oriented research journal, BIOB covers not only the application and management of bioresource technology but also the design and development of bioprocesses that will lead to new and sustainable production processes. BIOB publishes original and review articles on most topics relating to bioresource and bioprocess engineering, including: -Biochemical and microbiological engineering -Biocatalysis and biotransformation -Biosynthesis and metabolic engineering -Bioprocess and biosystems engineering -Bioenergy and biorefinery -Cell culture and biomedical engineering -Food, agricultural and marine biotechnology -Bioseparation and biopurification engineering -Bioremediation and environmental biotechnology
×
引用
GB/T 7714-2015
复制
MLA
复制
APA
复制
导出至
BibTeX EndNote RefMan NoteFirst NoteExpress
×
提示
您的信息不完整,为了账户安全,请先补充。
现在去补充
×
提示
您因"违规操作"
具体请查看互助需知
我知道了
×
提示
确定
请完成安全验证×
copy
已复制链接
快去分享给好友吧!
我知道了
右上角分享
点击右上角分享
0
联系我们:info@booksci.cn Book学术提供免费学术资源搜索服务,方便国内外学者检索中英文文献。致力于提供最便捷和优质的服务体验。 Copyright © 2023 布克学术 All rights reserved.
京ICP备2023020795号-1
ghs 京公网安备 11010802042870号
Book学术文献互助
Book学术文献互助群
群 号:604180095
Book学术官方微信