一名小儿患者的颅底横纹肌肉瘤模拟骨髓炎

IF 0.7 Q4 CLINICAL NEUROLOGY
Journal of Neurological Surgery Reports Pub Date : 2025-03-20 eCollection Date: 2025-01-01 DOI:10.1055/a-2544-3543
Avraham Adelman, Landon Richardson, Nikita Chapurin, Brian C Lobo, Si Chen
{"title":"一名小儿患者的颅底横纹肌肉瘤模拟骨髓炎","authors":"Avraham Adelman, Landon Richardson, Nikita Chapurin, Brian C Lobo, Si Chen","doi":"10.1055/a-2544-3543","DOIUrl":null,"url":null,"abstract":"<p><p>Rhabdomyosarcoma (RMS) is a rare malignant tumor, affecting 4.58 per 1 million children, with approximately 35% occurring in the head and neck. Skull base RMS commonly presents at advanced stages and delays diagnosis due to its overlapping features with other skull base pathology, and difficulty accessing the lesion for biopsy. This case illustrates these challenges in skull base RMS mimicking osteomyelitis of the petrous apex. Case: A 6-year-old immunocompetent female, with a history of two acute otitis media episodes, presented with a 3-week history of sixth cranial nerve palsy and sudden-onset complete seventh cranial nerve palsy. She did not have pain or otorrhea. Computed tomography (CT) and magnetic resonance imaging revealed a 1.3 cm left petrous apex enhancing lesion with extension into the mastoid and clivus with surrounding bony and soft tissue destruction. A nuclear medicine scan (Technetium-99m followed by gallium) demonstrated avid uptake in the left petrous apex. The working diagnosis was skull base osteomyelitis, for which the patient received 2.5 weeks of antibiotics. After failing to improve, repeat imaging showed significant progression of the disease and extension into the nasopharynx and sphenoid sinus. An endoscopic trans-sphenoidal biopsy was performed with pathology consistent with RMS. CT chest revealed lung metastases. The patient partially responded to chemotherapy with vincristine, actinomycin-D, and cyclophosphamide alternating with vincristine and irinotecan. During week 13 of chemotherapy, she received concomitant proton therapy to a total dose of 5040 cGyRBE. Five months after diagnosis, she developed leptomeningeal spread, which was further complicated by meningitis, and passed away.</p>","PeriodicalId":44256,"journal":{"name":"Journal of Neurological Surgery Reports","volume":"86 1","pages":"e41-e44"},"PeriodicalIF":0.7000,"publicationDate":"2025-03-20","publicationTypes":"Journal Article","fieldsOfStudy":null,"isOpenAccess":false,"openAccessPdf":"https://www.ncbi.nlm.nih.gov/pmc/articles/PMC11925613/pdf/","citationCount":"0","resultStr":"{\"title\":\"Skull Base Rhabdomyosarcoma Mimicking Osteomyelitis in a Pediatric Patient.\",\"authors\":\"Avraham Adelman, Landon Richardson, Nikita Chapurin, Brian C Lobo, Si Chen\",\"doi\":\"10.1055/a-2544-3543\",\"DOIUrl\":null,\"url\":null,\"abstract\":\"<p><p>Rhabdomyosarcoma (RMS) is a rare malignant tumor, affecting 4.58 per 1 million children, with approximately 35% occurring in the head and neck. Skull base RMS commonly presents at advanced stages and delays diagnosis due to its overlapping features with other skull base pathology, and difficulty accessing the lesion for biopsy. This case illustrates these challenges in skull base RMS mimicking osteomyelitis of the petrous apex. Case: A 6-year-old immunocompetent female, with a history of two acute otitis media episodes, presented with a 3-week history of sixth cranial nerve palsy and sudden-onset complete seventh cranial nerve palsy. She did not have pain or otorrhea. Computed tomography (CT) and magnetic resonance imaging revealed a 1.3 cm left petrous apex enhancing lesion with extension into the mastoid and clivus with surrounding bony and soft tissue destruction. A nuclear medicine scan (Technetium-99m followed by gallium) demonstrated avid uptake in the left petrous apex. The working diagnosis was skull base osteomyelitis, for which the patient received 2.5 weeks of antibiotics. After failing to improve, repeat imaging showed significant progression of the disease and extension into the nasopharynx and sphenoid sinus. An endoscopic trans-sphenoidal biopsy was performed with pathology consistent with RMS. CT chest revealed lung metastases. The patient partially responded to chemotherapy with vincristine, actinomycin-D, and cyclophosphamide alternating with vincristine and irinotecan. During week 13 of chemotherapy, she received concomitant proton therapy to a total dose of 5040 cGyRBE. Five months after diagnosis, she developed leptomeningeal spread, which was further complicated by meningitis, and passed away.</p>\",\"PeriodicalId\":44256,\"journal\":{\"name\":\"Journal of Neurological Surgery Reports\",\"volume\":\"86 1\",\"pages\":\"e41-e44\"},\"PeriodicalIF\":0.7000,\"publicationDate\":\"2025-03-20\",\"publicationTypes\":\"Journal Article\",\"fieldsOfStudy\":null,\"isOpenAccess\":false,\"openAccessPdf\":\"https://www.ncbi.nlm.nih.gov/pmc/articles/PMC11925613/pdf/\",\"citationCount\":\"0\",\"resultStr\":null,\"platform\":\"Semanticscholar\",\"paperid\":null,\"PeriodicalName\":\"Journal of Neurological Surgery Reports\",\"FirstCategoryId\":\"1085\",\"ListUrlMain\":\"https://doi.org/10.1055/a-2544-3543\",\"RegionNum\":0,\"RegionCategory\":null,\"ArticlePicture\":[],\"TitleCN\":null,\"AbstractTextCN\":null,\"PMCID\":null,\"EPubDate\":\"2025/1/1 0:00:00\",\"PubModel\":\"eCollection\",\"JCR\":\"Q4\",\"JCRName\":\"CLINICAL NEUROLOGY\",\"Score\":null,\"Total\":0}","platform":"Semanticscholar","paperid":null,"PeriodicalName":"Journal of Neurological Surgery Reports","FirstCategoryId":"1085","ListUrlMain":"https://doi.org/10.1055/a-2544-3543","RegionNum":0,"RegionCategory":null,"ArticlePicture":[],"TitleCN":null,"AbstractTextCN":null,"PMCID":null,"EPubDate":"2025/1/1 0:00:00","PubModel":"eCollection","JCR":"Q4","JCRName":"CLINICAL NEUROLOGY","Score":null,"Total":0}
引用次数: 0

摘要

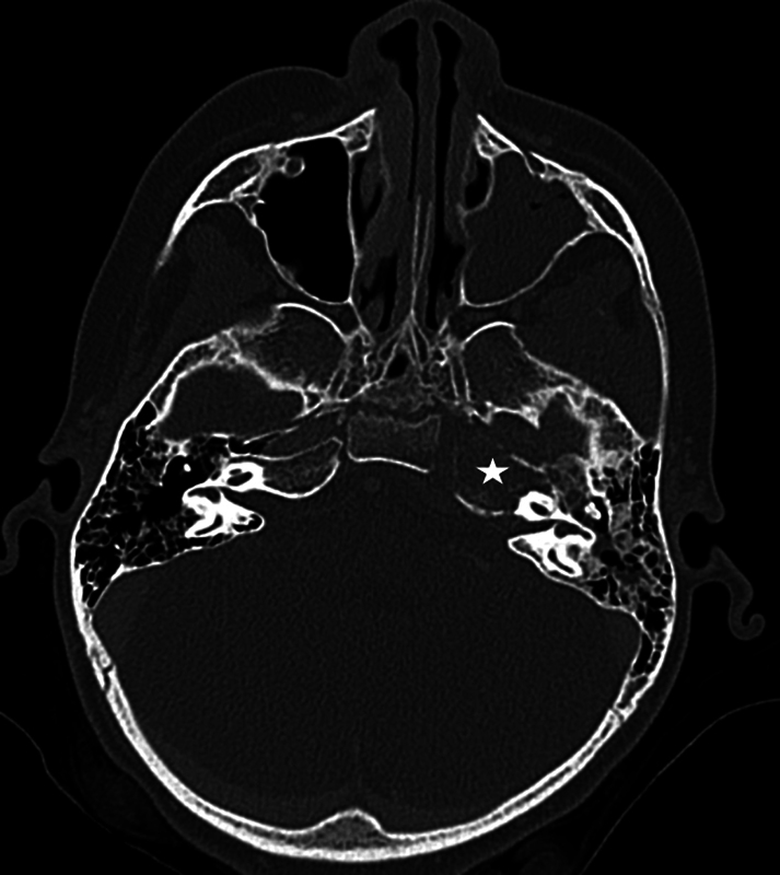
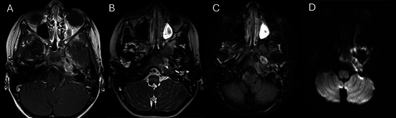
横纹肌肉瘤(Rhabdomyosarcoma, RMS)是一种罕见的恶性肿瘤,每100万儿童中有4.58例发生,约35%发生在头颈部。颅底RMS通常出现在晚期,由于其与其他颅底病理的重叠特征以及难以进入病变进行活检而延误诊断。本病例说明了这些挑战在颅底RMS模拟骨髓炎的岩尖。病例:一名6岁免疫功能正常的女性,有两次急性中耳炎病史,有3周的第6脑神经麻痹史和突然发作的完全性第7脑神经麻痹史。她没有疼痛或耳漏。计算机断层扫描(CT)和磁共振成像显示一个1.3厘米的左岩尖增强病变,延伸到乳突和斜坡,周围的骨和软组织破坏。核医学扫描(锝-99m和镓)显示左侧岩尖摄取旺盛。有效诊断为颅底骨髓炎,为此患者接受了2.5周的抗生素治疗。未能改善后,重复影像学显示疾病明显进展,并扩展到鼻咽和蝶窦。内镜下经蝶窦活检与RMS病理一致。胸部CT示肺转移。患者对用长春新碱、放线菌素- d和环磷酰胺交替使用长春新碱和伊立替康的化疗有部分反应。在化疗的第13周,她接受了总剂量5040 cGyRBE的质子治疗。确诊5个月后,她出现脑膜轻散,并进一步并发脑膜炎,最终去世。
本文章由计算机程序翻译,如有差异,请以英文原文为准。

Skull Base Rhabdomyosarcoma Mimicking Osteomyelitis in a Pediatric Patient.

Skull Base Rhabdomyosarcoma Mimicking Osteomyelitis in a Pediatric Patient.

Skull Base Rhabdomyosarcoma Mimicking Osteomyelitis in a Pediatric Patient.

Skull Base Rhabdomyosarcoma Mimicking Osteomyelitis in a Pediatric Patient.

Rhabdomyosarcoma (RMS) is a rare malignant tumor, affecting 4.58 per 1 million children, with approximately 35% occurring in the head and neck. Skull base RMS commonly presents at advanced stages and delays diagnosis due to its overlapping features with other skull base pathology, and difficulty accessing the lesion for biopsy. This case illustrates these challenges in skull base RMS mimicking osteomyelitis of the petrous apex. Case: A 6-year-old immunocompetent female, with a history of two acute otitis media episodes, presented with a 3-week history of sixth cranial nerve palsy and sudden-onset complete seventh cranial nerve palsy. She did not have pain or otorrhea. Computed tomography (CT) and magnetic resonance imaging revealed a 1.3 cm left petrous apex enhancing lesion with extension into the mastoid and clivus with surrounding bony and soft tissue destruction. A nuclear medicine scan (Technetium-99m followed by gallium) demonstrated avid uptake in the left petrous apex. The working diagnosis was skull base osteomyelitis, for which the patient received 2.5 weeks of antibiotics. After failing to improve, repeat imaging showed significant progression of the disease and extension into the nasopharynx and sphenoid sinus. An endoscopic trans-sphenoidal biopsy was performed with pathology consistent with RMS. CT chest revealed lung metastases. The patient partially responded to chemotherapy with vincristine, actinomycin-D, and cyclophosphamide alternating with vincristine and irinotecan. During week 13 of chemotherapy, she received concomitant proton therapy to a total dose of 5040 cGyRBE. Five months after diagnosis, she developed leptomeningeal spread, which was further complicated by meningitis, and passed away.

求助全文
通过发布文献求助,成功后即可免费获取论文全文。 去求助
来源期刊
自引率
0.00%
发文量
31
审稿时长
12 weeks
×
引用
GB/T 7714-2015
复制
MLA
复制
APA
复制
导出至
BibTeX EndNote RefMan NoteFirst NoteExpress
×
提示
您的信息不完整,为了账户安全,请先补充。
现在去补充
×
提示
您因"违规操作"
具体请查看互助需知
我知道了
×
提示
确定
请完成安全验证×
copy
已复制链接
快去分享给好友吧!
我知道了
右上角分享
点击右上角分享
0
联系我们:info@booksci.cn Book学术提供免费学术资源搜索服务,方便国内外学者检索中英文文献。致力于提供最便捷和优质的服务体验。 Copyright © 2023 布克学术 All rights reserved.
京ICP备2023020795号-1
ghs 京公网安备 11010802042870号
Book学术文献互助
Book学术文献互助群
群 号:604180095
Book学术官方微信