腐蚀性食管炎致食管闭锁50年1例。

IF 0.7 Q4 SURGERY
Surgical Case Reports Pub Date : 2025-01-01 Epub Date: 2025-03-11 DOI:10.70352/scrj.cr.24-0116
Keisuke Fujimoto, Seiya Inoue, Masakazu Goto, Shinichi Sakamoto, Mariko Misaki, Satoshi Fujiwara, Takahiro Yoshida, Hiroaki Toba, Hiromitsu Takizawa
{"title":"腐蚀性食管炎致食管闭锁50年1例。","authors":"Keisuke Fujimoto, Seiya Inoue, Masakazu Goto, Shinichi Sakamoto, Mariko Misaki, Satoshi Fujiwara, Takahiro Yoshida, Hiroaki Toba, Hiromitsu Takizawa","doi":"10.70352/scrj.cr.24-0116","DOIUrl":null,"url":null,"abstract":"<p><strong>Introduction: </strong>Corrosive esophagitis, often caused by the ingestion of alkalis, acids, or heavy metals, can result in severe esophageal damage and complications, such as stenosis or closure. Although initial treatment is conservative, surgical intervention is necessary when a chronic stricture occurs. A case of esophageal atresia persisting for 50 years due to corrosive esophagitis has not yet been reported. Here, we describe such a case.</p><p><strong>Case presentation: </strong>The patient was a 72-year-old woman. At 20 years of age, she ingested an alkali substance in a suicide attempt, leading to the development of corrosive esophagitis. Surgery was initially considered for esophageal atresia but was deemed unfeasible at the time; therefore, gastrostomy was performed instead. Subsequently, for over 50 years, she manually chewed food and inserted it into her gastric tube. She was urgently transported to a nearby hospital after her general condition deteriorated due to an influenza infection. During hospitalization, her nutritional intake was reassessed, and given her strong desire for oral intake, she was referred to our hospital for surgical treatment. Her gastric mucosa was intact, and imaging revealed mild mediastinal inflammation and fibrosis, rendering esophageal resection and reconstruction feasible. Considering surgical invasiveness, we opted for a mediastinoscopic esophagectomy and performed posterior mediastinal reconstruction using a gastric tube with a cervical hand-sewn anastomosis. The patient recovered without any complications and was discharged. Although postoperative aspiration and swallowing disorders were anticipated, the patient experienced none, likely because her unique self-feeding method preserved the functions of her masticatory and swallowing muscles.</p><p><strong>Conclusions: </strong>We report an extremely rare case of a patient with a unique history of esophageal atresia following corrosive esophagitis for over 50 years who successfully underwent minimally invasive esophagectomy using mediastinoscopy and had a favorable outcome. Mediastinoscopic esophagectomy is a minimally invasive option for such patients.</p>","PeriodicalId":22096,"journal":{"name":"Surgical Case Reports","volume":"11 1","pages":""},"PeriodicalIF":0.7000,"publicationDate":"2025-01-01","publicationTypes":"Journal Article","fieldsOfStudy":null,"isOpenAccess":false,"openAccessPdf":"https://www.ncbi.nlm.nih.gov/pmc/articles/PMC11925641/pdf/","citationCount":"0","resultStr":"{\"title\":\"Esophageal Atresia Caused by Corrosive Esophagitis for over 50 Years: A Case Report.\",\"authors\":\"Keisuke Fujimoto, Seiya Inoue, Masakazu Goto, Shinichi Sakamoto, Mariko Misaki, Satoshi Fujiwara, Takahiro Yoshida, Hiroaki Toba, Hiromitsu Takizawa\",\"doi\":\"10.70352/scrj.cr.24-0116\",\"DOIUrl\":null,\"url\":null,\"abstract\":\"<p><strong>Introduction: </strong>Corrosive esophagitis, often caused by the ingestion of alkalis, acids, or heavy metals, can result in severe esophageal damage and complications, such as stenosis or closure. Although initial treatment is conservative, surgical intervention is necessary when a chronic stricture occurs. A case of esophageal atresia persisting for 50 years due to corrosive esophagitis has not yet been reported. Here, we describe such a case.</p><p><strong>Case presentation: </strong>The patient was a 72-year-old woman. At 20 years of age, she ingested an alkali substance in a suicide attempt, leading to the development of corrosive esophagitis. Surgery was initially considered for esophageal atresia but was deemed unfeasible at the time; therefore, gastrostomy was performed instead. Subsequently, for over 50 years, she manually chewed food and inserted it into her gastric tube. She was urgently transported to a nearby hospital after her general condition deteriorated due to an influenza infection. During hospitalization, her nutritional intake was reassessed, and given her strong desire for oral intake, she was referred to our hospital for surgical treatment. Her gastric mucosa was intact, and imaging revealed mild mediastinal inflammation and fibrosis, rendering esophageal resection and reconstruction feasible. Considering surgical invasiveness, we opted for a mediastinoscopic esophagectomy and performed posterior mediastinal reconstruction using a gastric tube with a cervical hand-sewn anastomosis. The patient recovered without any complications and was discharged. Although postoperative aspiration and swallowing disorders were anticipated, the patient experienced none, likely because her unique self-feeding method preserved the functions of her masticatory and swallowing muscles.</p><p><strong>Conclusions: </strong>We report an extremely rare case of a patient with a unique history of esophageal atresia following corrosive esophagitis for over 50 years who successfully underwent minimally invasive esophagectomy using mediastinoscopy and had a favorable outcome. Mediastinoscopic esophagectomy is a minimally invasive option for such patients.</p>\",\"PeriodicalId\":22096,\"journal\":{\"name\":\"Surgical Case Reports\",\"volume\":\"11 1\",\"pages\":\"\"},\"PeriodicalIF\":0.7000,\"publicationDate\":\"2025-01-01\",\"publicationTypes\":\"Journal Article\",\"fieldsOfStudy\":null,\"isOpenAccess\":false,\"openAccessPdf\":\"https://www.ncbi.nlm.nih.gov/pmc/articles/PMC11925641/pdf/\",\"citationCount\":\"0\",\"resultStr\":null,\"platform\":\"Semanticscholar\",\"paperid\":null,\"PeriodicalName\":\"Surgical Case Reports\",\"FirstCategoryId\":\"1085\",\"ListUrlMain\":\"https://doi.org/10.70352/scrj.cr.24-0116\",\"RegionNum\":0,\"RegionCategory\":null,\"ArticlePicture\":[],\"TitleCN\":null,\"AbstractTextCN\":null,\"PMCID\":null,\"EPubDate\":\"2025/3/11 0:00:00\",\"PubModel\":\"Epub\",\"JCR\":\"Q4\",\"JCRName\":\"SURGERY\",\"Score\":null,\"Total\":0}","platform":"Semanticscholar","paperid":null,"PeriodicalName":"Surgical Case Reports","FirstCategoryId":"1085","ListUrlMain":"https://doi.org/10.70352/scrj.cr.24-0116","RegionNum":0,"RegionCategory":null,"ArticlePicture":[],"TitleCN":null,"AbstractTextCN":null,"PMCID":null,"EPubDate":"2025/3/11 0:00:00","PubModel":"Epub","JCR":"Q4","JCRName":"SURGERY","Score":null,"Total":0}
引用次数: 0

摘要

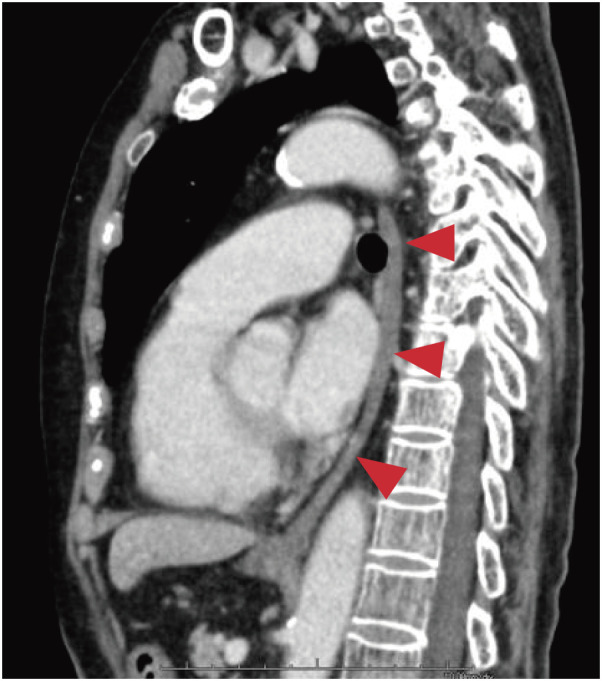
导读:腐蚀性食管炎通常由摄入碱、酸或重金属引起,可导致严重的食管损伤和并发症,如狭窄或关闭。虽然最初的治疗是保守的,但当发生慢性狭窄时,手术干预是必要的。一例因腐蚀性食管炎导致食管闭锁持续50年的病例尚未报道。在这里,我们描述这样一个案例。病例介绍:患者为72岁女性。20岁时,她在一次自杀企图中摄入了一种碱性物质,导致腐蚀性食管炎的发展。最初考虑手术治疗食道闭锁,但当时认为不可行;因此,改为胃造口术。随后,在50多年的时间里,她一直用手咀嚼食物并将其插入胃管。由于流感感染,她的一般情况恶化后,她被紧急送往附近的医院。住院期间,我们重新评估了她的营养摄入,鉴于她强烈的口服进食愿望,她被转到我们医院进行手术治疗。她的胃粘膜完好,影像学显示轻度纵隔炎症和纤维化,食管切除术和重建是可行的。考虑到手术的侵入性,我们选择了纵隔镜食管切除术,并使用胃管和颈部手工缝合吻合术进行后纵隔重建。患者痊愈,无并发症,出院。虽然预计术后会出现误吸和吞咽障碍,但患者没有出现任何症状,可能是因为她独特的自我进食方法保留了咀嚼和吞咽肌肉的功能。结论:我们报告一个极其罕见的病例,患者在腐蚀性食管炎后有独特的食管闭锁病史超过50年,成功地采用纵隔镜微创食管切除术,并有良好的结果。纵隔镜食管切除术是这类患者的微创选择。
本文章由计算机程序翻译,如有差异,请以英文原文为准。

Esophageal Atresia Caused by Corrosive Esophagitis for over 50 Years: A Case Report.

Esophageal Atresia Caused by Corrosive Esophagitis for over 50 Years: A Case Report.

Esophageal Atresia Caused by Corrosive Esophagitis for over 50 Years: A Case Report.

Esophageal Atresia Caused by Corrosive Esophagitis for over 50 Years: A Case Report.

Introduction: Corrosive esophagitis, often caused by the ingestion of alkalis, acids, or heavy metals, can result in severe esophageal damage and complications, such as stenosis or closure. Although initial treatment is conservative, surgical intervention is necessary when a chronic stricture occurs. A case of esophageal atresia persisting for 50 years due to corrosive esophagitis has not yet been reported. Here, we describe such a case.

Case presentation: The patient was a 72-year-old woman. At 20 years of age, she ingested an alkali substance in a suicide attempt, leading to the development of corrosive esophagitis. Surgery was initially considered for esophageal atresia but was deemed unfeasible at the time; therefore, gastrostomy was performed instead. Subsequently, for over 50 years, she manually chewed food and inserted it into her gastric tube. She was urgently transported to a nearby hospital after her general condition deteriorated due to an influenza infection. During hospitalization, her nutritional intake was reassessed, and given her strong desire for oral intake, she was referred to our hospital for surgical treatment. Her gastric mucosa was intact, and imaging revealed mild mediastinal inflammation and fibrosis, rendering esophageal resection and reconstruction feasible. Considering surgical invasiveness, we opted for a mediastinoscopic esophagectomy and performed posterior mediastinal reconstruction using a gastric tube with a cervical hand-sewn anastomosis. The patient recovered without any complications and was discharged. Although postoperative aspiration and swallowing disorders were anticipated, the patient experienced none, likely because her unique self-feeding method preserved the functions of her masticatory and swallowing muscles.

Conclusions: We report an extremely rare case of a patient with a unique history of esophageal atresia following corrosive esophagitis for over 50 years who successfully underwent minimally invasive esophagectomy using mediastinoscopy and had a favorable outcome. Mediastinoscopic esophagectomy is a minimally invasive option for such patients.

求助全文
通过发布文献求助,成功后即可免费获取论文全文。 去求助
来源期刊
自引率
0.00%
发文量
218
审稿时长
13 weeks
×
引用
GB/T 7714-2015
复制
MLA
复制
APA
复制
导出至
BibTeX EndNote RefMan NoteFirst NoteExpress
×
提示
您的信息不完整,为了账户安全,请先补充。
现在去补充
×
提示
您因"违规操作"
具体请查看互助需知
我知道了
×
提示
确定
请完成安全验证×
copy
已复制链接
快去分享给好友吧!
我知道了
右上角分享
点击右上角分享
0
联系我们:info@booksci.cn Book学术提供免费学术资源搜索服务,方便国内外学者检索中英文文献。致力于提供最便捷和优质的服务体验。 Copyright © 2023 布克学术 All rights reserved.
京ICP备2023020795号-1
ghs 京公网安备 11010802042870号
Book学术文献互助
Book学术文献互助群
群 号:604180095
Book学术官方微信