硬脑膜动静脉瘘栓塞术后意外血管源性水肿和失语症。

IF 0.5 Q4 RADIOLOGY, NUCLEAR MEDICINE & MEDICAL IMAGING
BJR Case Reports Pub Date : 2025-03-12 eCollection Date: 2025-03-01 DOI:10.1093/bjrcr/uaaf012
Yun-Hsien Ho, Hsin-Fan Chiang, Cheng-Chih Hsieh, Shih-Yang Wei, Chun-Chao Huang
{"title":"硬脑膜动静脉瘘栓塞术后意外血管源性水肿和失语症。","authors":"Yun-Hsien Ho, Hsin-Fan Chiang, Cheng-Chih Hsieh, Shih-Yang Wei, Chun-Chao Huang","doi":"10.1093/bjrcr/uaaf012","DOIUrl":null,"url":null,"abstract":"<p><p>A 63-year-old male presented with acute onset of intermittent dizziness, visual disturbances, and left temporal headache. Investigations revealed a dural arteriovenous fistula (dAVF) at the left sigmoid sinus, classified as Cognard type IIb. Successful therapeutic transvenous embolization was performed using coils and Onyx, resulting in complete resolution of the dAVF without immediate complications. However, 3 days post-embolization, the patient developed headache, dizziness, visual discomfort, and alexia. MRI findings suggested vasogenic oedema in the left temporo-occipital area due to venous outflow obstruction. Despite treatment with enoxaparin and dexamethasone, the patient experienced progressive symptoms including difficulty in object naming, memory decline, and nonconvulsive seizures. Follow-up imaging indicated improvement of oedema and stable minimal focal gliosis. This rare case of a patient developing alexia following endovascular embolization of a dural AVF highlights the importance of post-procedural monitoring and suggests potential benefits of prophylactic anticoagulation to reduce the risk of probable complications.</p>","PeriodicalId":45216,"journal":{"name":"BJR Case Reports","volume":"11 2","pages":"uaaf012"},"PeriodicalIF":0.5000,"publicationDate":"2025-03-12","publicationTypes":"Journal Article","fieldsOfStudy":null,"isOpenAccess":false,"openAccessPdf":"https://www.ncbi.nlm.nih.gov/pmc/articles/PMC11925498/pdf/","citationCount":"0","resultStr":"{\"title\":\"Unexpected vasogenic oedema and alexia as complications after dural arteriovenous fistula embolization.\",\"authors\":\"Yun-Hsien Ho, Hsin-Fan Chiang, Cheng-Chih Hsieh, Shih-Yang Wei, Chun-Chao Huang\",\"doi\":\"10.1093/bjrcr/uaaf012\",\"DOIUrl\":null,\"url\":null,\"abstract\":\"<p><p>A 63-year-old male presented with acute onset of intermittent dizziness, visual disturbances, and left temporal headache. Investigations revealed a dural arteriovenous fistula (dAVF) at the left sigmoid sinus, classified as Cognard type IIb. Successful therapeutic transvenous embolization was performed using coils and Onyx, resulting in complete resolution of the dAVF without immediate complications. However, 3 days post-embolization, the patient developed headache, dizziness, visual discomfort, and alexia. MRI findings suggested vasogenic oedema in the left temporo-occipital area due to venous outflow obstruction. Despite treatment with enoxaparin and dexamethasone, the patient experienced progressive symptoms including difficulty in object naming, memory decline, and nonconvulsive seizures. Follow-up imaging indicated improvement of oedema and stable minimal focal gliosis. This rare case of a patient developing alexia following endovascular embolization of a dural AVF highlights the importance of post-procedural monitoring and suggests potential benefits of prophylactic anticoagulation to reduce the risk of probable complications.</p>\",\"PeriodicalId\":45216,\"journal\":{\"name\":\"BJR Case Reports\",\"volume\":\"11 2\",\"pages\":\"uaaf012\"},\"PeriodicalIF\":0.5000,\"publicationDate\":\"2025-03-12\",\"publicationTypes\":\"Journal Article\",\"fieldsOfStudy\":null,\"isOpenAccess\":false,\"openAccessPdf\":\"https://www.ncbi.nlm.nih.gov/pmc/articles/PMC11925498/pdf/\",\"citationCount\":\"0\",\"resultStr\":null,\"platform\":\"Semanticscholar\",\"paperid\":null,\"PeriodicalName\":\"BJR Case Reports\",\"FirstCategoryId\":\"1085\",\"ListUrlMain\":\"https://doi.org/10.1093/bjrcr/uaaf012\",\"RegionNum\":0,\"RegionCategory\":null,\"ArticlePicture\":[],\"TitleCN\":null,\"AbstractTextCN\":null,\"PMCID\":null,\"EPubDate\":\"2025/3/1 0:00:00\",\"PubModel\":\"eCollection\",\"JCR\":\"Q4\",\"JCRName\":\"RADIOLOGY, NUCLEAR MEDICINE & MEDICAL IMAGING\",\"Score\":null,\"Total\":0}","platform":"Semanticscholar","paperid":null,"PeriodicalName":"BJR Case Reports","FirstCategoryId":"1085","ListUrlMain":"https://doi.org/10.1093/bjrcr/uaaf012","RegionNum":0,"RegionCategory":null,"ArticlePicture":[],"TitleCN":null,"AbstractTextCN":null,"PMCID":null,"EPubDate":"2025/3/1 0:00:00","PubModel":"eCollection","JCR":"Q4","JCRName":"RADIOLOGY, NUCLEAR MEDICINE & MEDICAL IMAGING","Score":null,"Total":0}
引用次数: 0

摘要

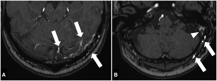
一名63岁男性表现为急性发作的间歇性头晕、视觉障碍和左颞头痛。检查发现左侧乙状窦有硬脑膜动静脉瘘(dAVF),分类为Cognard IIb型。使用线圈和Onyx进行成功的经静脉栓塞治疗,导致dAVF完全解决,没有立即并发症。然而,栓塞后3天,患者出现头痛、头晕、视觉不适和失读。MRI显示左侧颞枕区血管源性水肿,原因是静脉流出梗阻。尽管给予依诺肝素和地塞米松治疗,患者仍出现进行性症状,包括物体命名困难、记忆力下降和非惊厥性癫痫发作。随访影像显示水肿改善和稳定的最小局灶性胶质瘤。这例罕见的患者在硬脑膜AVF血管内栓塞后出现失读症,强调了术后监测的重要性,并提示预防性抗凝治疗可以降低可能的并发症风险。
本文章由计算机程序翻译,如有差异,请以英文原文为准。

Unexpected vasogenic oedema and alexia as complications after dural arteriovenous fistula embolization.

Unexpected vasogenic oedema and alexia as complications after dural arteriovenous fistula embolization.

Unexpected vasogenic oedema and alexia as complications after dural arteriovenous fistula embolization.

Unexpected vasogenic oedema and alexia as complications after dural arteriovenous fistula embolization.

A 63-year-old male presented with acute onset of intermittent dizziness, visual disturbances, and left temporal headache. Investigations revealed a dural arteriovenous fistula (dAVF) at the left sigmoid sinus, classified as Cognard type IIb. Successful therapeutic transvenous embolization was performed using coils and Onyx, resulting in complete resolution of the dAVF without immediate complications. However, 3 days post-embolization, the patient developed headache, dizziness, visual discomfort, and alexia. MRI findings suggested vasogenic oedema in the left temporo-occipital area due to venous outflow obstruction. Despite treatment with enoxaparin and dexamethasone, the patient experienced progressive symptoms including difficulty in object naming, memory decline, and nonconvulsive seizures. Follow-up imaging indicated improvement of oedema and stable minimal focal gliosis. This rare case of a patient developing alexia following endovascular embolization of a dural AVF highlights the importance of post-procedural monitoring and suggests potential benefits of prophylactic anticoagulation to reduce the risk of probable complications.

求助全文
通过发布文献求助,成功后即可免费获取论文全文。 去求助
来源期刊
BJR Case Reports
BJR Case Reports RADIOLOGY, NUCLEAR MEDICINE & MEDICAL IMAGING-
自引率
0.00%
发文量
77
审稿时长
11 weeks
×
引用
GB/T 7714-2015
复制
MLA
复制
APA
复制
导出至
BibTeX EndNote RefMan NoteFirst NoteExpress
×
提示
您的信息不完整,为了账户安全,请先补充。
现在去补充
×
提示
您因"违规操作"
具体请查看互助需知
我知道了
×
提示
确定
请完成安全验证×
copy
已复制链接
快去分享给好友吧!
我知道了
右上角分享
点击右上角分享
0
联系我们:info@booksci.cn Book学术提供免费学术资源搜索服务,方便国内外学者检索中英文文献。致力于提供最便捷和优质的服务体验。 Copyright © 2023 布克学术 All rights reserved.
京ICP备2023020795号-1
ghs 京公网安备 11010802042870号
Book学术文献互助
Book学术文献互助群
群 号:604180095
Book学术官方微信