医源性门静脉结扎术中的门静脉重建。

IF 1.5 Q3 CARDIAC & CARDIOVASCULAR SYSTEMS
Tony Rizk, Derek Groskreutz, Carl Forsberg, Stephen Stringfellow, Ricardo Yamada, Marcelo Guimaraes, Yara Younan, Antony Gayed
{"title":"医源性门静脉结扎术中的门静脉重建。","authors":"Tony Rizk, Derek Groskreutz, Carl Forsberg, Stephen Stringfellow, Ricardo Yamada, Marcelo Guimaraes, Yara Younan, Antony Gayed","doi":"10.1186/s42155-025-00525-2","DOIUrl":null,"url":null,"abstract":"<p><p>Laparoscopic cholecystectomy for acute cholecystitis is one of the most performed surgeries and is generally regarded as a safe procedure with a low risk of complications. Vascular and biliary injuries are rare but have severe consequences. No systematic studies have been performed to delineate optimal treatment strategies in these scenarios, which are typically managed on a case-by-case basis. The present report describes a patient who underwent a laparoscopic cholecystectomy, complicated by common bile duct and main portal vein ligation, resulting in hepatic infarcts, perihepatic abscess, and portal hypertension with ascites and portomesenteric congestive enteropathy. This case focuses on management of this patient's vascular injury, which was successfully treated by endovascular portal venous reconstruction using trans-splenic and right internal jugular vein access.</p>","PeriodicalId":52351,"journal":{"name":"CVIR Endovascular","volume":"8 1","pages":"24"},"PeriodicalIF":1.5000,"publicationDate":"2025-03-19","publicationTypes":"Journal Article","fieldsOfStudy":null,"isOpenAccess":false,"openAccessPdf":"https://www.ncbi.nlm.nih.gov/pmc/articles/PMC11923345/pdf/","citationCount":"0","resultStr":"{\"title\":\"Portal vein reconstruction in iatrogenic portal vein ligation.\",\"authors\":\"Tony Rizk, Derek Groskreutz, Carl Forsberg, Stephen Stringfellow, Ricardo Yamada, Marcelo Guimaraes, Yara Younan, Antony Gayed\",\"doi\":\"10.1186/s42155-025-00525-2\",\"DOIUrl\":null,\"url\":null,\"abstract\":\"<p><p>Laparoscopic cholecystectomy for acute cholecystitis is one of the most performed surgeries and is generally regarded as a safe procedure with a low risk of complications. Vascular and biliary injuries are rare but have severe consequences. No systematic studies have been performed to delineate optimal treatment strategies in these scenarios, which are typically managed on a case-by-case basis. The present report describes a patient who underwent a laparoscopic cholecystectomy, complicated by common bile duct and main portal vein ligation, resulting in hepatic infarcts, perihepatic abscess, and portal hypertension with ascites and portomesenteric congestive enteropathy. This case focuses on management of this patient's vascular injury, which was successfully treated by endovascular portal venous reconstruction using trans-splenic and right internal jugular vein access.</p>\",\"PeriodicalId\":52351,\"journal\":{\"name\":\"CVIR Endovascular\",\"volume\":\"8 1\",\"pages\":\"24\"},\"PeriodicalIF\":1.5000,\"publicationDate\":\"2025-03-19\",\"publicationTypes\":\"Journal Article\",\"fieldsOfStudy\":null,\"isOpenAccess\":false,\"openAccessPdf\":\"https://www.ncbi.nlm.nih.gov/pmc/articles/PMC11923345/pdf/\",\"citationCount\":\"0\",\"resultStr\":null,\"platform\":\"Semanticscholar\",\"paperid\":null,\"PeriodicalName\":\"CVIR Endovascular\",\"FirstCategoryId\":\"1085\",\"ListUrlMain\":\"https://doi.org/10.1186/s42155-025-00525-2\",\"RegionNum\":0,\"RegionCategory\":null,\"ArticlePicture\":[],\"TitleCN\":null,\"AbstractTextCN\":null,\"PMCID\":null,\"EPubDate\":\"\",\"PubModel\":\"\",\"JCR\":\"Q3\",\"JCRName\":\"CARDIAC & CARDIOVASCULAR SYSTEMS\",\"Score\":null,\"Total\":0}","platform":"Semanticscholar","paperid":null,"PeriodicalName":"CVIR Endovascular","FirstCategoryId":"1085","ListUrlMain":"https://doi.org/10.1186/s42155-025-00525-2","RegionNum":0,"RegionCategory":null,"ArticlePicture":[],"TitleCN":null,"AbstractTextCN":null,"PMCID":null,"EPubDate":"","PubModel":"","JCR":"Q3","JCRName":"CARDIAC & CARDIOVASCULAR SYSTEMS","Score":null,"Total":0}
引用次数: 0

摘要

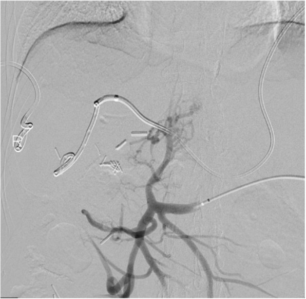
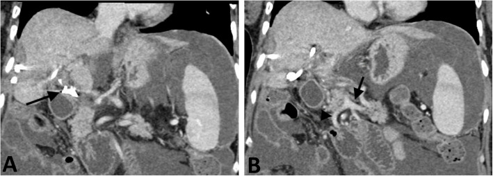
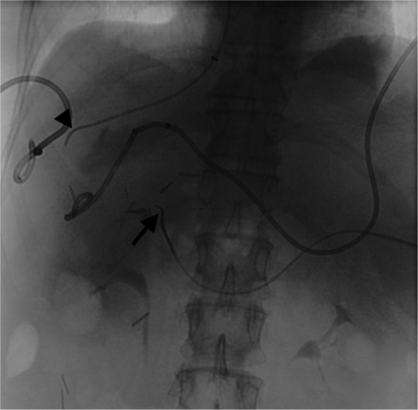
腹腔镜胆囊切除术治疗急性胆囊炎是最常用的手术之一,通常被认为是一种安全的手术,并发症风险低。血管和胆道损伤很少见,但后果严重。目前还没有进行系统的研究来描述这些情况下的最佳治疗策略,这些策略通常是根据具体情况进行管理的。本报告描述了一例患者行腹腔镜胆囊切除术,并发胆总管和门静脉主干结扎,导致肝梗死、肝周脓肿、门静脉高压合并腹水和门脉性充血性肠病。本病例的重点是处理该患者的血管损伤,并成功地通过经脾和右颈内静脉进入血管内门静脉重建。
本文章由计算机程序翻译,如有差异,请以英文原文为准。

Portal vein reconstruction in iatrogenic portal vein ligation.

Portal vein reconstruction in iatrogenic portal vein ligation.

Portal vein reconstruction in iatrogenic portal vein ligation.

Portal vein reconstruction in iatrogenic portal vein ligation.

Laparoscopic cholecystectomy for acute cholecystitis is one of the most performed surgeries and is generally regarded as a safe procedure with a low risk of complications. Vascular and biliary injuries are rare but have severe consequences. No systematic studies have been performed to delineate optimal treatment strategies in these scenarios, which are typically managed on a case-by-case basis. The present report describes a patient who underwent a laparoscopic cholecystectomy, complicated by common bile duct and main portal vein ligation, resulting in hepatic infarcts, perihepatic abscess, and portal hypertension with ascites and portomesenteric congestive enteropathy. This case focuses on management of this patient's vascular injury, which was successfully treated by endovascular portal venous reconstruction using trans-splenic and right internal jugular vein access.

求助全文
通过发布文献求助,成功后即可免费获取论文全文。 去求助
来源期刊
CVIR Endovascular
CVIR Endovascular Medicine-Radiology, Nuclear Medicine and Imaging
CiteScore
2.30
自引率
0.00%
发文量
59
×
引用
GB/T 7714-2015
复制
MLA
复制
APA
复制
导出至
BibTeX EndNote RefMan NoteFirst NoteExpress
×
提示
您的信息不完整,为了账户安全,请先补充。
现在去补充
×
提示
您因"违规操作"
具体请查看互助需知
我知道了
×
提示
确定
请完成安全验证×
copy
已复制链接
快去分享给好友吧!
我知道了
右上角分享
点击右上角分享
0
联系我们:info@booksci.cn Book学术提供免费学术资源搜索服务,方便国内外学者检索中英文文献。致力于提供最便捷和优质的服务体验。 Copyright © 2023 布克学术 All rights reserved.
京ICP备2023020795号-1
ghs 京公网安备 11010802042870号
Book学术文献互助
Book学术文献互助群
群 号:604180095
Book学术官方微信