68Ga-DOTATOC PET/CT在库欣病垂体肿瘤定位中的应用

IF 4.2 3区 医学 Q2 ENDOCRINOLOGY & METABOLISM
Endocrinology and Metabolism Pub Date : 2025-08-01 Epub Date: 2025-03-18 DOI:10.3803/EnM.2024.2249
Kyungwon Kim, Dongwoo Kim, Min-Ho Lee, Yae Won Park, Sung Soo Ahn, Ju Hyung Moon, Eui Hyun Kim, Sun Ho Kim, Cheol Ryong Ku, Eun Jig Lee
{"title":"68Ga-DOTATOC PET/CT在库欣病垂体肿瘤定位中的应用","authors":"Kyungwon Kim, Dongwoo Kim, Min-Ho Lee, Yae Won Park, Sung Soo Ahn, Ju Hyung Moon, Eui Hyun Kim, Sun Ho Kim, Cheol Ryong Ku, Eun Jig Lee","doi":"10.3803/EnM.2024.2249","DOIUrl":null,"url":null,"abstract":"<p><strong>Backgruound: </strong>This study aimed to determine the value of 68Ga-DOTATOC positron emission tomography/computed tomography (PET/CT) in localizing adrenocorticotropic hormone (ACTH)-secreting pituitary adenomas.</p><p><strong>Methods: </strong>In this retrospective cohort study, we enrolled 30 patients with Cushing's disease and positive ACTH immunoreactivity. All patients underwent 68Ga-DOTATOC PET/CT and pituitary magnetic resonance imaging (MRI) before transsphenoidal adenomectomy.</p><p><strong>Results: </strong>Twenty-five patients showed 68Ga-DOTATOC uptake in their pituitary glands on PET/CT. Median age, pre-operative ACTH levels, pre-operative cortisol, and tumor size on MRI were comparable irrespective of DOTATOC uptake. 68Ga-DOTATOC PET/CT showed a 77% success rate for localizing adenomas, which was not statistically different from that of MRI. The ACTH level in the successful localization group was significantly higher than that in the failed group (84.41 pg/mL vs. 37.26 pg/mL, P=0.001). The ACTH level was statistically significant predictor of successful localization using 68Ga-DOTATOC PET/CT (P=0.013). The area under the curve was 0.932 with a cutoff of 53.86 pg/mL for ACTH levels to determine successful localization. Pre-operative ACTH levels above 53.86 pg/mL showed the best diagnostic accuracy in predicting the success of localizing adenomas (sensitivity, 91.3%; specificity, 85.7%). Mean and maximum standardized uptake value of adenoma negatively correlated to pre-operative ACTH level.</p><p><strong>Conclusion: </strong>Plasma ACTH level is a favorable predictor for the successful localization and negative correlation with 68Ga-DOTATOC uptake of corticotroph adenomas in 68Ga-DOTATOC PET/CT. 68Ga-DOTATOC PET/CT did not improve tumor localization for Cushing's disease compared with MRI alone.</p>","PeriodicalId":11636,"journal":{"name":"Endocrinology and Metabolism","volume":" ","pages":"637-647"},"PeriodicalIF":4.2000,"publicationDate":"2025-08-01","publicationTypes":"Journal Article","fieldsOfStudy":null,"isOpenAccess":false,"openAccessPdf":"https://www.ncbi.nlm.nih.gov/pmc/articles/PMC12409156/pdf/","citationCount":"0","resultStr":"{\"title\":\"68Ga-DOTATOC PET/CT in the Localization of Pituitary Tumors in Cushing's Disease.\",\"authors\":\"Kyungwon Kim, Dongwoo Kim, Min-Ho Lee, Yae Won Park, Sung Soo Ahn, Ju Hyung Moon, Eui Hyun Kim, Sun Ho Kim, Cheol Ryong Ku, Eun Jig Lee\",\"doi\":\"10.3803/EnM.2024.2249\",\"DOIUrl\":null,\"url\":null,\"abstract\":\"<p><strong>Backgruound: </strong>This study aimed to determine the value of 68Ga-DOTATOC positron emission tomography/computed tomography (PET/CT) in localizing adrenocorticotropic hormone (ACTH)-secreting pituitary adenomas.</p><p><strong>Methods: </strong>In this retrospective cohort study, we enrolled 30 patients with Cushing's disease and positive ACTH immunoreactivity. All patients underwent 68Ga-DOTATOC PET/CT and pituitary magnetic resonance imaging (MRI) before transsphenoidal adenomectomy.</p><p><strong>Results: </strong>Twenty-five patients showed 68Ga-DOTATOC uptake in their pituitary glands on PET/CT. Median age, pre-operative ACTH levels, pre-operative cortisol, and tumor size on MRI were comparable irrespective of DOTATOC uptake. 68Ga-DOTATOC PET/CT showed a 77% success rate for localizing adenomas, which was not statistically different from that of MRI. The ACTH level in the successful localization group was significantly higher than that in the failed group (84.41 pg/mL vs. 37.26 pg/mL, P=0.001). The ACTH level was statistically significant predictor of successful localization using 68Ga-DOTATOC PET/CT (P=0.013). The area under the curve was 0.932 with a cutoff of 53.86 pg/mL for ACTH levels to determine successful localization. Pre-operative ACTH levels above 53.86 pg/mL showed the best diagnostic accuracy in predicting the success of localizing adenomas (sensitivity, 91.3%; specificity, 85.7%). Mean and maximum standardized uptake value of adenoma negatively correlated to pre-operative ACTH level.</p><p><strong>Conclusion: </strong>Plasma ACTH level is a favorable predictor for the successful localization and negative correlation with 68Ga-DOTATOC uptake of corticotroph adenomas in 68Ga-DOTATOC PET/CT. 68Ga-DOTATOC PET/CT did not improve tumor localization for Cushing's disease compared with MRI alone.</p>\",\"PeriodicalId\":11636,\"journal\":{\"name\":\"Endocrinology and Metabolism\",\"volume\":\" \",\"pages\":\"637-647\"},\"PeriodicalIF\":4.2000,\"publicationDate\":\"2025-08-01\",\"publicationTypes\":\"Journal Article\",\"fieldsOfStudy\":null,\"isOpenAccess\":false,\"openAccessPdf\":\"https://www.ncbi.nlm.nih.gov/pmc/articles/PMC12409156/pdf/\",\"citationCount\":\"0\",\"resultStr\":null,\"platform\":\"Semanticscholar\",\"paperid\":null,\"PeriodicalName\":\"Endocrinology and Metabolism\",\"FirstCategoryId\":\"3\",\"ListUrlMain\":\"https://doi.org/10.3803/EnM.2024.2249\",\"RegionNum\":3,\"RegionCategory\":\"医学\",\"ArticlePicture\":[],\"TitleCN\":null,\"AbstractTextCN\":null,\"PMCID\":null,\"EPubDate\":\"2025/3/18 0:00:00\",\"PubModel\":\"Epub\",\"JCR\":\"Q2\",\"JCRName\":\"ENDOCRINOLOGY & METABOLISM\",\"Score\":null,\"Total\":0}","platform":"Semanticscholar","paperid":null,"PeriodicalName":"Endocrinology and Metabolism","FirstCategoryId":"3","ListUrlMain":"https://doi.org/10.3803/EnM.2024.2249","RegionNum":3,"RegionCategory":"医学","ArticlePicture":[],"TitleCN":null,"AbstractTextCN":null,"PMCID":null,"EPubDate":"2025/3/18 0:00:00","PubModel":"Epub","JCR":"Q2","JCRName":"ENDOCRINOLOGY & METABOLISM","Score":null,"Total":0}
引用次数: 0

摘要

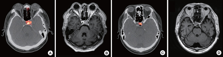
背景:本研究旨在确定68Ga-DOTATOC正电子发射断层扫描/计算机断层扫描(PET/CT)在垂体腺瘤促肾上腺皮质激素(ACTH)分泌中的定位价值。方法:在这项回顾性队列研究中,我们招募了30例ACTH免疫反应阳性的库欣病患者。所有患者在经蝶腺瘤切除术前均行68Ga-DOTATOC PET/CT和垂体磁共振成像(MRI)检查。结果:25例患者的垂体PET/CT显示68Ga-DOTATOC摄取。中位年龄、术前ACTH水平、术前皮质醇和MRI上肿瘤大小具有可比性,与DOTATOC摄取无关。68Ga-DOTATOC PET/CT对腺瘤的定位成功率为77%,与MRI无统计学差异。定位成功组ACTH水平显著高于定位失败组(84.41 pg/mL vs. 37.26 pg/mL, P=0.001)。ACTH水平是68Ga-DOTATOC PET/CT成功定位的显著预测因子(P=0.013)。曲线下面积为0.932,ACTH水平截止值为53.86 pg/mL,确定定位成功。术前ACTH水平高于53.86 pg/mL时,预测腺瘤定位成功的诊断准确率最高(敏感性91.3%;特异性,85.7%)。腺瘤的平均和最大标准化摄取值与术前ACTH水平呈负相关。结论:68Ga-DOTATOC PET/CT显示血浆ACTH水平与促皮质腺瘤的68Ga-DOTATOC摄取呈负相关,是预测促皮质腺瘤成功定位的有利指标。与单纯MRI相比,68Ga-DOTATOC PET/CT不能改善库欣病的肿瘤定位。
本文章由计算机程序翻译,如有差异,请以英文原文为准。

68Ga-DOTATOC PET/CT in the Localization of Pituitary Tumors in Cushing's Disease.

68Ga-DOTATOC PET/CT in the Localization of Pituitary Tumors in Cushing's Disease.

68Ga-DOTATOC PET/CT in the Localization of Pituitary Tumors in Cushing's Disease.

68Ga-DOTATOC PET/CT in the Localization of Pituitary Tumors in Cushing's Disease.

Backgruound: This study aimed to determine the value of 68Ga-DOTATOC positron emission tomography/computed tomography (PET/CT) in localizing adrenocorticotropic hormone (ACTH)-secreting pituitary adenomas.

Methods: In this retrospective cohort study, we enrolled 30 patients with Cushing's disease and positive ACTH immunoreactivity. All patients underwent 68Ga-DOTATOC PET/CT and pituitary magnetic resonance imaging (MRI) before transsphenoidal adenomectomy.

Results: Twenty-five patients showed 68Ga-DOTATOC uptake in their pituitary glands on PET/CT. Median age, pre-operative ACTH levels, pre-operative cortisol, and tumor size on MRI were comparable irrespective of DOTATOC uptake. 68Ga-DOTATOC PET/CT showed a 77% success rate for localizing adenomas, which was not statistically different from that of MRI. The ACTH level in the successful localization group was significantly higher than that in the failed group (84.41 pg/mL vs. 37.26 pg/mL, P=0.001). The ACTH level was statistically significant predictor of successful localization using 68Ga-DOTATOC PET/CT (P=0.013). The area under the curve was 0.932 with a cutoff of 53.86 pg/mL for ACTH levels to determine successful localization. Pre-operative ACTH levels above 53.86 pg/mL showed the best diagnostic accuracy in predicting the success of localizing adenomas (sensitivity, 91.3%; specificity, 85.7%). Mean and maximum standardized uptake value of adenoma negatively correlated to pre-operative ACTH level.

Conclusion: Plasma ACTH level is a favorable predictor for the successful localization and negative correlation with 68Ga-DOTATOC uptake of corticotroph adenomas in 68Ga-DOTATOC PET/CT. 68Ga-DOTATOC PET/CT did not improve tumor localization for Cushing's disease compared with MRI alone.

求助全文
通过发布文献求助,成功后即可免费获取论文全文。 去求助
来源期刊
Endocrinology and Metabolism
Endocrinology and Metabolism Medicine-Endocrinology, Diabetes and Metabolism
CiteScore
6.60
自引率
5.90%
发文量
145
审稿时长
24 weeks
期刊介绍: The aim of this journal is to set high standards of medical care by providing a forum for discussion for basic, clinical, and translational researchers and clinicians on new findings in the fields of endocrinology and metabolism. Endocrinology and Metabolism reports new findings and developments in all aspects of endocrinology and metabolism. The topics covered by this journal include bone and mineral metabolism, cytokines, developmental endocrinology, diagnostic endocrinology, endocrine research, dyslipidemia, endocrine regulation, genetic endocrinology, growth factors, hormone receptors, hormone action and regulation, management of endocrine diseases, clinical trials, epidemiology, molecular endocrinology, neuroendocrinology, neuropeptides, neurotransmitters, obesity, pediatric endocrinology, reproductive endocrinology, signal transduction, the anatomy and physiology of endocrine organs (i.e., the pituitary, thyroid, parathyroid, and adrenal glands, and the gonads), and endocrine diseases (diabetes, nutrition, osteoporosis, etc.).
×
引用
GB/T 7714-2015
复制
MLA
复制
APA
复制
导出至
BibTeX EndNote RefMan NoteFirst NoteExpress
×
提示
您的信息不完整,为了账户安全,请先补充。
现在去补充
×
提示
您因"违规操作"
具体请查看互助需知
我知道了
×
提示
确定
请完成安全验证×
copy
已复制链接
快去分享给好友吧!
我知道了
右上角分享
点击右上角分享
0
联系我们:info@booksci.cn Book学术提供免费学术资源搜索服务,方便国内外学者检索中英文文献。致力于提供最便捷和优质的服务体验。 Copyright © 2023 布克学术 All rights reserved.
京ICP备2023020795号-1
ghs 京公网安备 11010802042870号
Book学术文献互助
Book学术文献互助群
群 号:604180095
Book学术官方微信