HEG1和Claudin-4免疫组化在胸膜积液细胞学鉴别肺腺癌与恶性间皮瘤中的作用。

IF 2.1 Q4 PATHOLOGY
Aziza E Abdelrahman, Fatma A Elbadry, Taiseer R Ibrahim, Mohamed Ali Alabiad, Mohamed Awad
{"title":"HEG1和Claudin-4免疫组化在胸膜积液细胞学鉴别肺腺癌与恶性间皮瘤中的作用。","authors":"Aziza E Abdelrahman, Fatma A Elbadry, Taiseer R Ibrahim, Mohamed Ali Alabiad, Mohamed Awad","doi":"10.5146/tjpath.2025.13801","DOIUrl":null,"url":null,"abstract":"<p><strong>Objective: </strong>Cytological examination of pleural effusion is minimally invasive and low risk but faces challenges due to the lack of architectural features, low cell counts, and overlapping characteristics among reactive mesothelial cells (RMCs), carcinoma cells, and malignant epithelioid mesothelioma (MPM) cells. The aim of this was study to detect the diagnostic accuracy of the expression of HEG1 and Claudin-4 in distinguishing malignant mesothelioma from lung adenocarcinoma in pleural effusion.</p><p><strong>Material and methods: </strong>The present study was carried out on 84 cases of pleural effusion. Sixty-four representative cell blocks of the studied malignant cases and twenty control cases were stained with HEG1 and Claudin-4 immunostaining, and the results were recorded.</p><p><strong>Results: </strong>Positive membranous HEG1 immunoexpression was found in 95% of RMCs in benign effusions. Also, positive membranous HEG1 immunoexpression was found in 96% of cases of MPM, and only 2.6% of lung adenocarcinoma cases. There was a statistically significant difference between benign effusion with RMCs and lung adenocarcinoma immunoreactivity. There was a highly statistically significant difference between HEG1 immunoexpression in MPM and lung adenocarcinoma. On the other hand, all cases of benign effusions and all MPM cases had negative Claudin-4 immunoexpression while positive membranous Claudin-4 immunoexpression was found in 94.9% of lung adenocarcinoma cases. There was a statistically significant difference in immunoexpression of Claudin-4 between benign effusion and lung adenocarcinoma. There was a statistically significant difference in the immunoexpression of Claudin-4 between MPM and lung adenocarcinoma.</p><p><strong>Conclusion: </strong>HEG1 and Claudin-4 IHC staining is extremely valuable in the differential diagnosis between reactive or malignant mesothelial cells and adenocarcinoma in pleural effusion.</p>","PeriodicalId":45415,"journal":{"name":"Turkish Journal of Pathology","volume":" ","pages":"42-50"},"PeriodicalIF":2.1000,"publicationDate":"2025-01-01","publicationTypes":"Journal Article","fieldsOfStudy":null,"isOpenAccess":false,"openAccessPdf":"https://www.ncbi.nlm.nih.gov/pmc/articles/PMC12206396/pdf/","citationCount":"0","resultStr":"{\"title\":\"Role of HEG1 and Claudin-4 Immunohistochemistry in the Differential Diagnosis of Lung Adenocarcinoma from Malignant Mesothelioma in Pleural Effusion Cytology.\",\"authors\":\"Aziza E Abdelrahman, Fatma A Elbadry, Taiseer R Ibrahim, Mohamed Ali Alabiad, Mohamed Awad\",\"doi\":\"10.5146/tjpath.2025.13801\",\"DOIUrl\":null,\"url\":null,\"abstract\":\"<p><strong>Objective: </strong>Cytological examination of pleural effusion is minimally invasive and low risk but faces challenges due to the lack of architectural features, low cell counts, and overlapping characteristics among reactive mesothelial cells (RMCs), carcinoma cells, and malignant epithelioid mesothelioma (MPM) cells. The aim of this was study to detect the diagnostic accuracy of the expression of HEG1 and Claudin-4 in distinguishing malignant mesothelioma from lung adenocarcinoma in pleural effusion.</p><p><strong>Material and methods: </strong>The present study was carried out on 84 cases of pleural effusion. Sixty-four representative cell blocks of the studied malignant cases and twenty control cases were stained with HEG1 and Claudin-4 immunostaining, and the results were recorded.</p><p><strong>Results: </strong>Positive membranous HEG1 immunoexpression was found in 95% of RMCs in benign effusions. Also, positive membranous HEG1 immunoexpression was found in 96% of cases of MPM, and only 2.6% of lung adenocarcinoma cases. There was a statistically significant difference between benign effusion with RMCs and lung adenocarcinoma immunoreactivity. There was a highly statistically significant difference between HEG1 immunoexpression in MPM and lung adenocarcinoma. On the other hand, all cases of benign effusions and all MPM cases had negative Claudin-4 immunoexpression while positive membranous Claudin-4 immunoexpression was found in 94.9% of lung adenocarcinoma cases. There was a statistically significant difference in immunoexpression of Claudin-4 between benign effusion and lung adenocarcinoma. There was a statistically significant difference in the immunoexpression of Claudin-4 between MPM and lung adenocarcinoma.</p><p><strong>Conclusion: </strong>HEG1 and Claudin-4 IHC staining is extremely valuable in the differential diagnosis between reactive or malignant mesothelial cells and adenocarcinoma in pleural effusion.</p>\",\"PeriodicalId\":45415,\"journal\":{\"name\":\"Turkish Journal of Pathology\",\"volume\":\" \",\"pages\":\"42-50\"},\"PeriodicalIF\":2.1000,\"publicationDate\":\"2025-01-01\",\"publicationTypes\":\"Journal Article\",\"fieldsOfStudy\":null,\"isOpenAccess\":false,\"openAccessPdf\":\"https://www.ncbi.nlm.nih.gov/pmc/articles/PMC12206396/pdf/\",\"citationCount\":\"0\",\"resultStr\":null,\"platform\":\"Semanticscholar\",\"paperid\":null,\"PeriodicalName\":\"Turkish Journal of Pathology\",\"FirstCategoryId\":\"1085\",\"ListUrlMain\":\"https://doi.org/10.5146/tjpath.2025.13801\",\"RegionNum\":0,\"RegionCategory\":null,\"ArticlePicture\":[],\"TitleCN\":null,\"AbstractTextCN\":null,\"PMCID\":null,\"EPubDate\":\"\",\"PubModel\":\"\",\"JCR\":\"Q4\",\"JCRName\":\"PATHOLOGY\",\"Score\":null,\"Total\":0}","platform":"Semanticscholar","paperid":null,"PeriodicalName":"Turkish Journal of Pathology","FirstCategoryId":"1085","ListUrlMain":"https://doi.org/10.5146/tjpath.2025.13801","RegionNum":0,"RegionCategory":null,"ArticlePicture":[],"TitleCN":null,"AbstractTextCN":null,"PMCID":null,"EPubDate":"","PubModel":"","JCR":"Q4","JCRName":"PATHOLOGY","Score":null,"Total":0}
引用次数: 0

摘要

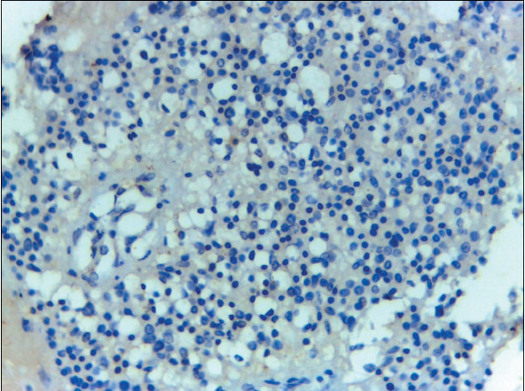
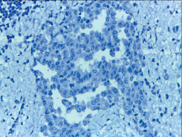
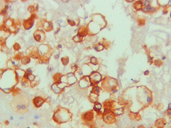
目的:胸腔积液的细胞学检查创伤小、风险低,但由于缺乏结构特征、细胞数量少以及反应性间皮细胞(RMC)、癌细胞和恶性上皮样间皮瘤(MPM)细胞之间的特征重叠,因此面临着挑战。本研究旨在检测 HEG1 和 Claudin-4 的表达在区分胸腔积液中恶性间皮瘤和肺腺癌方面的诊断准确性:本研究针对84例胸腔积液病例。对研究的恶性病例和 20 例对照病例的 64 个代表性细胞块进行 HEG1 和 Claudin-4 免疫染色,并记录结果:结果:在良性积液中,95% 的 RMC 发现膜 HEG1 免疫阳性表达。此外,96%的 MPM 病例中发现膜 HEG1 免疫阳性表达,而肺腺癌病例中仅有 2.6%发现膜 HEG1 免疫阳性表达。带有 RMCs 的良性渗出物与肺腺癌免疫反应之间的差异有统计学意义。在 MPM 和肺腺癌中,HEG1 免疫表达的差异具有高度统计学意义。另一方面,所有良性积液病例和所有 MPM 病例的 Claudin-4 免疫表达均为阴性,而在 94.9% 的肺腺癌病例中发现膜性 Claudin-4 免疫表达为阳性。良性积液和肺腺癌的 Claudin-4 免疫表达差异有统计学意义。MPM 与肺腺癌之间的 Claudin-4 免疫表达差异有统计学意义:结论:HEG1 和 Claudin-4 IHC 染色对胸腔积液中反应性或恶性间皮细胞与腺癌的鉴别诊断极具价值。
本文章由计算机程序翻译,如有差异,请以英文原文为准。

Role of HEG1 and Claudin-4 Immunohistochemistry in the Differential Diagnosis of Lung Adenocarcinoma from Malignant Mesothelioma in Pleural Effusion Cytology.

Role of HEG1 and Claudin-4 Immunohistochemistry in the Differential Diagnosis of Lung Adenocarcinoma from Malignant Mesothelioma in Pleural Effusion Cytology.

Role of HEG1 and Claudin-4 Immunohistochemistry in the Differential Diagnosis of Lung Adenocarcinoma from Malignant Mesothelioma in Pleural Effusion Cytology.

Role of HEG1 and Claudin-4 Immunohistochemistry in the Differential Diagnosis of Lung Adenocarcinoma from Malignant Mesothelioma in Pleural Effusion Cytology.

Objective: Cytological examination of pleural effusion is minimally invasive and low risk but faces challenges due to the lack of architectural features, low cell counts, and overlapping characteristics among reactive mesothelial cells (RMCs), carcinoma cells, and malignant epithelioid mesothelioma (MPM) cells. The aim of this was study to detect the diagnostic accuracy of the expression of HEG1 and Claudin-4 in distinguishing malignant mesothelioma from lung adenocarcinoma in pleural effusion.

Material and methods: The present study was carried out on 84 cases of pleural effusion. Sixty-four representative cell blocks of the studied malignant cases and twenty control cases were stained with HEG1 and Claudin-4 immunostaining, and the results were recorded.

Results: Positive membranous HEG1 immunoexpression was found in 95% of RMCs in benign effusions. Also, positive membranous HEG1 immunoexpression was found in 96% of cases of MPM, and only 2.6% of lung adenocarcinoma cases. There was a statistically significant difference between benign effusion with RMCs and lung adenocarcinoma immunoreactivity. There was a highly statistically significant difference between HEG1 immunoexpression in MPM and lung adenocarcinoma. On the other hand, all cases of benign effusions and all MPM cases had negative Claudin-4 immunoexpression while positive membranous Claudin-4 immunoexpression was found in 94.9% of lung adenocarcinoma cases. There was a statistically significant difference in immunoexpression of Claudin-4 between benign effusion and lung adenocarcinoma. There was a statistically significant difference in the immunoexpression of Claudin-4 between MPM and lung adenocarcinoma.

Conclusion: HEG1 and Claudin-4 IHC staining is extremely valuable in the differential diagnosis between reactive or malignant mesothelial cells and adenocarcinoma in pleural effusion.

求助全文
通过发布文献求助,成功后即可免费获取论文全文。 去求助
来源期刊
CiteScore
1.90
自引率
10.00%
发文量
23
审稿时长
14 weeks
×
引用
GB/T 7714-2015
复制
MLA
复制
APA
复制
导出至
BibTeX EndNote RefMan NoteFirst NoteExpress
×
提示
您的信息不完整,为了账户安全,请先补充。
现在去补充
×
提示
您因"违规操作"
具体请查看互助需知
我知道了
×
提示
确定
请完成安全验证×
copy
已复制链接
快去分享给好友吧!
我知道了
右上角分享
点击右上角分享
0
联系我们:info@booksci.cn Book学术提供免费学术资源搜索服务,方便国内外学者检索中英文文献。致力于提供最便捷和优质的服务体验。 Copyright © 2023 布克学术 All rights reserved.
京ICP备2023020795号-1
ghs 京公网安备 11010802042870号
Book学术文献互助
Book学术文献互助群
群 号:604180095
Book学术官方微信