水肿腹水与无肝硬化的酒精使用障碍相关。

IF 6.4 4区 医学 Q1 MEDICINE, GENERAL & INTERNAL
Ami Schattner, Ina Dubin, Livnat Uliel
{"title":"水肿腹水与无肝硬化的酒精使用障碍相关。","authors":"Ami Schattner, Ina Dubin, Livnat Uliel","doi":"10.1093/qjmed/hcaf069","DOIUrl":null,"url":null,"abstract":"","PeriodicalId":20806,"journal":{"name":"QJM: An International Journal of Medicine","volume":" ","pages":"543-544"},"PeriodicalIF":6.4000,"publicationDate":"2025-07-01","publicationTypes":"Journal Article","fieldsOfStudy":null,"isOpenAccess":false,"openAccessPdf":"https://www.ncbi.nlm.nih.gov/pmc/articles/PMC12476575/pdf/","citationCount":"0","resultStr":"{\"title\":\"Florid ascites associated with alcohol use disorder without cirrhosis.\",\"authors\":\"Ami Schattner, Ina Dubin, Livnat Uliel\",\"doi\":\"10.1093/qjmed/hcaf069\",\"DOIUrl\":null,\"url\":null,\"abstract\":\"\",\"PeriodicalId\":20806,\"journal\":{\"name\":\"QJM: An International Journal of Medicine\",\"volume\":\" \",\"pages\":\"543-544\"},\"PeriodicalIF\":6.4000,\"publicationDate\":\"2025-07-01\",\"publicationTypes\":\"Journal Article\",\"fieldsOfStudy\":null,\"isOpenAccess\":false,\"openAccessPdf\":\"https://www.ncbi.nlm.nih.gov/pmc/articles/PMC12476575/pdf/\",\"citationCount\":\"0\",\"resultStr\":null,\"platform\":\"Semanticscholar\",\"paperid\":null,\"PeriodicalName\":\"QJM: An International Journal of Medicine\",\"FirstCategoryId\":\"3\",\"ListUrlMain\":\"https://doi.org/10.1093/qjmed/hcaf069\",\"RegionNum\":4,\"RegionCategory\":\"医学\",\"ArticlePicture\":[],\"TitleCN\":null,\"AbstractTextCN\":null,\"PMCID\":null,\"EPubDate\":\"\",\"PubModel\":\"\",\"JCR\":\"Q1\",\"JCRName\":\"MEDICINE, GENERAL & INTERNAL\",\"Score\":null,\"Total\":0}","platform":"Semanticscholar","paperid":null,"PeriodicalName":"QJM: An International Journal of Medicine","FirstCategoryId":"3","ListUrlMain":"https://doi.org/10.1093/qjmed/hcaf069","RegionNum":4,"RegionCategory":"医学","ArticlePicture":[],"TitleCN":null,"AbstractTextCN":null,"PMCID":null,"EPubDate":"","PubModel":"","JCR":"Q1","JCRName":"MEDICINE, GENERAL & INTERNAL","Score":null,"Total":0}
引用次数: 0

摘要

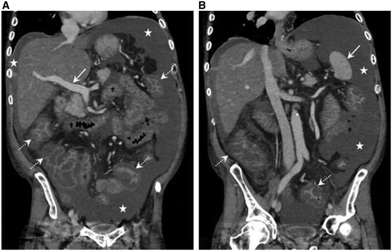
一名长期酗酒的患者出现亚急性腹痛,腹围增大,并伴有急性严重腹泻。腹泻是由于并发急性细菌性胰腺炎所致,经治疗后缓解。腹水伴高浓度血清白蛋白-腹水梯度被诊断为急性酒精性肝炎引起的继发性门静脉高压。检查、化验或影像学检查均未发现明显的肝硬化迹象,除了急性酒精性肝炎外,找不到其他解释。因此,急性酒精性肝炎很少会引起明显的门静脉高压。
本文章由计算机程序翻译,如有差异,请以英文原文为准。

Florid ascites associated with alcohol use disorder without cirrhosis.

Florid ascites associated with alcohol use disorder without cirrhosis.
求助全文
通过发布文献求助,成功后即可免费获取论文全文。 去求助
来源期刊
CiteScore
6.90
自引率
5.30%
发文量
263
审稿时长
4-8 weeks
期刊介绍: QJM, a renowned and reputable general medical journal, has been a prominent source of knowledge in the field of internal medicine. With a steadfast commitment to advancing medical science and practice, it features a selection of rigorously reviewed articles. Released on a monthly basis, QJM encompasses a wide range of article types. These include original papers that contribute innovative research, editorials that offer expert opinions, and reviews that provide comprehensive analyses of specific topics. The journal also presents commentary papers aimed at initiating discussions on controversial subjects and allocates a dedicated section for reader correspondence. In summary, QJM's reputable standing stems from its enduring presence in the medical community, consistent publication schedule, and diverse range of content designed to inform and engage readers.
×
引用
GB/T 7714-2015
复制
MLA
复制
APA
复制
导出至
BibTeX EndNote RefMan NoteFirst NoteExpress
×
提示
您的信息不完整,为了账户安全,请先补充。
现在去补充
×
提示
您因"违规操作"
具体请查看互助需知
我知道了
×
提示
确定
请完成安全验证×
copy
已复制链接
快去分享给好友吧!
我知道了
右上角分享
点击右上角分享
0
联系我们:info@booksci.cn Book学术提供免费学术资源搜索服务,方便国内外学者检索中英文文献。致力于提供最便捷和优质的服务体验。 Copyright © 2023 布克学术 All rights reserved.
京ICP备2023020795号-1
ghs 京公网安备 11010802042870号
Book学术文献互助
Book学术文献互助群
群 号:604180095
Book学术官方微信