一种新的计算机断层扫描严重程度评分对肾综合征出血热的预后价值。

IF 1.3 Q3 RADIOLOGY, NUCLEAR MEDICINE & MEDICAL IMAGING
Emergency Radiology Pub Date : 2025-06-01 Epub Date: 2025-03-12 DOI:10.1007/s10140-025-02322-9
Se Woo Kim, Cheong-Il Shin, Min Woo Kang, Min Cheol Kim, Donghwan Kim
{"title":"一种新的计算机断层扫描严重程度评分对肾综合征出血热的预后价值。","authors":"Se Woo Kim, Cheong-Il Shin, Min Woo Kang, Min Cheol Kim, Donghwan Kim","doi":"10.1007/s10140-025-02322-9","DOIUrl":null,"url":null,"abstract":"<p><strong>Purpose: </strong>To develop of a novel computed tomography (CT) severity score for hemorrhagic fever with renal syndrome (HFRS) and evaluate its correlation with disease severity and adverse outcomes.</p><p><strong>Methods: </strong>This retrospective study included 37 patients diagnosed with HFRS from January 2012 to December 2023 who had available clinical laboratory and abdominal CT data during the acute phase. The CT severity score (range 0-5) was based on perirenal fat stranding, pararenal fascia thickening, anterior pararenal space fat stranding, ascites, and pleural effusion. Correlations between the score and markers of inflammation, thrombocytopenia, proteinuria, and adverse outcomes-including nephrotic range proteinuria and renal replacement therapy (RRT)-were analyzed.</p><p><strong>Results: </strong>The CT severity score exhibited moderate to strong correlations with markers of inflammation (white blood cell count, ρ = 0.65, p < 0.001), thrombocytopenia (platelet count, ρ = -0.54, p < 0.001), and proteinuria (urine protein-to-creatinine ratio, ρ = 0.56, p < 0.001). Higher scores were associated with increased nephrotic range proteinuria in Chi-squared test for trend (p-for-trend = 0.001). A one-point increase in the score significantly increased odds of requiring RRT in logistic regression analysis (odds ratio: 9.89, p = 0.047). The score achieved an area under the receiver operating characteristics curve of 0.819 for predicting RRT.</p><p><strong>Conclusion: </strong>The CT severity score correlates well with disease severity and adverse outcomes in HFRS and can be assessed using noncontrast CT, making it a valuable prognostic tool in young male population. Further validation in diverse populations is warranted.</p>","PeriodicalId":11623,"journal":{"name":"Emergency Radiology","volume":" ","pages":"377-385"},"PeriodicalIF":1.3000,"publicationDate":"2025-06-01","publicationTypes":"Journal Article","fieldsOfStudy":null,"isOpenAccess":false,"openAccessPdf":"https://www.ncbi.nlm.nih.gov/pmc/articles/PMC12133915/pdf/","citationCount":"0","resultStr":"{\"title\":\"Prognostic value of a new computed tomography severity score in hemorrhagic fever with renal syndrome.\",\"authors\":\"Se Woo Kim, Cheong-Il Shin, Min Woo Kang, Min Cheol Kim, Donghwan Kim\",\"doi\":\"10.1007/s10140-025-02322-9\",\"DOIUrl\":null,\"url\":null,\"abstract\":\"<p><strong>Purpose: </strong>To develop of a novel computed tomography (CT) severity score for hemorrhagic fever with renal syndrome (HFRS) and evaluate its correlation with disease severity and adverse outcomes.</p><p><strong>Methods: </strong>This retrospective study included 37 patients diagnosed with HFRS from January 2012 to December 2023 who had available clinical laboratory and abdominal CT data during the acute phase. The CT severity score (range 0-5) was based on perirenal fat stranding, pararenal fascia thickening, anterior pararenal space fat stranding, ascites, and pleural effusion. Correlations between the score and markers of inflammation, thrombocytopenia, proteinuria, and adverse outcomes-including nephrotic range proteinuria and renal replacement therapy (RRT)-were analyzed.</p><p><strong>Results: </strong>The CT severity score exhibited moderate to strong correlations with markers of inflammation (white blood cell count, ρ = 0.65, p < 0.001), thrombocytopenia (platelet count, ρ = -0.54, p < 0.001), and proteinuria (urine protein-to-creatinine ratio, ρ = 0.56, p < 0.001). Higher scores were associated with increased nephrotic range proteinuria in Chi-squared test for trend (p-for-trend = 0.001). A one-point increase in the score significantly increased odds of requiring RRT in logistic regression analysis (odds ratio: 9.89, p = 0.047). The score achieved an area under the receiver operating characteristics curve of 0.819 for predicting RRT.</p><p><strong>Conclusion: </strong>The CT severity score correlates well with disease severity and adverse outcomes in HFRS and can be assessed using noncontrast CT, making it a valuable prognostic tool in young male population. Further validation in diverse populations is warranted.</p>\",\"PeriodicalId\":11623,\"journal\":{\"name\":\"Emergency Radiology\",\"volume\":\" \",\"pages\":\"377-385\"},\"PeriodicalIF\":1.3000,\"publicationDate\":\"2025-06-01\",\"publicationTypes\":\"Journal Article\",\"fieldsOfStudy\":null,\"isOpenAccess\":false,\"openAccessPdf\":\"https://www.ncbi.nlm.nih.gov/pmc/articles/PMC12133915/pdf/\",\"citationCount\":\"0\",\"resultStr\":null,\"platform\":\"Semanticscholar\",\"paperid\":null,\"PeriodicalName\":\"Emergency Radiology\",\"FirstCategoryId\":\"1085\",\"ListUrlMain\":\"https://doi.org/10.1007/s10140-025-02322-9\",\"RegionNum\":0,\"RegionCategory\":null,\"ArticlePicture\":[],\"TitleCN\":null,\"AbstractTextCN\":null,\"PMCID\":null,\"EPubDate\":\"2025/3/12 0:00:00\",\"PubModel\":\"Epub\",\"JCR\":\"Q3\",\"JCRName\":\"RADIOLOGY, NUCLEAR MEDICINE & MEDICAL IMAGING\",\"Score\":null,\"Total\":0}","platform":"Semanticscholar","paperid":null,"PeriodicalName":"Emergency Radiology","FirstCategoryId":"1085","ListUrlMain":"https://doi.org/10.1007/s10140-025-02322-9","RegionNum":0,"RegionCategory":null,"ArticlePicture":[],"TitleCN":null,"AbstractTextCN":null,"PMCID":null,"EPubDate":"2025/3/12 0:00:00","PubModel":"Epub","JCR":"Q3","JCRName":"RADIOLOGY, NUCLEAR MEDICINE & MEDICAL IMAGING","Score":null,"Total":0}
引用次数: 0

摘要

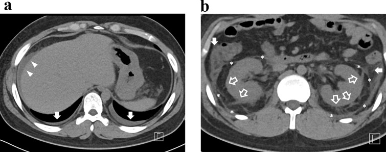
目的:为出血热合并肾综合征(HFRS)制定新的计算机断层扫描(CT)严重程度评分,并评估其与疾病严重程度和不良结局的相关性:这项回顾性研究纳入了2012年1月至2023年12月期间确诊为HFRS的37例患者,这些患者在急性期均有临床实验室和腹部CT数据。CT严重程度评分(范围0-5)基于肾周脂肪滞留、肾旁筋膜增厚、肾旁前间隙脂肪滞留、腹水和胸腔积液。分析了该评分与炎症指标、血小板减少、蛋白尿和不良后果(包括肾病范围蛋白尿和肾脏替代治疗(RRT))之间的相关性:CT严重程度评分与HFRS的疾病严重程度和不良预后有很好的相关性,并可通过非对比CT进行评估,因此是年轻男性人群中一种有价值的预后工具。有必要在不同人群中进行进一步验证。
本文章由计算机程序翻译,如有差异,请以英文原文为准。

Prognostic value of a new computed tomography severity score in hemorrhagic fever with renal syndrome.

Prognostic value of a new computed tomography severity score in hemorrhagic fever with renal syndrome.

Prognostic value of a new computed tomography severity score in hemorrhagic fever with renal syndrome.

Prognostic value of a new computed tomography severity score in hemorrhagic fever with renal syndrome.

Purpose: To develop of a novel computed tomography (CT) severity score for hemorrhagic fever with renal syndrome (HFRS) and evaluate its correlation with disease severity and adverse outcomes.

Methods: This retrospective study included 37 patients diagnosed with HFRS from January 2012 to December 2023 who had available clinical laboratory and abdominal CT data during the acute phase. The CT severity score (range 0-5) was based on perirenal fat stranding, pararenal fascia thickening, anterior pararenal space fat stranding, ascites, and pleural effusion. Correlations between the score and markers of inflammation, thrombocytopenia, proteinuria, and adverse outcomes-including nephrotic range proteinuria and renal replacement therapy (RRT)-were analyzed.

Results: The CT severity score exhibited moderate to strong correlations with markers of inflammation (white blood cell count, ρ = 0.65, p < 0.001), thrombocytopenia (platelet count, ρ = -0.54, p < 0.001), and proteinuria (urine protein-to-creatinine ratio, ρ = 0.56, p < 0.001). Higher scores were associated with increased nephrotic range proteinuria in Chi-squared test for trend (p-for-trend = 0.001). A one-point increase in the score significantly increased odds of requiring RRT in logistic regression analysis (odds ratio: 9.89, p = 0.047). The score achieved an area under the receiver operating characteristics curve of 0.819 for predicting RRT.

Conclusion: The CT severity score correlates well with disease severity and adverse outcomes in HFRS and can be assessed using noncontrast CT, making it a valuable prognostic tool in young male population. Further validation in diverse populations is warranted.

求助全文
通过发布文献求助,成功后即可免费获取论文全文。 去求助
来源期刊
Emergency Radiology
Emergency Radiology RADIOLOGY, NUCLEAR MEDICINE & MEDICAL IMAGING-
CiteScore
4.60
自引率
4.50%
发文量
98
期刊介绍: To advance and improve the radiologic aspects of emergency careTo establish Emergency Radiology as an area of special interest in the field of diagnostic imagingTo improve methods of education in Emergency RadiologyTo provide, through formal meetings, a mechanism for presentation of scientific papers on various aspects of Emergency Radiology and continuing educationTo promote research in Emergency Radiology by clinical and basic science investigators, including residents and other traineesTo act as the resource body on Emergency Radiology for those interested in emergency patient care Members of the American Society of Emergency Radiology (ASER) receive the Emergency Radiology journal as a benefit of membership!
×
引用
GB/T 7714-2015
复制
MLA
复制
APA
复制
导出至
BibTeX EndNote RefMan NoteFirst NoteExpress
×
提示
您的信息不完整,为了账户安全,请先补充。
现在去补充
×
提示
您因"违规操作"
具体请查看互助需知
我知道了
×
提示
确定
请完成安全验证×
copy
已复制链接
快去分享给好友吧!
我知道了
右上角分享
点击右上角分享
0
联系我们:info@booksci.cn Book学术提供免费学术资源搜索服务,方便国内外学者检索中英文文献。致力于提供最便捷和优质的服务体验。 Copyright © 2023 布克学术 All rights reserved.
京ICP备2023020795号-1
ghs 京公网安备 11010802042870号
Book学术文献互助
Book学术文献互助群
群 号:604180095
Book学术官方微信