颈部软组织炎症性肌成纤维细胞瘤1例报告及文献复习。

Q2 Medicine
Archives of Craniofacial Surgery Pub Date : 2025-02-01 Epub Date: 2025-02-20 DOI:10.7181/acfs.2024.00500
Yahia Awad Alkahtani, Mahmoud Rezk Abdelwahed Hussein, Mubarak Mohammed Al-Shraim, Shahd Saeed Dalboh Asiri, Sultan Khalid Saeed Kadasah
{"title":"颈部软组织炎症性肌成纤维细胞瘤1例报告及文献复习。","authors":"Yahia Awad Alkahtani, Mahmoud Rezk Abdelwahed Hussein, Mubarak Mohammed Al-Shraim, Shahd Saeed Dalboh Asiri, Sultan Khalid Saeed Kadasah","doi":"10.7181/acfs.2024.00500","DOIUrl":null,"url":null,"abstract":"<p><p>Inflammatory myofibroblastic tumor (IMT) of the soft tissues of the neck is a rare pathological entity. We present the case of a 32-year-old patient who had a painful, slowly enlarging mass in the neck's soft tissues. Radiological examination revealed a well-defined, dense lesion. The mass was surgically removed through local excision. Immunohistological analysis confirmed the diagnosis of IMT. After nearly 2 years of follow-up, there was no evidence of recurrence or distant metastases. In conclusion, although IMT of the soft tissues of the neck is uncommon, it should be considered in the differential diagnosis of neck tumors. Further research is necessary to understand the pathogenetic mechanisms of IMT, which could lead to the development of more effective treatments for this tumor.</p>","PeriodicalId":52238,"journal":{"name":"Archives of Craniofacial Surgery","volume":"26 1","pages":"29-33"},"PeriodicalIF":0.0000,"publicationDate":"2025-02-01","publicationTypes":"Journal Article","fieldsOfStudy":null,"isOpenAccess":false,"openAccessPdf":"https://www.ncbi.nlm.nih.gov/pmc/articles/PMC11917411/pdf/","citationCount":"0","resultStr":"{\"title\":\"An inflammatory myofibroblastic tumor of the soft tissue of the neck: a case report and literature review.\",\"authors\":\"Yahia Awad Alkahtani, Mahmoud Rezk Abdelwahed Hussein, Mubarak Mohammed Al-Shraim, Shahd Saeed Dalboh Asiri, Sultan Khalid Saeed Kadasah\",\"doi\":\"10.7181/acfs.2024.00500\",\"DOIUrl\":null,\"url\":null,\"abstract\":\"<p><p>Inflammatory myofibroblastic tumor (IMT) of the soft tissues of the neck is a rare pathological entity. We present the case of a 32-year-old patient who had a painful, slowly enlarging mass in the neck's soft tissues. Radiological examination revealed a well-defined, dense lesion. The mass was surgically removed through local excision. Immunohistological analysis confirmed the diagnosis of IMT. After nearly 2 years of follow-up, there was no evidence of recurrence or distant metastases. In conclusion, although IMT of the soft tissues of the neck is uncommon, it should be considered in the differential diagnosis of neck tumors. Further research is necessary to understand the pathogenetic mechanisms of IMT, which could lead to the development of more effective treatments for this tumor.</p>\",\"PeriodicalId\":52238,\"journal\":{\"name\":\"Archives of Craniofacial Surgery\",\"volume\":\"26 1\",\"pages\":\"29-33\"},\"PeriodicalIF\":0.0000,\"publicationDate\":\"2025-02-01\",\"publicationTypes\":\"Journal Article\",\"fieldsOfStudy\":null,\"isOpenAccess\":false,\"openAccessPdf\":\"https://www.ncbi.nlm.nih.gov/pmc/articles/PMC11917411/pdf/\",\"citationCount\":\"0\",\"resultStr\":null,\"platform\":\"Semanticscholar\",\"paperid\":null,\"PeriodicalName\":\"Archives of Craniofacial Surgery\",\"FirstCategoryId\":\"1085\",\"ListUrlMain\":\"https://doi.org/10.7181/acfs.2024.00500\",\"RegionNum\":0,\"RegionCategory\":null,\"ArticlePicture\":[],\"TitleCN\":null,\"AbstractTextCN\":null,\"PMCID\":null,\"EPubDate\":\"2025/2/20 0:00:00\",\"PubModel\":\"Epub\",\"JCR\":\"Q2\",\"JCRName\":\"Medicine\",\"Score\":null,\"Total\":0}","platform":"Semanticscholar","paperid":null,"PeriodicalName":"Archives of Craniofacial Surgery","FirstCategoryId":"1085","ListUrlMain":"https://doi.org/10.7181/acfs.2024.00500","RegionNum":0,"RegionCategory":null,"ArticlePicture":[],"TitleCN":null,"AbstractTextCN":null,"PMCID":null,"EPubDate":"2025/2/20 0:00:00","PubModel":"Epub","JCR":"Q2","JCRName":"Medicine","Score":null,"Total":0}
引用次数: 0

摘要

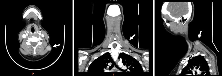
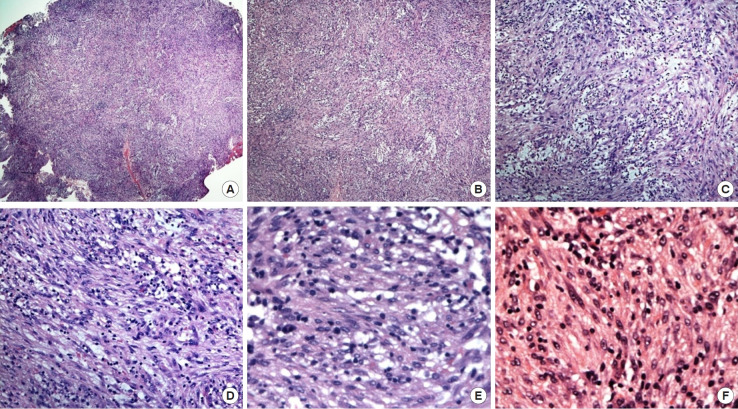
摘要颈部软组织的炎症性肌纤维母细胞瘤是一种罕见的病理实体。我们提出的情况下,一个32岁的病人有一个痛苦的,缓慢扩大的肿块在颈部的软组织。影像学检查显示一界限清晰的致密病灶。通过局部切除手术切除肿块。免疫组织学分析证实了IMT的诊断。经过近2年的随访,无复发或远处转移的证据。综上所述,尽管颈部软组织的IMT并不常见,但在颈部肿瘤的鉴别诊断中应予以考虑。进一步研究IMT的发病机制是必要的,这将有助于开发更有效的治疗方法。
本文章由计算机程序翻译,如有差异,请以英文原文为准。

An inflammatory myofibroblastic tumor of the soft tissue of the neck: a case report and literature review.

An inflammatory myofibroblastic tumor of the soft tissue of the neck: a case report and literature review.

An inflammatory myofibroblastic tumor of the soft tissue of the neck: a case report and literature review.

An inflammatory myofibroblastic tumor of the soft tissue of the neck: a case report and literature review.

Inflammatory myofibroblastic tumor (IMT) of the soft tissues of the neck is a rare pathological entity. We present the case of a 32-year-old patient who had a painful, slowly enlarging mass in the neck's soft tissues. Radiological examination revealed a well-defined, dense lesion. The mass was surgically removed through local excision. Immunohistological analysis confirmed the diagnosis of IMT. After nearly 2 years of follow-up, there was no evidence of recurrence or distant metastases. In conclusion, although IMT of the soft tissues of the neck is uncommon, it should be considered in the differential diagnosis of neck tumors. Further research is necessary to understand the pathogenetic mechanisms of IMT, which could lead to the development of more effective treatments for this tumor.

求助全文
通过发布文献求助,成功后即可免费获取论文全文。 去求助
来源期刊
Archives of Craniofacial Surgery
Archives of Craniofacial Surgery Medicine-Otorhinolaryngology
CiteScore
2.90
自引率
0.00%
发文量
44
×
引用
GB/T 7714-2015
复制
MLA
复制
APA
复制
导出至
BibTeX EndNote RefMan NoteFirst NoteExpress
×
提示
您的信息不完整,为了账户安全,请先补充。
现在去补充
×
提示
您因"违规操作"
具体请查看互助需知
我知道了
×
提示
确定
请完成安全验证×
copy
已复制链接
快去分享给好友吧!
我知道了
右上角分享
点击右上角分享
0
联系我们:info@booksci.cn Book学术提供免费学术资源搜索服务,方便国内外学者检索中英文文献。致力于提供最便捷和优质的服务体验。 Copyright © 2023 布克学术 All rights reserved.
京ICP备2023020795号-1
ghs 京公网安备 11010802042870号
Book学术文献互助
Book学术文献互助群
群 号:604180095
Book学术官方微信