“真正的脱髓鞘疾病会站起来吗?”摘自美国多发性硬化症学会病例会议论文集。

IF 7.5 1区 医学 Q1 CLINICAL NEUROLOGY
Aisha Elfasi, Myla D Goldman, Claire Riley, Scott S Zamvil, Scott Douglas Newsome
{"title":"“真正的脱髓鞘疾病会站起来吗?”摘自美国多发性硬化症学会病例会议论文集。","authors":"Aisha Elfasi, Myla D Goldman, Claire Riley, Scott S Zamvil, Scott Douglas Newsome","doi":"10.1212/NXI.0000000000200380","DOIUrl":null,"url":null,"abstract":"<p><p>A 46-year-old man presented with progressive painful monocular vision loss and left leg paresthesias. Workup demonstrated multifocal demyelinating lesions and CSF-restricted oligoclonal bands. He was diagnosed with multiple sclerosis (MS), but follow-up testing was notable for positive myelin oligodendrocyte glycoprotein-immunoglobulin G (MOG-IgG). We discuss implications and clinical considerations for MOG-IgG positivity in MS.</p>","PeriodicalId":19472,"journal":{"name":"Neurology® Neuroimmunology & Neuroinflammation","volume":"12 3","pages":"e200380"},"PeriodicalIF":7.5000,"publicationDate":"2025-05-01","publicationTypes":"Journal Article","fieldsOfStudy":null,"isOpenAccess":false,"openAccessPdf":"https://www.ncbi.nlm.nih.gov/pmc/articles/PMC11896627/pdf/","citationCount":"0","resultStr":"{\"title\":\"\\\"Will the Real Demyelinating Disorder Please Stand Up?\\\": From the National Multiple Sclerosis Society Case Conference Proceedings.\",\"authors\":\"Aisha Elfasi, Myla D Goldman, Claire Riley, Scott S Zamvil, Scott Douglas Newsome\",\"doi\":\"10.1212/NXI.0000000000200380\",\"DOIUrl\":null,\"url\":null,\"abstract\":\"<p><p>A 46-year-old man presented with progressive painful monocular vision loss and left leg paresthesias. Workup demonstrated multifocal demyelinating lesions and CSF-restricted oligoclonal bands. He was diagnosed with multiple sclerosis (MS), but follow-up testing was notable for positive myelin oligodendrocyte glycoprotein-immunoglobulin G (MOG-IgG). We discuss implications and clinical considerations for MOG-IgG positivity in MS.</p>\",\"PeriodicalId\":19472,\"journal\":{\"name\":\"Neurology® Neuroimmunology & Neuroinflammation\",\"volume\":\"12 3\",\"pages\":\"e200380\"},\"PeriodicalIF\":7.5000,\"publicationDate\":\"2025-05-01\",\"publicationTypes\":\"Journal Article\",\"fieldsOfStudy\":null,\"isOpenAccess\":false,\"openAccessPdf\":\"https://www.ncbi.nlm.nih.gov/pmc/articles/PMC11896627/pdf/\",\"citationCount\":\"0\",\"resultStr\":null,\"platform\":\"Semanticscholar\",\"paperid\":null,\"PeriodicalName\":\"Neurology® Neuroimmunology & Neuroinflammation\",\"FirstCategoryId\":\"3\",\"ListUrlMain\":\"https://doi.org/10.1212/NXI.0000000000200380\",\"RegionNum\":1,\"RegionCategory\":\"医学\",\"ArticlePicture\":[],\"TitleCN\":null,\"AbstractTextCN\":null,\"PMCID\":null,\"EPubDate\":\"2025/3/10 0:00:00\",\"PubModel\":\"Epub\",\"JCR\":\"Q1\",\"JCRName\":\"CLINICAL NEUROLOGY\",\"Score\":null,\"Total\":0}","platform":"Semanticscholar","paperid":null,"PeriodicalName":"Neurology® Neuroimmunology & Neuroinflammation","FirstCategoryId":"3","ListUrlMain":"https://doi.org/10.1212/NXI.0000000000200380","RegionNum":1,"RegionCategory":"医学","ArticlePicture":[],"TitleCN":null,"AbstractTextCN":null,"PMCID":null,"EPubDate":"2025/3/10 0:00:00","PubModel":"Epub","JCR":"Q1","JCRName":"CLINICAL NEUROLOGY","Score":null,"Total":0}
引用次数: 0

摘要

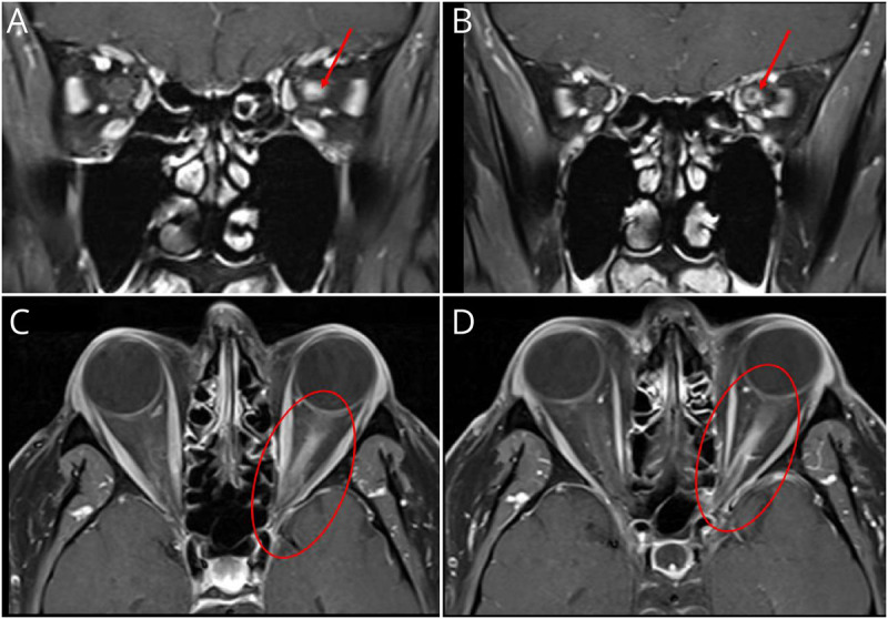
一个46岁的男人提出了进行性疼痛的单眼视力丧失和左腿感觉异常。检查显示多灶脱髓鞘病变和csf限制寡克隆带。他被诊断为多发性硬化症(MS),但随访检测髓鞘少突胶质细胞糖蛋白免疫球蛋白G (MOG-IgG)阳性。我们讨论MOG-IgG阳性在MS中的意义和临床考虑。
本文章由计算机程序翻译,如有差异,请以英文原文为准。

"Will the Real Demyelinating Disorder Please Stand Up?": From the National Multiple Sclerosis Society Case Conference Proceedings.

"Will the Real Demyelinating Disorder Please Stand Up?": From the National Multiple Sclerosis Society Case Conference Proceedings.

"Will the Real Demyelinating Disorder Please Stand Up?": From the National Multiple Sclerosis Society Case Conference Proceedings.

"Will the Real Demyelinating Disorder Please Stand Up?": From the National Multiple Sclerosis Society Case Conference Proceedings.

A 46-year-old man presented with progressive painful monocular vision loss and left leg paresthesias. Workup demonstrated multifocal demyelinating lesions and CSF-restricted oligoclonal bands. He was diagnosed with multiple sclerosis (MS), but follow-up testing was notable for positive myelin oligodendrocyte glycoprotein-immunoglobulin G (MOG-IgG). We discuss implications and clinical considerations for MOG-IgG positivity in MS.

求助全文
通过发布文献求助,成功后即可免费获取论文全文。 去求助
来源期刊
CiteScore
15.60
自引率
2.30%
发文量
219
审稿时长
8 weeks
期刊介绍: Neurology Neuroimmunology & Neuroinflammation is an official journal of the American Academy of Neurology. Neurology: Neuroimmunology & Neuroinflammation will be the premier peer-reviewed journal in neuroimmunology and neuroinflammation. This journal publishes rigorously peer-reviewed open-access reports of original research and in-depth reviews of topics in neuroimmunology & neuroinflammation, affecting the full range of neurologic diseases including (but not limited to) Alzheimer's disease, Parkinson's disease, ALS, tauopathy, and stroke; multiple sclerosis and NMO; inflammatory peripheral nerve and muscle disease, Guillain-Barré and myasthenia gravis; nervous system infection; paraneoplastic syndromes, noninfectious encephalitides and other antibody-mediated disorders; and psychiatric and neurodevelopmental disorders. Clinical trials, instructive case reports, and small case series will also be featured.
×
引用
GB/T 7714-2015
复制
MLA
复制
APA
复制
导出至
BibTeX EndNote RefMan NoteFirst NoteExpress
×
提示
您的信息不完整,为了账户安全,请先补充。
现在去补充
×
提示
您因"违规操作"
具体请查看互助需知
我知道了
×
提示
确定
请完成安全验证×
copy
已复制链接
快去分享给好友吧!
我知道了
右上角分享
点击右上角分享
0
联系我们:info@booksci.cn Book学术提供免费学术资源搜索服务,方便国内外学者检索中英文文献。致力于提供最便捷和优质的服务体验。 Copyright © 2023 布克学术 All rights reserved.
京ICP备2023020795号-1
ghs 京公网安备 11010802042870号
Book学术文献互助
Book学术文献互助群
群 号:604180095
Book学术官方微信