Chiari畸形患者的头部位置和颈椎对准:一项回顾性病例对照研究。

IF 1.3 Q2 OTORHINOLARYNGOLOGY
Resul Karadeniz, Zeynep Dağlar, Emin Çağıl, Göksal Günerhan, Buse Sarıgül, Yılmaz Aslan, Ahmet Deniz Belen, Ali Dalgıç
{"title":"Chiari畸形患者的头部位置和颈椎对准:一项回顾性病例对照研究。","authors":"Resul Karadeniz, Zeynep Dağlar, Emin Çağıl, Göksal Günerhan, Buse Sarıgül, Yılmaz Aslan, Ahmet Deniz Belen, Ali Dalgıç","doi":"10.4103/jcvjs.jcvjs_164_24","DOIUrl":null,"url":null,"abstract":"<p><strong>Aim and background: </strong>This study aimed to investigate the relationship between cervical spinal alignment and the center of gravity (COG) of the head in patients with Chiari malformation (CM) compared to healthy individuals. CM is characterized by the herniation of posterior fossa structures through the foramen magnum, potentially affecting head positioning and craniovertebral junction biomechanics. Understanding these biomechanical changes is crucial for improving diagnostic and treatment strategies.</p><p><strong>Materials and methods: </strong>This retrospective study included 102 CM patients and 71 healthy controls. Radiological measurements were obtained from cervical X-rays, with seven reference points used to calculate angles related to head positioning and cervical curvature. Angular parameters, including cranial incidence (CI), cranial slope (CS), cranial tilt (CT), C7 slope (C7S), and spinocranial angle (SCA), were analyzed to determine correlations with the COG of the head. Statistical analyses were performed using <i>t</i>-tests, ROC analysis, and Pearson/Spearman correlation tests.</p><p><strong>Results: </strong>CM patients had significantly higher CI, CT, STT, and SCA angles compared to controls (<i>P</i> < 0.05), indicating an anterior displacement of the head's COG. The CS angle was lower in CM patients (<i>P</i> < 0.05), reflecting a more flexed head position. No significant differences were found in C7S and C2T angles between groups, suggesting similar cervical curvature. ROC analysis demonstrated high sensitivity and specificity of the angular measurements for diagnosing CM.</p><p><strong>Conclusion: </strong>CM patients exhibit distinct biomechanical alterations, including an anterior shift of the COG and a more flexed head position. These findings highlight the potential of angular measurements as noninvasive diagnostic tools for CM. Future studies should explore the implications of these biomechanical changes on CM progression and treatment outcomes.</p>","PeriodicalId":51721,"journal":{"name":"Journal of Craniovertebral Junction and Spine","volume":"15 4","pages":"460-466"},"PeriodicalIF":1.3000,"publicationDate":"2024-10-01","publicationTypes":"Journal Article","fieldsOfStudy":null,"isOpenAccess":false,"openAccessPdf":"https://www.ncbi.nlm.nih.gov/pmc/articles/PMC11888043/pdf/","citationCount":"0","resultStr":"{\"title\":\"The head position and cervical alignment in patients with Chiari malformation: A retrospective case-control study.\",\"authors\":\"Resul Karadeniz, Zeynep Dağlar, Emin Çağıl, Göksal Günerhan, Buse Sarıgül, Yılmaz Aslan, Ahmet Deniz Belen, Ali Dalgıç\",\"doi\":\"10.4103/jcvjs.jcvjs_164_24\",\"DOIUrl\":null,\"url\":null,\"abstract\":\"<p><strong>Aim and background: </strong>This study aimed to investigate the relationship between cervical spinal alignment and the center of gravity (COG) of the head in patients with Chiari malformation (CM) compared to healthy individuals. CM is characterized by the herniation of posterior fossa structures through the foramen magnum, potentially affecting head positioning and craniovertebral junction biomechanics. Understanding these biomechanical changes is crucial for improving diagnostic and treatment strategies.</p><p><strong>Materials and methods: </strong>This retrospective study included 102 CM patients and 71 healthy controls. Radiological measurements were obtained from cervical X-rays, with seven reference points used to calculate angles related to head positioning and cervical curvature. Angular parameters, including cranial incidence (CI), cranial slope (CS), cranial tilt (CT), C7 slope (C7S), and spinocranial angle (SCA), were analyzed to determine correlations with the COG of the head. Statistical analyses were performed using <i>t</i>-tests, ROC analysis, and Pearson/Spearman correlation tests.</p><p><strong>Results: </strong>CM patients had significantly higher CI, CT, STT, and SCA angles compared to controls (<i>P</i> < 0.05), indicating an anterior displacement of the head's COG. The CS angle was lower in CM patients (<i>P</i> < 0.05), reflecting a more flexed head position. No significant differences were found in C7S and C2T angles between groups, suggesting similar cervical curvature. ROC analysis demonstrated high sensitivity and specificity of the angular measurements for diagnosing CM.</p><p><strong>Conclusion: </strong>CM patients exhibit distinct biomechanical alterations, including an anterior shift of the COG and a more flexed head position. These findings highlight the potential of angular measurements as noninvasive diagnostic tools for CM. Future studies should explore the implications of these biomechanical changes on CM progression and treatment outcomes.</p>\",\"PeriodicalId\":51721,\"journal\":{\"name\":\"Journal of Craniovertebral Junction and Spine\",\"volume\":\"15 4\",\"pages\":\"460-466\"},\"PeriodicalIF\":1.3000,\"publicationDate\":\"2024-10-01\",\"publicationTypes\":\"Journal Article\",\"fieldsOfStudy\":null,\"isOpenAccess\":false,\"openAccessPdf\":\"https://www.ncbi.nlm.nih.gov/pmc/articles/PMC11888043/pdf/\",\"citationCount\":\"0\",\"resultStr\":null,\"platform\":\"Semanticscholar\",\"paperid\":null,\"PeriodicalName\":\"Journal of Craniovertebral Junction and Spine\",\"FirstCategoryId\":\"1085\",\"ListUrlMain\":\"https://doi.org/10.4103/jcvjs.jcvjs_164_24\",\"RegionNum\":0,\"RegionCategory\":null,\"ArticlePicture\":[],\"TitleCN\":null,\"AbstractTextCN\":null,\"PMCID\":null,\"EPubDate\":\"2025/1/15 0:00:00\",\"PubModel\":\"Epub\",\"JCR\":\"Q2\",\"JCRName\":\"OTORHINOLARYNGOLOGY\",\"Score\":null,\"Total\":0}","platform":"Semanticscholar","paperid":null,"PeriodicalName":"Journal of Craniovertebral Junction and Spine","FirstCategoryId":"1085","ListUrlMain":"https://doi.org/10.4103/jcvjs.jcvjs_164_24","RegionNum":0,"RegionCategory":null,"ArticlePicture":[],"TitleCN":null,"AbstractTextCN":null,"PMCID":null,"EPubDate":"2025/1/15 0:00:00","PubModel":"Epub","JCR":"Q2","JCRName":"OTORHINOLARYNGOLOGY","Score":null,"Total":0}
引用次数: 0

摘要

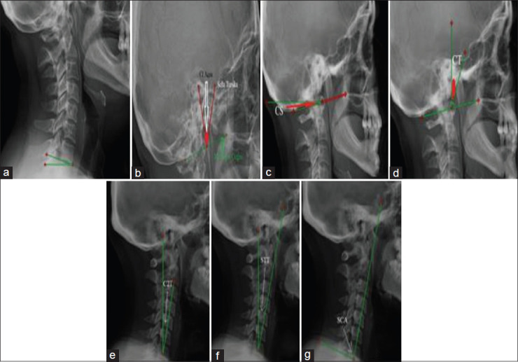
目的与背景:本研究旨在探讨Chiari畸形(CM)患者与健康人相比,颈椎直线与头部重心(COG)的关系。CM的特点是通过枕骨大孔后窝结构突出,可能影响头部定位和颅椎交界处的生物力学。了解这些生物力学变化对于改善诊断和治疗策略至关重要。材料与方法:回顾性研究纳入CM患者102例和健康对照71例。放射学测量通过颈椎x光片获得,有七个参考点用于计算与头部定位和颈椎曲度相关的角度。分析角度参数,包括颅发生率(CI),颅斜率(CS),颅倾斜(CT), C7斜率(C7S)和颅角(SCA),以确定与头部COG的相关性。采用t检验、ROC分析和Pearson/Spearman相关检验进行统计分析。结果:CM患者CI、CT、STT和SCA角度均明显高于对照组(P < 0.05),提示头部COG前移位。CM患者的CS角较低(P < 0.05),反映了头部位置更屈曲。各组C7S、C2T角度无明显差异,提示颈椎曲度相似。ROC分析显示,角度测量对CM的诊断具有很高的敏感性和特异性。结论:CM患者表现出明显的生物力学改变,包括COG前移和头部位置更屈曲。这些发现突出了角度测量作为CM非侵入性诊断工具的潜力。未来的研究应探讨这些生物力学变化对CM进展和治疗结果的影响。
本文章由计算机程序翻译,如有差异,请以英文原文为准。

The head position and cervical alignment in patients with Chiari malformation: A retrospective case-control study.

The head position and cervical alignment in patients with Chiari malformation: A retrospective case-control study.

The head position and cervical alignment in patients with Chiari malformation: A retrospective case-control study.

Aim and background: This study aimed to investigate the relationship between cervical spinal alignment and the center of gravity (COG) of the head in patients with Chiari malformation (CM) compared to healthy individuals. CM is characterized by the herniation of posterior fossa structures through the foramen magnum, potentially affecting head positioning and craniovertebral junction biomechanics. Understanding these biomechanical changes is crucial for improving diagnostic and treatment strategies.

Materials and methods: This retrospective study included 102 CM patients and 71 healthy controls. Radiological measurements were obtained from cervical X-rays, with seven reference points used to calculate angles related to head positioning and cervical curvature. Angular parameters, including cranial incidence (CI), cranial slope (CS), cranial tilt (CT), C7 slope (C7S), and spinocranial angle (SCA), were analyzed to determine correlations with the COG of the head. Statistical analyses were performed using t-tests, ROC analysis, and Pearson/Spearman correlation tests.

Results: CM patients had significantly higher CI, CT, STT, and SCA angles compared to controls (P < 0.05), indicating an anterior displacement of the head's COG. The CS angle was lower in CM patients (P < 0.05), reflecting a more flexed head position. No significant differences were found in C7S and C2T angles between groups, suggesting similar cervical curvature. ROC analysis demonstrated high sensitivity and specificity of the angular measurements for diagnosing CM.

Conclusion: CM patients exhibit distinct biomechanical alterations, including an anterior shift of the COG and a more flexed head position. These findings highlight the potential of angular measurements as noninvasive diagnostic tools for CM. Future studies should explore the implications of these biomechanical changes on CM progression and treatment outcomes.

求助全文
通过发布文献求助,成功后即可免费获取论文全文。 去求助
来源期刊
CiteScore
1.90
自引率
9.10%
发文量
57
审稿时长
12 weeks
×
引用
GB/T 7714-2015
复制
MLA
复制
APA
复制
导出至
BibTeX EndNote RefMan NoteFirst NoteExpress
×
提示
您的信息不完整,为了账户安全,请先补充。
现在去补充
×
提示
您因"违规操作"
具体请查看互助需知
我知道了
×
提示
确定
请完成安全验证×
copy
已复制链接
快去分享给好友吧!
我知道了
右上角分享
点击右上角分享
0
联系我们:info@booksci.cn Book学术提供免费学术资源搜索服务,方便国内外学者检索中英文文献。致力于提供最便捷和优质的服务体验。 Copyright © 2023 布克学术 All rights reserved.
京ICP备2023020795号-1
ghs 京公网安备 11010802042870号
Book学术文献互助
Book学术文献互助群
群 号:604180095
Book学术官方微信