局部进展期胃癌新辅助化疗后CD133和SOX2表达的预后价值

IF 1.6 4区 医学 Q4 ONCOLOGY
Yang Dong, Hailong Jin, Kankai Zhu, Chunhui Shou, Xiaosun Liu, Qing Zhang, Jiren Yu
{"title":"局部进展期胃癌新辅助化疗后CD133和SOX2表达的预后价值","authors":"Yang Dong,&nbsp;Hailong Jin,&nbsp;Kankai Zhu,&nbsp;Chunhui Shou,&nbsp;Xiaosun Liu,&nbsp;Qing Zhang,&nbsp;Jiren Yu","doi":"10.1111/ajco.14160","DOIUrl":null,"url":null,"abstract":"<div>\n \n \n <section>\n \n <h3> Background</h3>\n \n <p>To investigate the expression and associations of putative stem cell markers with survival in patients with locally advanced gastric cancer (GC) receiving neoadjuvant chemotherapy.</p>\n </section>\n \n <section>\n \n <h3> Methods</h3>\n \n <p>This study included 180 patients with locally advanced GC who received neoadjuvant chemotherapy and subsequent radical gastrectomy between June 2010 and December 2014. Surgical paraffin samples from the enrolled patients were collected. Tissue microarrays were used to detect the expression patterns of 10 putative stem cell markers; immunohistochemistry was used to evaluate the expression patterns of CD133 and SOX2 in GC and adjacent tissues. The prognostic values of these tumor markers for survival in GC were evaluated.</p>\n </section>\n \n <section>\n \n <h3> Results</h3>\n \n <p>Following adjustments for sex and age, high CD133 and SOX2 expression levels after neoadjuvant chemotherapy were associated with poor survival in GC patients (<i>p</i> = 0.012 and = 0.022, respectively). Subgroup analysis showed that CD133 and SOX2 expression levels in the T<sub>2–4</sub> population after neoadjuvant chemotherapy were negatively associated with survival in GC patients (<i>p</i> = 0.017 and 0.036, respectively). The BAX expression level in the N<sub>0</sub> population after neoadjuvant chemotherapy was positively associated with survival in GC patients (<i>p</i> = 0.045). In the N<sub>1+2+3</sub> population, a higher E-cadherin expression level after neoadjuvant chemotherapy was associated with longer survival among GC patients (<i>p</i> = 0.006).</p>\n </section>\n \n <section>\n \n <h3> Conclusions</h3>\n \n <p>The CD133 and SOX2 expression levels after neoadjuvant chemotherapy are independent predictors of survival in locally advanced GC patients receiving neoadjuvant chemotherapy, and higher CD133 and SOX2 expression levels were associated with lower mortality rates.</p>\n </section>\n </div>","PeriodicalId":8633,"journal":{"name":"Asia-Pacific journal of clinical oncology","volume":"21 4","pages":"425-432"},"PeriodicalIF":1.6000,"publicationDate":"2025-03-08","publicationTypes":"Journal Article","fieldsOfStudy":null,"isOpenAccess":false,"openAccessPdf":"https://onlinelibrary.wiley.com/doi/epdf/10.1111/ajco.14160","citationCount":"0","resultStr":"{\"title\":\"Prognostic Value of CD133 and SOX2 Expression After Neoadjuvant Chemotherapy in Patients With Locally Advanced Gastric Cancer\",\"authors\":\"Yang Dong,&nbsp;Hailong Jin,&nbsp;Kankai Zhu,&nbsp;Chunhui Shou,&nbsp;Xiaosun Liu,&nbsp;Qing Zhang,&nbsp;Jiren Yu\",\"doi\":\"10.1111/ajco.14160\",\"DOIUrl\":null,\"url\":null,\"abstract\":\"<div>\\n \\n \\n <section>\\n \\n <h3> Background</h3>\\n \\n <p>To investigate the expression and associations of putative stem cell markers with survival in patients with locally advanced gastric cancer (GC) receiving neoadjuvant chemotherapy.</p>\\n </section>\\n \\n <section>\\n \\n <h3> Methods</h3>\\n \\n <p>This study included 180 patients with locally advanced GC who received neoadjuvant chemotherapy and subsequent radical gastrectomy between June 2010 and December 2014. Surgical paraffin samples from the enrolled patients were collected. Tissue microarrays were used to detect the expression patterns of 10 putative stem cell markers; immunohistochemistry was used to evaluate the expression patterns of CD133 and SOX2 in GC and adjacent tissues. The prognostic values of these tumor markers for survival in GC were evaluated.</p>\\n </section>\\n \\n <section>\\n \\n <h3> Results</h3>\\n \\n <p>Following adjustments for sex and age, high CD133 and SOX2 expression levels after neoadjuvant chemotherapy were associated with poor survival in GC patients (<i>p</i> = 0.012 and = 0.022, respectively). Subgroup analysis showed that CD133 and SOX2 expression levels in the T<sub>2–4</sub> population after neoadjuvant chemotherapy were negatively associated with survival in GC patients (<i>p</i> = 0.017 and 0.036, respectively). The BAX expression level in the N<sub>0</sub> population after neoadjuvant chemotherapy was positively associated with survival in GC patients (<i>p</i> = 0.045). In the N<sub>1+2+3</sub> population, a higher E-cadherin expression level after neoadjuvant chemotherapy was associated with longer survival among GC patients (<i>p</i> = 0.006).</p>\\n </section>\\n \\n <section>\\n \\n <h3> Conclusions</h3>\\n \\n <p>The CD133 and SOX2 expression levels after neoadjuvant chemotherapy are independent predictors of survival in locally advanced GC patients receiving neoadjuvant chemotherapy, and higher CD133 and SOX2 expression levels were associated with lower mortality rates.</p>\\n </section>\\n </div>\",\"PeriodicalId\":8633,\"journal\":{\"name\":\"Asia-Pacific journal of clinical oncology\",\"volume\":\"21 4\",\"pages\":\"425-432\"},\"PeriodicalIF\":1.6000,\"publicationDate\":\"2025-03-08\",\"publicationTypes\":\"Journal Article\",\"fieldsOfStudy\":null,\"isOpenAccess\":false,\"openAccessPdf\":\"https://onlinelibrary.wiley.com/doi/epdf/10.1111/ajco.14160\",\"citationCount\":\"0\",\"resultStr\":null,\"platform\":\"Semanticscholar\",\"paperid\":null,\"PeriodicalName\":\"Asia-Pacific journal of clinical oncology\",\"FirstCategoryId\":\"3\",\"ListUrlMain\":\"https://onlinelibrary.wiley.com/doi/10.1111/ajco.14160\",\"RegionNum\":4,\"RegionCategory\":\"医学\",\"ArticlePicture\":[],\"TitleCN\":null,\"AbstractTextCN\":null,\"PMCID\":null,\"EPubDate\":\"\",\"PubModel\":\"\",\"JCR\":\"Q4\",\"JCRName\":\"ONCOLOGY\",\"Score\":null,\"Total\":0}","platform":"Semanticscholar","paperid":null,"PeriodicalName":"Asia-Pacific journal of clinical oncology","FirstCategoryId":"3","ListUrlMain":"https://onlinelibrary.wiley.com/doi/10.1111/ajco.14160","RegionNum":4,"RegionCategory":"医学","ArticlePicture":[],"TitleCN":null,"AbstractTextCN":null,"PMCID":null,"EPubDate":"","PubModel":"","JCR":"Q4","JCRName":"ONCOLOGY","Score":null,"Total":0}
引用次数: 0

摘要

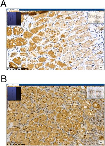
背景:探讨局部晚期胃癌(GC)接受新辅助化疗患者中干细胞标记物的表达及其与生存的关系。方法:本研究纳入2010年6月至2014年12月180例局部晚期胃癌患者,这些患者接受了新辅助化疗并随后进行了根治性胃切除术。收集入组患者的手术石蜡标本。使用组织微阵列检测10种假定的干细胞标记物的表达模式;免疫组化检测CD133和SOX2在胃癌及癌旁组织中的表达情况。评估这些肿瘤标志物对胃癌患者生存的预后价值。结果:在调整性别和年龄后,新辅助化疗后CD133和SOX2的高表达水平与GC患者的低生存率相关(p分别= 0.012和= 0.022)。亚组分析显示,新辅助化疗后T2-4人群中CD133和SOX2的表达水平与胃癌患者的生存呈负相关(p分别为0.017和0.036)。胃癌患者新辅助化疗后N0人群BAX表达水平与生存呈正相关(p = 0.045)。在N1+2+3人群中,新辅助化疗后较高的E-cadherin表达水平与GC患者较长的生存期相关(p = 0.006)。结论:新辅助化疗后CD133和SOX2表达水平是局部晚期胃癌患者接受新辅助化疗后生存的独立预测指标,CD133和SOX2表达水平高与死亡率低相关。
本文章由计算机程序翻译,如有差异,请以英文原文为准。

Prognostic Value of CD133 and SOX2 Expression After Neoadjuvant Chemotherapy in Patients With Locally Advanced Gastric Cancer

Prognostic Value of CD133 and SOX2 Expression After Neoadjuvant Chemotherapy in Patients With Locally Advanced Gastric Cancer

Background

To investigate the expression and associations of putative stem cell markers with survival in patients with locally advanced gastric cancer (GC) receiving neoadjuvant chemotherapy.

Methods

This study included 180 patients with locally advanced GC who received neoadjuvant chemotherapy and subsequent radical gastrectomy between June 2010 and December 2014. Surgical paraffin samples from the enrolled patients were collected. Tissue microarrays were used to detect the expression patterns of 10 putative stem cell markers; immunohistochemistry was used to evaluate the expression patterns of CD133 and SOX2 in GC and adjacent tissues. The prognostic values of these tumor markers for survival in GC were evaluated.

Results

Following adjustments for sex and age, high CD133 and SOX2 expression levels after neoadjuvant chemotherapy were associated with poor survival in GC patients (p = 0.012 and = 0.022, respectively). Subgroup analysis showed that CD133 and SOX2 expression levels in the T2–4 population after neoadjuvant chemotherapy were negatively associated with survival in GC patients (p = 0.017 and 0.036, respectively). The BAX expression level in the N0 population after neoadjuvant chemotherapy was positively associated with survival in GC patients (p = 0.045). In the N1+2+3 population, a higher E-cadherin expression level after neoadjuvant chemotherapy was associated with longer survival among GC patients (p = 0.006).

Conclusions

The CD133 and SOX2 expression levels after neoadjuvant chemotherapy are independent predictors of survival in locally advanced GC patients receiving neoadjuvant chemotherapy, and higher CD133 and SOX2 expression levels were associated with lower mortality rates.

求助全文
通过发布文献求助,成功后即可免费获取论文全文。 去求助
来源期刊
CiteScore
3.40
自引率
0.00%
发文量
175
审稿时长
6-12 weeks
期刊介绍: Asia–Pacific Journal of Clinical Oncology is a multidisciplinary journal of oncology that aims to be a forum for facilitating collaboration and exchanging information on what is happening in different countries of the Asia–Pacific region in relation to cancer treatment and care. The Journal is ideally positioned to receive publications that deal with diversity in cancer behavior, management and outcome related to ethnic, cultural, economic and other differences between populations. In addition to original articles, the Journal publishes reviews, editorials, letters to the Editor and short communications. Case reports are generally not considered for publication, only exceptional papers in which Editors find extraordinary oncological value may be considered for review. The Journal encourages clinical studies, particularly prospectively designed clinical trials.
×
引用
GB/T 7714-2015
复制
MLA
复制
APA
复制
导出至
BibTeX EndNote RefMan NoteFirst NoteExpress
×
提示
您的信息不完整,为了账户安全,请先补充。
现在去补充
×
提示
您因"违规操作"
具体请查看互助需知
我知道了
×
提示
确定
请完成安全验证×
copy
已复制链接
快去分享给好友吧!
我知道了
右上角分享
点击右上角分享
0
联系我们:info@booksci.cn Book学术提供免费学术资源搜索服务,方便国内外学者检索中英文文献。致力于提供最便捷和优质的服务体验。 Copyright © 2023 布克学术 All rights reserved.
京ICP备2023020795号-1
ghs 京公网安备 11010802042870号
Book学术文献互助
Book学术文献互助群
群 号:604180095
Book学术官方微信