产后自身免疫异常与免疫相关不良事件(irAE)的相似性:胎盘作为富含pd - l1的免疫耐受器官

IF 1.8 4区 生物学 Q4 CELL BIOLOGY
Acta Histochemica Et Cytochemica Pub Date : 2025-02-27 Epub Date: 2025-02-07 DOI:10.1267/ahc.24-00056EP
Riko Kitazawa, Sohei Kitazawa
{"title":"产后自身免疫异常与免疫相关不良事件(irAE)的相似性:胎盘作为富含pd - l1的免疫耐受器官","authors":"Riko Kitazawa, Sohei Kitazawa","doi":"10.1267/ahc.24-00056EP","DOIUrl":null,"url":null,"abstract":"<p><p>Immune tolerance is essential for safeguarding the body's own tissues from immune system attacks. During pregnancy, the maternal immune system tolerates the semi-allogeneic fetus through mechanisms such as placental programmed cell death 1 (PD-1)-ligand 1 (PD-L1) expression, regulatory T cells (Tregs), cytokine modulation, and hormonal changes. Placental PD-L1 is particularly important in suppressing maternal immune responses and preventing fetal rejection. Following delivery, the loss of the PD-L1-rich placenta can destabilize immune tolerance, potentially leading to postpartum autoimmune diseases such as fulminant type 1 diabetes, characterized by rapid insulin depletion and severe hyperglycemia. Similarly, immune checkpoint inhibitors (ICIs), widely used in cancer immunotherapy, block immune checkpoints like PD-1 and PD-L1 to enhance antitumor immunity by disrupting immunotolerance to tumors. However, this mechanism can sometimes result in immune-related adverse events (irAEs), including fulminant type 1 diabetes. Given the critical role of HLA haplotypes and environmental factors in the development of autoimmune conditions, identifying shared factors among postpartum individuals and patients undergoing ICI therapy who experience immune system abnormalities could provide valuable insights. Such understanding may improve strategies for managing autoimmune diseases associated with both postpartum immune changes and ICI treatments.</p>","PeriodicalId":6888,"journal":{"name":"Acta Histochemica Et Cytochemica","volume":"58 1","pages":"1-8"},"PeriodicalIF":1.8000,"publicationDate":"2025-02-27","publicationTypes":"Journal Article","fieldsOfStudy":null,"isOpenAccess":false,"openAccessPdf":"https://www.ncbi.nlm.nih.gov/pmc/articles/PMC11886596/pdf/","citationCount":"0","resultStr":"{\"title\":\"On the Similarity Between Postpartum Autoimmune Abnormalities and Immune-Related Adverse Events (irAE) by Immune Checkpoint Inhibitors (ICI): The Placenta as a PD-L1-Rich Immune-Tolerant Organ.\",\"authors\":\"Riko Kitazawa, Sohei Kitazawa\",\"doi\":\"10.1267/ahc.24-00056EP\",\"DOIUrl\":null,\"url\":null,\"abstract\":\"<p><p>Immune tolerance is essential for safeguarding the body's own tissues from immune system attacks. During pregnancy, the maternal immune system tolerates the semi-allogeneic fetus through mechanisms such as placental programmed cell death 1 (PD-1)-ligand 1 (PD-L1) expression, regulatory T cells (Tregs), cytokine modulation, and hormonal changes. Placental PD-L1 is particularly important in suppressing maternal immune responses and preventing fetal rejection. Following delivery, the loss of the PD-L1-rich placenta can destabilize immune tolerance, potentially leading to postpartum autoimmune diseases such as fulminant type 1 diabetes, characterized by rapid insulin depletion and severe hyperglycemia. Similarly, immune checkpoint inhibitors (ICIs), widely used in cancer immunotherapy, block immune checkpoints like PD-1 and PD-L1 to enhance antitumor immunity by disrupting immunotolerance to tumors. However, this mechanism can sometimes result in immune-related adverse events (irAEs), including fulminant type 1 diabetes. Given the critical role of HLA haplotypes and environmental factors in the development of autoimmune conditions, identifying shared factors among postpartum individuals and patients undergoing ICI therapy who experience immune system abnormalities could provide valuable insights. Such understanding may improve strategies for managing autoimmune diseases associated with both postpartum immune changes and ICI treatments.</p>\",\"PeriodicalId\":6888,\"journal\":{\"name\":\"Acta Histochemica Et Cytochemica\",\"volume\":\"58 1\",\"pages\":\"1-8\"},\"PeriodicalIF\":1.8000,\"publicationDate\":\"2025-02-27\",\"publicationTypes\":\"Journal Article\",\"fieldsOfStudy\":null,\"isOpenAccess\":false,\"openAccessPdf\":\"https://www.ncbi.nlm.nih.gov/pmc/articles/PMC11886596/pdf/\",\"citationCount\":\"0\",\"resultStr\":null,\"platform\":\"Semanticscholar\",\"paperid\":null,\"PeriodicalName\":\"Acta Histochemica Et Cytochemica\",\"FirstCategoryId\":\"99\",\"ListUrlMain\":\"https://doi.org/10.1267/ahc.24-00056EP\",\"RegionNum\":4,\"RegionCategory\":\"生物学\",\"ArticlePicture\":[],\"TitleCN\":null,\"AbstractTextCN\":null,\"PMCID\":null,\"EPubDate\":\"2025/2/7 0:00:00\",\"PubModel\":\"Epub\",\"JCR\":\"Q4\",\"JCRName\":\"CELL BIOLOGY\",\"Score\":null,\"Total\":0}","platform":"Semanticscholar","paperid":null,"PeriodicalName":"Acta Histochemica Et Cytochemica","FirstCategoryId":"99","ListUrlMain":"https://doi.org/10.1267/ahc.24-00056EP","RegionNum":4,"RegionCategory":"生物学","ArticlePicture":[],"TitleCN":null,"AbstractTextCN":null,"PMCID":null,"EPubDate":"2025/2/7 0:00:00","PubModel":"Epub","JCR":"Q4","JCRName":"CELL BIOLOGY","Score":null,"Total":0}
引用次数: 0

摘要

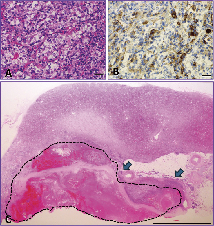
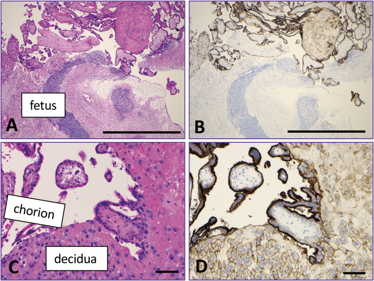
免疫耐受对于保护人体自身组织免受免疫系统攻击至关重要。在怀孕期间,母体免疫系统通过胎盘程序性细胞死亡 1(PD-1)-配体 1(PD-L1)表达、调节性 T 细胞(Tregs)、细胞因子调节和激素变化等机制来耐受半异体胎儿。胎盘 PD-L1 在抑制母体免疫反应和防止胎儿排斥反应方面尤为重要。分娩后,失去富含 PD-L1 的胎盘会破坏免疫耐受的稳定性,从而可能导致产后自身免疫性疾病,如以快速胰岛素耗竭和严重高血糖为特征的暴发性 1 型糖尿病。同样,广泛应用于癌症免疫疗法的免疫检查点抑制剂(ICIs)可阻断 PD-1 和 PD-L1 等免疫检查点,通过破坏对肿瘤的免疫耐受来增强抗肿瘤免疫力。然而,这种机制有时会导致免疫相关不良事件(irAEs),包括暴发性 1 型糖尿病。鉴于 HLA 单倍型和环境因素在自身免疫性疾病的发展中起着至关重要的作用,识别产后个体和接受 ICI 治疗的患者中出现免疫系统异常的共同因素可提供有价值的见解。这种认识可能会改善与产后免疫变化和 ICI 治疗相关的自身免疫性疾病的管理策略。
本文章由计算机程序翻译,如有差异,请以英文原文为准。

On the Similarity Between Postpartum Autoimmune Abnormalities and Immune-Related Adverse Events (irAE) by Immune Checkpoint Inhibitors (ICI): The Placenta as a PD-L1-Rich Immune-Tolerant Organ.

On the Similarity Between Postpartum Autoimmune Abnormalities and Immune-Related Adverse Events (irAE) by Immune Checkpoint Inhibitors (ICI): The Placenta as a PD-L1-Rich Immune-Tolerant Organ.

On the Similarity Between Postpartum Autoimmune Abnormalities and Immune-Related Adverse Events (irAE) by Immune Checkpoint Inhibitors (ICI): The Placenta as a PD-L1-Rich Immune-Tolerant Organ.

On the Similarity Between Postpartum Autoimmune Abnormalities and Immune-Related Adverse Events (irAE) by Immune Checkpoint Inhibitors (ICI): The Placenta as a PD-L1-Rich Immune-Tolerant Organ.

Immune tolerance is essential for safeguarding the body's own tissues from immune system attacks. During pregnancy, the maternal immune system tolerates the semi-allogeneic fetus through mechanisms such as placental programmed cell death 1 (PD-1)-ligand 1 (PD-L1) expression, regulatory T cells (Tregs), cytokine modulation, and hormonal changes. Placental PD-L1 is particularly important in suppressing maternal immune responses and preventing fetal rejection. Following delivery, the loss of the PD-L1-rich placenta can destabilize immune tolerance, potentially leading to postpartum autoimmune diseases such as fulminant type 1 diabetes, characterized by rapid insulin depletion and severe hyperglycemia. Similarly, immune checkpoint inhibitors (ICIs), widely used in cancer immunotherapy, block immune checkpoints like PD-1 and PD-L1 to enhance antitumor immunity by disrupting immunotolerance to tumors. However, this mechanism can sometimes result in immune-related adverse events (irAEs), including fulminant type 1 diabetes. Given the critical role of HLA haplotypes and environmental factors in the development of autoimmune conditions, identifying shared factors among postpartum individuals and patients undergoing ICI therapy who experience immune system abnormalities could provide valuable insights. Such understanding may improve strategies for managing autoimmune diseases associated with both postpartum immune changes and ICI treatments.

求助全文
通过发布文献求助,成功后即可免费获取论文全文。 去求助
来源期刊
Acta Histochemica Et Cytochemica
Acta Histochemica Et Cytochemica 生物-细胞生物学
CiteScore
3.50
自引率
8.30%
发文量
17
审稿时长
>12 weeks
期刊介绍: Acta Histochemica et Cytochemica is the official online journal of the Japan Society of Histochemistry and Cytochemistry. It is intended primarily for rapid publication of concise, original articles in the fields of histochemistry and cytochemistry. Manuscripts oriented towards methodological subjects that contain significant technical advances in these fields are also welcome. Manuscripts in English are accepted from investigators in any country, whether or not they are members of the Japan Society of Histochemistry and Cytochemistry. Manuscripts should be original work that has not been previously published and is not being considered for publication elsewhere, with the exception of abstracts. Manuscripts with essentially the same content as a paper that has been published or accepted, or is under consideration for publication, will not be considered. All submitted papers will be peer-reviewed by at least two referees selected by an appropriate Associate Editor. Acceptance is based on scientific significance, originality, and clarity. When required, a revised manuscript should be submitted within 3 months, otherwise it will be considered to be a new submission. The Editor-in-Chief will make all final decisions regarding acceptance.
×
引用
GB/T 7714-2015
复制
MLA
复制
APA
复制
导出至
BibTeX EndNote RefMan NoteFirst NoteExpress
×
提示
您的信息不完整,为了账户安全,请先补充。
现在去补充
×
提示
您因"违规操作"
具体请查看互助需知
我知道了
×
提示
确定
请完成安全验证×
copy
已复制链接
快去分享给好友吧!
我知道了
右上角分享
点击右上角分享
0
联系我们:info@booksci.cn Book学术提供免费学术资源搜索服务,方便国内外学者检索中英文文献。致力于提供最便捷和优质的服务体验。 Copyright © 2023 布克学术 All rights reserved.
京ICP备2023020795号-1
ghs 京公网安备 11010802042870号
Book学术文献互助
Book学术文献互助群
群 号:604180095
Book学术官方微信