彩色脉络膜病变的高分辨率光学相干断层扫描。

IF 2.4 Q2 OPHTHALMOLOGY
Damian Jaggi, Shalin G Aeberhard, Dmitri Artemiev, Martin S Zinkernagel, Florian M Heussen
{"title":"彩色脉络膜病变的高分辨率光学相干断层扫描。","authors":"Damian Jaggi, Shalin G Aeberhard, Dmitri Artemiev, Martin S Zinkernagel, Florian M Heussen","doi":"10.1186/s40942-025-00645-w","DOIUrl":null,"url":null,"abstract":"<p><strong>Purpose: </strong>Evaluating High-Resolution Optical Coherence Tomography (HR-OCT) versus standard spectral domain OCT in pigmented choroidal lesions.</p><p><strong>Methods: </strong>We screened a total of 40 subjects with pigmented choroidal lesions. Lesions were imaged on HR-OCT and standard OCT devices with and without enhanced depth imaging (EDI) mode. Images were graded for qualitative and quantitative aspects, like choriocapillaris compression and width, choroidal reflectivity and thickness, amongst others.</p><p><strong>Results: </strong>32 of the 40 subjects could be included in the image analysis, the rest were excluded due to insufficient imaging. HR-OCT EDI mode allowed visualization of the posterior choroidal extent in 11 lesions (11/32 = 34.4%) versus in six (6/32; 18.8%), four (4/30; 13.3%), and five cases (5/30; 16.7%) in normal HR-OCT (n = 32), standard OCT (n = 30) and OCT EDI mode (n = 30), respectively, albeit not significantly different. Choriocapillaris compression was evident in 10 cases on HR-OCT and equally visible in all imaging modes. Mean choriocapillaris thickness ranged from 11.6 to 13.9 microns (SD range 3.84-4.33), and compressed choriocapillaris thickness similarly ranged from a mean of 7.1 to 7.8 microns (SD range 2.20-3.55). Image quality declined significantly towards the periphery in three out of four modes (p = 0.0077 to p = 0.29).</p><p><strong>Conclusions: </strong>HR-OCT may provide better visibility of retinal and choroidal structures in pigmented choroidal lesions, although image quality is reduced in attempting to image peripheral lesions.</p><p><strong>Translational relevance: </strong>The prototype HR-OCT offers insights into clinical features of pigmented choroidal lesions that are not apparent on conventional OCT imaging. This supports the development of HR-OCTolution OCT devices.</p>","PeriodicalId":14289,"journal":{"name":"International Journal of Retina and Vitreous","volume":"11 1","pages":"22"},"PeriodicalIF":2.4000,"publicationDate":"2025-02-27","publicationTypes":"Journal Article","fieldsOfStudy":null,"isOpenAccess":false,"openAccessPdf":"https://www.ncbi.nlm.nih.gov/pmc/articles/PMC11866881/pdf/","citationCount":"0","resultStr":"{\"title\":\"High-resolution optical coherence tomography in pigmented choroidal lesions.\",\"authors\":\"Damian Jaggi, Shalin G Aeberhard, Dmitri Artemiev, Martin S Zinkernagel, Florian M Heussen\",\"doi\":\"10.1186/s40942-025-00645-w\",\"DOIUrl\":null,\"url\":null,\"abstract\":\"<p><strong>Purpose: </strong>Evaluating High-Resolution Optical Coherence Tomography (HR-OCT) versus standard spectral domain OCT in pigmented choroidal lesions.</p><p><strong>Methods: </strong>We screened a total of 40 subjects with pigmented choroidal lesions. Lesions were imaged on HR-OCT and standard OCT devices with and without enhanced depth imaging (EDI) mode. Images were graded for qualitative and quantitative aspects, like choriocapillaris compression and width, choroidal reflectivity and thickness, amongst others.</p><p><strong>Results: </strong>32 of the 40 subjects could be included in the image analysis, the rest were excluded due to insufficient imaging. HR-OCT EDI mode allowed visualization of the posterior choroidal extent in 11 lesions (11/32 = 34.4%) versus in six (6/32; 18.8%), four (4/30; 13.3%), and five cases (5/30; 16.7%) in normal HR-OCT (n = 32), standard OCT (n = 30) and OCT EDI mode (n = 30), respectively, albeit not significantly different. Choriocapillaris compression was evident in 10 cases on HR-OCT and equally visible in all imaging modes. Mean choriocapillaris thickness ranged from 11.6 to 13.9 microns (SD range 3.84-4.33), and compressed choriocapillaris thickness similarly ranged from a mean of 7.1 to 7.8 microns (SD range 2.20-3.55). Image quality declined significantly towards the periphery in three out of four modes (p = 0.0077 to p = 0.29).</p><p><strong>Conclusions: </strong>HR-OCT may provide better visibility of retinal and choroidal structures in pigmented choroidal lesions, although image quality is reduced in attempting to image peripheral lesions.</p><p><strong>Translational relevance: </strong>The prototype HR-OCT offers insights into clinical features of pigmented choroidal lesions that are not apparent on conventional OCT imaging. This supports the development of HR-OCTolution OCT devices.</p>\",\"PeriodicalId\":14289,\"journal\":{\"name\":\"International Journal of Retina and Vitreous\",\"volume\":\"11 1\",\"pages\":\"22\"},\"PeriodicalIF\":2.4000,\"publicationDate\":\"2025-02-27\",\"publicationTypes\":\"Journal Article\",\"fieldsOfStudy\":null,\"isOpenAccess\":false,\"openAccessPdf\":\"https://www.ncbi.nlm.nih.gov/pmc/articles/PMC11866881/pdf/\",\"citationCount\":\"0\",\"resultStr\":null,\"platform\":\"Semanticscholar\",\"paperid\":null,\"PeriodicalName\":\"International Journal of Retina and Vitreous\",\"FirstCategoryId\":\"1085\",\"ListUrlMain\":\"https://doi.org/10.1186/s40942-025-00645-w\",\"RegionNum\":0,\"RegionCategory\":null,\"ArticlePicture\":[],\"TitleCN\":null,\"AbstractTextCN\":null,\"PMCID\":null,\"EPubDate\":\"\",\"PubModel\":\"\",\"JCR\":\"Q2\",\"JCRName\":\"OPHTHALMOLOGY\",\"Score\":null,\"Total\":0}","platform":"Semanticscholar","paperid":null,"PeriodicalName":"International Journal of Retina and Vitreous","FirstCategoryId":"1085","ListUrlMain":"https://doi.org/10.1186/s40942-025-00645-w","RegionNum":0,"RegionCategory":null,"ArticlePicture":[],"TitleCN":null,"AbstractTextCN":null,"PMCID":null,"EPubDate":"","PubModel":"","JCR":"Q2","JCRName":"OPHTHALMOLOGY","Score":null,"Total":0}
引用次数: 0

摘要

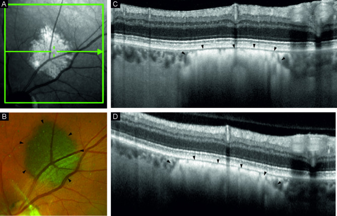
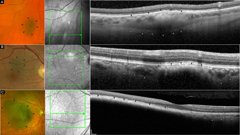
目的:评估高分辨率光学相干断层扫描(HR-OCT)与标准光谱域 OCT 在色素性脉络膜病变中的应用:我们共筛查了40名患有色素性脉络膜病变的受试者。我们用HR-OCT和标准OCT设备对病变部位进行了成像,包括增强深度成像(EDI)模式和非增强深度成像(EDI)模式。对图像进行定性和定量分级,如脉络膜压缩和宽度、脉络膜反射率和厚度等:结果:40 名受试者中有 32 名可以进行图像分析,其余受试者因成像不足而被排除在外。HR-OCT EDI模式可观察到11个病变(11/32 = 34.4%)的脉络膜后部范围,而正常HR-OCT(n = 32)、标准OCT(n = 30)和OCT EDI模式(n = 30)分别有6个病例(6/32;18.8%)、4个病例(4/30;13.3%)和5个病例(5/30;16.7%)可观察到脉络膜后部范围,尽管差异不大。10例患者在HR-OCT上出现明显的绒毛膜压缩,在所有成像模式下同样可见。平均绒毛膜厚度为 11.6 至 13.9 微米(标清范围为 3.84 至 4.33),压缩的绒毛膜厚度同样为平均 7.1 至 7.8 微米(标清范围为 2.20 至 3.55)。在四种模式中,有三种模式的图像质量向周边明显下降(p = 0.0077 至 p = 0.29):结论:HR-OCT可以更好地显示色素性脉络膜病变中的视网膜和脉络膜结构,但在尝试对周边病变成像时,图像质量会下降:HR-OCT原型可深入了解色素性脉络膜病变的临床特征,而这些特征在传统的OCT成像中并不明显。这支持了HR-OCTolution OCT设备的开发。
本文章由计算机程序翻译,如有差异,请以英文原文为准。

High-resolution optical coherence tomography in pigmented choroidal lesions.

High-resolution optical coherence tomography in pigmented choroidal lesions.

High-resolution optical coherence tomography in pigmented choroidal lesions.

High-resolution optical coherence tomography in pigmented choroidal lesions.

Purpose: Evaluating High-Resolution Optical Coherence Tomography (HR-OCT) versus standard spectral domain OCT in pigmented choroidal lesions.

Methods: We screened a total of 40 subjects with pigmented choroidal lesions. Lesions were imaged on HR-OCT and standard OCT devices with and without enhanced depth imaging (EDI) mode. Images were graded for qualitative and quantitative aspects, like choriocapillaris compression and width, choroidal reflectivity and thickness, amongst others.

Results: 32 of the 40 subjects could be included in the image analysis, the rest were excluded due to insufficient imaging. HR-OCT EDI mode allowed visualization of the posterior choroidal extent in 11 lesions (11/32 = 34.4%) versus in six (6/32; 18.8%), four (4/30; 13.3%), and five cases (5/30; 16.7%) in normal HR-OCT (n = 32), standard OCT (n = 30) and OCT EDI mode (n = 30), respectively, albeit not significantly different. Choriocapillaris compression was evident in 10 cases on HR-OCT and equally visible in all imaging modes. Mean choriocapillaris thickness ranged from 11.6 to 13.9 microns (SD range 3.84-4.33), and compressed choriocapillaris thickness similarly ranged from a mean of 7.1 to 7.8 microns (SD range 2.20-3.55). Image quality declined significantly towards the periphery in three out of four modes (p = 0.0077 to p = 0.29).

Conclusions: HR-OCT may provide better visibility of retinal and choroidal structures in pigmented choroidal lesions, although image quality is reduced in attempting to image peripheral lesions.

Translational relevance: The prototype HR-OCT offers insights into clinical features of pigmented choroidal lesions that are not apparent on conventional OCT imaging. This supports the development of HR-OCTolution OCT devices.

求助全文
通过发布文献求助,成功后即可免费获取论文全文。 去求助
来源期刊
CiteScore
3.50
自引率
4.30%
发文量
81
审稿时长
19 weeks
期刊介绍: International Journal of Retina and Vitreous focuses on the ophthalmic subspecialty of vitreoretinal disorders. The journal presents original articles on new approaches to diagnosis, outcomes of clinical trials, innovations in pharmacological therapy and surgical techniques, as well as basic science advances that impact clinical practice. Topical areas include, but are not limited to: -Imaging of the retina, choroid and vitreous -Innovations in optical coherence tomography (OCT) -Small-gauge vitrectomy, retinal detachment, chromovitrectomy -Electroretinography (ERG), microperimetry, other functional tests -Intraocular tumors -Retinal pharmacotherapy & drug delivery -Diabetic retinopathy & other vascular diseases -Age-related macular degeneration (AMD) & other macular entities
×
引用
GB/T 7714-2015
复制
MLA
复制
APA
复制
导出至
BibTeX EndNote RefMan NoteFirst NoteExpress
×
提示
您的信息不完整,为了账户安全,请先补充。
现在去补充
×
提示
您因"违规操作"
具体请查看互助需知
我知道了
×
提示
确定
请完成安全验证×
copy
已复制链接
快去分享给好友吧!
我知道了
右上角分享
点击右上角分享
0
联系我们:info@booksci.cn Book学术提供免费学术资源搜索服务,方便国内外学者检索中英文文献。致力于提供最便捷和优质的服务体验。 Copyright © 2023 布克学术 All rights reserved.
京ICP备2023020795号-1
ghs 京公网安备 11010802042870号
Book学术文献互助
Book学术文献互助群
群 号:604180095
Book学术官方微信