经阴道三维超声检查12-14孕周高危妊娠胎儿脑幕上结构畸形的详细分析。

IF 1.6 Q3 RADIOLOGY, NUCLEAR MEDICINE & MEDICAL IMAGING
Ultrasound International Open Pub Date : 2024-12-16 eCollection Date: 2024-01-01 DOI:10.1055/a-2422-8443
Reinhard Altmann, Iris Scharnreitner, Sabine Enengl, Patrick Stelzl, Peter Oppelt, Elisabeth Reiter
{"title":"经阴道三维超声检查12-14孕周高危妊娠胎儿脑幕上结构畸形的详细分析。","authors":"Reinhard Altmann, Iris Scharnreitner, Sabine Enengl, Patrick Stelzl, Peter Oppelt, Elisabeth Reiter","doi":"10.1055/a-2422-8443","DOIUrl":null,"url":null,"abstract":"<p><p><b>Purpose</b>   To detect sonographic abnormalities of the supratentorial structures of the brain - future cavum septum pellucidum, cavum velum interpositum, third ventricle, ganglionic eminence and thalamus/hypothalamus - in fetuses with a crown-rump length of 45-84 mm in high-risk pregnancies. <b>Materials and Methods</b>   This study presents the retrospective analysis of transvaginally recorded 3D volumes of the fetal brain of 64 fetuses whose mothers consulted our ambulatory department for fetomaternal medicine for organic and/or genetic changes of their fetuses at GW 12-14. For this study we selected fetuses with 3D volume blocks of the fetal brain at best sonographic quality enabling detailed analysis and measurement of the supratentorial brain structures to correlate the results with the results of genetic analysis, ultrasound controls in later weeks of pregnancy, and fetal outcome. <b>Results</b>   Of 44 fetuses with genetic changes and 20 fetuses with syndromic changes, structural brain changes were found in 27 fetuses, analyzed by correlating the brain structures with the recently published structures of the brain at gestational week 12-14 in early pregnancy, presenting new details of early pathological brain development - migration disorders, milder variants of holoprosencephaly (lobar, MIH), corpus callosum agenesis, for the first time in early pregnancy. <b>Conclusion</b>   Supratentorial defects of the brain can be detected and analyzed in GW 12-14 in detail by direct analysis of sonopathology and visualization of pathological measurements using transvaginal 3D sonography in high quality.</p>","PeriodicalId":44852,"journal":{"name":"Ultrasound International Open","volume":"10 ","pages":"a24228443"},"PeriodicalIF":1.6000,"publicationDate":"2024-12-16","publicationTypes":"Journal Article","fieldsOfStudy":null,"isOpenAccess":false,"openAccessPdf":"https://www.ncbi.nlm.nih.gov/pmc/articles/PMC11863995/pdf/","citationCount":"0","resultStr":"{\"title\":\"Detailed Analysis of Fetal Malformations of the Supratentorial Structures of the Brain in High-Risk Pregnancies at 12-14 Gestational Weeks by Transvaginal 3D Ultrasound Examination.\",\"authors\":\"Reinhard Altmann, Iris Scharnreitner, Sabine Enengl, Patrick Stelzl, Peter Oppelt, Elisabeth Reiter\",\"doi\":\"10.1055/a-2422-8443\",\"DOIUrl\":null,\"url\":null,\"abstract\":\"<p><p><b>Purpose</b>   To detect sonographic abnormalities of the supratentorial structures of the brain - future cavum septum pellucidum, cavum velum interpositum, third ventricle, ganglionic eminence and thalamus/hypothalamus - in fetuses with a crown-rump length of 45-84 mm in high-risk pregnancies. <b>Materials and Methods</b>   This study presents the retrospective analysis of transvaginally recorded 3D volumes of the fetal brain of 64 fetuses whose mothers consulted our ambulatory department for fetomaternal medicine for organic and/or genetic changes of their fetuses at GW 12-14. For this study we selected fetuses with 3D volume blocks of the fetal brain at best sonographic quality enabling detailed analysis and measurement of the supratentorial brain structures to correlate the results with the results of genetic analysis, ultrasound controls in later weeks of pregnancy, and fetal outcome. <b>Results</b>   Of 44 fetuses with genetic changes and 20 fetuses with syndromic changes, structural brain changes were found in 27 fetuses, analyzed by correlating the brain structures with the recently published structures of the brain at gestational week 12-14 in early pregnancy, presenting new details of early pathological brain development - migration disorders, milder variants of holoprosencephaly (lobar, MIH), corpus callosum agenesis, for the first time in early pregnancy. <b>Conclusion</b>   Supratentorial defects of the brain can be detected and analyzed in GW 12-14 in detail by direct analysis of sonopathology and visualization of pathological measurements using transvaginal 3D sonography in high quality.</p>\",\"PeriodicalId\":44852,\"journal\":{\"name\":\"Ultrasound International Open\",\"volume\":\"10 \",\"pages\":\"a24228443\"},\"PeriodicalIF\":1.6000,\"publicationDate\":\"2024-12-16\",\"publicationTypes\":\"Journal Article\",\"fieldsOfStudy\":null,\"isOpenAccess\":false,\"openAccessPdf\":\"https://www.ncbi.nlm.nih.gov/pmc/articles/PMC11863995/pdf/\",\"citationCount\":\"0\",\"resultStr\":null,\"platform\":\"Semanticscholar\",\"paperid\":null,\"PeriodicalName\":\"Ultrasound International Open\",\"FirstCategoryId\":\"1085\",\"ListUrlMain\":\"https://doi.org/10.1055/a-2422-8443\",\"RegionNum\":0,\"RegionCategory\":null,\"ArticlePicture\":[],\"TitleCN\":null,\"AbstractTextCN\":null,\"PMCID\":null,\"EPubDate\":\"2024/1/1 0:00:00\",\"PubModel\":\"eCollection\",\"JCR\":\"Q3\",\"JCRName\":\"RADIOLOGY, NUCLEAR MEDICINE & MEDICAL IMAGING\",\"Score\":null,\"Total\":0}","platform":"Semanticscholar","paperid":null,"PeriodicalName":"Ultrasound International Open","FirstCategoryId":"1085","ListUrlMain":"https://doi.org/10.1055/a-2422-8443","RegionNum":0,"RegionCategory":null,"ArticlePicture":[],"TitleCN":null,"AbstractTextCN":null,"PMCID":null,"EPubDate":"2024/1/1 0:00:00","PubModel":"eCollection","JCR":"Q3","JCRName":"RADIOLOGY, NUCLEAR MEDICINE & MEDICAL IMAGING","Score":null,"Total":0}
引用次数: 0

摘要

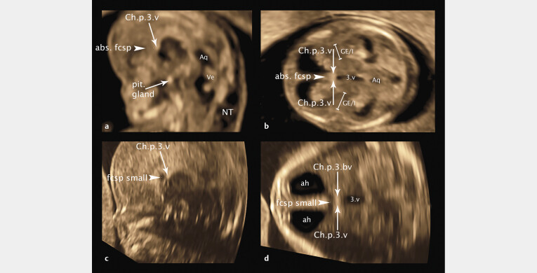
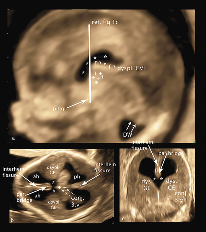
目的探讨高危妊娠冠臀长度为45 ~ 84 mm胎儿的幕上结构——未来透明隔腔、间腔、第三脑室、神经节隆起和丘脑/下丘脑的超声异常。材料和方法本研究回顾性分析了64例胎儿经阴道记录的胎儿脑3D体积,这些胎儿的母亲在GW 12-14期间因胎儿的有机和/或遗传变化向我们的门诊就诊。在这项研究中,我们选择了具有最佳超声质量的胎儿脑3D体积块的胎儿,以便对幕上脑结构进行详细分析和测量,并将结果与遗传分析结果、妊娠后期超声控制和胎儿结局相关联。结果在44例遗传改变胎儿和20例综合征改变胎儿中,27例胎儿发现脑结构改变,并将脑结构与近期发表的妊娠早期12-14周脑结构进行对比分析,首次揭示了早期病理性脑发育的新细节——迁移障碍、轻度前脑畸形(大叶畸形、MIH)、胼胝体发育不全。结论经阴道三维超声可通过直接超声病理分析和病理结果可视化,高质量地检测和分析GW 12-14脑幕上缺损。
本文章由计算机程序翻译,如有差异,请以英文原文为准。

Detailed Analysis of Fetal Malformations of the Supratentorial Structures of the Brain in High-Risk Pregnancies at 12-14 Gestational Weeks by Transvaginal 3D Ultrasound Examination.

Detailed Analysis of Fetal Malformations of the Supratentorial Structures of the Brain in High-Risk Pregnancies at 12-14 Gestational Weeks by Transvaginal 3D Ultrasound Examination.

Detailed Analysis of Fetal Malformations of the Supratentorial Structures of the Brain in High-Risk Pregnancies at 12-14 Gestational Weeks by Transvaginal 3D Ultrasound Examination.

Detailed Analysis of Fetal Malformations of the Supratentorial Structures of the Brain in High-Risk Pregnancies at 12-14 Gestational Weeks by Transvaginal 3D Ultrasound Examination.

Purpose   To detect sonographic abnormalities of the supratentorial structures of the brain - future cavum septum pellucidum, cavum velum interpositum, third ventricle, ganglionic eminence and thalamus/hypothalamus - in fetuses with a crown-rump length of 45-84 mm in high-risk pregnancies. Materials and Methods   This study presents the retrospective analysis of transvaginally recorded 3D volumes of the fetal brain of 64 fetuses whose mothers consulted our ambulatory department for fetomaternal medicine for organic and/or genetic changes of their fetuses at GW 12-14. For this study we selected fetuses with 3D volume blocks of the fetal brain at best sonographic quality enabling detailed analysis and measurement of the supratentorial brain structures to correlate the results with the results of genetic analysis, ultrasound controls in later weeks of pregnancy, and fetal outcome. Results   Of 44 fetuses with genetic changes and 20 fetuses with syndromic changes, structural brain changes were found in 27 fetuses, analyzed by correlating the brain structures with the recently published structures of the brain at gestational week 12-14 in early pregnancy, presenting new details of early pathological brain development - migration disorders, milder variants of holoprosencephaly (lobar, MIH), corpus callosum agenesis, for the first time in early pregnancy. Conclusion   Supratentorial defects of the brain can be detected and analyzed in GW 12-14 in detail by direct analysis of sonopathology and visualization of pathological measurements using transvaginal 3D sonography in high quality.

求助全文
通过发布文献求助,成功后即可免费获取论文全文。 去求助
来源期刊
Ultrasound International Open
Ultrasound International Open RADIOLOGY, NUCLEAR MEDICINE & MEDICAL IMAGING-
CiteScore
3.00
自引率
0.00%
发文量
7
审稿时长
12 weeks
×
引用
GB/T 7714-2015
复制
MLA
复制
APA
复制
导出至
BibTeX EndNote RefMan NoteFirst NoteExpress
×
提示
您的信息不完整,为了账户安全,请先补充。
现在去补充
×
提示
您因"违规操作"
具体请查看互助需知
我知道了
×
提示
确定
请完成安全验证×
copy
已复制链接
快去分享给好友吧!
我知道了
右上角分享
点击右上角分享
0
联系我们:info@booksci.cn Book学术提供免费学术资源搜索服务,方便国内外学者检索中英文文献。致力于提供最便捷和优质的服务体验。 Copyright © 2023 布克学术 All rights reserved.
京ICP备2023020795号-1
ghs 京公网安备 11010802042870号
Book学术文献互助
Book学术文献互助群
群 号:604180095
Book学术官方微信