三明治型双层羊膜移植修复儿童近视黄斑孔相关性视网膜脱离。

Q3 Medicine
Omer Othman Abdullah, Ece Özdemir Zeydanlı, Şengül Özdek
{"title":"三明治型双层羊膜移植修复儿童近视黄斑孔相关性视网膜脱离。","authors":"Omer Othman Abdullah, Ece Özdemir Zeydanlı, Şengül Özdek","doi":"10.4274/tjo.galenos.2025.15675","DOIUrl":null,"url":null,"abstract":"<p><p>This case report describes a surgical technique using double-layer human amniotic membrane (hAM) grafting to repair a high myopic macular hole (MH)-related chronic retinal detachment (RD) with subretinal bands in a child with Knobloch syndrome. A 4-year-old boy diagnosed with Knobloch syndrome presented with macular atrophy in the right eye and chronic total RD with subretinal bands associated with a myopic MH in the left eye. The surgery involved an encircling band, pars plana vitrectomy, and subretinal band extraction through a retinotomy. The retinotomy and MH were sealed using hAM with a 5000 centistoke (cS) silicone oil (SO) tamponade. RD recurred two weeks postoperatively due to hAM contracture, leading to MH reopening. A second intervention included replacing the contracted graft with two larger hAM grafts; the first positioned under the MH and the second over the MH in a sandwich configuration, with 5000 cS SO tamponade. Eighteen months after SO removal, a flat retina, closed MH, and ambulatory vision were achieved. In conclusion, double-layer hAM grafting provides a strong seal for MH in high myopia-associated RD where conventional techniques fail.</p>","PeriodicalId":23373,"journal":{"name":"Turkish Journal of Ophthalmology","volume":"55 1","pages":"57-60"},"PeriodicalIF":0.0000,"publicationDate":"2025-02-27","publicationTypes":"Journal Article","fieldsOfStudy":null,"isOpenAccess":false,"openAccessPdf":"https://www.ncbi.nlm.nih.gov/pmc/articles/PMC11866983/pdf/","citationCount":"0","resultStr":"{\"title\":\"A Sandwich-Type Double-Layer Amniotic Membrane Graft for Repairing Myopic Macular Hole-Related Retinal Detachment in a Child with Knobloch Syndrome.\",\"authors\":\"Omer Othman Abdullah, Ece Özdemir Zeydanlı, Şengül Özdek\",\"doi\":\"10.4274/tjo.galenos.2025.15675\",\"DOIUrl\":null,\"url\":null,\"abstract\":\"<p><p>This case report describes a surgical technique using double-layer human amniotic membrane (hAM) grafting to repair a high myopic macular hole (MH)-related chronic retinal detachment (RD) with subretinal bands in a child with Knobloch syndrome. A 4-year-old boy diagnosed with Knobloch syndrome presented with macular atrophy in the right eye and chronic total RD with subretinal bands associated with a myopic MH in the left eye. The surgery involved an encircling band, pars plana vitrectomy, and subretinal band extraction through a retinotomy. The retinotomy and MH were sealed using hAM with a 5000 centistoke (cS) silicone oil (SO) tamponade. RD recurred two weeks postoperatively due to hAM contracture, leading to MH reopening. A second intervention included replacing the contracted graft with two larger hAM grafts; the first positioned under the MH and the second over the MH in a sandwich configuration, with 5000 cS SO tamponade. Eighteen months after SO removal, a flat retina, closed MH, and ambulatory vision were achieved. In conclusion, double-layer hAM grafting provides a strong seal for MH in high myopia-associated RD where conventional techniques fail.</p>\",\"PeriodicalId\":23373,\"journal\":{\"name\":\"Turkish Journal of Ophthalmology\",\"volume\":\"55 1\",\"pages\":\"57-60\"},\"PeriodicalIF\":0.0000,\"publicationDate\":\"2025-02-27\",\"publicationTypes\":\"Journal Article\",\"fieldsOfStudy\":null,\"isOpenAccess\":false,\"openAccessPdf\":\"https://www.ncbi.nlm.nih.gov/pmc/articles/PMC11866983/pdf/\",\"citationCount\":\"0\",\"resultStr\":null,\"platform\":\"Semanticscholar\",\"paperid\":null,\"PeriodicalName\":\"Turkish Journal of Ophthalmology\",\"FirstCategoryId\":\"1085\",\"ListUrlMain\":\"https://doi.org/10.4274/tjo.galenos.2025.15675\",\"RegionNum\":0,\"RegionCategory\":null,\"ArticlePicture\":[],\"TitleCN\":null,\"AbstractTextCN\":null,\"PMCID\":null,\"EPubDate\":\"\",\"PubModel\":\"\",\"JCR\":\"Q3\",\"JCRName\":\"Medicine\",\"Score\":null,\"Total\":0}","platform":"Semanticscholar","paperid":null,"PeriodicalName":"Turkish Journal of Ophthalmology","FirstCategoryId":"1085","ListUrlMain":"https://doi.org/10.4274/tjo.galenos.2025.15675","RegionNum":0,"RegionCategory":null,"ArticlePicture":[],"TitleCN":null,"AbstractTextCN":null,"PMCID":null,"EPubDate":"","PubModel":"","JCR":"Q3","JCRName":"Medicine","Score":null,"Total":0}
引用次数: 0

摘要

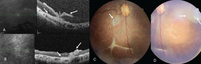
本病例报告描述了一种手术技术,采用双层人羊膜(hAM)移植修复高度近视黄斑孔(MH)相关的慢性视网膜脱离(RD),并伴有视网膜下带。一个4岁的男孩被诊断为诺布洛赫综合征,表现为右眼黄斑萎缩和慢性全RD,视网膜下带与左眼近视MH相关。手术包括围带、玻璃体切割、视网膜下带切除。视网膜切开术和MH用火腿与5000厘米(cS)硅油(SO)填塞密封。术后2周,由于火腿挛缩,RD复发,导致MH重新开放。第二次干预包括用两个更大的hAM移植物代替收缩的移植物;第一个位于MH下方,第二个位于MH上方,采用夹心结构,用5000 cso填塞。切除SO 18个月后,视网膜平整,MH闭合,移动视力达到。总之,双层火腿移植为高度近视相关RD的MH提供了强大的密封,而传统技术无法做到这一点。
本文章由计算机程序翻译,如有差异,请以英文原文为准。

A Sandwich-Type Double-Layer Amniotic Membrane Graft for Repairing Myopic Macular Hole-Related Retinal Detachment in a Child with Knobloch Syndrome.

A Sandwich-Type Double-Layer Amniotic Membrane Graft for Repairing Myopic Macular Hole-Related Retinal Detachment in a Child with Knobloch Syndrome.

A Sandwich-Type Double-Layer Amniotic Membrane Graft for Repairing Myopic Macular Hole-Related Retinal Detachment in a Child with Knobloch Syndrome.

This case report describes a surgical technique using double-layer human amniotic membrane (hAM) grafting to repair a high myopic macular hole (MH)-related chronic retinal detachment (RD) with subretinal bands in a child with Knobloch syndrome. A 4-year-old boy diagnosed with Knobloch syndrome presented with macular atrophy in the right eye and chronic total RD with subretinal bands associated with a myopic MH in the left eye. The surgery involved an encircling band, pars plana vitrectomy, and subretinal band extraction through a retinotomy. The retinotomy and MH were sealed using hAM with a 5000 centistoke (cS) silicone oil (SO) tamponade. RD recurred two weeks postoperatively due to hAM contracture, leading to MH reopening. A second intervention included replacing the contracted graft with two larger hAM grafts; the first positioned under the MH and the second over the MH in a sandwich configuration, with 5000 cS SO tamponade. Eighteen months after SO removal, a flat retina, closed MH, and ambulatory vision were achieved. In conclusion, double-layer hAM grafting provides a strong seal for MH in high myopia-associated RD where conventional techniques fail.

求助全文
通过发布文献求助,成功后即可免费获取论文全文。 去求助
来源期刊
Turkish Journal of Ophthalmology
Turkish Journal of Ophthalmology Medicine-Ophthalmology
CiteScore
2.20
自引率
0.00%
发文量
0
期刊介绍: The Turkish Journal of Ophthalmology (TJO) is the only scientific periodical publication of the Turkish Ophthalmological Association and has been published since January 1929. In its early years, the journal was published in Turkish and French. Although there were temporary interruptions in the publication of the journal due to various challenges, the Turkish Journal of Ophthalmology has been published continually from 1971 to the present. The target audience includes specialists and physicians in training in ophthalmology in all relevant disciplines.
×
引用
GB/T 7714-2015
复制
MLA
复制
APA
复制
导出至
BibTeX EndNote RefMan NoteFirst NoteExpress
×
提示
您的信息不完整,为了账户安全,请先补充。
现在去补充
×
提示
您因"违规操作"
具体请查看互助需知
我知道了
×
提示
确定
请完成安全验证×
copy
已复制链接
快去分享给好友吧!
我知道了
右上角分享
点击右上角分享
0
联系我们:info@booksci.cn Book学术提供免费学术资源搜索服务,方便国内外学者检索中英文文献。致力于提供最便捷和优质的服务体验。 Copyright © 2023 布克学术 All rights reserved.
京ICP备2023020795号-1
ghs 京公网安备 11010802042870号
Book学术文献互助
Book学术文献互助群
群 号:604180095
Book学术官方微信