不同硬度硅胶植入物诱导炎症和纤维化反应的比较研究。

IF 3.4 2区 医学 Q1 SURGERY
Plastic and reconstructive surgery Pub Date : 2025-10-01 Epub Date: 2025-02-28 DOI:10.1097/PRS.0000000000012055
Da Woon Lee, Si-Hyong Jang, Hyun Kim, Taek Kyun Kim, Je Yeon Byeon, Hwan Jun Choi
{"title":"不同硬度硅胶植入物诱导炎症和纤维化反应的比较研究。","authors":"Da Woon Lee, Si-Hyong Jang, Hyun Kim, Taek Kyun Kim, Je Yeon Byeon, Hwan Jun Choi","doi":"10.1097/PRS.0000000000012055","DOIUrl":null,"url":null,"abstract":"<p><strong>Background: </strong>Silicone nasal implants have been widely used in rhinoplasty. However, research on the correlation between implant hardness and the development of fibrosis and inflammation is lacking. This study investigated how the hardness of silicone implants influences fibrosis and inflammation through an experimental investigation.</p><p><strong>Methods: </strong>Three types of nasal silicone implants with varying hardness levels were implanted bilaterally on the backs of 15 Wistar rats. Ten weeks after implantation, clinical aspects-such as differences in immune reactions and formation of peri-implant capsules-were analyzed. The intratissue response of the host was assessed by quantitative real-time polymerase chain reaction using 11 markers. Specific markers were investigated by immunohistochemical staining. Pathologic grading was performed to investigate inflammation and fibrosis in the peri-implant tissues. Quantification and statistical analysis of these parameters were conducted to derive scores for intergroup comparisons.</p><p><strong>Results: </strong>Histologic analysis of the 45 capsules obtained revealed lower levels of fibrosis and acute inflammation in the group with lower hardness. This result was confirmed by immunohistochemical staining. Hematoxylin and eosin staining showed that the capsule thickness was less in the low-hardness group. In addition, inflammation resolved quickly in the low-hardness group, and mature fibrotic tissue was observed.</p><p><strong>Conclusions: </strong>When silicone implants are stably positioned within the body, less-rigid implants exhibit lower inflammatory or fibrotic responses. This is directly related to the adverse effects associated with capsule formation. These findings contribute to our understanding of the behavior of heterotopic materials in the nasal dorsum and their effects on the skin and soft-tissue envelope.</p><p><strong>Clinical relevance statement: </strong>This study highlights the impact of implant hardness on rhinoplasty outcomes, with softer implants reducing inflammation and fibrosis. Plastic surgeons should prioritize softer silicone implants to lower complication risks and improve long-term results.</p>","PeriodicalId":20128,"journal":{"name":"Plastic and reconstructive surgery","volume":" ","pages":"567-577"},"PeriodicalIF":3.4000,"publicationDate":"2025-10-01","publicationTypes":"Journal Article","fieldsOfStudy":null,"isOpenAccess":false,"openAccessPdf":"https://www.ncbi.nlm.nih.gov/pmc/articles/PMC12456193/pdf/","citationCount":"0","resultStr":"{\"title\":\"Comparative Study of Inflammatory and Fibrotic Reactions Induced by Silicone Implants with Different Hardness.\",\"authors\":\"Da Woon Lee, Si-Hyong Jang, Hyun Kim, Taek Kyun Kim, Je Yeon Byeon, Hwan Jun Choi\",\"doi\":\"10.1097/PRS.0000000000012055\",\"DOIUrl\":null,\"url\":null,\"abstract\":\"<p><strong>Background: </strong>Silicone nasal implants have been widely used in rhinoplasty. However, research on the correlation between implant hardness and the development of fibrosis and inflammation is lacking. This study investigated how the hardness of silicone implants influences fibrosis and inflammation through an experimental investigation.</p><p><strong>Methods: </strong>Three types of nasal silicone implants with varying hardness levels were implanted bilaterally on the backs of 15 Wistar rats. Ten weeks after implantation, clinical aspects-such as differences in immune reactions and formation of peri-implant capsules-were analyzed. The intratissue response of the host was assessed by quantitative real-time polymerase chain reaction using 11 markers. Specific markers were investigated by immunohistochemical staining. Pathologic grading was performed to investigate inflammation and fibrosis in the peri-implant tissues. Quantification and statistical analysis of these parameters were conducted to derive scores for intergroup comparisons.</p><p><strong>Results: </strong>Histologic analysis of the 45 capsules obtained revealed lower levels of fibrosis and acute inflammation in the group with lower hardness. This result was confirmed by immunohistochemical staining. Hematoxylin and eosin staining showed that the capsule thickness was less in the low-hardness group. In addition, inflammation resolved quickly in the low-hardness group, and mature fibrotic tissue was observed.</p><p><strong>Conclusions: </strong>When silicone implants are stably positioned within the body, less-rigid implants exhibit lower inflammatory or fibrotic responses. This is directly related to the adverse effects associated with capsule formation. These findings contribute to our understanding of the behavior of heterotopic materials in the nasal dorsum and their effects on the skin and soft-tissue envelope.</p><p><strong>Clinical relevance statement: </strong>This study highlights the impact of implant hardness on rhinoplasty outcomes, with softer implants reducing inflammation and fibrosis. Plastic surgeons should prioritize softer silicone implants to lower complication risks and improve long-term results.</p>\",\"PeriodicalId\":20128,\"journal\":{\"name\":\"Plastic and reconstructive surgery\",\"volume\":\" \",\"pages\":\"567-577\"},\"PeriodicalIF\":3.4000,\"publicationDate\":\"2025-10-01\",\"publicationTypes\":\"Journal Article\",\"fieldsOfStudy\":null,\"isOpenAccess\":false,\"openAccessPdf\":\"https://www.ncbi.nlm.nih.gov/pmc/articles/PMC12456193/pdf/\",\"citationCount\":\"0\",\"resultStr\":null,\"platform\":\"Semanticscholar\",\"paperid\":null,\"PeriodicalName\":\"Plastic and reconstructive surgery\",\"FirstCategoryId\":\"3\",\"ListUrlMain\":\"https://doi.org/10.1097/PRS.0000000000012055\",\"RegionNum\":2,\"RegionCategory\":\"医学\",\"ArticlePicture\":[],\"TitleCN\":null,\"AbstractTextCN\":null,\"PMCID\":null,\"EPubDate\":\"2025/2/28 0:00:00\",\"PubModel\":\"Epub\",\"JCR\":\"Q1\",\"JCRName\":\"SURGERY\",\"Score\":null,\"Total\":0}","platform":"Semanticscholar","paperid":null,"PeriodicalName":"Plastic and reconstructive surgery","FirstCategoryId":"3","ListUrlMain":"https://doi.org/10.1097/PRS.0000000000012055","RegionNum":2,"RegionCategory":"医学","ArticlePicture":[],"TitleCN":null,"AbstractTextCN":null,"PMCID":null,"EPubDate":"2025/2/28 0:00:00","PubModel":"Epub","JCR":"Q1","JCRName":"SURGERY","Score":null,"Total":0}
引用次数: 0

摘要

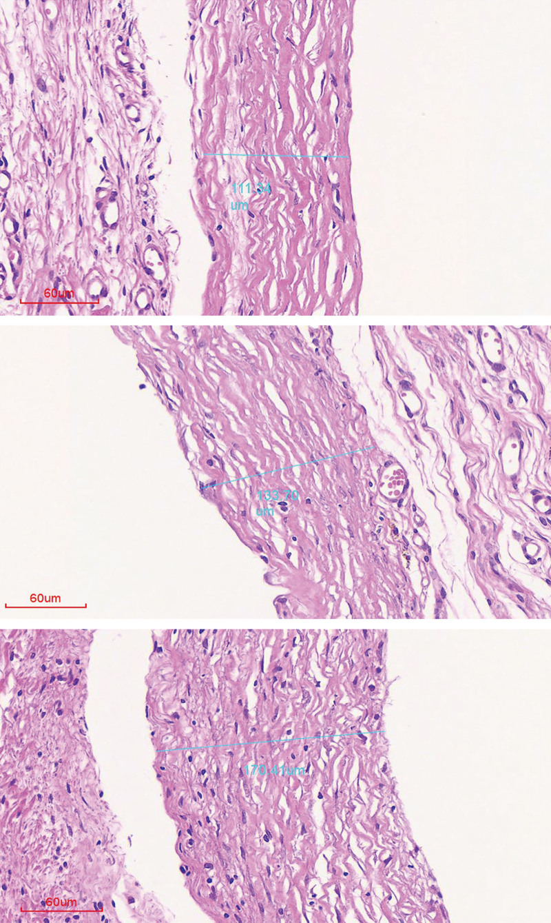
背景:硅胶鼻植入物已广泛应用于鼻整形手术。然而,关于种植体硬度与纤维化和炎症发展之间关系的研究缺乏。本研究通过实验研究硅胶植入物的硬度如何影响纤维化和炎症。方法:将3种不同硬度的硅胶鼻假体植入15只Wistar大鼠的双侧背部。植入10周后,分析临床方面的差异,如免疫反应和种植体周围胶囊的形成。采用qRT-PCR方法评估宿主的组织内反应,共有11种标记物。免疫组化(IHC)染色检测特异性标志物。病理分级观察种植体周围组织的炎症和纤维化情况。对这些参数进行量化和统计分析,得出组间比较的分数。结果:对45粒胶囊进行组织学分析,硬度较低组纤维化和急性炎症程度较低。免疫组化染色证实了这一结果。苏木精染色、伊红染色显示低硬度组囊膜厚度较小。此外,低硬度组炎症迅速消退,观察到成熟的纤维化组织。结论:当硅胶植入物在体内稳定定位时,较少刚性的植入物表现出较低的炎症或纤维化反应。这与胶囊形成的不良反应直接相关。这些发现有助于我们理解异位材料在鼻背的行为及其对皮肤和软组织包膜的影响。
本文章由计算机程序翻译,如有差异,请以英文原文为准。

Comparative Study of Inflammatory and Fibrotic Reactions Induced by Silicone Implants with Different Hardness.

Comparative Study of Inflammatory and Fibrotic Reactions Induced by Silicone Implants with Different Hardness.

Comparative Study of Inflammatory and Fibrotic Reactions Induced by Silicone Implants with Different Hardness.

Comparative Study of Inflammatory and Fibrotic Reactions Induced by Silicone Implants with Different Hardness.

Background: Silicone nasal implants have been widely used in rhinoplasty. However, research on the correlation between implant hardness and the development of fibrosis and inflammation is lacking. This study investigated how the hardness of silicone implants influences fibrosis and inflammation through an experimental investigation.

Methods: Three types of nasal silicone implants with varying hardness levels were implanted bilaterally on the backs of 15 Wistar rats. Ten weeks after implantation, clinical aspects-such as differences in immune reactions and formation of peri-implant capsules-were analyzed. The intratissue response of the host was assessed by quantitative real-time polymerase chain reaction using 11 markers. Specific markers were investigated by immunohistochemical staining. Pathologic grading was performed to investigate inflammation and fibrosis in the peri-implant tissues. Quantification and statistical analysis of these parameters were conducted to derive scores for intergroup comparisons.

Results: Histologic analysis of the 45 capsules obtained revealed lower levels of fibrosis and acute inflammation in the group with lower hardness. This result was confirmed by immunohistochemical staining. Hematoxylin and eosin staining showed that the capsule thickness was less in the low-hardness group. In addition, inflammation resolved quickly in the low-hardness group, and mature fibrotic tissue was observed.

Conclusions: When silicone implants are stably positioned within the body, less-rigid implants exhibit lower inflammatory or fibrotic responses. This is directly related to the adverse effects associated with capsule formation. These findings contribute to our understanding of the behavior of heterotopic materials in the nasal dorsum and their effects on the skin and soft-tissue envelope.

Clinical relevance statement: This study highlights the impact of implant hardness on rhinoplasty outcomes, with softer implants reducing inflammation and fibrosis. Plastic surgeons should prioritize softer silicone implants to lower complication risks and improve long-term results.

求助全文
通过发布文献求助,成功后即可免费获取论文全文。 去求助
来源期刊
CiteScore
5.00
自引率
13.90%
发文量
1436
审稿时长
1.5 months
期刊介绍: For more than 70 years Plastic and Reconstructive Surgery® has been the one consistently excellent reference for every specialist who uses plastic surgery techniques or works in conjunction with a plastic surgeon. Plastic and Reconstructive Surgery® , the official journal of the American Society of Plastic Surgeons, is a benefit of Society membership, and is also available on a subscription basis. Plastic and Reconstructive Surgery® brings subscribers up-to-the-minute reports on the latest techniques and follow-up for all areas of plastic and reconstructive surgery, including breast reconstruction, experimental studies, maxillofacial reconstruction, hand and microsurgery, burn repair, cosmetic surgery, as well as news on medicolegal issues. The cosmetic section provides expanded coverage on new procedures and techniques and offers more cosmetic-specific content than any other journal. All subscribers enjoy full access to the Journal''s website, which features broadcast quality videos of reconstructive and cosmetic procedures, podcasts, comprehensive article archives dating to 1946, and additional benefits offered by the newly-redesigned website.
×
引用
GB/T 7714-2015
复制
MLA
复制
APA
复制
导出至
BibTeX EndNote RefMan NoteFirst NoteExpress
×
提示
您的信息不完整,为了账户安全,请先补充。
现在去补充
×
提示
您因"违规操作"
具体请查看互助需知
我知道了
×
提示
确定
请完成安全验证×
copy
已复制链接
快去分享给好友吧!
我知道了
右上角分享
点击右上角分享
0
联系我们:info@booksci.cn Book学术提供免费学术资源搜索服务,方便国内外学者检索中英文文献。致力于提供最便捷和优质的服务体验。 Copyright © 2023 布克学术 All rights reserved.
京ICP备2023020795号-1
ghs 京公网安备 11010802042870号
Book学术文献互助
Book学术文献互助群
群 号:604180095
Book学术官方微信