烟雾病表现为双侧椎动脉近端受累1例。

IF 4.8 4区 医学 Q3 CLINICAL NEUROLOGY
Brain Circulation Pub Date : 2024-12-28 eCollection Date: 2024-10-01 DOI:10.4103/bc.bc_37_24
Omar Alwakaa, Felipe Ramirez-Velandia, Jean Filo, Michael Young, Christopher S Ogilvy, Justin H Granstein
{"title":"烟雾病表现为双侧椎动脉近端受累1例。","authors":"Omar Alwakaa, Felipe Ramirez-Velandia, Jean Filo, Michael Young, Christopher S Ogilvy, Justin H Granstein","doi":"10.4103/bc.bc_37_24","DOIUrl":null,"url":null,"abstract":"<p><p>Moyamoya disease (MMD) is a cerebrovascular disorder characterized by progressive occlusion of intracranial arteries, often leading to stroke and intracerebral hemorrhage. While MMD classically affects the intracranial vasculature, we present an unusual case of bilateral vertebral steno-occlusion, resulting in vertebrobasilar insufficiency in a 37-year-old man with MMD and treated with angioplasty and stenting of the dominant vertebral artery. Review of the literature demonstrates proximal vertebral artery involvement to be a rare manifestation of moyamoya disease. This report contributes to the understanding of the clinical spectrum of MMD and emphasizes the need for vigilance and awareness of the possibility of extracranial vascular complications in affected individuals.</p>","PeriodicalId":9288,"journal":{"name":"Brain Circulation","volume":"10 4","pages":"372-377"},"PeriodicalIF":4.8000,"publicationDate":"2024-12-28","publicationTypes":"Journal Article","fieldsOfStudy":null,"isOpenAccess":false,"openAccessPdf":"https://www.ncbi.nlm.nih.gov/pmc/articles/PMC11850940/pdf/","citationCount":"0","resultStr":"{\"title\":\"Moyamoya disease manifesting with bilateral involvement of the proximal vertebral arteries: A case report.\",\"authors\":\"Omar Alwakaa, Felipe Ramirez-Velandia, Jean Filo, Michael Young, Christopher S Ogilvy, Justin H Granstein\",\"doi\":\"10.4103/bc.bc_37_24\",\"DOIUrl\":null,\"url\":null,\"abstract\":\"<p><p>Moyamoya disease (MMD) is a cerebrovascular disorder characterized by progressive occlusion of intracranial arteries, often leading to stroke and intracerebral hemorrhage. While MMD classically affects the intracranial vasculature, we present an unusual case of bilateral vertebral steno-occlusion, resulting in vertebrobasilar insufficiency in a 37-year-old man with MMD and treated with angioplasty and stenting of the dominant vertebral artery. Review of the literature demonstrates proximal vertebral artery involvement to be a rare manifestation of moyamoya disease. This report contributes to the understanding of the clinical spectrum of MMD and emphasizes the need for vigilance and awareness of the possibility of extracranial vascular complications in affected individuals.</p>\",\"PeriodicalId\":9288,\"journal\":{\"name\":\"Brain Circulation\",\"volume\":\"10 4\",\"pages\":\"372-377\"},\"PeriodicalIF\":4.8000,\"publicationDate\":\"2024-12-28\",\"publicationTypes\":\"Journal Article\",\"fieldsOfStudy\":null,\"isOpenAccess\":false,\"openAccessPdf\":\"https://www.ncbi.nlm.nih.gov/pmc/articles/PMC11850940/pdf/\",\"citationCount\":\"0\",\"resultStr\":null,\"platform\":\"Semanticscholar\",\"paperid\":null,\"PeriodicalName\":\"Brain Circulation\",\"FirstCategoryId\":\"3\",\"ListUrlMain\":\"https://doi.org/10.4103/bc.bc_37_24\",\"RegionNum\":4,\"RegionCategory\":\"医学\",\"ArticlePicture\":[],\"TitleCN\":null,\"AbstractTextCN\":null,\"PMCID\":null,\"EPubDate\":\"2024/10/1 0:00:00\",\"PubModel\":\"eCollection\",\"JCR\":\"Q3\",\"JCRName\":\"CLINICAL NEUROLOGY\",\"Score\":null,\"Total\":0}","platform":"Semanticscholar","paperid":null,"PeriodicalName":"Brain Circulation","FirstCategoryId":"3","ListUrlMain":"https://doi.org/10.4103/bc.bc_37_24","RegionNum":4,"RegionCategory":"医学","ArticlePicture":[],"TitleCN":null,"AbstractTextCN":null,"PMCID":null,"EPubDate":"2024/10/1 0:00:00","PubModel":"eCollection","JCR":"Q3","JCRName":"CLINICAL NEUROLOGY","Score":null,"Total":0}
引用次数: 0

摘要

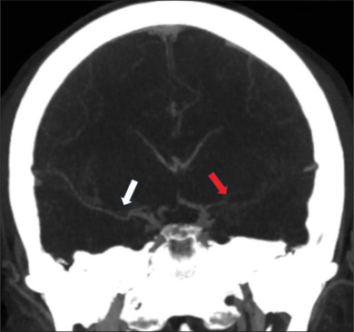
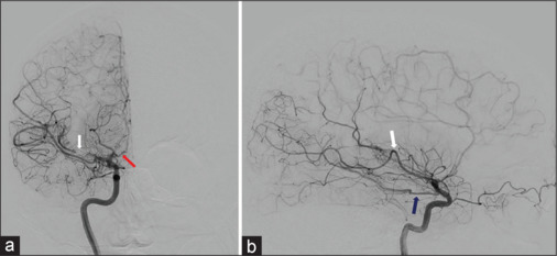
烟雾病(MMD)是一种以颅内动脉进行性闭塞为特征的脑血管疾病,常导致脑卒中和脑出血。虽然烟雾病通常影响颅内血管系统,但我们报告了一个不寻常的双侧椎体狭窄闭塞病例,导致37岁烟雾病患者椎基底动脉功能不全,并通过血管成形术和椎动脉支架置入术治疗。回顾文献显示椎动脉近端受累是烟雾病的罕见表现。该报告有助于了解烟雾病的临床谱,并强调需要警惕和意识到受影响个体颅内外血管并发症的可能性。
本文章由计算机程序翻译,如有差异,请以英文原文为准。

Moyamoya disease manifesting with bilateral involvement of the proximal vertebral arteries: A case report.

Moyamoya disease manifesting with bilateral involvement of the proximal vertebral arteries: A case report.

Moyamoya disease manifesting with bilateral involvement of the proximal vertebral arteries: A case report.

Moyamoya disease manifesting with bilateral involvement of the proximal vertebral arteries: A case report.

Moyamoya disease (MMD) is a cerebrovascular disorder characterized by progressive occlusion of intracranial arteries, often leading to stroke and intracerebral hemorrhage. While MMD classically affects the intracranial vasculature, we present an unusual case of bilateral vertebral steno-occlusion, resulting in vertebrobasilar insufficiency in a 37-year-old man with MMD and treated with angioplasty and stenting of the dominant vertebral artery. Review of the literature demonstrates proximal vertebral artery involvement to be a rare manifestation of moyamoya disease. This report contributes to the understanding of the clinical spectrum of MMD and emphasizes the need for vigilance and awareness of the possibility of extracranial vascular complications in affected individuals.

求助全文
通过发布文献求助,成功后即可免费获取论文全文。 去求助
来源期刊
Brain Circulation
Brain Circulation Multiple-
自引率
5.30%
发文量
31
审稿时长
16 weeks
×
引用
GB/T 7714-2015
复制
MLA
复制
APA
复制
导出至
BibTeX EndNote RefMan NoteFirst NoteExpress
×
提示
您的信息不完整,为了账户安全,请先补充。
现在去补充
×
提示
您因"违规操作"
具体请查看互助需知
我知道了
×
提示
确定
请完成安全验证×
copy
已复制链接
快去分享给好友吧!
我知道了
右上角分享
点击右上角分享
0
联系我们:info@booksci.cn Book学术提供免费学术资源搜索服务,方便国内外学者检索中英文文献。致力于提供最便捷和优质的服务体验。 Copyright © 2023 布克学术 All rights reserved.
京ICP备2023020795号-1
ghs 京公网安备 11010802042870号
Book学术文献互助
Book学术文献互助群
群 号:604180095
Book学术官方微信