胶原-纳米羟基磷灰石双层支架促进兔膝关节骨软骨缺损。

IF 5.1 2区 医学 Q2 CELL & TISSUE ENGINEERING
Yayuan Guo, Xueliang Peng, Bin Cao, Qian Liu, Shen Li, Fulin Chen, Dalong Zhi, Shequn Zhang, Zhuoyue Chen
{"title":"胶原-纳米羟基磷灰石双层支架促进兔膝关节骨软骨缺损。","authors":"Yayuan Guo, Xueliang Peng, Bin Cao, Qian Liu, Shen Li, Fulin Chen, Dalong Zhi, Shequn Zhang, Zhuoyue Chen","doi":"10.1302/2046-3758.142.BJR-2024-0171.R1","DOIUrl":null,"url":null,"abstract":"<p><strong>Aims: </strong>A large number of surgical operations are available to treat osteochondral defects of the knee. However, the knee joint arthroplasty materials cannot completely mimic the articular cartilage and subchondral bone, which may bring some obvious side effects. Thus, this study proposed a biocompatible osteochondral repair material prepared from a double-layer scaffold of collagen and nanohydroxyapatite (CHA), consisting of collagen hydrogel as the upper layer of the scaffold, and the composite of CHA as the lower layer of the scaffold.</p><p><strong>Methods: </strong>The CHA scaffold was prepared, and properties including morphology, internal structure, and mechanical strength of the CHA scaffold were measured by scanning electron microscopy (SEM) and a MTS electronic universal testing machine. Then, biocompatibility and repair capability of the CHA scaffold were further evaluated using a rabbit knee cartilage defect model.</p><p><strong>Results: </strong>The CHA scaffold was well suited for the repair of articular cartilage and subchondral bone; the in vitro results showed that the CHA scaffold had good cytocompatibility. In vivo experiments demonstrated that the material had high biocompatibility and effectively induced cartilage and subchondral bone regeneration.</p><p><strong>Conclusion: </strong>The CHA scaffold has a high potential for commercialization and could be used as an effective knee repair material in clinical applications.</p>","PeriodicalId":9074,"journal":{"name":"Bone & Joint Research","volume":"14 2","pages":"155-165"},"PeriodicalIF":5.1000,"publicationDate":"2025-02-27","publicationTypes":"Journal Article","fieldsOfStudy":null,"isOpenAccess":false,"openAccessPdf":"https://www.ncbi.nlm.nih.gov/pmc/articles/PMC11865975/pdf/","citationCount":"0","resultStr":"{\"title\":\"A bilayer scaffold of collagen and nanohydroxyapatite promotes osteochondral defect in rabbit knee joints.\",\"authors\":\"Yayuan Guo, Xueliang Peng, Bin Cao, Qian Liu, Shen Li, Fulin Chen, Dalong Zhi, Shequn Zhang, Zhuoyue Chen\",\"doi\":\"10.1302/2046-3758.142.BJR-2024-0171.R1\",\"DOIUrl\":null,\"url\":null,\"abstract\":\"<p><strong>Aims: </strong>A large number of surgical operations are available to treat osteochondral defects of the knee. However, the knee joint arthroplasty materials cannot completely mimic the articular cartilage and subchondral bone, which may bring some obvious side effects. Thus, this study proposed a biocompatible osteochondral repair material prepared from a double-layer scaffold of collagen and nanohydroxyapatite (CHA), consisting of collagen hydrogel as the upper layer of the scaffold, and the composite of CHA as the lower layer of the scaffold.</p><p><strong>Methods: </strong>The CHA scaffold was prepared, and properties including morphology, internal structure, and mechanical strength of the CHA scaffold were measured by scanning electron microscopy (SEM) and a MTS electronic universal testing machine. Then, biocompatibility and repair capability of the CHA scaffold were further evaluated using a rabbit knee cartilage defect model.</p><p><strong>Results: </strong>The CHA scaffold was well suited for the repair of articular cartilage and subchondral bone; the in vitro results showed that the CHA scaffold had good cytocompatibility. In vivo experiments demonstrated that the material had high biocompatibility and effectively induced cartilage and subchondral bone regeneration.</p><p><strong>Conclusion: </strong>The CHA scaffold has a high potential for commercialization and could be used as an effective knee repair material in clinical applications.</p>\",\"PeriodicalId\":9074,\"journal\":{\"name\":\"Bone & Joint Research\",\"volume\":\"14 2\",\"pages\":\"155-165\"},\"PeriodicalIF\":5.1000,\"publicationDate\":\"2025-02-27\",\"publicationTypes\":\"Journal Article\",\"fieldsOfStudy\":null,\"isOpenAccess\":false,\"openAccessPdf\":\"https://www.ncbi.nlm.nih.gov/pmc/articles/PMC11865975/pdf/\",\"citationCount\":\"0\",\"resultStr\":null,\"platform\":\"Semanticscholar\",\"paperid\":null,\"PeriodicalName\":\"Bone & Joint Research\",\"FirstCategoryId\":\"3\",\"ListUrlMain\":\"https://doi.org/10.1302/2046-3758.142.BJR-2024-0171.R1\",\"RegionNum\":2,\"RegionCategory\":\"医学\",\"ArticlePicture\":[],\"TitleCN\":null,\"AbstractTextCN\":null,\"PMCID\":null,\"EPubDate\":\"\",\"PubModel\":\"\",\"JCR\":\"Q2\",\"JCRName\":\"CELL & TISSUE ENGINEERING\",\"Score\":null,\"Total\":0}","platform":"Semanticscholar","paperid":null,"PeriodicalName":"Bone & Joint Research","FirstCategoryId":"3","ListUrlMain":"https://doi.org/10.1302/2046-3758.142.BJR-2024-0171.R1","RegionNum":2,"RegionCategory":"医学","ArticlePicture":[],"TitleCN":null,"AbstractTextCN":null,"PMCID":null,"EPubDate":"","PubModel":"","JCR":"Q2","JCRName":"CELL & TISSUE ENGINEERING","Score":null,"Total":0}
引用次数: 0

摘要

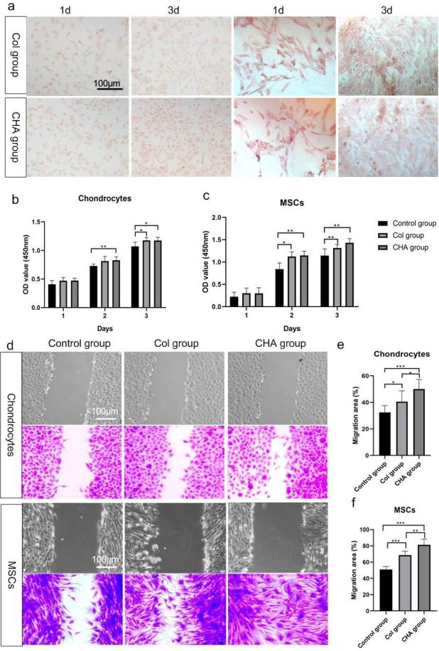
目的:大量的外科手术可用于治疗膝关节骨软骨缺损。然而,膝关节置换术材料不能完全模拟关节软骨和软骨下骨,可能会带来一些明显的副作用。因此,本研究提出了一种由胶原-纳米羟基磷灰石(CHA)双层支架制备的生物相容性骨软骨修复材料,由胶原水凝胶作为支架的上层,CHA的复合材料作为支架的下层组成。方法:制备CHA支架,通过扫描电子显微镜(SEM)和MTS电子万能试验机对CHA支架的形貌、内部结构和机械强度等性能进行检测。利用兔膝关节软骨缺损模型进一步评价CHA支架的生物相容性和修复能力。结果:CHA支架适用于关节软骨和软骨下骨的修复;体外实验结果表明,CHA支架具有良好的细胞相容性。体内实验表明,该材料具有较高的生物相容性,可有效诱导软骨和软骨下骨再生。结论:CHA支架具有很高的商业化潜力,可作为一种有效的膝关节修复材料应用于临床。
本文章由计算机程序翻译,如有差异,请以英文原文为准。

A bilayer scaffold of collagen and nanohydroxyapatite promotes osteochondral defect in rabbit knee joints.

A bilayer scaffold of collagen and nanohydroxyapatite promotes osteochondral defect in rabbit knee joints.

A bilayer scaffold of collagen and nanohydroxyapatite promotes osteochondral defect in rabbit knee joints.

A bilayer scaffold of collagen and nanohydroxyapatite promotes osteochondral defect in rabbit knee joints.

Aims: A large number of surgical operations are available to treat osteochondral defects of the knee. However, the knee joint arthroplasty materials cannot completely mimic the articular cartilage and subchondral bone, which may bring some obvious side effects. Thus, this study proposed a biocompatible osteochondral repair material prepared from a double-layer scaffold of collagen and nanohydroxyapatite (CHA), consisting of collagen hydrogel as the upper layer of the scaffold, and the composite of CHA as the lower layer of the scaffold.

Methods: The CHA scaffold was prepared, and properties including morphology, internal structure, and mechanical strength of the CHA scaffold were measured by scanning electron microscopy (SEM) and a MTS electronic universal testing machine. Then, biocompatibility and repair capability of the CHA scaffold were further evaluated using a rabbit knee cartilage defect model.

Results: The CHA scaffold was well suited for the repair of articular cartilage and subchondral bone; the in vitro results showed that the CHA scaffold had good cytocompatibility. In vivo experiments demonstrated that the material had high biocompatibility and effectively induced cartilage and subchondral bone regeneration.

Conclusion: The CHA scaffold has a high potential for commercialization and could be used as an effective knee repair material in clinical applications.

求助全文
通过发布文献求助,成功后即可免费获取论文全文。 去求助
来源期刊
Bone & Joint Research
Bone & Joint Research CELL & TISSUE ENGINEERING-ORTHOPEDICS
CiteScore
7.40
自引率
23.90%
发文量
156
审稿时长
12 weeks
期刊介绍: The gold open access journal for the musculoskeletal sciences. Included in PubMed and available in PubMed Central.
×
引用
GB/T 7714-2015
复制
MLA
复制
APA
复制
导出至
BibTeX EndNote RefMan NoteFirst NoteExpress
×
提示
您的信息不完整,为了账户安全,请先补充。
现在去补充
×
提示
您因"违规操作"
具体请查看互助需知
我知道了
×
提示
确定
请完成安全验证×
copy
已复制链接
快去分享给好友吧!
我知道了
右上角分享
点击右上角分享
0
联系我们:info@booksci.cn Book学术提供免费学术资源搜索服务,方便国内外学者检索中英文文献。致力于提供最便捷和优质的服务体验。 Copyright © 2023 布克学术 All rights reserved.
京ICP备2023020795号-1
ghs 京公网安备 11010802042870号
Book学术文献互助
Book学术文献互助群
群 号:604180095
Book学术官方微信