原发性肺发育不全合并先天性肺泡发育不良与TBX4基因缺失相关:一例尸检和分子发现。

IF 1.3 4区 医学 Q3 PATHOLOGY
Pediatric and Developmental Pathology Pub Date : 2025-07-01 Epub Date: 2025-02-26 DOI:10.1177/10935266251322326
Evelyn O Ilori, Christine Kahlow, Rolando Garcia, Syed Ahmed, Charles Timmons, Tetyana H Nesterenko
{"title":"原发性肺发育不全合并先天性肺泡发育不良与TBX4基因缺失相关:一例尸检和分子发现。","authors":"Evelyn O Ilori, Christine Kahlow, Rolando Garcia, Syed Ahmed, Charles Timmons, Tetyana H Nesterenko","doi":"10.1177/10935266251322326","DOIUrl":null,"url":null,"abstract":"<p><p>Acute respiratory distress in a neonate is a potentially critical condition with multiple possible causes. Developmental etiologies are particularly problematic by virtue of being refractory to routine modalities for enhancing ventilation and oxygen exchange. Some genetic causes of neonatal respiratory distress, such as surfactant protein deficiencies and alveolar capillary dysplasia with misalignment of pulmonary veins, are well known, and sequencing panels have been formulated to detect them. We present a case of fatal neonatal respiratory insufficiency in which the autopsy showed primary pulmonary hypoplasia and congenital alveolar dysplasia. A sequencing panel of genes associated with heritable pulmonary disorders gave a normal result; however, a chromosomal microarray identified a heterozygous deletion encompassing the <i>TBX4</i> gene on chromosome 17. Haploinsufficiency for <i>TBX4</i> is a known cause of disturbed pulmonary development. This case illustrates why work-up of pulmonary developmental disorders must look beyond standard sequencing panels in some instances, if rare causes of pulmonary maldevelopment such as deletions causing haploinsufficiency are not to be missed.</p>","PeriodicalId":54634,"journal":{"name":"Pediatric and Developmental Pathology","volume":" ","pages":"300-303"},"PeriodicalIF":1.3000,"publicationDate":"2025-07-01","publicationTypes":"Journal Article","fieldsOfStudy":null,"isOpenAccess":false,"openAccessPdf":"https://www.ncbi.nlm.nih.gov/pmc/articles/PMC12241673/pdf/","citationCount":"0","resultStr":"{\"title\":\"Primary Pulmonary Hypoplasia With Congenital Alveolar Dysplasia Associated With <i>TBX4</i> Gene Deletion: A Case With Autopsy and Molecular Findings.\",\"authors\":\"Evelyn O Ilori, Christine Kahlow, Rolando Garcia, Syed Ahmed, Charles Timmons, Tetyana H Nesterenko\",\"doi\":\"10.1177/10935266251322326\",\"DOIUrl\":null,\"url\":null,\"abstract\":\"<p><p>Acute respiratory distress in a neonate is a potentially critical condition with multiple possible causes. Developmental etiologies are particularly problematic by virtue of being refractory to routine modalities for enhancing ventilation and oxygen exchange. Some genetic causes of neonatal respiratory distress, such as surfactant protein deficiencies and alveolar capillary dysplasia with misalignment of pulmonary veins, are well known, and sequencing panels have been formulated to detect them. We present a case of fatal neonatal respiratory insufficiency in which the autopsy showed primary pulmonary hypoplasia and congenital alveolar dysplasia. A sequencing panel of genes associated with heritable pulmonary disorders gave a normal result; however, a chromosomal microarray identified a heterozygous deletion encompassing the <i>TBX4</i> gene on chromosome 17. Haploinsufficiency for <i>TBX4</i> is a known cause of disturbed pulmonary development. This case illustrates why work-up of pulmonary developmental disorders must look beyond standard sequencing panels in some instances, if rare causes of pulmonary maldevelopment such as deletions causing haploinsufficiency are not to be missed.</p>\",\"PeriodicalId\":54634,\"journal\":{\"name\":\"Pediatric and Developmental Pathology\",\"volume\":\" \",\"pages\":\"300-303\"},\"PeriodicalIF\":1.3000,\"publicationDate\":\"2025-07-01\",\"publicationTypes\":\"Journal Article\",\"fieldsOfStudy\":null,\"isOpenAccess\":false,\"openAccessPdf\":\"https://www.ncbi.nlm.nih.gov/pmc/articles/PMC12241673/pdf/\",\"citationCount\":\"0\",\"resultStr\":null,\"platform\":\"Semanticscholar\",\"paperid\":null,\"PeriodicalName\":\"Pediatric and Developmental Pathology\",\"FirstCategoryId\":\"3\",\"ListUrlMain\":\"https://doi.org/10.1177/10935266251322326\",\"RegionNum\":4,\"RegionCategory\":\"医学\",\"ArticlePicture\":[],\"TitleCN\":null,\"AbstractTextCN\":null,\"PMCID\":null,\"EPubDate\":\"2025/2/26 0:00:00\",\"PubModel\":\"Epub\",\"JCR\":\"Q3\",\"JCRName\":\"PATHOLOGY\",\"Score\":null,\"Total\":0}","platform":"Semanticscholar","paperid":null,"PeriodicalName":"Pediatric and Developmental Pathology","FirstCategoryId":"3","ListUrlMain":"https://doi.org/10.1177/10935266251322326","RegionNum":4,"RegionCategory":"医学","ArticlePicture":[],"TitleCN":null,"AbstractTextCN":null,"PMCID":null,"EPubDate":"2025/2/26 0:00:00","PubModel":"Epub","JCR":"Q3","JCRName":"PATHOLOGY","Score":null,"Total":0}
引用次数: 0

摘要

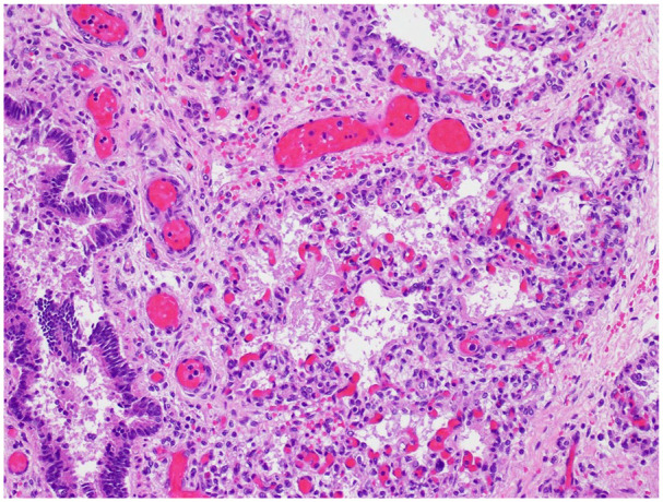
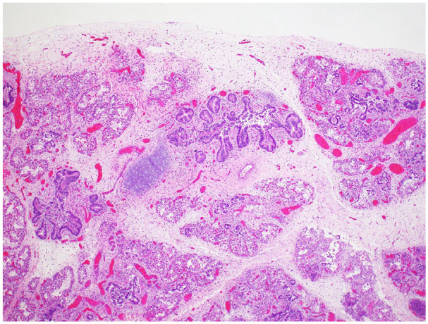
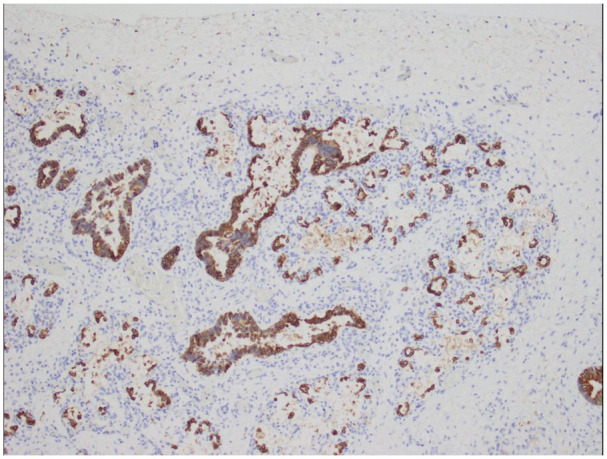
新生儿急性呼吸窘迫是一种有多种可能原因的潜在危重情况。发育性病因尤其成问题,因为常规方式难以加强通气和氧交换。一些新生儿呼吸窘迫的遗传原因,如表面活性蛋白缺乏和肺泡毛细血管发育不良伴肺静脉排列不齐,是众所周知的,并且已经制定了测序小组来检测它们。我们提出了一个致命的新生儿呼吸功能不全的情况下,尸检显示原发性肺发育不全和先天性肺泡发育不良。与遗传性肺部疾病相关的基因测序结果正常;然而,染色体微阵列鉴定了17号染色体上包含TBX4基因的杂合缺失。TBX4单倍体功能不全是肺发育紊乱的已知原因。这个病例说明了为什么在某些情况下,如果肺发育不良的罕见原因(如导致单倍功能不全的缺失)不能被遗漏,那么肺发育障碍的检查必须超越标准的测序小组。
本文章由计算机程序翻译,如有差异,请以英文原文为准。

Primary Pulmonary Hypoplasia With Congenital Alveolar Dysplasia Associated With <i>TBX4</i> Gene Deletion: A Case With Autopsy and Molecular Findings.

Primary Pulmonary Hypoplasia With Congenital Alveolar Dysplasia Associated With <i>TBX4</i> Gene Deletion: A Case With Autopsy and Molecular Findings.

Primary Pulmonary Hypoplasia With Congenital Alveolar Dysplasia Associated With <i>TBX4</i> Gene Deletion: A Case With Autopsy and Molecular Findings.

Primary Pulmonary Hypoplasia With Congenital Alveolar Dysplasia Associated With TBX4 Gene Deletion: A Case With Autopsy and Molecular Findings.

Acute respiratory distress in a neonate is a potentially critical condition with multiple possible causes. Developmental etiologies are particularly problematic by virtue of being refractory to routine modalities for enhancing ventilation and oxygen exchange. Some genetic causes of neonatal respiratory distress, such as surfactant protein deficiencies and alveolar capillary dysplasia with misalignment of pulmonary veins, are well known, and sequencing panels have been formulated to detect them. We present a case of fatal neonatal respiratory insufficiency in which the autopsy showed primary pulmonary hypoplasia and congenital alveolar dysplasia. A sequencing panel of genes associated with heritable pulmonary disorders gave a normal result; however, a chromosomal microarray identified a heterozygous deletion encompassing the TBX4 gene on chromosome 17. Haploinsufficiency for TBX4 is a known cause of disturbed pulmonary development. This case illustrates why work-up of pulmonary developmental disorders must look beyond standard sequencing panels in some instances, if rare causes of pulmonary maldevelopment such as deletions causing haploinsufficiency are not to be missed.

求助全文
通过发布文献求助,成功后即可免费获取论文全文。 去求助
来源期刊
CiteScore
3.70
自引率
5.30%
发文量
59
审稿时长
6-12 weeks
期刊介绍: The Journal covers the spectrum of disorders of early development (including embryology, placentology, and teratology), gestational and perinatal diseases, and all diseases of childhood. Studies may be in any field of experimental, anatomic, or clinical pathology, including molecular pathology. Case reports are published only if they provide new insights into disease mechanisms or new information.
×
引用
GB/T 7714-2015
复制
MLA
复制
APA
复制
导出至
BibTeX EndNote RefMan NoteFirst NoteExpress
×
提示
您的信息不完整,为了账户安全,请先补充。
现在去补充
×
提示
您因"违规操作"
具体请查看互助需知
我知道了
×
提示
确定
请完成安全验证×
copy
已复制链接
快去分享给好友吧!
我知道了
右上角分享
点击右上角分享
0
联系我们:info@booksci.cn Book学术提供免费学术资源搜索服务,方便国内外学者检索中英文文献。致力于提供最便捷和优质的服务体验。 Copyright © 2023 布克学术 All rights reserved.
京ICP备2023020795号-1
ghs 京公网安备 11010802042870号
Book学术文献互助
Book学术文献互助群
群 号:604180095
Book学术官方微信