术中吲哚菁绿荧光成像在小儿难治性乳糜胸手术治疗中的应用:1例报告。

IF 0.7 Q4 SURGERY
Surgical Case Reports Pub Date : 2025-01-01 Epub Date: 2025-02-18 DOI:10.70352/scrj.cr.24-0112
Kanji Ishizu, Kanta Araki, Koji Kagisaki, Hideto Ozawa
{"title":"术中吲哚菁绿荧光成像在小儿难治性乳糜胸手术治疗中的应用:1例报告。","authors":"Kanji Ishizu, Kanta Araki, Koji Kagisaki, Hideto Ozawa","doi":"10.70352/scrj.cr.24-0112","DOIUrl":null,"url":null,"abstract":"<p><strong>Introduction: </strong>Chylothorax is one of the complications in cardiovascular surgery. Although prolonged chylothorax leads to critical status and is associated with high mortality, its treatment has not been well established. We present a successful case of surgical treatment of chylothorax in a neonate using indocyanine green to identify the site of lymphatic leakage.</p><p><strong>Case presentation: </strong>The patient with complete atrioventricular septal defect, patent ductus arteriosus, pulmonary hypertension, and chromosomal abnormality with trisomy 21 underwent pulmonary artery banding and patent ductus arteriosus ligation through median sternotomy. The postoperative course was complicated with chylothorax; conservative treatment was not effective, so surgical treatment was selected. Indocyanine green was injected subcutaneously between the first and second toes on the left side 30 min before surgery to identify the site of leakage. We could detect the lymphatic leakage from the para-aortic lymph node by indocyanine green camera in the left thoracic cavity, and the leakage sites could be closed with interrupted sutures.</p><p><strong>Conclusion: </strong>Identification of lymphatic leakage sites using indocyanine green could be an effective technique in the surgical treatment of chylothorax in pediatric patients.</p>","PeriodicalId":22096,"journal":{"name":"Surgical Case Reports","volume":"11 1","pages":""},"PeriodicalIF":0.7000,"publicationDate":"2025-01-01","publicationTypes":"Journal Article","fieldsOfStudy":null,"isOpenAccess":false,"openAccessPdf":"https://www.ncbi.nlm.nih.gov/pmc/articles/PMC11850031/pdf/","citationCount":"0","resultStr":"{\"title\":\"The Usefulness of Intraoperative Indocyanine Green Fluorescence Imaging in Surgical Treatment of Refractory Chylothorax in Pediatric Patients: A Case Report.\",\"authors\":\"Kanji Ishizu, Kanta Araki, Koji Kagisaki, Hideto Ozawa\",\"doi\":\"10.70352/scrj.cr.24-0112\",\"DOIUrl\":null,\"url\":null,\"abstract\":\"<p><strong>Introduction: </strong>Chylothorax is one of the complications in cardiovascular surgery. Although prolonged chylothorax leads to critical status and is associated with high mortality, its treatment has not been well established. We present a successful case of surgical treatment of chylothorax in a neonate using indocyanine green to identify the site of lymphatic leakage.</p><p><strong>Case presentation: </strong>The patient with complete atrioventricular septal defect, patent ductus arteriosus, pulmonary hypertension, and chromosomal abnormality with trisomy 21 underwent pulmonary artery banding and patent ductus arteriosus ligation through median sternotomy. The postoperative course was complicated with chylothorax; conservative treatment was not effective, so surgical treatment was selected. Indocyanine green was injected subcutaneously between the first and second toes on the left side 30 min before surgery to identify the site of leakage. We could detect the lymphatic leakage from the para-aortic lymph node by indocyanine green camera in the left thoracic cavity, and the leakage sites could be closed with interrupted sutures.</p><p><strong>Conclusion: </strong>Identification of lymphatic leakage sites using indocyanine green could be an effective technique in the surgical treatment of chylothorax in pediatric patients.</p>\",\"PeriodicalId\":22096,\"journal\":{\"name\":\"Surgical Case Reports\",\"volume\":\"11 1\",\"pages\":\"\"},\"PeriodicalIF\":0.7000,\"publicationDate\":\"2025-01-01\",\"publicationTypes\":\"Journal Article\",\"fieldsOfStudy\":null,\"isOpenAccess\":false,\"openAccessPdf\":\"https://www.ncbi.nlm.nih.gov/pmc/articles/PMC11850031/pdf/\",\"citationCount\":\"0\",\"resultStr\":null,\"platform\":\"Semanticscholar\",\"paperid\":null,\"PeriodicalName\":\"Surgical Case Reports\",\"FirstCategoryId\":\"1085\",\"ListUrlMain\":\"https://doi.org/10.70352/scrj.cr.24-0112\",\"RegionNum\":0,\"RegionCategory\":null,\"ArticlePicture\":[],\"TitleCN\":null,\"AbstractTextCN\":null,\"PMCID\":null,\"EPubDate\":\"2025/2/18 0:00:00\",\"PubModel\":\"Epub\",\"JCR\":\"Q4\",\"JCRName\":\"SURGERY\",\"Score\":null,\"Total\":0}","platform":"Semanticscholar","paperid":null,"PeriodicalName":"Surgical Case Reports","FirstCategoryId":"1085","ListUrlMain":"https://doi.org/10.70352/scrj.cr.24-0112","RegionNum":0,"RegionCategory":null,"ArticlePicture":[],"TitleCN":null,"AbstractTextCN":null,"PMCID":null,"EPubDate":"2025/2/18 0:00:00","PubModel":"Epub","JCR":"Q4","JCRName":"SURGERY","Score":null,"Total":0}
引用次数: 0

摘要

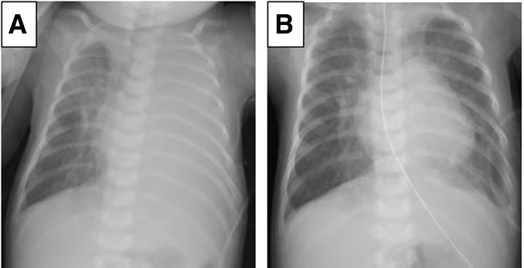
乳糜胸是心血管手术的并发症之一。虽然长期乳糜胸可导致危重状态并伴有高死亡率,但其治疗尚未得到很好的确定。我们提出了一个成功的病例手术治疗乳糜胸在新生儿使用吲哚菁绿来确定部位的淋巴渗漏。病例介绍:完全性房室间隔缺损、动脉导管未闭、肺动脉高压、21三体染色体异常患者经胸骨正中切开术行肺动脉束带及动脉导管未闭结扎术。术后并发乳糜胸;保守治疗效果不佳,选择手术治疗。术前30分钟,在左侧第一、第二趾间皮下注射吲哚菁绿,以确定渗漏部位。我们在左胸腔用吲哚菁绿相机可以检测到主动脉旁淋巴结的淋巴渗漏,可以用间断缝线封闭渗漏部位。结论:应用吲哚菁绿鉴别小儿乳糜胸的淋巴渗漏部位是一种有效的手术治疗方法。
本文章由计算机程序翻译,如有差异,请以英文原文为准。

The Usefulness of Intraoperative Indocyanine Green Fluorescence Imaging in Surgical Treatment of Refractory Chylothorax in Pediatric Patients: A Case Report.

The Usefulness of Intraoperative Indocyanine Green Fluorescence Imaging in Surgical Treatment of Refractory Chylothorax in Pediatric Patients: A Case Report.

The Usefulness of Intraoperative Indocyanine Green Fluorescence Imaging in Surgical Treatment of Refractory Chylothorax in Pediatric Patients: A Case Report.

Introduction: Chylothorax is one of the complications in cardiovascular surgery. Although prolonged chylothorax leads to critical status and is associated with high mortality, its treatment has not been well established. We present a successful case of surgical treatment of chylothorax in a neonate using indocyanine green to identify the site of lymphatic leakage.

Case presentation: The patient with complete atrioventricular septal defect, patent ductus arteriosus, pulmonary hypertension, and chromosomal abnormality with trisomy 21 underwent pulmonary artery banding and patent ductus arteriosus ligation through median sternotomy. The postoperative course was complicated with chylothorax; conservative treatment was not effective, so surgical treatment was selected. Indocyanine green was injected subcutaneously between the first and second toes on the left side 30 min before surgery to identify the site of leakage. We could detect the lymphatic leakage from the para-aortic lymph node by indocyanine green camera in the left thoracic cavity, and the leakage sites could be closed with interrupted sutures.

Conclusion: Identification of lymphatic leakage sites using indocyanine green could be an effective technique in the surgical treatment of chylothorax in pediatric patients.

求助全文
通过发布文献求助,成功后即可免费获取论文全文。 去求助
来源期刊
自引率
0.00%
发文量
218
审稿时长
13 weeks
×
引用
GB/T 7714-2015
复制
MLA
复制
APA
复制
导出至
BibTeX EndNote RefMan NoteFirst NoteExpress
×
提示
您的信息不完整,为了账户安全,请先补充。
现在去补充
×
提示
您因"违规操作"
具体请查看互助需知
我知道了
×
提示
确定
请完成安全验证×
copy
已复制链接
快去分享给好友吧!
我知道了
右上角分享
点击右上角分享
0
联系我们:info@booksci.cn Book学术提供免费学术资源搜索服务,方便国内外学者检索中英文文献。致力于提供最便捷和优质的服务体验。 Copyright © 2023 布克学术 All rights reserved.
京ICP备2023020795号-1
ghs 京公网安备 11010802042870号
Book学术文献互助
Book学术文献互助群
群 号:604180095
Book学术官方微信