玉米4-香豆酸辅酶A连接酶Zm4CL-like9基因正调控拟南芥干旱胁迫响应。

IF 4.7 2区 农林科学 Q1 BIOTECHNOLOGY & APPLIED MICROBIOLOGY
Jiayi Fan, Zhipeng Luo, Yuankai Wang, Peng Jiao, Qingxu Wang, Yuntao Dai, Shuyan Guan, Yiyong Ma, Huiwei Yu, Siyan Liu
{"title":"玉米4-香豆酸辅酶A连接酶Zm4CL-like9基因正调控拟南芥干旱胁迫响应。","authors":"Jiayi Fan, Zhipeng Luo, Yuankai Wang, Peng Jiao, Qingxu Wang, Yuntao Dai, Shuyan Guan, Yiyong Ma, Huiwei Yu, Siyan Liu","doi":"10.1080/21645698.2025.2469942","DOIUrl":null,"url":null,"abstract":"<p><p>Maize is a major food crop in China, and drought is one of the major abiotic stresses that threaten the growth and development of the crop, seriously affecting the crop yield. 4-coumaric acid coenzyme A ligase (<i>4CL</i>) is a key enzyme in the phenylpropane metabolic pathway, which can regulate the lignin content of the plant and play an important role in the plant's resistance to drought stress, plays an important role in plant resistance to drought stress. In the present study, we screened the differentially expressed up-regulated gene <i>Zm4CL-like9</i> under drought stress by pre-transcriptome sequencing data (PRJNA793522) in the laboratory, and analyzed the significant up-regulation of <i>Zm4CL-like9</i> gene in roots under drought stress by qRT-PCR(Real-Time Quantitative Reverse Transcription PCR). The results of prokaryotic expression experiments showed that the protein encoded by the <i>Zm4CL-like9</i> gene was able to be expressed in prokaryotic cells and could effectively improve the drought tolerance of E. coli. Phenotypic analysis of transgenic <i>Arabidopsis</i> plants under drought stress revealed that seed germination rate, root length, and plant survival after drought rehydration were significantly higher in transgenic <i>Zm4CL-like9 Arabidopsis</i> compared with wild-type <i>Arabidopsis</i>; physiological and biochemical indexes revealed that peroxidase activity, proline (Pro) content, and chlorophyll content were significantly higher in transgenic <i>Arabidopsis</i> compared with wild-type <i>Arabidopsis</i>. Under drought stress, the expression of drought-related genes was significantly up-regulated in transgenic <i>Arabidopsis</i> compared with wild-type <i>Arabidopsis</i>. Taken together, the <i>Zm4CL-like9</i> gene enhances plant resistance to drought stress by reducing reactive oxygen species accumulation in plants.</p>","PeriodicalId":54282,"journal":{"name":"Gm Crops & Food-Biotechnology in Agriculture and the Food Chain","volume":"16 1","pages":"199-215"},"PeriodicalIF":4.7000,"publicationDate":"2025-12-01","publicationTypes":"Journal Article","fieldsOfStudy":null,"isOpenAccess":false,"openAccessPdf":"https://www.ncbi.nlm.nih.gov/pmc/articles/PMC11853610/pdf/","citationCount":"0","resultStr":"{\"title\":\"Maize 4-coumarate coenzyme A ligase <i>Zm4CL-like9</i> gene positively regulates drought stress response in <i>Arabidopsis thaliana</i>.\",\"authors\":\"Jiayi Fan, Zhipeng Luo, Yuankai Wang, Peng Jiao, Qingxu Wang, Yuntao Dai, Shuyan Guan, Yiyong Ma, Huiwei Yu, Siyan Liu\",\"doi\":\"10.1080/21645698.2025.2469942\",\"DOIUrl\":null,\"url\":null,\"abstract\":\"<p><p>Maize is a major food crop in China, and drought is one of the major abiotic stresses that threaten the growth and development of the crop, seriously affecting the crop yield. 4-coumaric acid coenzyme A ligase (<i>4CL</i>) is a key enzyme in the phenylpropane metabolic pathway, which can regulate the lignin content of the plant and play an important role in the plant's resistance to drought stress, plays an important role in plant resistance to drought stress. In the present study, we screened the differentially expressed up-regulated gene <i>Zm4CL-like9</i> under drought stress by pre-transcriptome sequencing data (PRJNA793522) in the laboratory, and analyzed the significant up-regulation of <i>Zm4CL-like9</i> gene in roots under drought stress by qRT-PCR(Real-Time Quantitative Reverse Transcription PCR). The results of prokaryotic expression experiments showed that the protein encoded by the <i>Zm4CL-like9</i> gene was able to be expressed in prokaryotic cells and could effectively improve the drought tolerance of E. coli. Phenotypic analysis of transgenic <i>Arabidopsis</i> plants under drought stress revealed that seed germination rate, root length, and plant survival after drought rehydration were significantly higher in transgenic <i>Zm4CL-like9 Arabidopsis</i> compared with wild-type <i>Arabidopsis</i>; physiological and biochemical indexes revealed that peroxidase activity, proline (Pro) content, and chlorophyll content were significantly higher in transgenic <i>Arabidopsis</i> compared with wild-type <i>Arabidopsis</i>. Under drought stress, the expression of drought-related genes was significantly up-regulated in transgenic <i>Arabidopsis</i> compared with wild-type <i>Arabidopsis</i>. Taken together, the <i>Zm4CL-like9</i> gene enhances plant resistance to drought stress by reducing reactive oxygen species accumulation in plants.</p>\",\"PeriodicalId\":54282,\"journal\":{\"name\":\"Gm Crops & Food-Biotechnology in Agriculture and the Food Chain\",\"volume\":\"16 1\",\"pages\":\"199-215\"},\"PeriodicalIF\":4.7000,\"publicationDate\":\"2025-12-01\",\"publicationTypes\":\"Journal Article\",\"fieldsOfStudy\":null,\"isOpenAccess\":false,\"openAccessPdf\":\"https://www.ncbi.nlm.nih.gov/pmc/articles/PMC11853610/pdf/\",\"citationCount\":\"0\",\"resultStr\":null,\"platform\":\"Semanticscholar\",\"paperid\":null,\"PeriodicalName\":\"Gm Crops & Food-Biotechnology in Agriculture and the Food Chain\",\"FirstCategoryId\":\"5\",\"ListUrlMain\":\"https://doi.org/10.1080/21645698.2025.2469942\",\"RegionNum\":2,\"RegionCategory\":\"农林科学\",\"ArticlePicture\":[],\"TitleCN\":null,\"AbstractTextCN\":null,\"PMCID\":null,\"EPubDate\":\"2025/2/23 0:00:00\",\"PubModel\":\"Epub\",\"JCR\":\"Q1\",\"JCRName\":\"BIOTECHNOLOGY & APPLIED MICROBIOLOGY\",\"Score\":null,\"Total\":0}","platform":"Semanticscholar","paperid":null,"PeriodicalName":"Gm Crops & Food-Biotechnology in Agriculture and the Food Chain","FirstCategoryId":"5","ListUrlMain":"https://doi.org/10.1080/21645698.2025.2469942","RegionNum":2,"RegionCategory":"农林科学","ArticlePicture":[],"TitleCN":null,"AbstractTextCN":null,"PMCID":null,"EPubDate":"2025/2/23 0:00:00","PubModel":"Epub","JCR":"Q1","JCRName":"BIOTECHNOLOGY & APPLIED MICROBIOLOGY","Score":null,"Total":0}
引用次数: 0

摘要

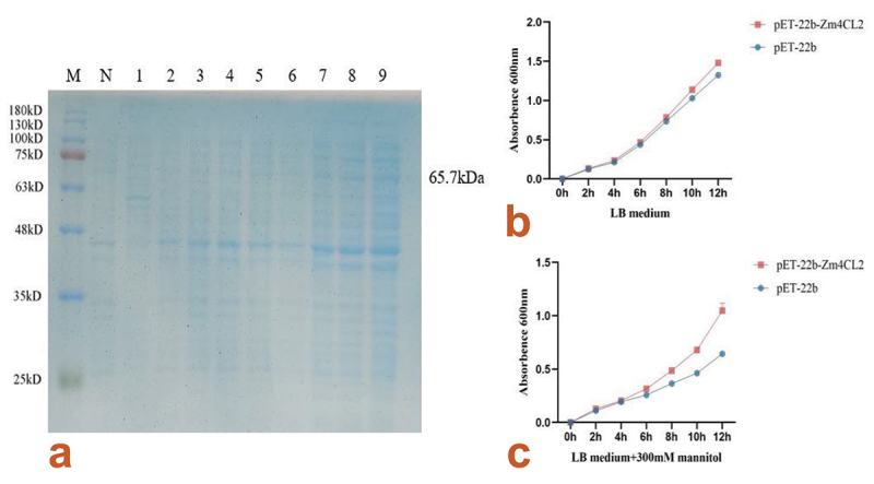
玉米是中国主要的粮食作物,干旱是威胁作物生长发育的主要非生物胁迫之一,严重影响作物产量。4-香豆酸辅酶A连接酶(4CL)是苯丙烷代谢途径中的关键酶,能调节植物木质素含量,在植物抗旱胁迫中发挥重要作用,在植物抗旱胁迫中发挥重要作用。本研究在实验室通过转录组前测序数据(PRJNA793522)筛选干旱胁迫下差异表达上调基因Zm4CL-like9,并利用实时定量反转录PCR(real - real - mail Quantitative Reverse Transcription PCR)分析干旱胁迫下根系中Zm4CL-like9基因的显著上调。原核表达实验结果表明,Zm4CL-like9基因编码的蛋白能够在原核细胞中表达,并能有效提高大肠杆菌的抗旱性。对干旱胁迫下转基因拟南芥植株的表型分析表明,转基因Zm4CL-like9型拟南芥的种子发芽率、根系长度和干旱复水后植株存活率均显著高于野生型拟南芥;生理生化指标显示,转基因拟南芥的过氧化物酶活性、脯氨酸(Pro)含量和叶绿素含量显著高于野生型拟南芥。干旱胁迫下,与野生型拟南芥相比,转基因拟南芥中干旱相关基因的表达显著上调。综上所述,Zm4CL-like9基因通过减少植物体内活性氧的积累来增强植物对干旱胁迫的抗性。
本文章由计算机程序翻译,如有差异,请以英文原文为准。

Maize 4-coumarate coenzyme A ligase <i>Zm4CL-like9</i> gene positively regulates drought stress response in <i>Arabidopsis thaliana</i>.

Maize 4-coumarate coenzyme A ligase <i>Zm4CL-like9</i> gene positively regulates drought stress response in <i>Arabidopsis thaliana</i>.

Maize 4-coumarate coenzyme A ligase <i>Zm4CL-like9</i> gene positively regulates drought stress response in <i>Arabidopsis thaliana</i>.

Maize 4-coumarate coenzyme A ligase Zm4CL-like9 gene positively regulates drought stress response in Arabidopsis thaliana.

Maize is a major food crop in China, and drought is one of the major abiotic stresses that threaten the growth and development of the crop, seriously affecting the crop yield. 4-coumaric acid coenzyme A ligase (4CL) is a key enzyme in the phenylpropane metabolic pathway, which can regulate the lignin content of the plant and play an important role in the plant's resistance to drought stress, plays an important role in plant resistance to drought stress. In the present study, we screened the differentially expressed up-regulated gene Zm4CL-like9 under drought stress by pre-transcriptome sequencing data (PRJNA793522) in the laboratory, and analyzed the significant up-regulation of Zm4CL-like9 gene in roots under drought stress by qRT-PCR(Real-Time Quantitative Reverse Transcription PCR). The results of prokaryotic expression experiments showed that the protein encoded by the Zm4CL-like9 gene was able to be expressed in prokaryotic cells and could effectively improve the drought tolerance of E. coli. Phenotypic analysis of transgenic Arabidopsis plants under drought stress revealed that seed germination rate, root length, and plant survival after drought rehydration were significantly higher in transgenic Zm4CL-like9 Arabidopsis compared with wild-type Arabidopsis; physiological and biochemical indexes revealed that peroxidase activity, proline (Pro) content, and chlorophyll content were significantly higher in transgenic Arabidopsis compared with wild-type Arabidopsis. Under drought stress, the expression of drought-related genes was significantly up-regulated in transgenic Arabidopsis compared with wild-type Arabidopsis. Taken together, the Zm4CL-like9 gene enhances plant resistance to drought stress by reducing reactive oxygen species accumulation in plants.

求助全文
通过发布文献求助,成功后即可免费获取论文全文。 去求助
来源期刊
Gm Crops & Food-Biotechnology in Agriculture and the Food Chain
Gm Crops & Food-Biotechnology in Agriculture and the Food Chain Biochemistry, Genetics and Molecular Biology-Biotechnology
CiteScore
8.10
自引率
10.30%
发文量
22
期刊介绍: GM Crops & Food - Biotechnology in Agriculture and the Food Chain aims to publish high quality research papers, reviews, and commentaries on a wide range of topics involving genetically modified (GM) crops in agriculture and genetically modified food. The journal provides a platform for research papers addressing fundamental questions in the development, testing, and application of transgenic crops. The journal further covers topics relating to socio-economic issues, commercialization, trade and societal issues. GM Crops & Food aims to provide an international forum on all issues related to GM crops, especially toward meaningful communication between scientists and policy-makers. GM Crops & Food will publish relevant and high-impact original research with a special focus on novelty-driven studies with the potential for application. The journal also publishes authoritative review articles on current research and policy initiatives, and commentary on broad perspectives regarding genetically modified crops. The journal serves a wide readership including scientists, breeders, and policy-makers, as well as a wider community of readers (educators, policy makers, scholars, science writers and students) interested in agriculture, medicine, biotechnology, investment, and technology transfer. Topics covered include, but are not limited to: • Production and analysis of transgenic crops • Gene insertion studies • Gene silencing • Factors affecting gene expression • Post-translational analysis • Molecular farming • Field trial analysis • Commercialization of modified crops • Safety and regulatory affairs BIOLOGICAL SCIENCE AND TECHNOLOGY • Biofuels • Data from field trials • Development of transformation technology • Elimination of pollutants (Bioremediation) • Gene silencing mechanisms • Genome Editing • Herbicide resistance • Molecular farming • Pest resistance • Plant reproduction (e.g., male sterility, hybrid breeding, apomixis) • Plants with altered composition • Tolerance to abiotic stress • Transgenesis in agriculture • Biofortification and nutrients improvement • Genomic, proteomic and bioinformatics methods used for developing GM cops ECONOMIC, POLITICAL AND SOCIAL ISSUES • Commercialization • Consumer attitudes • International bodies • National and local government policies • Public perception, intellectual property, education, (bio)ethical issues • Regulation, environmental impact and containment • Socio-economic impact • Food safety and security • Risk assessments
×
引用
GB/T 7714-2015
复制
MLA
复制
APA
复制
导出至
BibTeX EndNote RefMan NoteFirst NoteExpress
×
提示
您的信息不完整,为了账户安全,请先补充。
现在去补充
×
提示
您因"违规操作"
具体请查看互助需知
我知道了
×
提示
确定
请完成安全验证×
copy
已复制链接
快去分享给好友吧!
我知道了
右上角分享
点击右上角分享
0
联系我们:info@booksci.cn Book学术提供免费学术资源搜索服务,方便国内外学者检索中英文文献。致力于提供最便捷和优质的服务体验。 Copyright © 2023 布克学术 All rights reserved.
京ICP备2023020795号-1
ghs 京公网安备 11010802042870号
Book学术文献互助
Book学术文献互助群
群 号:604180095
Book学术官方微信