晚期横断面结肠癌自发性消退1例。

IF 0.7 Q4 SURGERY
Surgical Case Reports Pub Date : 2025-01-01 Epub Date: 2025-01-31 DOI:10.70352/scrj.cr.24-0018
Shinya Ohno, Yoshinori Iwata, Saki Mitsutome, Shusaku Kawai, Manabu Neo, Moe Fukuda, Bei Wang, Tomonari Suetsugu, Taku Watanabe, Shuji Komori, Chihiro Tanaka, Narutoshi Nagao, Masahiko Kawai
{"title":"晚期横断面结肠癌自发性消退1例。","authors":"Shinya Ohno, Yoshinori Iwata, Saki Mitsutome, Shusaku Kawai, Manabu Neo, Moe Fukuda, Bei Wang, Tomonari Suetsugu, Taku Watanabe, Shuji Komori, Chihiro Tanaka, Narutoshi Nagao, Masahiko Kawai","doi":"10.70352/scrj.cr.24-0018","DOIUrl":null,"url":null,"abstract":"<p><strong>Introduction: </strong>The incidence of spontaneous regression (SR) of malignancy is one in 60000-100000 cancer patients and spontaneous regression in colorectal cancer is quite rare, reported to account for less than 2% of spontaneous regression of malignancy. In recent years, some reports of spontaneous regression in colorectal cancer in patients with high-frequency microsatellite instability have suggested a deep association between high-frequency microsatellite instability and spontaneous regression. We report our experience of spontaneous regression of advanced colorectal cancer with high-frequency microsatellite instability and provide a review of spontaneous regression in colorectal cancer.</p><p><strong>Case presentation: </strong>An 83-year-old woman was diagnosed as having advanced colorectal cancer in the transverse colon by lower gastrointestinal endoscopy, and biopsy results revealed moderately differentiated adenocarcinoma. Contrast-enhanced computed tomography showed a tumor located near the hepatic flexure and an enlarged lymph node near the tumor. No distant metastasis was observed, and the preoperative diagnosis was cT3N1aM0 cStage IIIb cancer. Immunohistochemical analysis of the biopsy specimen suggested deficient mismatch repair. During the wait for surgery, the patient was urgently hospitalized due to severe dehydration. After her general condition improved, 38 days after the biopsy, we performed laparoscopic resection of the partial ascending and transverse colon with D3 lymph node dissection. The tumor noted preoperatively was not present in the specimen, and intraoperative endoscopy revealed no tumor on the anorectal side. Additional ileocecal resection was performed, but no tumor was found in the specimen, and another intraoperative endoscopy was performed, which revealed a discolored scar near the anal margin. We determined that tumor loss or morphological change had occurred, so after additional resection of the same area, ultimately, an extended right hemicolectomy was performed. Histopathological diagnosis was pT0N0M0 pStage0 cancer with no residual tumor. The patient has progressed without recurrence at 1 year after the operation.</p><p><strong>Conclusions: </strong>The immunological response due to high-frequency microsatellite instability may be related to the mechanism of spontaneous regression in colorectal cancer. If high-frequency microsatellite instability is diagnosed preoperatively, we recommend that the tumor location should be confirmed preoperatively.</p>","PeriodicalId":22096,"journal":{"name":"Surgical Case Reports","volume":"11 1","pages":""},"PeriodicalIF":0.7000,"publicationDate":"2025-01-01","publicationTypes":"Journal Article","fieldsOfStudy":null,"isOpenAccess":false,"openAccessPdf":"https://www.ncbi.nlm.nih.gov/pmc/articles/PMC11842877/pdf/","citationCount":"0","resultStr":"{\"title\":\"Spontaneous Regression of Advanced Transverse Colon Cancer: A Case Report.\",\"authors\":\"Shinya Ohno, Yoshinori Iwata, Saki Mitsutome, Shusaku Kawai, Manabu Neo, Moe Fukuda, Bei Wang, Tomonari Suetsugu, Taku Watanabe, Shuji Komori, Chihiro Tanaka, Narutoshi Nagao, Masahiko Kawai\",\"doi\":\"10.70352/scrj.cr.24-0018\",\"DOIUrl\":null,\"url\":null,\"abstract\":\"<p><strong>Introduction: </strong>The incidence of spontaneous regression (SR) of malignancy is one in 60000-100000 cancer patients and spontaneous regression in colorectal cancer is quite rare, reported to account for less than 2% of spontaneous regression of malignancy. In recent years, some reports of spontaneous regression in colorectal cancer in patients with high-frequency microsatellite instability have suggested a deep association between high-frequency microsatellite instability and spontaneous regression. We report our experience of spontaneous regression of advanced colorectal cancer with high-frequency microsatellite instability and provide a review of spontaneous regression in colorectal cancer.</p><p><strong>Case presentation: </strong>An 83-year-old woman was diagnosed as having advanced colorectal cancer in the transverse colon by lower gastrointestinal endoscopy, and biopsy results revealed moderately differentiated adenocarcinoma. Contrast-enhanced computed tomography showed a tumor located near the hepatic flexure and an enlarged lymph node near the tumor. No distant metastasis was observed, and the preoperative diagnosis was cT3N1aM0 cStage IIIb cancer. Immunohistochemical analysis of the biopsy specimen suggested deficient mismatch repair. During the wait for surgery, the patient was urgently hospitalized due to severe dehydration. After her general condition improved, 38 days after the biopsy, we performed laparoscopic resection of the partial ascending and transverse colon with D3 lymph node dissection. The tumor noted preoperatively was not present in the specimen, and intraoperative endoscopy revealed no tumor on the anorectal side. Additional ileocecal resection was performed, but no tumor was found in the specimen, and another intraoperative endoscopy was performed, which revealed a discolored scar near the anal margin. We determined that tumor loss or morphological change had occurred, so after additional resection of the same area, ultimately, an extended right hemicolectomy was performed. Histopathological diagnosis was pT0N0M0 pStage0 cancer with no residual tumor. The patient has progressed without recurrence at 1 year after the operation.</p><p><strong>Conclusions: </strong>The immunological response due to high-frequency microsatellite instability may be related to the mechanism of spontaneous regression in colorectal cancer. If high-frequency microsatellite instability is diagnosed preoperatively, we recommend that the tumor location should be confirmed preoperatively.</p>\",\"PeriodicalId\":22096,\"journal\":{\"name\":\"Surgical Case Reports\",\"volume\":\"11 1\",\"pages\":\"\"},\"PeriodicalIF\":0.7000,\"publicationDate\":\"2025-01-01\",\"publicationTypes\":\"Journal Article\",\"fieldsOfStudy\":null,\"isOpenAccess\":false,\"openAccessPdf\":\"https://www.ncbi.nlm.nih.gov/pmc/articles/PMC11842877/pdf/\",\"citationCount\":\"0\",\"resultStr\":null,\"platform\":\"Semanticscholar\",\"paperid\":null,\"PeriodicalName\":\"Surgical Case Reports\",\"FirstCategoryId\":\"1085\",\"ListUrlMain\":\"https://doi.org/10.70352/scrj.cr.24-0018\",\"RegionNum\":0,\"RegionCategory\":null,\"ArticlePicture\":[],\"TitleCN\":null,\"AbstractTextCN\":null,\"PMCID\":null,\"EPubDate\":\"2025/1/31 0:00:00\",\"PubModel\":\"Epub\",\"JCR\":\"Q4\",\"JCRName\":\"SURGERY\",\"Score\":null,\"Total\":0}","platform":"Semanticscholar","paperid":null,"PeriodicalName":"Surgical Case Reports","FirstCategoryId":"1085","ListUrlMain":"https://doi.org/10.70352/scrj.cr.24-0018","RegionNum":0,"RegionCategory":null,"ArticlePicture":[],"TitleCN":null,"AbstractTextCN":null,"PMCID":null,"EPubDate":"2025/1/31 0:00:00","PubModel":"Epub","JCR":"Q4","JCRName":"SURGERY","Score":null,"Total":0}
引用次数: 0

摘要

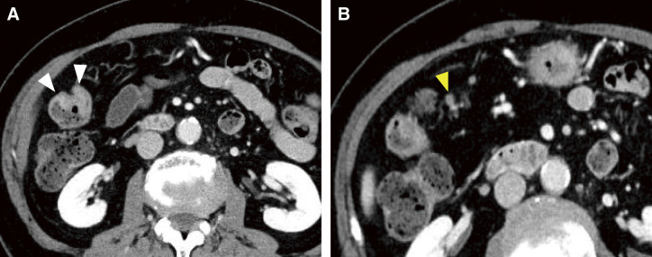
简介:恶性肿瘤自发消退(SR)的发生率为6万~ 10万癌症患者中1例,而结直肠癌的自发消退相当罕见,据报道仅占恶性肿瘤自发消退的不到2%。近年来,一些关于高频微卫星不稳定的结直肠癌患者自发消退的报道表明,高频微卫星不稳定与自发消退之间存在着深刻的联系。我们报告了我们的经验,自发消退的晚期结直肠癌与高频微卫星不稳定性,并提供了自发消退在结直肠癌的综述。病例介绍:一名83岁女性,经下胃肠内镜检查诊断为横结肠晚期结直肠癌,活检结果显示为中分化腺癌。增强计算机断层扫描显示肿瘤位于肝屈曲附近,肿瘤附近有肿大的淋巴结。未见远处转移,术前诊断为cT3N1aM0 ciiib期癌。活检标本的免疫组化分析提示错配修复缺陷。在等待手术期间,患者因严重脱水而紧急住院。在她的一般情况好转后,活检后38天,我们行腹腔镜部分升、横结肠切除术并D3淋巴结清扫。术前发现的肿瘤在标本中不存在,术中内镜检查显示肛门直肠侧未见肿瘤。再次行回盲切除,标本未见肿瘤,术中再次行内镜检查,发现肛门缘附近有一变色瘢痕。我们确定肿瘤丢失或形态改变已经发生,因此在对同一区域进行额外切除后,最终进行了扩大的右半结肠切除术。组织病理学诊断为pT0N0M0 pStage0癌,无肿瘤残留。术后1年患者病情进展无复发。结论:高频微卫星不稳定性引起的免疫应答可能与结直肠癌自发消退的机制有关。如果术前诊断高频微卫星不稳定,我们建议术前确认肿瘤位置。
本文章由计算机程序翻译,如有差异,请以英文原文为准。

Spontaneous Regression of Advanced Transverse Colon Cancer: A Case Report.

Spontaneous Regression of Advanced Transverse Colon Cancer: A Case Report.

Spontaneous Regression of Advanced Transverse Colon Cancer: A Case Report.

Spontaneous Regression of Advanced Transverse Colon Cancer: A Case Report.

Introduction: The incidence of spontaneous regression (SR) of malignancy is one in 60000-100000 cancer patients and spontaneous regression in colorectal cancer is quite rare, reported to account for less than 2% of spontaneous regression of malignancy. In recent years, some reports of spontaneous regression in colorectal cancer in patients with high-frequency microsatellite instability have suggested a deep association between high-frequency microsatellite instability and spontaneous regression. We report our experience of spontaneous regression of advanced colorectal cancer with high-frequency microsatellite instability and provide a review of spontaneous regression in colorectal cancer.

Case presentation: An 83-year-old woman was diagnosed as having advanced colorectal cancer in the transverse colon by lower gastrointestinal endoscopy, and biopsy results revealed moderately differentiated adenocarcinoma. Contrast-enhanced computed tomography showed a tumor located near the hepatic flexure and an enlarged lymph node near the tumor. No distant metastasis was observed, and the preoperative diagnosis was cT3N1aM0 cStage IIIb cancer. Immunohistochemical analysis of the biopsy specimen suggested deficient mismatch repair. During the wait for surgery, the patient was urgently hospitalized due to severe dehydration. After her general condition improved, 38 days after the biopsy, we performed laparoscopic resection of the partial ascending and transverse colon with D3 lymph node dissection. The tumor noted preoperatively was not present in the specimen, and intraoperative endoscopy revealed no tumor on the anorectal side. Additional ileocecal resection was performed, but no tumor was found in the specimen, and another intraoperative endoscopy was performed, which revealed a discolored scar near the anal margin. We determined that tumor loss or morphological change had occurred, so after additional resection of the same area, ultimately, an extended right hemicolectomy was performed. Histopathological diagnosis was pT0N0M0 pStage0 cancer with no residual tumor. The patient has progressed without recurrence at 1 year after the operation.

Conclusions: The immunological response due to high-frequency microsatellite instability may be related to the mechanism of spontaneous regression in colorectal cancer. If high-frequency microsatellite instability is diagnosed preoperatively, we recommend that the tumor location should be confirmed preoperatively.

求助全文
通过发布文献求助,成功后即可免费获取论文全文。 去求助
来源期刊
自引率
0.00%
发文量
218
审稿时长
13 weeks
×
引用
GB/T 7714-2015
复制
MLA
复制
APA
复制
导出至
BibTeX EndNote RefMan NoteFirst NoteExpress
×
提示
您的信息不完整,为了账户安全,请先补充。
现在去补充
×
提示
您因"违规操作"
具体请查看互助需知
我知道了
×
提示
确定
请完成安全验证×
copy
已复制链接
快去分享给好友吧!
我知道了
右上角分享
点击右上角分享
0
联系我们:info@booksci.cn Book学术提供免费学术资源搜索服务,方便国内外学者检索中英文文献。致力于提供最便捷和优质的服务体验。 Copyright © 2023 布克学术 All rights reserved.
京ICP备2023020795号-1
ghs 京公网安备 11010802042870号
Book学术文献互助
Book学术文献互助群
群 号:604180095
Book学术官方微信