从哥伦比亚回来的炎症性肠病患者:与二肽基肽酶4抑制剂有关?

IF 0.6 Q4 GASTROENTEROLOGY & HEPATOLOGY
Case Reports in Gastroenterology Pub Date : 2025-02-21 eCollection Date: 2025-01-01 DOI:10.1159/000543680
Ahmed B Bayoumy, Gwen M C Masclee, Nanne K H de Boer, Andra Neefjes-Borst, Dirk Jan Stenvers
{"title":"从哥伦比亚回来的炎症性肠病患者:与二肽基肽酶4抑制剂有关?","authors":"Ahmed B Bayoumy, Gwen M C Masclee, Nanne K H de Boer, Andra Neefjes-Borst, Dirk Jan Stenvers","doi":"10.1159/000543680","DOIUrl":null,"url":null,"abstract":"<p><strong>Introduction: </strong>Recent-onset colitis poses a diagnostic challenge, necessitating a thorough evaluation to identify potential infectious and non-infectious etiologies. We considered inflammatory bowel disease (IBD) secondary to dipeptidyl peptidase 4 (DPP-4) inhibitor-induced colitis.</p><p><strong>Case presentation: </strong>This case report details the presentation and management of a patient with persistent dysentery, refractory to conventional treatments, ultimately attributed to IBD possibly secondary to long-term DPP-4 inhibitor use. Following an episode of suspected amebiasis, the patient experienced prolonged bloody diarrhea with an endoscopic image compatible with ulcerative colitis. Extensive infectious diagnostics were negative. Ultimately, the cessation of sitagliptin therapy resulted in rapid symptom resolution and normalization of eosinophilia, as well as endoscopic improvement. However, after a few weeks, the patient was readmitted with diarrhea after continued cessation of sitagliptin.</p><p><strong>Conclusion: </strong>This case underscores the importance of considering IBD secondary to DPP-4 inhibitor use in the evaluation of patients with recent-onset IBD. Further research is needed to elucidate the pathophysiological mechanisms underlying the relationship between DPP-4 inhibitors and IBD.</p>","PeriodicalId":9614,"journal":{"name":"Case Reports in Gastroenterology","volume":"19 1","pages":"89-95"},"PeriodicalIF":0.6000,"publicationDate":"2025-02-21","publicationTypes":"Journal Article","fieldsOfStudy":null,"isOpenAccess":false,"openAccessPdf":"https://www.ncbi.nlm.nih.gov/pmc/articles/PMC11845166/pdf/","citationCount":"0","resultStr":"{\"title\":\"Inflammatory Bowel Disease in a Patient Returning from Colombia: Association with Dipeptidyl Peptidase 4 Inhibitor?\",\"authors\":\"Ahmed B Bayoumy, Gwen M C Masclee, Nanne K H de Boer, Andra Neefjes-Borst, Dirk Jan Stenvers\",\"doi\":\"10.1159/000543680\",\"DOIUrl\":null,\"url\":null,\"abstract\":\"<p><strong>Introduction: </strong>Recent-onset colitis poses a diagnostic challenge, necessitating a thorough evaluation to identify potential infectious and non-infectious etiologies. We considered inflammatory bowel disease (IBD) secondary to dipeptidyl peptidase 4 (DPP-4) inhibitor-induced colitis.</p><p><strong>Case presentation: </strong>This case report details the presentation and management of a patient with persistent dysentery, refractory to conventional treatments, ultimately attributed to IBD possibly secondary to long-term DPP-4 inhibitor use. Following an episode of suspected amebiasis, the patient experienced prolonged bloody diarrhea with an endoscopic image compatible with ulcerative colitis. Extensive infectious diagnostics were negative. Ultimately, the cessation of sitagliptin therapy resulted in rapid symptom resolution and normalization of eosinophilia, as well as endoscopic improvement. However, after a few weeks, the patient was readmitted with diarrhea after continued cessation of sitagliptin.</p><p><strong>Conclusion: </strong>This case underscores the importance of considering IBD secondary to DPP-4 inhibitor use in the evaluation of patients with recent-onset IBD. Further research is needed to elucidate the pathophysiological mechanisms underlying the relationship between DPP-4 inhibitors and IBD.</p>\",\"PeriodicalId\":9614,\"journal\":{\"name\":\"Case Reports in Gastroenterology\",\"volume\":\"19 1\",\"pages\":\"89-95\"},\"PeriodicalIF\":0.6000,\"publicationDate\":\"2025-02-21\",\"publicationTypes\":\"Journal Article\",\"fieldsOfStudy\":null,\"isOpenAccess\":false,\"openAccessPdf\":\"https://www.ncbi.nlm.nih.gov/pmc/articles/PMC11845166/pdf/\",\"citationCount\":\"0\",\"resultStr\":null,\"platform\":\"Semanticscholar\",\"paperid\":null,\"PeriodicalName\":\"Case Reports in Gastroenterology\",\"FirstCategoryId\":\"1085\",\"ListUrlMain\":\"https://doi.org/10.1159/000543680\",\"RegionNum\":0,\"RegionCategory\":null,\"ArticlePicture\":[],\"TitleCN\":null,\"AbstractTextCN\":null,\"PMCID\":null,\"EPubDate\":\"2025/1/1 0:00:00\",\"PubModel\":\"eCollection\",\"JCR\":\"Q4\",\"JCRName\":\"GASTROENTEROLOGY & HEPATOLOGY\",\"Score\":null,\"Total\":0}","platform":"Semanticscholar","paperid":null,"PeriodicalName":"Case Reports in Gastroenterology","FirstCategoryId":"1085","ListUrlMain":"https://doi.org/10.1159/000543680","RegionNum":0,"RegionCategory":null,"ArticlePicture":[],"TitleCN":null,"AbstractTextCN":null,"PMCID":null,"EPubDate":"2025/1/1 0:00:00","PubModel":"eCollection","JCR":"Q4","JCRName":"GASTROENTEROLOGY & HEPATOLOGY","Score":null,"Total":0}
引用次数: 0

摘要

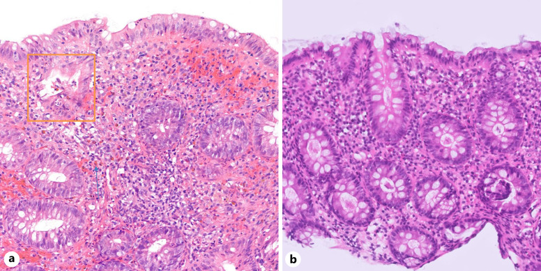
简介:近期发生的结肠炎提出了一个诊断挑战,需要彻底的评估,以确定潜在的感染性和非感染性病因。我们考虑继发于二肽基肽酶4 (DPP-4)抑制剂诱导结肠炎的炎症性肠病(IBD)。病例介绍:本病例报告详细介绍了一位顽固性痢疾患者的表现和治疗,该患者对常规治疗难治性,最终归因于IBD,可能继发于长期使用DPP-4抑制剂。在一次疑似阿米巴病发作后,患者经历了长时间的血性腹泻,内窥镜图像与溃疡性结肠炎相符。广泛的感染性诊断呈阴性。最终,停止西格列汀治疗导致症状迅速缓解和嗜酸性粒细胞正常化,以及内镜改善。然而,几周后,患者在继续停用西格列汀后因腹泻再次入院。结论:本病例强调了在评估新近发病的IBD患者时考虑DPP-4抑制剂继发IBD的重要性。需要进一步研究阐明DPP-4抑制剂与IBD之间关系的病理生理机制。
本文章由计算机程序翻译,如有差异,请以英文原文为准。

Inflammatory Bowel Disease in a Patient Returning from Colombia: Association with Dipeptidyl Peptidase 4 Inhibitor?

Inflammatory Bowel Disease in a Patient Returning from Colombia: Association with Dipeptidyl Peptidase 4 Inhibitor?

Inflammatory Bowel Disease in a Patient Returning from Colombia: Association with Dipeptidyl Peptidase 4 Inhibitor?

Inflammatory Bowel Disease in a Patient Returning from Colombia: Association with Dipeptidyl Peptidase 4 Inhibitor?

Introduction: Recent-onset colitis poses a diagnostic challenge, necessitating a thorough evaluation to identify potential infectious and non-infectious etiologies. We considered inflammatory bowel disease (IBD) secondary to dipeptidyl peptidase 4 (DPP-4) inhibitor-induced colitis.

Case presentation: This case report details the presentation and management of a patient with persistent dysentery, refractory to conventional treatments, ultimately attributed to IBD possibly secondary to long-term DPP-4 inhibitor use. Following an episode of suspected amebiasis, the patient experienced prolonged bloody diarrhea with an endoscopic image compatible with ulcerative colitis. Extensive infectious diagnostics were negative. Ultimately, the cessation of sitagliptin therapy resulted in rapid symptom resolution and normalization of eosinophilia, as well as endoscopic improvement. However, after a few weeks, the patient was readmitted with diarrhea after continued cessation of sitagliptin.

Conclusion: This case underscores the importance of considering IBD secondary to DPP-4 inhibitor use in the evaluation of patients with recent-onset IBD. Further research is needed to elucidate the pathophysiological mechanisms underlying the relationship between DPP-4 inhibitors and IBD.

求助全文
通过发布文献求助,成功后即可免费获取论文全文。 去求助
来源期刊
Case Reports in Gastroenterology
Case Reports in Gastroenterology Medicine-Gastroenterology
CiteScore
1.10
自引率
0.00%
发文量
99
审稿时长
7 weeks
期刊介绍:
×
引用
GB/T 7714-2015
复制
MLA
复制
APA
复制
导出至
BibTeX EndNote RefMan NoteFirst NoteExpress
×
提示
您的信息不完整,为了账户安全,请先补充。
现在去补充
×
提示
您因"违规操作"
具体请查看互助需知
我知道了
×
提示
确定
请完成安全验证×
copy
已复制链接
快去分享给好友吧!
我知道了
右上角分享
点击右上角分享
0
联系我们:info@booksci.cn Book学术提供免费学术资源搜索服务,方便国内外学者检索中英文文献。致力于提供最便捷和优质的服务体验。 Copyright © 2023 布克学术 All rights reserved.
京ICP备2023020795号-1
ghs 京公网安备 11010802042870号
Book学术文献互助
Book学术文献互助群
群 号:604180095
Book学术官方微信