内镜/透视混合胃造口管置入:一种新技术的病例报告。

IF 0.6 Q4 GASTROENTEROLOGY & HEPATOLOGY
Case Reports in Gastroenterology Pub Date : 2025-02-18 eCollection Date: 2025-01-01 DOI:10.1159/000542809
Nicholas Girardi, Benjamin Wharton, Kenneth Cicuto, Alysia Wiley, Lacey LaGrone
{"title":"内镜/透视混合胃造口管置入:一种新技术的病例报告。","authors":"Nicholas Girardi, Benjamin Wharton, Kenneth Cicuto, Alysia Wiley, Lacey LaGrone","doi":"10.1159/000542809","DOIUrl":null,"url":null,"abstract":"<p><strong>Introduction: </strong>We report the case of a 60-year-old female with a history of perforated gastric ulcer, abdominal abscesses, enterocutaneous fistula, and small bowel obstruction requiring durable gastric decompression prior to delayed fistula takedown. The patient had contraindications to or failed attempts at traditional gastrostomy approaches (surgical, endoscopic, interventional radiology).</p><p><strong>Case report: </strong>Gastrostomy was successfully performed via a novel technique combining interventional radiology and endoscopic placement.</p><p><strong>Discussion: </strong>In certain patients with complex presentations, a hybrid approach to gastrostomy tube placement using fluoroscopy and endoscopy may prove a viable alternative when traditional methods are contraindicated or unsuccessful.</p>","PeriodicalId":9614,"journal":{"name":"Case Reports in Gastroenterology","volume":"19 1","pages":"72-78"},"PeriodicalIF":0.6000,"publicationDate":"2025-02-18","publicationTypes":"Journal Article","fieldsOfStudy":null,"isOpenAccess":false,"openAccessPdf":"https://www.ncbi.nlm.nih.gov/pmc/articles/PMC11835415/pdf/","citationCount":"0","resultStr":"{\"title\":\"Hybrid Endoscopic/Fluoroscopic Gastrostomy Tube Placement: Case Report of a Novel Technique.\",\"authors\":\"Nicholas Girardi, Benjamin Wharton, Kenneth Cicuto, Alysia Wiley, Lacey LaGrone\",\"doi\":\"10.1159/000542809\",\"DOIUrl\":null,\"url\":null,\"abstract\":\"<p><strong>Introduction: </strong>We report the case of a 60-year-old female with a history of perforated gastric ulcer, abdominal abscesses, enterocutaneous fistula, and small bowel obstruction requiring durable gastric decompression prior to delayed fistula takedown. The patient had contraindications to or failed attempts at traditional gastrostomy approaches (surgical, endoscopic, interventional radiology).</p><p><strong>Case report: </strong>Gastrostomy was successfully performed via a novel technique combining interventional radiology and endoscopic placement.</p><p><strong>Discussion: </strong>In certain patients with complex presentations, a hybrid approach to gastrostomy tube placement using fluoroscopy and endoscopy may prove a viable alternative when traditional methods are contraindicated or unsuccessful.</p>\",\"PeriodicalId\":9614,\"journal\":{\"name\":\"Case Reports in Gastroenterology\",\"volume\":\"19 1\",\"pages\":\"72-78\"},\"PeriodicalIF\":0.6000,\"publicationDate\":\"2025-02-18\",\"publicationTypes\":\"Journal Article\",\"fieldsOfStudy\":null,\"isOpenAccess\":false,\"openAccessPdf\":\"https://www.ncbi.nlm.nih.gov/pmc/articles/PMC11835415/pdf/\",\"citationCount\":\"0\",\"resultStr\":null,\"platform\":\"Semanticscholar\",\"paperid\":null,\"PeriodicalName\":\"Case Reports in Gastroenterology\",\"FirstCategoryId\":\"1085\",\"ListUrlMain\":\"https://doi.org/10.1159/000542809\",\"RegionNum\":0,\"RegionCategory\":null,\"ArticlePicture\":[],\"TitleCN\":null,\"AbstractTextCN\":null,\"PMCID\":null,\"EPubDate\":\"2025/1/1 0:00:00\",\"PubModel\":\"eCollection\",\"JCR\":\"Q4\",\"JCRName\":\"GASTROENTEROLOGY & HEPATOLOGY\",\"Score\":null,\"Total\":0}","platform":"Semanticscholar","paperid":null,"PeriodicalName":"Case Reports in Gastroenterology","FirstCategoryId":"1085","ListUrlMain":"https://doi.org/10.1159/000542809","RegionNum":0,"RegionCategory":null,"ArticlePicture":[],"TitleCN":null,"AbstractTextCN":null,"PMCID":null,"EPubDate":"2025/1/1 0:00:00","PubModel":"eCollection","JCR":"Q4","JCRName":"GASTROENTEROLOGY & HEPATOLOGY","Score":null,"Total":0}
引用次数: 0

摘要

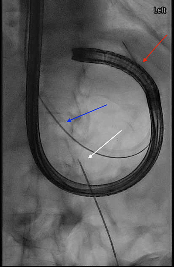
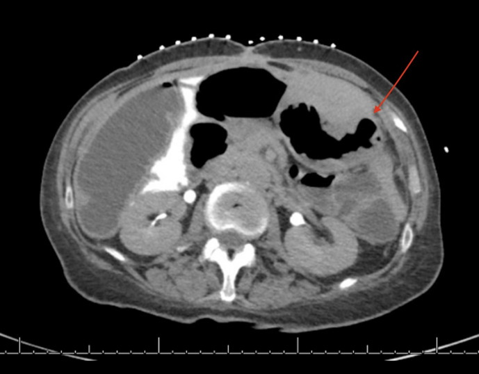
简介:我们报告一例60岁女性,有胃溃疡穿孔、腹部脓肿、肠皮瘘和小肠梗阻病史,需要在延迟取瘘前进行持久的胃减压。患者对传统胃造口方法(手术、内镜、介入放射学)有禁忌症或尝试失败。病例报告:通过一种结合介入放射学和内镜放置的新技术成功地进行了胃造口术。讨论:在某些具有复杂表现的患者中,当传统方法禁忌或不成功时,采用透视和内窥镜混合入路放置胃造口管可能是一种可行的替代方法。
本文章由计算机程序翻译,如有差异,请以英文原文为准。

Hybrid Endoscopic/Fluoroscopic Gastrostomy Tube Placement: Case Report of a Novel Technique.

Hybrid Endoscopic/Fluoroscopic Gastrostomy Tube Placement: Case Report of a Novel Technique.

Hybrid Endoscopic/Fluoroscopic Gastrostomy Tube Placement: Case Report of a Novel Technique.

Hybrid Endoscopic/Fluoroscopic Gastrostomy Tube Placement: Case Report of a Novel Technique.

Introduction: We report the case of a 60-year-old female with a history of perforated gastric ulcer, abdominal abscesses, enterocutaneous fistula, and small bowel obstruction requiring durable gastric decompression prior to delayed fistula takedown. The patient had contraindications to or failed attempts at traditional gastrostomy approaches (surgical, endoscopic, interventional radiology).

Case report: Gastrostomy was successfully performed via a novel technique combining interventional radiology and endoscopic placement.

Discussion: In certain patients with complex presentations, a hybrid approach to gastrostomy tube placement using fluoroscopy and endoscopy may prove a viable alternative when traditional methods are contraindicated or unsuccessful.

求助全文
通过发布文献求助,成功后即可免费获取论文全文。 去求助
来源期刊
Case Reports in Gastroenterology
Case Reports in Gastroenterology Medicine-Gastroenterology
CiteScore
1.10
自引率
0.00%
发文量
99
审稿时长
7 weeks
期刊介绍:
×
引用
GB/T 7714-2015
复制
MLA
复制
APA
复制
导出至
BibTeX EndNote RefMan NoteFirst NoteExpress
×
提示
您的信息不完整,为了账户安全,请先补充。
现在去补充
×
提示
您因"违规操作"
具体请查看互助需知
我知道了
×
提示
确定
请完成安全验证×
copy
已复制链接
快去分享给好友吧!
我知道了
右上角分享
点击右上角分享
0
联系我们:info@booksci.cn Book学术提供免费学术资源搜索服务,方便国内外学者检索中英文文献。致力于提供最便捷和优质的服务体验。 Copyright © 2023 布克学术 All rights reserved.
京ICP备2023020795号-1
ghs 京公网安备 11010802042870号
Book学术文献互助
Book学术文献互助群
群 号:604180095
Book学术官方微信