全面洞察平堡肿瘤:病因学,先进的诊断方法和循证管理策略-文献综述。

IF 1.5 4区 医学 Q4 DEVELOPMENTAL BIOLOGY
Cristian Niky Cumpătă, Maria Cristina Munteanu, Elena Cristina Andrei, Ilona Mihaela Liliac, Cristina Jana Busuioc, Paolo Di Francesco, Mădălina Anca Moldovan, Simona Iuliana Enache, Alexandru Burcea, Ciprian Laurenţiu Pătru, Călin Rareş Roman
{"title":"全面洞察平堡肿瘤:病因学,先进的诊断方法和循证管理策略-文献综述。","authors":"Cristian Niky Cumpătă, Maria Cristina Munteanu, Elena Cristina Andrei, Ilona Mihaela Liliac, Cristina Jana Busuioc, Paolo Di Francesco, Mădălina Anca Moldovan, Simona Iuliana Enache, Alexandru Burcea, Ciprian Laurenţiu Pătru, Călin Rareş Roman","doi":"10.47162/RJME.65.4.08","DOIUrl":null,"url":null,"abstract":"<p><p>Pindborg tumor is a calcifying epithelial odontogenic tumor possibly arising from developmental disturbances in dental lamina remnants. It predominantly affects individuals in their third decade of life, with women also experiencing later onset. The tumor exists in two forms, namely intraosseous (central) and extraosseous (peripheral), with the former showing higher post-surgery recurrence rates of about 14%. Despite its rarity, the tumor can be misdiagnosed due to symptoms resembling dental issues and headaches, or it may even be asymptomatic. Radiologically, it presents a mix of radiolucent and radiopaque areas, sometimes unilocular or multilocular. Histopathologically, it is characterized by nests and sheets of polygonal epithelial cells with eosinophilic cytoplasm and prominent nucleoli. The presence of eosinophilic amyloid-like material and calcifications is distinctive, ranging from small concretions to larger aggregates. The exact origin of amyloids is unknown, but they are thought to derive from degraded keratin filaments. Treatment varies by tumor location, with more invasive procedures required for jaw tumors, including bone resection, due to their aggressive growth and invasion of the surrounding tissues. Accurate, individualized treatment is crucial for patient outcomes, particularly in cases where the tumor's calcification is absent, indicating a severe impact on health. Our study included a case report of a 12-year-old patient who presented to the dental clinic complaining of sporadic pain in the area of the lower right front teeth. During a clinical examination of the area, we noticed a deformation of the alveolar bone, with a depressed mucosa. We followed the chronological steps of radiological examination, lesion excision, and histopathological examination to obtain a definitive diagnosis.</p>","PeriodicalId":54447,"journal":{"name":"Romanian Journal of Morphology and Embryology","volume":"65 4","pages":"617-625"},"PeriodicalIF":1.5000,"publicationDate":"2024-10-01","publicationTypes":"Journal Article","fieldsOfStudy":null,"isOpenAccess":false,"openAccessPdf":"https://www.ncbi.nlm.nih.gov/pmc/articles/PMC11924921/pdf/","citationCount":"0","resultStr":"{\"title\":\"Comprehensive insights into Pindborg tumor: etiology, advanced diagnostic approaches, and evidence-based management strategies - review of literature.\",\"authors\":\"Cristian Niky Cumpătă, Maria Cristina Munteanu, Elena Cristina Andrei, Ilona Mihaela Liliac, Cristina Jana Busuioc, Paolo Di Francesco, Mădălina Anca Moldovan, Simona Iuliana Enache, Alexandru Burcea, Ciprian Laurenţiu Pătru, Călin Rareş Roman\",\"doi\":\"10.47162/RJME.65.4.08\",\"DOIUrl\":null,\"url\":null,\"abstract\":\"<p><p>Pindborg tumor is a calcifying epithelial odontogenic tumor possibly arising from developmental disturbances in dental lamina remnants. It predominantly affects individuals in their third decade of life, with women also experiencing later onset. The tumor exists in two forms, namely intraosseous (central) and extraosseous (peripheral), with the former showing higher post-surgery recurrence rates of about 14%. Despite its rarity, the tumor can be misdiagnosed due to symptoms resembling dental issues and headaches, or it may even be asymptomatic. Radiologically, it presents a mix of radiolucent and radiopaque areas, sometimes unilocular or multilocular. Histopathologically, it is characterized by nests and sheets of polygonal epithelial cells with eosinophilic cytoplasm and prominent nucleoli. The presence of eosinophilic amyloid-like material and calcifications is distinctive, ranging from small concretions to larger aggregates. The exact origin of amyloids is unknown, but they are thought to derive from degraded keratin filaments. Treatment varies by tumor location, with more invasive procedures required for jaw tumors, including bone resection, due to their aggressive growth and invasion of the surrounding tissues. Accurate, individualized treatment is crucial for patient outcomes, particularly in cases where the tumor's calcification is absent, indicating a severe impact on health. Our study included a case report of a 12-year-old patient who presented to the dental clinic complaining of sporadic pain in the area of the lower right front teeth. During a clinical examination of the area, we noticed a deformation of the alveolar bone, with a depressed mucosa. We followed the chronological steps of radiological examination, lesion excision, and histopathological examination to obtain a definitive diagnosis.</p>\",\"PeriodicalId\":54447,\"journal\":{\"name\":\"Romanian Journal of Morphology and Embryology\",\"volume\":\"65 4\",\"pages\":\"617-625\"},\"PeriodicalIF\":1.5000,\"publicationDate\":\"2024-10-01\",\"publicationTypes\":\"Journal Article\",\"fieldsOfStudy\":null,\"isOpenAccess\":false,\"openAccessPdf\":\"https://www.ncbi.nlm.nih.gov/pmc/articles/PMC11924921/pdf/\",\"citationCount\":\"0\",\"resultStr\":null,\"platform\":\"Semanticscholar\",\"paperid\":null,\"PeriodicalName\":\"Romanian Journal of Morphology and Embryology\",\"FirstCategoryId\":\"3\",\"ListUrlMain\":\"https://doi.org/10.47162/RJME.65.4.08\",\"RegionNum\":4,\"RegionCategory\":\"医学\",\"ArticlePicture\":[],\"TitleCN\":null,\"AbstractTextCN\":null,\"PMCID\":null,\"EPubDate\":\"\",\"PubModel\":\"\",\"JCR\":\"Q4\",\"JCRName\":\"DEVELOPMENTAL BIOLOGY\",\"Score\":null,\"Total\":0}","platform":"Semanticscholar","paperid":null,"PeriodicalName":"Romanian Journal of Morphology and Embryology","FirstCategoryId":"3","ListUrlMain":"https://doi.org/10.47162/RJME.65.4.08","RegionNum":4,"RegionCategory":"医学","ArticlePicture":[],"TitleCN":null,"AbstractTextCN":null,"PMCID":null,"EPubDate":"","PubModel":"","JCR":"Q4","JCRName":"DEVELOPMENTAL BIOLOGY","Score":null,"Total":0}
引用次数: 0

摘要

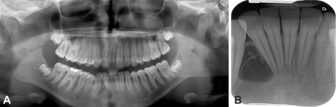
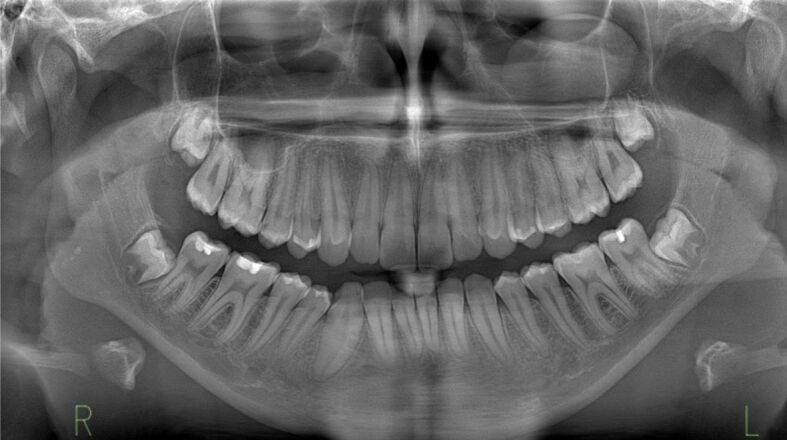
平堡瘤是一种钙化上皮性牙源性肿瘤,可能是由于牙齿薄层残留物的发育障碍引起的。这种肿瘤主要影响生命中第三个十年的人,女性发病较晚。该肿瘤有两种形式,即骨内(中央型)和骨外(周围型),前者的术后复发率较高,约为 14%。尽管这种肿瘤很罕见,但由于其症状类似牙科问题和头痛,甚至可能没有症状,因此可能会被误诊。在放射学上,它表现为放射线透明区和放射线不透明区的混合,有时为单眼或多眼。组织病理学上,它的特征是多角形上皮细胞的巢状和片状,胞质嗜酸性,核仁突出。嗜酸性淀粉样物质和钙化是该病的显著特征,从小凝块到较大的聚集体都有。淀粉样蛋白的确切来源尚不清楚,但认为它们来自降解的角蛋白丝。治疗方法因肿瘤位置而异,由于颌骨肿瘤具有侵袭性生长和对周围组织的侵袭,因此需要进行包括骨切除在内的侵入性手术。准确的个体化治疗对患者的预后至关重要,尤其是在肿瘤钙化缺失的情况下,预示着对健康的严重影响。我们的研究包括一例 12 岁患者的病例报告,该患者到牙科诊所就诊时主诉右下门牙部位零星疼痛。在对该区域进行临床检查时,我们发现牙槽骨变形,粘膜凹陷。我们按照放射学检查、病灶切除和组织病理学检查的时间顺序进行了检查,以获得明确诊断。
本文章由计算机程序翻译,如有差异,请以英文原文为准。

Comprehensive insights into Pindborg tumor: etiology, advanced diagnostic approaches, and evidence-based management strategies - review of literature.

Comprehensive insights into Pindborg tumor: etiology, advanced diagnostic approaches, and evidence-based management strategies - review of literature.

Comprehensive insights into Pindborg tumor: etiology, advanced diagnostic approaches, and evidence-based management strategies - review of literature.

Comprehensive insights into Pindborg tumor: etiology, advanced diagnostic approaches, and evidence-based management strategies - review of literature.

Pindborg tumor is a calcifying epithelial odontogenic tumor possibly arising from developmental disturbances in dental lamina remnants. It predominantly affects individuals in their third decade of life, with women also experiencing later onset. The tumor exists in two forms, namely intraosseous (central) and extraosseous (peripheral), with the former showing higher post-surgery recurrence rates of about 14%. Despite its rarity, the tumor can be misdiagnosed due to symptoms resembling dental issues and headaches, or it may even be asymptomatic. Radiologically, it presents a mix of radiolucent and radiopaque areas, sometimes unilocular or multilocular. Histopathologically, it is characterized by nests and sheets of polygonal epithelial cells with eosinophilic cytoplasm and prominent nucleoli. The presence of eosinophilic amyloid-like material and calcifications is distinctive, ranging from small concretions to larger aggregates. The exact origin of amyloids is unknown, but they are thought to derive from degraded keratin filaments. Treatment varies by tumor location, with more invasive procedures required for jaw tumors, including bone resection, due to their aggressive growth and invasion of the surrounding tissues. Accurate, individualized treatment is crucial for patient outcomes, particularly in cases where the tumor's calcification is absent, indicating a severe impact on health. Our study included a case report of a 12-year-old patient who presented to the dental clinic complaining of sporadic pain in the area of the lower right front teeth. During a clinical examination of the area, we noticed a deformation of the alveolar bone, with a depressed mucosa. We followed the chronological steps of radiological examination, lesion excision, and histopathological examination to obtain a definitive diagnosis.

求助全文
通过发布文献求助,成功后即可免费获取论文全文。 去求助
来源期刊
CiteScore
1.70
自引率
20.00%
发文量
221
审稿时长
3-8 weeks
期刊介绍: Romanian Journal of Morphology and Embryology (Rom J Morphol Embryol) publishes studies on all aspects of normal morphology and human comparative and experimental pathology. The Journal accepts only researches that utilize modern investigation methods (studies of anatomy, pathology, cytopathology, immunohistochemistry, histochemistry, immunology, morphometry, molecular and cellular biology, electronic microscopy, etc.).
×
引用
GB/T 7714-2015
复制
MLA
复制
APA
复制
导出至
BibTeX EndNote RefMan NoteFirst NoteExpress
×
提示
您的信息不完整,为了账户安全,请先补充。
现在去补充
×
提示
您因"违规操作"
具体请查看互助需知
我知道了
×
提示
确定
请完成安全验证×
copy
已复制链接
快去分享给好友吧!
我知道了
右上角分享
点击右上角分享
0
联系我们:info@booksci.cn Book学术提供免费学术资源搜索服务,方便国内外学者检索中英文文献。致力于提供最便捷和优质的服务体验。 Copyright © 2023 布克学术 All rights reserved.
京ICP备2023020795号-1
ghs 京公网安备 11010802042870号
Book学术文献互助
Book学术文献互助群
群 号:604180095
Book学术官方微信