回肠腺癌:幽门腺化生的文献见解。

IF 1.5 4区 医学 Q4 DEVELOPMENTAL BIOLOGY
Bogdan Stancu, Răzvan Alexandru Ciocan, Marius George Teodorescu, Doiniţa Crişan, Florin Vasile Mihăileanu, Ştefan Ursu, Liviu Tartacovschi, Ştefan Lucian Popa, Claudia Diana Gherman, Octavian Aurel Andercou
{"title":"回肠腺癌:幽门腺化生的文献见解。","authors":"Bogdan Stancu, Răzvan Alexandru Ciocan, Marius George Teodorescu, Doiniţa Crişan, Florin Vasile Mihăileanu, Ştefan Ursu, Liviu Tartacovschi, Ştefan Lucian Popa, Claudia Diana Gherman, Octavian Aurel Andercou","doi":"10.47162/RJME.65.4.05","DOIUrl":null,"url":null,"abstract":"<p><p>Adenocarcinoma (ADK) of the ileum is an infrequent cancer that poses significant diagnostic and treatment difficulties. This article analyses the existing case literature to investigate the correlation between pyloric gland metaplasia (PGM) and the onset of ileal ADK. PGM, defined by the atypical transformation of intestinal epithelial cells into gastric-type mucosa, has been recognized as a possible precursor lesion in the spectrum of several gastrointestinal malignancies. We intend to clarify the clinical characteristics, histological results, and outcomes linked to ileal ADK originating from PGM through an exhaustive examination of recorded cases. Our findings indicate that early identification of metaplastic alterations may be essential for enhancing prognosis and informing therapeutic choices. This study emphasizes the need for additional research to elucidate the mechanisms driving this transition and to improve diagnostic precision in clinical practice.</p>","PeriodicalId":54447,"journal":{"name":"Romanian Journal of Morphology and Embryology","volume":"65 4","pages":"593-598"},"PeriodicalIF":1.5000,"publicationDate":"2024-10-01","publicationTypes":"Journal Article","fieldsOfStudy":null,"isOpenAccess":false,"openAccessPdf":"https://www.ncbi.nlm.nih.gov/pmc/articles/PMC11924899/pdf/","citationCount":"0","resultStr":"{\"title\":\"Adenocarcinoma of the ileum: literature insights on pyloric gland metaplasia.\",\"authors\":\"Bogdan Stancu, Răzvan Alexandru Ciocan, Marius George Teodorescu, Doiniţa Crişan, Florin Vasile Mihăileanu, Ştefan Ursu, Liviu Tartacovschi, Ştefan Lucian Popa, Claudia Diana Gherman, Octavian Aurel Andercou\",\"doi\":\"10.47162/RJME.65.4.05\",\"DOIUrl\":null,\"url\":null,\"abstract\":\"<p><p>Adenocarcinoma (ADK) of the ileum is an infrequent cancer that poses significant diagnostic and treatment difficulties. This article analyses the existing case literature to investigate the correlation between pyloric gland metaplasia (PGM) and the onset of ileal ADK. PGM, defined by the atypical transformation of intestinal epithelial cells into gastric-type mucosa, has been recognized as a possible precursor lesion in the spectrum of several gastrointestinal malignancies. We intend to clarify the clinical characteristics, histological results, and outcomes linked to ileal ADK originating from PGM through an exhaustive examination of recorded cases. Our findings indicate that early identification of metaplastic alterations may be essential for enhancing prognosis and informing therapeutic choices. This study emphasizes the need for additional research to elucidate the mechanisms driving this transition and to improve diagnostic precision in clinical practice.</p>\",\"PeriodicalId\":54447,\"journal\":{\"name\":\"Romanian Journal of Morphology and Embryology\",\"volume\":\"65 4\",\"pages\":\"593-598\"},\"PeriodicalIF\":1.5000,\"publicationDate\":\"2024-10-01\",\"publicationTypes\":\"Journal Article\",\"fieldsOfStudy\":null,\"isOpenAccess\":false,\"openAccessPdf\":\"https://www.ncbi.nlm.nih.gov/pmc/articles/PMC11924899/pdf/\",\"citationCount\":\"0\",\"resultStr\":null,\"platform\":\"Semanticscholar\",\"paperid\":null,\"PeriodicalName\":\"Romanian Journal of Morphology and Embryology\",\"FirstCategoryId\":\"3\",\"ListUrlMain\":\"https://doi.org/10.47162/RJME.65.4.05\",\"RegionNum\":4,\"RegionCategory\":\"医学\",\"ArticlePicture\":[],\"TitleCN\":null,\"AbstractTextCN\":null,\"PMCID\":null,\"EPubDate\":\"\",\"PubModel\":\"\",\"JCR\":\"Q4\",\"JCRName\":\"DEVELOPMENTAL BIOLOGY\",\"Score\":null,\"Total\":0}","platform":"Semanticscholar","paperid":null,"PeriodicalName":"Romanian Journal of Morphology and Embryology","FirstCategoryId":"3","ListUrlMain":"https://doi.org/10.47162/RJME.65.4.05","RegionNum":4,"RegionCategory":"医学","ArticlePicture":[],"TitleCN":null,"AbstractTextCN":null,"PMCID":null,"EPubDate":"","PubModel":"","JCR":"Q4","JCRName":"DEVELOPMENTAL BIOLOGY","Score":null,"Total":0}
引用次数: 0

摘要

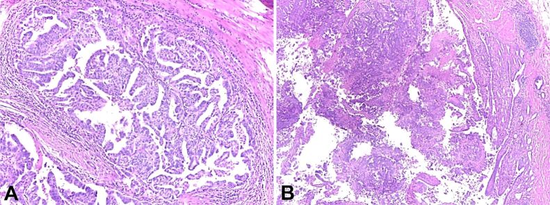
回肠腺癌(ADK)是一种罕见的癌症,具有显著的诊断和治疗困难。本文通过对已有病例文献的分析,探讨幽门腺化生(PGM)与回肠ADK发病的关系。PGM的定义是肠上皮细胞向胃型粘膜的非典型转化,已被认为是几种胃肠道恶性肿瘤谱系中可能的前体病变。我们打算通过对记录病例的详尽检查,阐明临床特征、组织学结果和与源于PGM的回肠ADK相关的结果。我们的研究结果表明,早期识别化生改变可能对改善预后和告知治疗选择至关重要。这项研究强调需要进一步的研究来阐明驱动这种转变的机制,并提高临床实践中的诊断精度。
本文章由计算机程序翻译,如有差异,请以英文原文为准。

Adenocarcinoma of the ileum: literature insights on pyloric gland metaplasia.

Adenocarcinoma of the ileum: literature insights on pyloric gland metaplasia.

Adenocarcinoma of the ileum: literature insights on pyloric gland metaplasia.

Adenocarcinoma of the ileum: literature insights on pyloric gland metaplasia.

Adenocarcinoma (ADK) of the ileum is an infrequent cancer that poses significant diagnostic and treatment difficulties. This article analyses the existing case literature to investigate the correlation between pyloric gland metaplasia (PGM) and the onset of ileal ADK. PGM, defined by the atypical transformation of intestinal epithelial cells into gastric-type mucosa, has been recognized as a possible precursor lesion in the spectrum of several gastrointestinal malignancies. We intend to clarify the clinical characteristics, histological results, and outcomes linked to ileal ADK originating from PGM through an exhaustive examination of recorded cases. Our findings indicate that early identification of metaplastic alterations may be essential for enhancing prognosis and informing therapeutic choices. This study emphasizes the need for additional research to elucidate the mechanisms driving this transition and to improve diagnostic precision in clinical practice.

求助全文
通过发布文献求助,成功后即可免费获取论文全文。 去求助
来源期刊
CiteScore
1.70
自引率
20.00%
发文量
221
审稿时长
3-8 weeks
期刊介绍: Romanian Journal of Morphology and Embryology (Rom J Morphol Embryol) publishes studies on all aspects of normal morphology and human comparative and experimental pathology. The Journal accepts only researches that utilize modern investigation methods (studies of anatomy, pathology, cytopathology, immunohistochemistry, histochemistry, immunology, morphometry, molecular and cellular biology, electronic microscopy, etc.).
×
引用
GB/T 7714-2015
复制
MLA
复制
APA
复制
导出至
BibTeX EndNote RefMan NoteFirst NoteExpress
×
提示
您的信息不完整,为了账户安全,请先补充。
现在去补充
×
提示
您因"违规操作"
具体请查看互助需知
我知道了
×
提示
确定
请完成安全验证×
copy
已复制链接
快去分享给好友吧!
我知道了
右上角分享
点击右上角分享
0
联系我们:info@booksci.cn Book学术提供免费学术资源搜索服务,方便国内外学者检索中英文文献。致力于提供最便捷和优质的服务体验。 Copyright © 2023 布克学术 All rights reserved.
京ICP备2023020795号-1
ghs 京公网安备 11010802042870号
Book学术文献互助
Book学术文献互助群
群 号:604180095
Book学术官方微信