喉部巨细胞瘤——诊断上的挑战。

IF 0.5 Q4 RADIOLOGY, NUCLEAR MEDICINE & MEDICAL IMAGING
BJR Case Reports Pub Date : 2025-02-10 eCollection Date: 2025-01-01 DOI:10.1093/bjrcr/uaaf006
Vitor H Fraga de Abreu, Ricardo Pacheco, Fernando Cunha, Alexandra Borges
{"title":"喉部巨细胞瘤——诊断上的挑战。","authors":"Vitor H Fraga de Abreu, Ricardo Pacheco, Fernando Cunha, Alexandra Borges","doi":"10.1093/bjrcr/uaaf006","DOIUrl":null,"url":null,"abstract":"<p><p>Giant cell tumours (GCTs) of the larynx are extremely rare. The most affected structure is the thyroid cartilage and only 44 cases are reported in the literature.<sup>1</sup> Clinically, their first manifestation is usually a palpable neck mass, often accompanied by hoarseness, dyspnoea, and/or dysphagia depending on size and location. GCTs are benign neoplasms, yet awareness of this entity is crucial as their aggressive local behaviour can cause significant morbidity with airway obstruction and can simulate a malignancy. The differential diagnosis is broad and remains a clinical and radiological challenge. Indeed, the final diagnosis is established by histology postoperatively. Surgery is the preferred treatment but may impair voice quality. For incomplete surgical resections and high surgical risk lesions, denosumab treatment is a valuable option. We share our experience on GCTs in a young adult presenting as a supraglottic mass.</p>","PeriodicalId":45216,"journal":{"name":"BJR Case Reports","volume":"11 1","pages":"uaaf006"},"PeriodicalIF":0.5000,"publicationDate":"2025-02-10","publicationTypes":"Journal Article","fieldsOfStudy":null,"isOpenAccess":false,"openAccessPdf":"https://www.ncbi.nlm.nih.gov/pmc/articles/PMC11828855/pdf/","citationCount":"0","resultStr":"{\"title\":\"Giant cell tumour of the larynx-a diagnostic challenge.\",\"authors\":\"Vitor H Fraga de Abreu, Ricardo Pacheco, Fernando Cunha, Alexandra Borges\",\"doi\":\"10.1093/bjrcr/uaaf006\",\"DOIUrl\":null,\"url\":null,\"abstract\":\"<p><p>Giant cell tumours (GCTs) of the larynx are extremely rare. The most affected structure is the thyroid cartilage and only 44 cases are reported in the literature.<sup>1</sup> Clinically, their first manifestation is usually a palpable neck mass, often accompanied by hoarseness, dyspnoea, and/or dysphagia depending on size and location. GCTs are benign neoplasms, yet awareness of this entity is crucial as their aggressive local behaviour can cause significant morbidity with airway obstruction and can simulate a malignancy. The differential diagnosis is broad and remains a clinical and radiological challenge. Indeed, the final diagnosis is established by histology postoperatively. Surgery is the preferred treatment but may impair voice quality. For incomplete surgical resections and high surgical risk lesions, denosumab treatment is a valuable option. We share our experience on GCTs in a young adult presenting as a supraglottic mass.</p>\",\"PeriodicalId\":45216,\"journal\":{\"name\":\"BJR Case Reports\",\"volume\":\"11 1\",\"pages\":\"uaaf006\"},\"PeriodicalIF\":0.5000,\"publicationDate\":\"2025-02-10\",\"publicationTypes\":\"Journal Article\",\"fieldsOfStudy\":null,\"isOpenAccess\":false,\"openAccessPdf\":\"https://www.ncbi.nlm.nih.gov/pmc/articles/PMC11828855/pdf/\",\"citationCount\":\"0\",\"resultStr\":null,\"platform\":\"Semanticscholar\",\"paperid\":null,\"PeriodicalName\":\"BJR Case Reports\",\"FirstCategoryId\":\"1085\",\"ListUrlMain\":\"https://doi.org/10.1093/bjrcr/uaaf006\",\"RegionNum\":0,\"RegionCategory\":null,\"ArticlePicture\":[],\"TitleCN\":null,\"AbstractTextCN\":null,\"PMCID\":null,\"EPubDate\":\"2025/1/1 0:00:00\",\"PubModel\":\"eCollection\",\"JCR\":\"Q4\",\"JCRName\":\"RADIOLOGY, NUCLEAR MEDICINE & MEDICAL IMAGING\",\"Score\":null,\"Total\":0}","platform":"Semanticscholar","paperid":null,"PeriodicalName":"BJR Case Reports","FirstCategoryId":"1085","ListUrlMain":"https://doi.org/10.1093/bjrcr/uaaf006","RegionNum":0,"RegionCategory":null,"ArticlePicture":[],"TitleCN":null,"AbstractTextCN":null,"PMCID":null,"EPubDate":"2025/1/1 0:00:00","PubModel":"eCollection","JCR":"Q4","JCRName":"RADIOLOGY, NUCLEAR MEDICINE & MEDICAL IMAGING","Score":null,"Total":0}
引用次数: 0

摘要

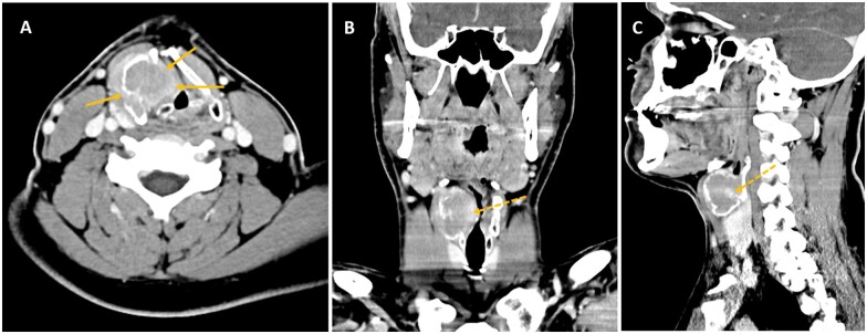
喉巨细胞瘤(GCT)极为罕见。受影响最大的结构是甲状软骨,文献中仅报道了 44 个病例。1 在临床上,它们的首发症状通常是可触及的颈部肿块,根据肿块的大小和位置,通常伴有声音嘶哑、呼吸困难和/或吞咽困难。GCT 属于良性肿瘤,但由于其侵袭性局部表现可导致气道阻塞,并可模拟恶性肿瘤,因此对这种实体的认识至关重要。鉴别诊断的范围很广,仍然是临床和放射学上的难题。事实上,最终诊断要通过术后组织学检查来确定。手术是首选的治疗方法,但可能会影响嗓音质量。对于手术切除不彻底和手术风险较高的病变,地诺单抗治疗是一种有价值的选择。我们将与大家分享我们对一名表现为声门上肿块的年轻成人 GCT 的治疗经验。
本文章由计算机程序翻译,如有差异,请以英文原文为准。

Giant cell tumour of the larynx-a diagnostic challenge.

Giant cell tumour of the larynx-a diagnostic challenge.

Giant cell tumour of the larynx-a diagnostic challenge.

Giant cell tumours (GCTs) of the larynx are extremely rare. The most affected structure is the thyroid cartilage and only 44 cases are reported in the literature.1 Clinically, their first manifestation is usually a palpable neck mass, often accompanied by hoarseness, dyspnoea, and/or dysphagia depending on size and location. GCTs are benign neoplasms, yet awareness of this entity is crucial as their aggressive local behaviour can cause significant morbidity with airway obstruction and can simulate a malignancy. The differential diagnosis is broad and remains a clinical and radiological challenge. Indeed, the final diagnosis is established by histology postoperatively. Surgery is the preferred treatment but may impair voice quality. For incomplete surgical resections and high surgical risk lesions, denosumab treatment is a valuable option. We share our experience on GCTs in a young adult presenting as a supraglottic mass.

求助全文
通过发布文献求助,成功后即可免费获取论文全文。 去求助
来源期刊
BJR Case Reports
BJR Case Reports RADIOLOGY, NUCLEAR MEDICINE & MEDICAL IMAGING-
自引率
0.00%
发文量
77
审稿时长
11 weeks
×
引用
GB/T 7714-2015
复制
MLA
复制
APA
复制
导出至
BibTeX EndNote RefMan NoteFirst NoteExpress
×
提示
您的信息不完整,为了账户安全,请先补充。
现在去补充
×
提示
您因"违规操作"
具体请查看互助需知
我知道了
×
提示
确定
请完成安全验证×
copy
已复制链接
快去分享给好友吧!
我知道了
右上角分享
点击右上角分享
0
联系我们:info@booksci.cn Book学术提供免费学术资源搜索服务,方便国内外学者检索中英文文献。致力于提供最便捷和优质的服务体验。 Copyright © 2023 布克学术 All rights reserved.
京ICP备2023020795号-1
ghs 京公网安备 11010802042870号
Book学术文献互助
Book学术文献互助群
群 号:604180095
Book学术官方微信