原发性腹膜浆液性癌伴卵巢粘液囊腺瘤1例报告。

IF 1 Q3 OBSTETRICS & GYNECOLOGY
Journal of Mid-life Health Pub Date : 2024-10-01 Epub Date: 2025-01-02 DOI:10.4103/jmh.jmh_72_24
Rajashree Pradhan, Sajeeb Mondal, Upasana Mukherjee
{"title":"原发性腹膜浆液性癌伴卵巢粘液囊腺瘤1例报告。","authors":"Rajashree Pradhan, Sajeeb Mondal, Upasana Mukherjee","doi":"10.4103/jmh.jmh_72_24","DOIUrl":null,"url":null,"abstract":"<p><p>Primary peritoneal serous carcinoma (PPSC) is an extremely rare tumor mostly idiopathic in nature arising from the peritoneal layers of the abdominal cavity. We present here a unique case of a 72-year-old female with a history of abdominal swelling and difficulty in micturition and defecation for 3 months. Diagnostic imaging and histopathological examinations led to the diagnosis of PPSC. Simultaneously, the patient also has a space-occupying lesion involving the left ovary which on histopathological examination was found to be mucinous cystadenoma. We present this case as PPSC with synchronous mucinous cystadenoma of the left ovary, an extremely rare phenomenon. This combination has not been reported in the literature yet to the best of our knowledge.</p>","PeriodicalId":37717,"journal":{"name":"Journal of Mid-life Health","volume":"15 4","pages":"296-298"},"PeriodicalIF":1.0000,"publicationDate":"2024-10-01","publicationTypes":"Journal Article","fieldsOfStudy":null,"isOpenAccess":false,"openAccessPdf":"https://www.ncbi.nlm.nih.gov/pmc/articles/PMC11824928/pdf/","citationCount":"0","resultStr":"{\"title\":\"Primary Peritoneal Serous Carcinoma with Coexistent Mucinous Cystadenoma of Ovary - A Rare Case Report.\",\"authors\":\"Rajashree Pradhan, Sajeeb Mondal, Upasana Mukherjee\",\"doi\":\"10.4103/jmh.jmh_72_24\",\"DOIUrl\":null,\"url\":null,\"abstract\":\"<p><p>Primary peritoneal serous carcinoma (PPSC) is an extremely rare tumor mostly idiopathic in nature arising from the peritoneal layers of the abdominal cavity. We present here a unique case of a 72-year-old female with a history of abdominal swelling and difficulty in micturition and defecation for 3 months. Diagnostic imaging and histopathological examinations led to the diagnosis of PPSC. Simultaneously, the patient also has a space-occupying lesion involving the left ovary which on histopathological examination was found to be mucinous cystadenoma. We present this case as PPSC with synchronous mucinous cystadenoma of the left ovary, an extremely rare phenomenon. This combination has not been reported in the literature yet to the best of our knowledge.</p>\",\"PeriodicalId\":37717,\"journal\":{\"name\":\"Journal of Mid-life Health\",\"volume\":\"15 4\",\"pages\":\"296-298\"},\"PeriodicalIF\":1.0000,\"publicationDate\":\"2024-10-01\",\"publicationTypes\":\"Journal Article\",\"fieldsOfStudy\":null,\"isOpenAccess\":false,\"openAccessPdf\":\"https://www.ncbi.nlm.nih.gov/pmc/articles/PMC11824928/pdf/\",\"citationCount\":\"0\",\"resultStr\":null,\"platform\":\"Semanticscholar\",\"paperid\":null,\"PeriodicalName\":\"Journal of Mid-life Health\",\"FirstCategoryId\":\"1085\",\"ListUrlMain\":\"https://doi.org/10.4103/jmh.jmh_72_24\",\"RegionNum\":0,\"RegionCategory\":null,\"ArticlePicture\":[],\"TitleCN\":null,\"AbstractTextCN\":null,\"PMCID\":null,\"EPubDate\":\"2025/1/2 0:00:00\",\"PubModel\":\"Epub\",\"JCR\":\"Q3\",\"JCRName\":\"OBSTETRICS & GYNECOLOGY\",\"Score\":null,\"Total\":0}","platform":"Semanticscholar","paperid":null,"PeriodicalName":"Journal of Mid-life Health","FirstCategoryId":"1085","ListUrlMain":"https://doi.org/10.4103/jmh.jmh_72_24","RegionNum":0,"RegionCategory":null,"ArticlePicture":[],"TitleCN":null,"AbstractTextCN":null,"PMCID":null,"EPubDate":"2025/1/2 0:00:00","PubModel":"Epub","JCR":"Q3","JCRName":"OBSTETRICS & GYNECOLOGY","Score":null,"Total":0}
引用次数: 0

摘要

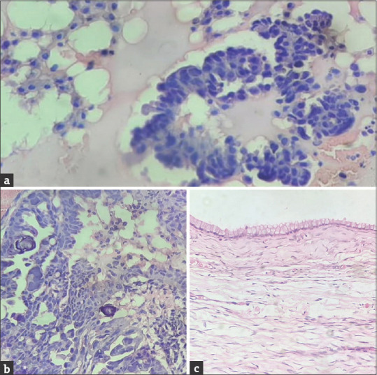
原发性腹膜浆液性癌(PPSC)是一种极其罕见的肿瘤,主要发生在腹腔腹膜层。我们在这里提出一个独特的情况下,72岁的女性腹部肿胀和排便困难的历史,3个月。诊断成像和组织病理学检查导致PPSC的诊断。同时,患者左侧卵巢有占位性病变,经组织病理学检查为粘液囊腺瘤。我们报告这个病例为PPSC合并左侧卵巢粘液囊腺瘤,这是一种非常罕见的现象。据我们所知,这种结合尚未在文献中报道。
本文章由计算机程序翻译,如有差异,请以英文原文为准。

Primary Peritoneal Serous Carcinoma with Coexistent Mucinous Cystadenoma of Ovary - A Rare Case Report.

Primary Peritoneal Serous Carcinoma with Coexistent Mucinous Cystadenoma of Ovary - A Rare Case Report.

Primary Peritoneal Serous Carcinoma with Coexistent Mucinous Cystadenoma of Ovary - A Rare Case Report.

Primary peritoneal serous carcinoma (PPSC) is an extremely rare tumor mostly idiopathic in nature arising from the peritoneal layers of the abdominal cavity. We present here a unique case of a 72-year-old female with a history of abdominal swelling and difficulty in micturition and defecation for 3 months. Diagnostic imaging and histopathological examinations led to the diagnosis of PPSC. Simultaneously, the patient also has a space-occupying lesion involving the left ovary which on histopathological examination was found to be mucinous cystadenoma. We present this case as PPSC with synchronous mucinous cystadenoma of the left ovary, an extremely rare phenomenon. This combination has not been reported in the literature yet to the best of our knowledge.

求助全文
通过发布文献求助,成功后即可免费获取论文全文。 去求助
来源期刊
Journal of Mid-life Health
Journal of Mid-life Health Social Sciences-Health (social science)
CiteScore
1.70
自引率
9.10%
发文量
39
审稿时长
43 weeks
期刊介绍: Journal of mid-life health is the official journal of the Indian Menopause society published Quarterly in January, April, July and October. It is peer reviewed, scientific journal of mid-life health and its problems. It includes all aspects of mid-life health, preventive as well as curative. The journal publishes on subjects such as gynecology, neurology, geriatrics, psychiatry, endocrinology, urology, andrology, psychology, healthy ageing, cardiovascular health, bone health, quality of life etc. as relevant of men and women in their midlife. The Journal provides a visible platform to the researchers as well as clinicians to publish their experiences in this area thereby helping in the promotion of mid-life health leading to healthy ageing, growing need due to increasing life expectancy. The Editorial team has maintained high standards and published original research papers, case reports and review articles from the best of the best contributors both national & international, consistently so that now, it has become a great tool in the hands of menopause practitioners.
×
引用
GB/T 7714-2015
复制
MLA
复制
APA
复制
导出至
BibTeX EndNote RefMan NoteFirst NoteExpress
×
提示
您的信息不完整,为了账户安全,请先补充。
现在去补充
×
提示
您因"违规操作"
具体请查看互助需知
我知道了
×
提示
确定
请完成安全验证×
copy
已复制链接
快去分享给好友吧!
我知道了
右上角分享
点击右上角分享
0
联系我们:info@booksci.cn Book学术提供免费学术资源搜索服务,方便国内外学者检索中英文文献。致力于提供最便捷和优质的服务体验。 Copyright © 2023 布克学术 All rights reserved.
京ICP备2023020795号-1
ghs 京公网安备 11010802042870号
Book学术文献互助
Book学术文献互助群
群 号:604180095
Book学术官方微信