颅骨纤维结构不良患者发生骨肉瘤1例报告。

IF 0.8 4区 医学 Q3 MEDICINE, GENERAL & INTERNAL
Danko Müller, Naranđa Aljinović Ratković, Igor Blivajs, Dalibor Franćeski, Karolina Krstanac, Sven Seiwerth
{"title":"颅骨纤维结构不良患者发生骨肉瘤1例报告。","authors":"Danko Müller, Naranđa Aljinović Ratković, Igor Blivajs, Dalibor Franćeski, Karolina Krstanac, Sven Seiwerth","doi":"10.20471/acc.2024.63.01.23","DOIUrl":null,"url":null,"abstract":"<p><p>Fibrous dysplasia is a benign fibro-osseous lesion which rarely undergoes malignant transformation, frequently after radiotherapy. Osteosarcoma is the most common malignancy arising in fibrous dysplasia. We report a case of 67-year-old female patient with osteosarcoma developing in long lasting fibrous dysplasia without prior radiation. The patient underwent surgery with postoperative chemotherapy. She developed two relapses over the course of four years after the initial therapy. With this case, we want to underline the importance of noticing any significant change in the otherwise unremarkable course in patients with fibrous dysplasia.</p>","PeriodicalId":7072,"journal":{"name":"Acta clinica Croatica","volume":"63 1","pages":"191-196"},"PeriodicalIF":0.8000,"publicationDate":"2024-04-01","publicationTypes":"Journal Article","fieldsOfStudy":null,"isOpenAccess":false,"openAccessPdf":"https://www.ncbi.nlm.nih.gov/pmc/articles/PMC11827389/pdf/","citationCount":"0","resultStr":"{\"title\":\"OSTEOSARCOMA IN A PATIENT WITH CRANIAL FIBROUS DYSPLASIA: A CASE REPORT.\",\"authors\":\"Danko Müller, Naranđa Aljinović Ratković, Igor Blivajs, Dalibor Franćeski, Karolina Krstanac, Sven Seiwerth\",\"doi\":\"10.20471/acc.2024.63.01.23\",\"DOIUrl\":null,\"url\":null,\"abstract\":\"<p><p>Fibrous dysplasia is a benign fibro-osseous lesion which rarely undergoes malignant transformation, frequently after radiotherapy. Osteosarcoma is the most common malignancy arising in fibrous dysplasia. We report a case of 67-year-old female patient with osteosarcoma developing in long lasting fibrous dysplasia without prior radiation. The patient underwent surgery with postoperative chemotherapy. She developed two relapses over the course of four years after the initial therapy. With this case, we want to underline the importance of noticing any significant change in the otherwise unremarkable course in patients with fibrous dysplasia.</p>\",\"PeriodicalId\":7072,\"journal\":{\"name\":\"Acta clinica Croatica\",\"volume\":\"63 1\",\"pages\":\"191-196\"},\"PeriodicalIF\":0.8000,\"publicationDate\":\"2024-04-01\",\"publicationTypes\":\"Journal Article\",\"fieldsOfStudy\":null,\"isOpenAccess\":false,\"openAccessPdf\":\"https://www.ncbi.nlm.nih.gov/pmc/articles/PMC11827389/pdf/\",\"citationCount\":\"0\",\"resultStr\":null,\"platform\":\"Semanticscholar\",\"paperid\":null,\"PeriodicalName\":\"Acta clinica Croatica\",\"FirstCategoryId\":\"3\",\"ListUrlMain\":\"https://doi.org/10.20471/acc.2024.63.01.23\",\"RegionNum\":4,\"RegionCategory\":\"医学\",\"ArticlePicture\":[],\"TitleCN\":null,\"AbstractTextCN\":null,\"PMCID\":null,\"EPubDate\":\"\",\"PubModel\":\"\",\"JCR\":\"Q3\",\"JCRName\":\"MEDICINE, GENERAL & INTERNAL\",\"Score\":null,\"Total\":0}","platform":"Semanticscholar","paperid":null,"PeriodicalName":"Acta clinica Croatica","FirstCategoryId":"3","ListUrlMain":"https://doi.org/10.20471/acc.2024.63.01.23","RegionNum":4,"RegionCategory":"医学","ArticlePicture":[],"TitleCN":null,"AbstractTextCN":null,"PMCID":null,"EPubDate":"","PubModel":"","JCR":"Q3","JCRName":"MEDICINE, GENERAL & INTERNAL","Score":null,"Total":0}
引用次数: 0

摘要

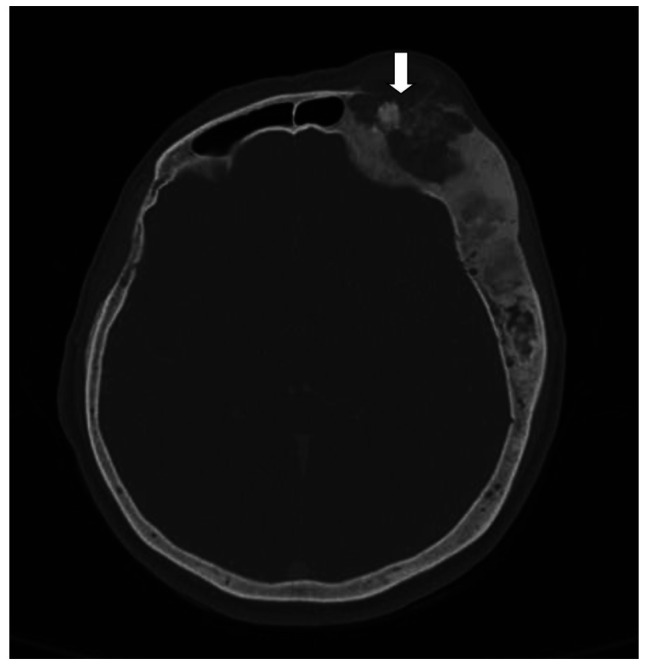
纤维性发育不良是一种良性纤维骨性病变,很少发生恶性转化,通常在放射治疗后发生。骨肉瘤是纤维结构不良中最常见的恶性肿瘤。我们报告一例67岁的女性患者骨肉瘤发展为长期纤维性发育不良没有事先放疗。患者接受手术和术后化疗。在最初的治疗后的四年中,她出现了两次复发。在这种情况下,我们想强调注意纤维发育不良患者在其他方面不显著的病程中任何显著变化的重要性。
本文章由计算机程序翻译,如有差异,请以英文原文为准。

OSTEOSARCOMA IN A PATIENT WITH CRANIAL FIBROUS DYSPLASIA: A CASE REPORT.

OSTEOSARCOMA IN A PATIENT WITH CRANIAL FIBROUS DYSPLASIA: A CASE REPORT.

OSTEOSARCOMA IN A PATIENT WITH CRANIAL FIBROUS DYSPLASIA: A CASE REPORT.

OSTEOSARCOMA IN A PATIENT WITH CRANIAL FIBROUS DYSPLASIA: A CASE REPORT.

Fibrous dysplasia is a benign fibro-osseous lesion which rarely undergoes malignant transformation, frequently after radiotherapy. Osteosarcoma is the most common malignancy arising in fibrous dysplasia. We report a case of 67-year-old female patient with osteosarcoma developing in long lasting fibrous dysplasia without prior radiation. The patient underwent surgery with postoperative chemotherapy. She developed two relapses over the course of four years after the initial therapy. With this case, we want to underline the importance of noticing any significant change in the otherwise unremarkable course in patients with fibrous dysplasia.

求助全文
通过发布文献求助,成功后即可免费获取论文全文。 去求助
来源期刊
Acta clinica Croatica
Acta clinica Croatica 医学-医学:内科
CiteScore
1.10
自引率
16.70%
发文量
38
审稿时长
6-12 weeks
期刊介绍: Acta Clinica Croatica is a peer reviewed general medical journal that publishes original articles that advance and improve medical science and practice and that serve the purpose of transfer of original and valuable information to journal readers. Acta Clinica Croatica is published in English four times a year.
×
引用
GB/T 7714-2015
复制
MLA
复制
APA
复制
导出至
BibTeX EndNote RefMan NoteFirst NoteExpress
×
提示
您的信息不完整,为了账户安全,请先补充。
现在去补充
×
提示
您因"违规操作"
具体请查看互助需知
我知道了
×
提示
确定
请完成安全验证×
copy
已复制链接
快去分享给好友吧!
我知道了
右上角分享
点击右上角分享
0
联系我们:info@booksci.cn Book学术提供免费学术资源搜索服务,方便国内外学者检索中英文文献。致力于提供最便捷和优质的服务体验。 Copyright © 2023 布克学术 All rights reserved.
京ICP备2023020795号-1
ghs 京公网安备 11010802042870号
Book学术文献互助
Book学术文献互助群
群 号:604180095
Book学术官方微信