尿路上皮癌复发患者非细菌性血栓性心内膜炎所致严重二尖瓣反流致急性心力衰竭。

IF 0.6 Q4 ONCOLOGY
Case Reports in Oncological Medicine Pub Date : 2025-01-29 eCollection Date: 2025-01-01 DOI:10.1155/crom/9938933
Catarina Santos Reis, Francisco Dias, Bárbara Granja, Maria Inês Matos, Ana Ribeiro, Fernando Friões
{"title":"尿路上皮癌复发患者非细菌性血栓性心内膜炎所致严重二尖瓣反流致急性心力衰竭。","authors":"Catarina Santos Reis, Francisco Dias, Bárbara Granja, Maria Inês Matos, Ana Ribeiro, Fernando Friões","doi":"10.1155/crom/9938933","DOIUrl":null,"url":null,"abstract":"<p><p>Nonbacterial thrombotic endocarditis is a rare condition characterized by the formation of noninfectious vegetations on the heart valves. It is related with systemic embolic phenomena occurring predominantly in advanced cancer stages, particularly adenocarcinomas. It is a diagnosis of exclusion based on the clinical context, echocardiographic findings of a vegetation, and negative blood cultures, and distinction between infective endocarditis is challenging. We report a case of a 66-year-old woman, with history of previously treated breast and urothelial carcinoma, presenting with constitutional syndrome and pulmonary thromboembolism. Computed tomography scan revealed systemic embolic phenomena and retroperitoneal lymphadenopathies. A vegetation in the mitral valve constituted a finding on echocardiography, causing severe mitral regurgitation, which led to severe acute heart failure and culminated in patient's death. Subsequent results of immunohistochemistry of the lymph node biopsy yielded the recurrence of urothelial carcinoma.</p>","PeriodicalId":9636,"journal":{"name":"Case Reports in Oncological Medicine","volume":"2025 ","pages":"9938933"},"PeriodicalIF":0.6000,"publicationDate":"2025-01-29","publicationTypes":"Journal Article","fieldsOfStudy":null,"isOpenAccess":false,"openAccessPdf":"https://www.ncbi.nlm.nih.gov/pmc/articles/PMC11824605/pdf/","citationCount":"0","resultStr":"{\"title\":\"Severe Mitral Regurgitation-Induced Acute Heart Failure due to Nonbacterial Thrombotic Endocarditis in a Patient With Urothelial Carcinoma Recurrence.\",\"authors\":\"Catarina Santos Reis, Francisco Dias, Bárbara Granja, Maria Inês Matos, Ana Ribeiro, Fernando Friões\",\"doi\":\"10.1155/crom/9938933\",\"DOIUrl\":null,\"url\":null,\"abstract\":\"<p><p>Nonbacterial thrombotic endocarditis is a rare condition characterized by the formation of noninfectious vegetations on the heart valves. It is related with systemic embolic phenomena occurring predominantly in advanced cancer stages, particularly adenocarcinomas. It is a diagnosis of exclusion based on the clinical context, echocardiographic findings of a vegetation, and negative blood cultures, and distinction between infective endocarditis is challenging. We report a case of a 66-year-old woman, with history of previously treated breast and urothelial carcinoma, presenting with constitutional syndrome and pulmonary thromboembolism. Computed tomography scan revealed systemic embolic phenomena and retroperitoneal lymphadenopathies. A vegetation in the mitral valve constituted a finding on echocardiography, causing severe mitral regurgitation, which led to severe acute heart failure and culminated in patient's death. Subsequent results of immunohistochemistry of the lymph node biopsy yielded the recurrence of urothelial carcinoma.</p>\",\"PeriodicalId\":9636,\"journal\":{\"name\":\"Case Reports in Oncological Medicine\",\"volume\":\"2025 \",\"pages\":\"9938933\"},\"PeriodicalIF\":0.6000,\"publicationDate\":\"2025-01-29\",\"publicationTypes\":\"Journal Article\",\"fieldsOfStudy\":null,\"isOpenAccess\":false,\"openAccessPdf\":\"https://www.ncbi.nlm.nih.gov/pmc/articles/PMC11824605/pdf/\",\"citationCount\":\"0\",\"resultStr\":null,\"platform\":\"Semanticscholar\",\"paperid\":null,\"PeriodicalName\":\"Case Reports in Oncological Medicine\",\"FirstCategoryId\":\"1085\",\"ListUrlMain\":\"https://doi.org/10.1155/crom/9938933\",\"RegionNum\":0,\"RegionCategory\":null,\"ArticlePicture\":[],\"TitleCN\":null,\"AbstractTextCN\":null,\"PMCID\":null,\"EPubDate\":\"2025/1/1 0:00:00\",\"PubModel\":\"eCollection\",\"JCR\":\"Q4\",\"JCRName\":\"ONCOLOGY\",\"Score\":null,\"Total\":0}","platform":"Semanticscholar","paperid":null,"PeriodicalName":"Case Reports in Oncological Medicine","FirstCategoryId":"1085","ListUrlMain":"https://doi.org/10.1155/crom/9938933","RegionNum":0,"RegionCategory":null,"ArticlePicture":[],"TitleCN":null,"AbstractTextCN":null,"PMCID":null,"EPubDate":"2025/1/1 0:00:00","PubModel":"eCollection","JCR":"Q4","JCRName":"ONCOLOGY","Score":null,"Total":0}
引用次数: 0

摘要

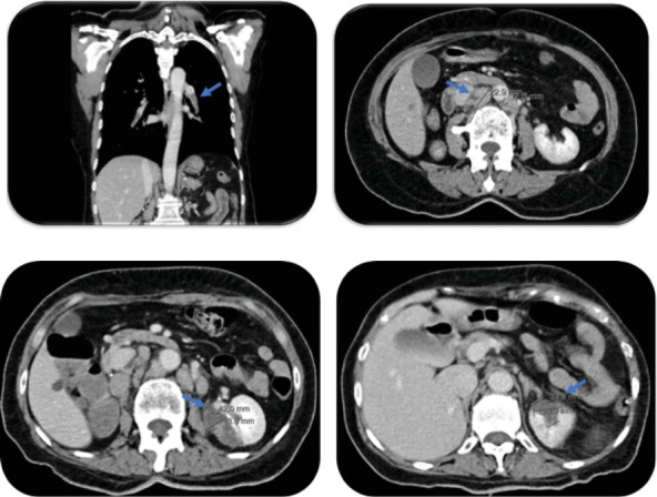
非细菌性血栓性心内膜炎是一种罕见的疾病,其特征是在心脏瓣膜上形成非感染性植物。它与系统性栓塞现象有关,主要发生在癌症晚期,特别是腺癌。这是一种基于临床背景的排除诊断,超声心动图显示的植被,阴性血培养,和感染性心内膜炎之间的区别是具有挑战性的。我们报告一个病例66岁的妇女,既往治疗乳腺和尿路上皮癌的历史,提出了体质综合征和肺血栓栓塞。计算机断层扫描显示全身栓塞现象和腹膜后淋巴结病变。在超声心动图上发现二尖瓣的植被,引起严重的二尖瓣反流,导致严重的急性心力衰竭,最终导致患者死亡。随后的淋巴结活检免疫组化结果显示尿路上皮癌复发。
本文章由计算机程序翻译,如有差异,请以英文原文为准。

Severe Mitral Regurgitation-Induced Acute Heart Failure due to Nonbacterial Thrombotic Endocarditis in a Patient With Urothelial Carcinoma Recurrence.

Severe Mitral Regurgitation-Induced Acute Heart Failure due to Nonbacterial Thrombotic Endocarditis in a Patient With Urothelial Carcinoma Recurrence.

Severe Mitral Regurgitation-Induced Acute Heart Failure due to Nonbacterial Thrombotic Endocarditis in a Patient With Urothelial Carcinoma Recurrence.

Nonbacterial thrombotic endocarditis is a rare condition characterized by the formation of noninfectious vegetations on the heart valves. It is related with systemic embolic phenomena occurring predominantly in advanced cancer stages, particularly adenocarcinomas. It is a diagnosis of exclusion based on the clinical context, echocardiographic findings of a vegetation, and negative blood cultures, and distinction between infective endocarditis is challenging. We report a case of a 66-year-old woman, with history of previously treated breast and urothelial carcinoma, presenting with constitutional syndrome and pulmonary thromboembolism. Computed tomography scan revealed systemic embolic phenomena and retroperitoneal lymphadenopathies. A vegetation in the mitral valve constituted a finding on echocardiography, causing severe mitral regurgitation, which led to severe acute heart failure and culminated in patient's death. Subsequent results of immunohistochemistry of the lymph node biopsy yielded the recurrence of urothelial carcinoma.

求助全文
通过发布文献求助,成功后即可免费获取论文全文。 去求助
来源期刊
自引率
0.00%
发文量
11
审稿时长
16 weeks
期刊介绍: Case Reports in Oncological Medicine is a peer-reviewed, Open Access journal that publishes case reports and case series related to breast cancer, lung cancer, gastrointestinal cancer, skin cancer, head and neck cancer, paediatric oncology, neurooncology as well as genitourinary cancer.
×
引用
GB/T 7714-2015
复制
MLA
复制
APA
复制
导出至
BibTeX EndNote RefMan NoteFirst NoteExpress
×
提示
您的信息不完整,为了账户安全,请先补充。
现在去补充
×
提示
您因"违规操作"
具体请查看互助需知
我知道了
×
提示
确定
请完成安全验证×
copy
已复制链接
快去分享给好友吧!
我知道了
右上角分享
点击右上角分享
0
联系我们:info@booksci.cn Book学术提供免费学术资源搜索服务,方便国内外学者检索中英文文献。致力于提供最便捷和优质的服务体验。 Copyright © 2023 布克学术 All rights reserved.
京ICP备2023020795号-1
ghs 京公网安备 11010802042870号
Book学术文献互助
Book学术文献互助群
群 号:604180095
Book学术官方微信