原发性色素结节性肾上腺皮质疾病术中诊断的新方法。

IF 0.7 Q4 ENDOCRINOLOGY & METABOLISM
Nethrani Sameera Wijesekara Pathirana, Hasitha Udayakumara, A S K Banagala, M R Sumanatilleke, A V T Damayanthi, S R Constantine, G W Katulanda, Z T M Thowfeek, T Sasikanth, S Pathmanathan
{"title":"原发性色素结节性肾上腺皮质疾病术中诊断的新方法。","authors":"Nethrani Sameera Wijesekara Pathirana, Hasitha Udayakumara, A S K Banagala, M R Sumanatilleke, A V T Damayanthi, S R Constantine, G W Katulanda, Z T M Thowfeek, T Sasikanth, S Pathmanathan","doi":"10.1530/EDM-24-0079","DOIUrl":null,"url":null,"abstract":"<p><strong>Summary: </strong>Cushing syndrome (CS) is an endocrine disorder with far-reaching complications that extend beyond the disease remission. Diagnosis of the aetiology of CS can be challenging, whether it is dependent or independent of adrenocorticotrophic hormone (ACTH). Here, we describe a case of ACTH-independent CS due to primary pigmented nodular adrenocortical disease (PPNAD) in a 33-year-old female patient with several complications of CS, including diabetes, hypertension, osteoporosis and severe depression with suicidal ideation. In this case, following the demonstration of ACTH independence of CS, it was challenging to localise the lesion as there were bilateral adrenal lesions. Furthermore, preoperative efforts in localisation in the form of adrenal venous sampling (AVS) failed. However, the diagnosis of PPNAD was confirmed using an intraoperative frozen section and macroscopy, and the patient underwent bilateral adrenalectomy during the same surgery. This case highlights a novel approach to diagnosing and managing PPNAD intraoperatively in a resource-limited setting where preoperative localisation studies have failed.</p><p><strong>Learning points: </strong>AVS can assist in localising the functional lesion in ACTH-independent CS due to bilateral adrenal lesions. PPNAD diagnosis can be made through a frozen section intraoperatively, thus giving further confirmation needed to justify bilateral adrenalectomy in such cases.</p>","PeriodicalId":37467,"journal":{"name":"Endocrinology, Diabetes and Metabolism Case Reports","volume":"2025 1","pages":""},"PeriodicalIF":0.7000,"publicationDate":"2025-02-10","publicationTypes":"Journal Article","fieldsOfStudy":null,"isOpenAccess":false,"openAccessPdf":"https://www.ncbi.nlm.nih.gov/pmc/articles/PMC11825161/pdf/","citationCount":"0","resultStr":"{\"title\":\"A novel approach to intraoperative diagnosis of primary pigmented nodular adrenocortical disease.\",\"authors\":\"Nethrani Sameera Wijesekara Pathirana, Hasitha Udayakumara, A S K Banagala, M R Sumanatilleke, A V T Damayanthi, S R Constantine, G W Katulanda, Z T M Thowfeek, T Sasikanth, S Pathmanathan\",\"doi\":\"10.1530/EDM-24-0079\",\"DOIUrl\":null,\"url\":null,\"abstract\":\"<p><strong>Summary: </strong>Cushing syndrome (CS) is an endocrine disorder with far-reaching complications that extend beyond the disease remission. Diagnosis of the aetiology of CS can be challenging, whether it is dependent or independent of adrenocorticotrophic hormone (ACTH). Here, we describe a case of ACTH-independent CS due to primary pigmented nodular adrenocortical disease (PPNAD) in a 33-year-old female patient with several complications of CS, including diabetes, hypertension, osteoporosis and severe depression with suicidal ideation. In this case, following the demonstration of ACTH independence of CS, it was challenging to localise the lesion as there were bilateral adrenal lesions. Furthermore, preoperative efforts in localisation in the form of adrenal venous sampling (AVS) failed. However, the diagnosis of PPNAD was confirmed using an intraoperative frozen section and macroscopy, and the patient underwent bilateral adrenalectomy during the same surgery. This case highlights a novel approach to diagnosing and managing PPNAD intraoperatively in a resource-limited setting where preoperative localisation studies have failed.</p><p><strong>Learning points: </strong>AVS can assist in localising the functional lesion in ACTH-independent CS due to bilateral adrenal lesions. PPNAD diagnosis can be made through a frozen section intraoperatively, thus giving further confirmation needed to justify bilateral adrenalectomy in such cases.</p>\",\"PeriodicalId\":37467,\"journal\":{\"name\":\"Endocrinology, Diabetes and Metabolism Case Reports\",\"volume\":\"2025 1\",\"pages\":\"\"},\"PeriodicalIF\":0.7000,\"publicationDate\":\"2025-02-10\",\"publicationTypes\":\"Journal Article\",\"fieldsOfStudy\":null,\"isOpenAccess\":false,\"openAccessPdf\":\"https://www.ncbi.nlm.nih.gov/pmc/articles/PMC11825161/pdf/\",\"citationCount\":\"0\",\"resultStr\":null,\"platform\":\"Semanticscholar\",\"paperid\":null,\"PeriodicalName\":\"Endocrinology, Diabetes and Metabolism Case Reports\",\"FirstCategoryId\":\"1085\",\"ListUrlMain\":\"https://doi.org/10.1530/EDM-24-0079\",\"RegionNum\":0,\"RegionCategory\":null,\"ArticlePicture\":[],\"TitleCN\":null,\"AbstractTextCN\":null,\"PMCID\":null,\"EPubDate\":\"2025/1/1 0:00:00\",\"PubModel\":\"Print\",\"JCR\":\"Q4\",\"JCRName\":\"ENDOCRINOLOGY & METABOLISM\",\"Score\":null,\"Total\":0}","platform":"Semanticscholar","paperid":null,"PeriodicalName":"Endocrinology, Diabetes and Metabolism Case Reports","FirstCategoryId":"1085","ListUrlMain":"https://doi.org/10.1530/EDM-24-0079","RegionNum":0,"RegionCategory":null,"ArticlePicture":[],"TitleCN":null,"AbstractTextCN":null,"PMCID":null,"EPubDate":"2025/1/1 0:00:00","PubModel":"Print","JCR":"Q4","JCRName":"ENDOCRINOLOGY & METABOLISM","Score":null,"Total":0}
引用次数: 0

摘要

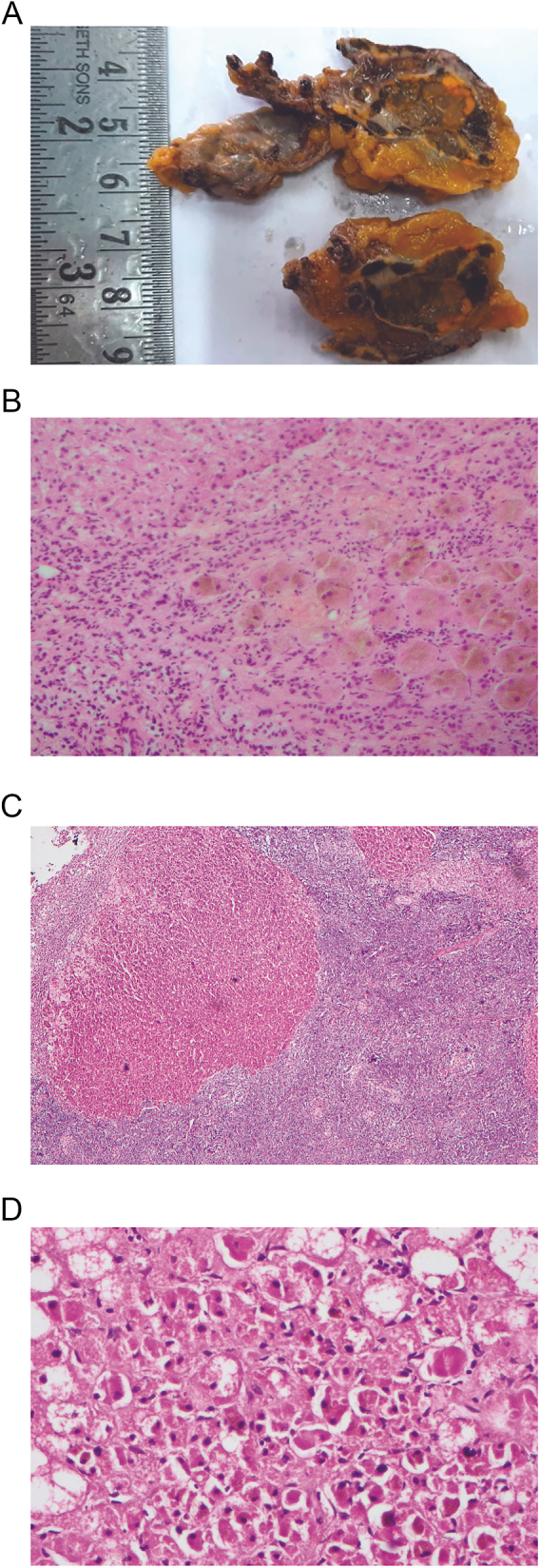
摘要:库欣综合征(CS)是一种内分泌紊乱,其并发症远超疾病缓解期。CS的病因诊断是具有挑战性的,无论它是依赖还是独立于促肾上腺皮质激素(ACTH)。在这里,我们描述了一个33岁的女性患者,由于原发性色素结节性肾上腺皮质疾病(PPNAD)而发生acth非依赖性CS,并伴有多种CS并发症,包括糖尿病、高血压、骨质疏松症和重度抑郁症并有自杀念头。在本例中,在证明CS与ACTH无关之后,由于存在双侧肾上腺病变,因此很难定位病变。此外,术前以肾上腺静脉采样(AVS)的形式进行定位的努力失败了。然而,PPNAD的诊断是通过术中冷冻切片和宏镜检查证实的,患者在同一手术中接受了双侧肾上腺切除术。本病例强调了在资源有限的情况下,术前定位研究失败的情况下,术中诊断和管理PPNAD的新方法。学习要点:AVS可以帮助定位双侧肾上腺皮质激素非依赖性CS的功能性病变。PPNAD的诊断可以通过术中冰冻切片进行,从而进一步证实双侧肾上腺切除术的必要性。
本文章由计算机程序翻译,如有差异,请以英文原文为准。

A novel approach to intraoperative diagnosis of primary pigmented nodular adrenocortical disease.

A novel approach to intraoperative diagnosis of primary pigmented nodular adrenocortical disease.

A novel approach to intraoperative diagnosis of primary pigmented nodular adrenocortical disease.

A novel approach to intraoperative diagnosis of primary pigmented nodular adrenocortical disease.

Summary: Cushing syndrome (CS) is an endocrine disorder with far-reaching complications that extend beyond the disease remission. Diagnosis of the aetiology of CS can be challenging, whether it is dependent or independent of adrenocorticotrophic hormone (ACTH). Here, we describe a case of ACTH-independent CS due to primary pigmented nodular adrenocortical disease (PPNAD) in a 33-year-old female patient with several complications of CS, including diabetes, hypertension, osteoporosis and severe depression with suicidal ideation. In this case, following the demonstration of ACTH independence of CS, it was challenging to localise the lesion as there were bilateral adrenal lesions. Furthermore, preoperative efforts in localisation in the form of adrenal venous sampling (AVS) failed. However, the diagnosis of PPNAD was confirmed using an intraoperative frozen section and macroscopy, and the patient underwent bilateral adrenalectomy during the same surgery. This case highlights a novel approach to diagnosing and managing PPNAD intraoperatively in a resource-limited setting where preoperative localisation studies have failed.

Learning points: AVS can assist in localising the functional lesion in ACTH-independent CS due to bilateral adrenal lesions. PPNAD diagnosis can be made through a frozen section intraoperatively, thus giving further confirmation needed to justify bilateral adrenalectomy in such cases.

求助全文
通过发布文献求助,成功后即可免费获取论文全文。 去求助
来源期刊
CiteScore
1.50
自引率
0.00%
发文量
142
审稿时长
9 weeks
期刊介绍: Endocrinology, Diabetes & Metabolism Case Reports publishes case reports on common and rare conditions in all areas of clinical endocrinology, diabetes and metabolism. Articles should include clear learning points which readers can use to inform medical education or clinical practice. The types of cases of interest to Endocrinology, Diabetes & Metabolism Case Reports include: -Insight into disease pathogenesis or mechanism of therapy - Novel diagnostic procedure - Novel treatment - Unique/unexpected symptoms or presentations of a disease - New disease or syndrome: presentations/diagnosis/management - Unusual effects of medical treatment - Error in diagnosis/pitfalls and caveats
×
引用
GB/T 7714-2015
复制
MLA
复制
APA
复制
导出至
BibTeX EndNote RefMan NoteFirst NoteExpress
×
提示
您的信息不完整,为了账户安全,请先补充。
现在去补充
×
提示
您因"违规操作"
具体请查看互助需知
我知道了
×
提示
确定
请完成安全验证×
copy
已复制链接
快去分享给好友吧!
我知道了
右上角分享
点击右上角分享
0
联系我们:info@booksci.cn Book学术提供免费学术资源搜索服务,方便国内外学者检索中英文文献。致力于提供最便捷和优质的服务体验。 Copyright © 2023 布克学术 All rights reserved.
京ICP备2023020795号-1
ghs 京公网安备 11010802042870号
Book学术文献互助
Book学术文献互助群
群 号:604180095
Book学术官方微信