韦尼克脑病致双侧突发性耳聋1例。

IF 1.4 Q3 OTORHINOLARYNGOLOGY
Journal of Audiology and Otology Pub Date : 2025-01-01 Epub Date: 2025-01-20 DOI:10.7874/jao.2024.00311
Yujeong Hong, Hyojung Kim, Dong-Hee Lee
{"title":"韦尼克脑病致双侧突发性耳聋1例。","authors":"Yujeong Hong, Hyojung Kim, Dong-Hee Lee","doi":"10.7874/jao.2024.00311","DOIUrl":null,"url":null,"abstract":"<p><p>Wernicke encephalopathy, also known as thiamine deficiency, is characterized by a triad of symptoms: ophthalmoplegia, ataxia, and confusion. However, additional symptoms may manifest depending on the area affected by the lesion. Although multiple cranial neuropathies are possible, sudden onset bilateral hearing loss has been described in rare situations as the first manifestation of Wernicke encephalopathy. Here, we present a case report detailing the clinical experience of a patient diagnosed with Wernicke encephalopathy, whose initial presentation included sudden bilateral deafness. The patient was a 57-year-old man with alcoholism who was successfully diagnosed with Wernicke encephalopathy, and his hearing improved after high-dose intravenous thiamine therapy. Our case study results and a literature review indicate that video findings and suppression head impulse tests can be used to evaluate Wernicke encephalopathy.</p>","PeriodicalId":44886,"journal":{"name":"Journal of Audiology and Otology","volume":"29 1","pages":"67-74"},"PeriodicalIF":1.4000,"publicationDate":"2025-01-01","publicationTypes":"Journal Article","fieldsOfStudy":null,"isOpenAccess":false,"openAccessPdf":"https://www.ncbi.nlm.nih.gov/pmc/articles/PMC11824529/pdf/","citationCount":"0","resultStr":"{\"title\":\"A Case of Bilateral Sudden Deafness Caused by Wernicke Encephalopathy.\",\"authors\":\"Yujeong Hong, Hyojung Kim, Dong-Hee Lee\",\"doi\":\"10.7874/jao.2024.00311\",\"DOIUrl\":null,\"url\":null,\"abstract\":\"<p><p>Wernicke encephalopathy, also known as thiamine deficiency, is characterized by a triad of symptoms: ophthalmoplegia, ataxia, and confusion. However, additional symptoms may manifest depending on the area affected by the lesion. Although multiple cranial neuropathies are possible, sudden onset bilateral hearing loss has been described in rare situations as the first manifestation of Wernicke encephalopathy. Here, we present a case report detailing the clinical experience of a patient diagnosed with Wernicke encephalopathy, whose initial presentation included sudden bilateral deafness. The patient was a 57-year-old man with alcoholism who was successfully diagnosed with Wernicke encephalopathy, and his hearing improved after high-dose intravenous thiamine therapy. Our case study results and a literature review indicate that video findings and suppression head impulse tests can be used to evaluate Wernicke encephalopathy.</p>\",\"PeriodicalId\":44886,\"journal\":{\"name\":\"Journal of Audiology and Otology\",\"volume\":\"29 1\",\"pages\":\"67-74\"},\"PeriodicalIF\":1.4000,\"publicationDate\":\"2025-01-01\",\"publicationTypes\":\"Journal Article\",\"fieldsOfStudy\":null,\"isOpenAccess\":false,\"openAccessPdf\":\"https://www.ncbi.nlm.nih.gov/pmc/articles/PMC11824529/pdf/\",\"citationCount\":\"0\",\"resultStr\":null,\"platform\":\"Semanticscholar\",\"paperid\":null,\"PeriodicalName\":\"Journal of Audiology and Otology\",\"FirstCategoryId\":\"1085\",\"ListUrlMain\":\"https://doi.org/10.7874/jao.2024.00311\",\"RegionNum\":0,\"RegionCategory\":null,\"ArticlePicture\":[],\"TitleCN\":null,\"AbstractTextCN\":null,\"PMCID\":null,\"EPubDate\":\"2025/1/20 0:00:00\",\"PubModel\":\"Epub\",\"JCR\":\"Q3\",\"JCRName\":\"OTORHINOLARYNGOLOGY\",\"Score\":null,\"Total\":0}","platform":"Semanticscholar","paperid":null,"PeriodicalName":"Journal of Audiology and Otology","FirstCategoryId":"1085","ListUrlMain":"https://doi.org/10.7874/jao.2024.00311","RegionNum":0,"RegionCategory":null,"ArticlePicture":[],"TitleCN":null,"AbstractTextCN":null,"PMCID":null,"EPubDate":"2025/1/20 0:00:00","PubModel":"Epub","JCR":"Q3","JCRName":"OTORHINOLARYNGOLOGY","Score":null,"Total":0}
引用次数: 0

摘要

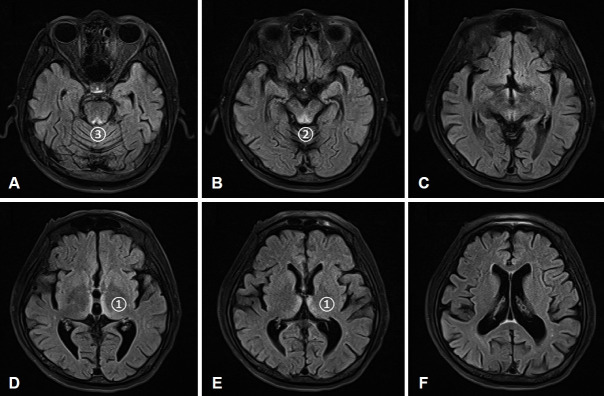
韦尼克脑病,又称硫胺素缺乏症,其特征是三种症状:眼麻痹、共济失调和精神错乱。然而,根据病变影响的区域,可能会出现其他症状。虽然多发性颅神经病变是可能的,但突发性双侧听力丧失在罕见的情况下被描述为韦尼克脑病的第一表现。在这里,我们提出一个病例报告,详细介绍了一个被诊断为韦尼克脑病的患者的临床经验,其最初的表现包括突发性双侧耳聋。患者是一名57岁的酗酒男性,他被成功诊断为韦尼克脑病,在大剂量静脉注射硫胺素治疗后,他的听力有所改善。我们的病例研究结果和文献综述表明,视频结果和抑制头部脉冲试验可用于评估韦尼克脑病。
本文章由计算机程序翻译,如有差异,请以英文原文为准。

A Case of Bilateral Sudden Deafness Caused by Wernicke Encephalopathy.

A Case of Bilateral Sudden Deafness Caused by Wernicke Encephalopathy.

A Case of Bilateral Sudden Deafness Caused by Wernicke Encephalopathy.

A Case of Bilateral Sudden Deafness Caused by Wernicke Encephalopathy.

Wernicke encephalopathy, also known as thiamine deficiency, is characterized by a triad of symptoms: ophthalmoplegia, ataxia, and confusion. However, additional symptoms may manifest depending on the area affected by the lesion. Although multiple cranial neuropathies are possible, sudden onset bilateral hearing loss has been described in rare situations as the first manifestation of Wernicke encephalopathy. Here, we present a case report detailing the clinical experience of a patient diagnosed with Wernicke encephalopathy, whose initial presentation included sudden bilateral deafness. The patient was a 57-year-old man with alcoholism who was successfully diagnosed with Wernicke encephalopathy, and his hearing improved after high-dose intravenous thiamine therapy. Our case study results and a literature review indicate that video findings and suppression head impulse tests can be used to evaluate Wernicke encephalopathy.

求助全文
通过发布文献求助,成功后即可免费获取论文全文。 去求助
来源期刊
Journal of Audiology and Otology
Journal of Audiology and Otology OTORHINOLARYNGOLOGY-
CiteScore
1.90
自引率
9.10%
发文量
20
期刊介绍: Journal of Audiology and Otology (JAO) (formerly known as Korean Journal of Audiology) aims to publish the most advanced findings for all aspects of the auditory and vestibular system and diseases of the ear using state-of-the-art techniques and analyses. The journal covers recent trends related to the topics of audiology, otology, and neurotology conducted by professionals, with the goal of providing better possible treatment to people of all ages, from infants to the elderly, who suffer from auditory and/or vestibular disorders and thus, improving their quality of life. This journal encourages the submission of review papers about current professional issues, research papers presenting a scientific base and clinical application, and case papers with unique reports or clinical trials. We also invite letters to the editor and papers related to the manufacture and distribution of medical devices. This journal provides integrated views from otologists, audiologists, and other healthcare practitioners, offering readers high quality scientific and clinical information. This peer-reviewed and open access journal has been the official journal of the Korean Audiological Society since 1997 and of both the Korean Audiological Society and the Korean Otological Society since 2017. It is published in English four times a year in January, April, July, and October.
×
引用
GB/T 7714-2015
复制
MLA
复制
APA
复制
导出至
BibTeX EndNote RefMan NoteFirst NoteExpress
×
提示
您的信息不完整,为了账户安全,请先补充。
现在去补充
×
提示
您因"违规操作"
具体请查看互助需知
我知道了
×
提示
确定
请完成安全验证×
copy
已复制链接
快去分享给好友吧!
我知道了
右上角分享
点击右上角分享
0
联系我们:info@booksci.cn Book学术提供免费学术资源搜索服务,方便国内外学者检索中英文文献。致力于提供最便捷和优质的服务体验。 Copyright © 2023 布克学术 All rights reserved.
京ICP备2023020795号-1
ghs 京公网安备 11010802042870号
Book学术文献互助
Book学术文献互助群
群 号:604180095
Book学术官方微信